Scrigroup - Documente si articole

     

HomeDocumenteUploadResurseAlte limbi doc
Alimentatie nutritieAsistenta socialaCosmetica frumuseteLogopedieRetete culinareSport

TRATAMENTUL ORTODONTIC LA ADULTI

sanatate



+ Font mai mare | - Font mai mic



TRATAMENTUL ORTODONTIC LA ADULTI

Informatii despre tratamentul ortodontic la adulti.

Astazi, tratamentul ortodontic constituie o optiune viabila pentru aproape orice adult. Este cunoscut faptul ca prin netratarea problemelor ortodontice, acestea se pot agrava. In cazurile de malocluzie, dintii pot fi inghesuiti, excesiv de spatiati sau nu se potrivesc in muscatura. Astfel de afectiuni pot conduce la alte probleme de sanatate dentara.  Dintii inghesuiti sunt dificil de curatat si, in timp, pot contribui la aparitia cariilor ori a afectiunilor parodontale. Muscatura anormala poate constitui cauza abraziunii anormale a suprafetelor dintilor (vezi fotografia), dificultati in masticatie sau afectari ale tesuturilor de suport (os si gingie). Dintii incorect aliniati pot contribui la aparitia durerilor in articulatiile mandibulare. 
 
Abraziunea anormala a dintilor la adulti Veti fi incantati sa aflati ca tratamentul ortodontic se potriveste stilului dumneavoastra de viata - puteti canta, sa luati masa in oras, saruta si chiar sa faceti poze. Unul din cinci pacienti este adult. AAO (American Association of Orthodontists) estimeaza ca mai mult de 1,000,000 de adulti din Statele Unite si Canada primesc tratament ortodontic din partea membrilor sai. Pentru a afla mai multe despre posibilitatea de a corecta o anumita problema, puteti cere medicului dumneavoastra stomatolog sa va recomande un medic specialist ortodont.



Rata de pierdere a dintilor a scazut in ultimii zeci de ani. Strabunicii si bunicii nostri isi pierdeau dintii in jurul varstei de 40 de ani. Astazi, un tanar de 25 de ani are potentialul de a mai putea sa isi foloseasca dintii pana la 75 de ani. Aceasta reprezinta o schimbare majora in starea de sanatate orala (si a sperantei de viata).  Dintii care nu se "potrivesc" se tocesc mai repede - inca un motiv pentru a ne asigura ca dintii sunt corect aliniati si bine intretinuti.

Intrebari frecvente despre tratamentul ortodontic la adulti

Poate rezolva tratamentul ortodontic aceleasi probleme ca si in cazul copiilor? Da. Dintii sanatosi se pot deplasa la orice varsta. Multe probleme ortodontice pot fi corectate la fel de usor la adulti, precum la copii. Fortele ortodontice misca dintii in acelasi mod, indiferent ca este vorba de adulti sau copii, dar tratamentul in cazul adultilor poate dura mai mult datorita maturitatii osului. Factorii ce pot complica tratamentul, ca de exemplu lipsa de dezvoltare a maxilarelor, pot necesita abordari diferite de tratament in cazul adultilor. De aceea, consultatia oferita de medicul ortodont (specialistul care aliniaza dintii si maxilarele pacientilor de toate varstele) este esentiala.

Cum difera tratamentul la adulti de cel pentru copii sau adolescenti? Adultii nu mai cresc si este posibil sa fi suferit afectiuni sau pierderi ale dintilor. Tratamentul ortodontic poate constitui doar o parte din intregul plan de tratament. Coordonarea perfecta intre medicul ortodont, chirurg, parodontolog, endodont si medicul stomatolog generalist asigura realizarea corecta a planului de tratament. Mai jos se regasesc cele mai comune caracteristici care pot modifica tratamentul la adulti fata de cel pentru copii.

Lipsa de crestere a maxilarelor.

Problemele legate de discrepanta intre maxilare, inclusive latimea si lungimea acestora, pot necesita interventii chirurgicale in cazul pacientului adult. De exemplu, daca mandibula unui adult este prea scurta pentru a se potrivi cu maxilarul, rezulta probleme severe de ocluzie. Posibilitatile de deplasare a dintilor doar prin intermediul aparatului sunt limitate in unele cazuri si este posibil sa nu rezolve problema. Realizarea unei ocluzii corecte poate necesita interventia chirurgicala, care va lungi mandibula si va aduce dintii inferiori spre inainte, intr-o muscatura corecta.
 
Pierderea dintilor sau osului (boala parodontala)

Este posibil ca adultii sa fi suferit probleme legate de afectarea gingiilor sau osului ce sustin dintii (boala parodontala).  Boala parodontala este o infectie bacteriana cronica care afecteaza gingiile si osul. Cuvantul "parodontal" inseamna "din jurul dintelui"  Cei mai multi pacienti nu stiu ca sufera de o boala a gingiilor deoarece aceasta prezinta o durere extrem de redusa sau chiar deloc.
Boala parodontala poate afecta unul sau mai multi dinti. Incepe atunci cand bacteriile din placa bacteriana (un strat lipicios, incolor care se formeaza in mod continuu pe dinti) produc inflamatia gingiilor.

Cea mai usoara forma de boala este numita "gingivita". Gingiile se inflameaza, se inrosesc si sangereaza usor. Gingivita este deseori legata de igiena orala incorecta. Gingivita este deseori reversibila prin tratament profesional si prin buna intretinere a igienei orale.
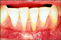
Gingivita netratata poate avansa catre boala parodontala, numita mai demult "parodontoza" (vezi fotografia), o forma mult mai severa de afectare. Cu timpul, placa bacteriana se poate intinde sub nivelul gingiei si se poate intari, formand tartrul. Toxinele produse de bacterii irita gingiile. Toxinele stimuleaza un raspuns inflamator cronic prin care organismul se intoarce, practic, impotriva lui insusi, iar tesuturile si osul ce sustin dintii se distrug. Gingiile se separa de dinte si formeaza "pungi parodontale" (spatii intre dinti si gingii) care se infecteaza. Pe masura ce boala progreseaza, pungile se adancesc si tot mai multe tesuturi se distrug. In cele din urma, dintii devin mobili si e vor pierde.

Boala parodontala avansata.

Observati pierderea de tesut gingival, ceea ce conduce la cresterea vizibilitatii dintilor

Vestea buna este ca dintii corect aliniati sunt mai putin expusi bolii parodontale.

Este posibil ca tratamentul specific acestei boli sa fie aplicat inainte, in timpul sau chiar dupa tratamentul ortodontic. Pierderea osoasa poate limita amplitudinea si directia miscarii dintilor. Adultii cu o istorie sau cu suspiciune de boala parodontala pot avea nevoie de supravegherea unui medic specialist parodontolog pe timpul tratamentului ortodontic.
Dintii tociti, afectati sau dintii lipsa: Acesti dinti pot crea dificultati in tratamentul ortodontic. Dintii se pot toci in mod gradual si sa se mute in pozitii, putind fi restaurati doar dupa un tratament riguros. Dintii distrusi sau tociti nu au un aspect placut, iar functia lor nu mai este deplina, chiar si dupa tratamentul orthodontic, putind necesita refacerea lor de catre medicul stomatolog. Spatiile suplimentare rezultate din lipsa dintilor care nu sunt inlocuiti pot provoca o inclinare progresiva si rotatia celorlalti dinti, ceea ce afecteaza muscatura, crescand potentialul pentru problemele parodontale si ingreuneaza tratamentul.

Am dureri musculare si de articulatii - ma poate ajuta ortodontul? Una dintre problemele comune asociate problemele musculare si articulare este bruxismul, care reprezinta scrasnirea sau inclestarea uzuala a dintilor, in mod special pe timpul noptii. Bruxismul constituie un obicei muscular  care cauzeaza abraziunea dintilor, precum si suprasolicitarea si trauma structurilor articulare. Bruxismul poate fi insotit de dureri cronice sau acute ale muschilor si articulatiilor. Un medic ortodont poate ajuta la diagnosticarea acestor probleme. Medicul dumneavoastra stomatolog sau medicul ortodont pot aplica gutiere speciale care protejeaza dintii si ajuta la relaxarea musculara, reducand substantial simptomele dureroase. Uneori, distrugerea structurala poate necesita interventii chirurgicale asupra articulatiilor si/sau restaurarea dintilor afectati.

Medicul meu stomatolog mi-a spus ca trebuie sa imi inlocuiesc dintii lipsa, dar inainte trebuie sa fac tratament ortodontic. De ce? Medicul dumneavoastra stomatolog recomanda tratamentul ortodontic deoarece doreste sa va ofere un tratament cat mai corect pentru a reface sanatatea aparatului dumneavoastra dento-maxilar. Multe lucrari dentare complicate, cum ar fi coroanele, puntile si implanturile, se pot realiza mai bine atunci cand dintii restanti sunt aliniati corect, iar muscatura este corecta.

Cand dintii permanenti sunt pierduti, se intampla frecvent ca dintii restanti sa se incline sau sa se deplaseze. Aceasta miscare poate provoca modificarea ocluziei si spatieri inegale ce nu pot fi restaurate corect daca dintii restanti nu sunt repozitionati. Dintii inclinati pot fi, in general, indreptati astfel incat sa reziste in viitor la solicitarile normale.

Dintii mei au fost inghesuiti dintotdeauna - de ce ar trebui sa fac tratament ortodontic acum? Niciodata nu este prea tarziu! Tratamentul ortodontic, indiferent cand este indicat, reprezinta un pas inainte - in special pentru adultii care se confrunta cu o problema veche. Tratamentul ortodontic poate restaura functiile aparatului dento-maxilar. Iar daca dintii "lucreaza" mai bine, in general si arata mai bine! Un zambet sanatos, frumos, poate imbunatati increderea in sine, indiferent de varsta.

Este tratamentul ortodontic scump? Pacientii considera ca aparatele ortodontice sunt mai "abordabile" decat oricand. Costul tratamentului ortodontic depinde de mai multi factori, incluzand severitatea problemei, complexitatea si durata tratamentului. Ortodontul dumneavoastra va discuta despre costurile tratamentului inca dinaintea inceperii acestuia si despre posibilitatile de plata. Luand in considerare beneficiile tratamentului ortodontic pe termen lung, fiecare banut capata o valoare deosebita.

Sunt insarcinata si doresc sa incep tratamentul ortodontic. Este posibil? Sarcina aduce modificari ale organismului care pot afecta si cavitatea orala. Tesuturile moi (gingiile) sunt mai predispuse infectiilor. Pentru intocmirea planului de tratament sunt necesare radiografii. Pe perioada sarcinii se recomanda evitarea acestora. Discutati posibilitatile de tratament si cereti lamuriri suplimentare medicului ortodont inainte de inceperea tratamentului.

Ortodontul sugereaza efectuarea "stripping-ului" pentru a reduce dimensiunea dintilor. Nu am mai auzit de acest lucru. Este ceva nou? Este ceva sigur? Aceasta procedura este denumita fie "stripping", fie reducere "interproximala", "slenderizing" ori "reducere selectiva". Scopul este acela de a obtine mai mult spatiu pentru alinierea dintilor prin indepartarea unor mici portiuni de smalt din zona de contact a dintilor. Procedura este utilizata in cadrul tratamentului ortodontic inca din 1940 si s-a dovedit a fi sigura (neafectind structura dintilor) si efectiva (prin obtinerea rezultatelor). Unele studii desfasurate cu ajutorul pacientilor care au fost tratati prin aceasta metoda arata ca nu s-au inregistrat cresteri ale susceptibilitatii la carie si nici nu predispune pacientii unor boli parodontale.



Politica de confidentialitate | Termeni si conditii de utilizare



DISTRIBUIE DOCUMENTUL

Comentarii


Vizualizari: 2121
Importanta: rank

Comenteaza documentul:

Te rugam sa te autentifici sau sa iti faci cont pentru a putea comenta

Creaza cont nou

Termeni si conditii de utilizare | Contact
© SCRIGROUP 2025 . All rights reserved