| CATEGORII DOCUMENTE |
| Alimentatie nutritie | Asistenta sociala | Cosmetica frumusete | Logopedie | Retete culinare | Sport |
IN ROMANIA
in 1567 se infiinteaza breasla chirurgilor din Brasov care prevedea in programul de studiu al ucenicilor si tratamentul fracturilor
Carol Davilla in 1857 transforma Scoala de Chirurgie in Scoala Nationala de Medicina si Farmacie si in 1867 infiinteaza prima Facultate de Medicina, Chirurgie si Farmacie
primii ortopezi romani au fost chirurgi: Constantin Dimitrescu-Severeanu, Ernest Juvara, Iancu Jianu, Theodor Firica si altii
la Cluj este deschis primul spital de ortopedie din tara, al carui director devine in 1920 Alexandru Radulescu
ENTORSELE
|
|
Definitie leziuni capsulo-ligamentare traumatice fara pierderea permanenta a raporturilor normale articulare
Mecanism de producere : depasirea mobilitatii articulare normale
Anatomie patologica : leziuni capsulo- ligamentare, parti moi periarticulare, osoase
Clasificare grade I-III/IV
Simptomatologie : durere, impotenta functionala, edem, echimoza, instabilitate articulara, colectie articulara
Evolutie
Complicatii : redoare, instabilitate, osteodistrofie
Tratament
o functional
o ortopedic
o chirurgical
LUXATIILE
Definitie: pierderea permanenta de cauza traumatica a raporturilor articulare normale
Clasificare
- complete sau incomplete (subluxatii)
recente, vechi sau recidivante
Anatomie patologica
Simptomatologie : durere, deformare, impotenta functionale cu atitudine vicioasa caracteristica a membrului
Imagistica : radiologic pierderea raporturilor normale articulare
Evolutie, complicatii : deschiderea, leziunile vasculare, nervoase ireductibilitatea, instabilitatea
Tratament : reducerea ortopedica si imobilizarea, rar tratament chirurgical
Vindecarea fracturilor
Complicatiile fracturilor
locale
o imediate: deschiderea focarului de fractura, leziunile vasculo-nervoase, interpozitile, sindromul compartimental
o tardive: consolidarea vicioasa, intarzierea de consolidare, pseudartroza, redoarea articulara, osteodistrofia algica posttraumatica, osificarile heterotope, osteita

generale
o imediate: infectiile respiratorii, urinare, boala trombo-embolica, embolia grasoasa, tulburarile metabolice
o tardive : osteoporoza de imobilizare
Tratamentul fracturilor
Principiile fundamentale de conduita in fracturi sunt reducerea, imobilizarea si recuperarea.
Reducerea fracturilor : tractiune si manipulare
inchisa (ortopedica) : mai dificila, risc redus de infectie, consolidare mai rapida
deschisa (chirurgicala sau sangeranda)
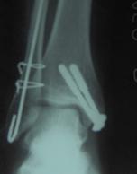
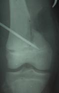
Modalitatile de imobilizare
ortopedice: atele, aparate gipsate, orteze
extensia continua
imobilizarea chirurgicala
o fixarea externa
o fixarea interna
centromedulara
tije rigide : Kntscher, blocate, indicatii
tije elastice : Ender, Rush
placi si/sau suruburi
cerclaje, sutura transosoasa, hobanaj
materialele : titan si aliaje de crom, cobalt si molibden
fixarea implantelor
interferenta consta in fixarea unui implant prin frecare
cresterea osoasa in profunzimea implantului
fixarea cu ciment acrilic
fixarea fragmentelor osoase
modul neutralizant
modul compresiv static sau dinamic
modul distractional
Recuperarea





Fracturile deschise
Definitie : comunicarea dintre focarul de fractura si mediul ambiant
Mecanism dinafara-inauntru sau dinauntru-inafara
Clasificarea Gustilo-Anderson
tip I: plaga sub 1 cm, curata, mecanism dinauntru-inafara, cu contuzie musculara mica, fractura oblica scurta sau transversala
tip II: plaga peste 1 cm, partile moi viabile, dar cu leziuni extinse, eventual mica cominutie
tip III: poate fi de tip A (fractura cominutiva, plaga mare, murdara, dar osul inca acoperit de parti moi), B (cu defect de parti moi si deperiostare), sau C (cu leziune arteriala care impune interventie chirurgicala vasculara)
Primul ajutor si tratamentul prespitalicesc
extragerea accidentatului
stabilizarea functiilor vitale
imobilizare, pansament
transport
antibioterapie (spectru larg)
profilaxia tetanosului
tratamentul de urgenta intraspitalicesc
o debridare, toaleta mecanica si chimica
o stabilizare
o acoperire cu parti moi primara/secundara
ANAMNEZA
Motivul prezentarii pacientului la consultatie
Antecedentele
Conditii de viata si munca
Simptomatologie
Debut
Evolutie
Tratamente anterioare
Complicatii
EXAMENUL OBIECTIV
Inspectia : comparativa, diformitati, scurtari, tumefactiei, atrofie, masuratori
Palparea
Examenul mobilitatii active si pasive
Examinarea functionala
Explorarea axului vascular
Examen neurologic




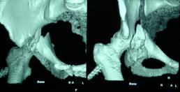
EXPLORARI IMAGISTICE
Radiografia simpla
incidente: AP, LL, oblice, speciale
de stres
comparativa

Tomografia computerizata


Rezonanta magnetica nucleara




Ecografia
Scintigrafia

|
Politica de confidentialitate | Termeni si conditii de utilizare |
Vizualizari: 2779
Importanta: ![]()
Termeni si conditii de utilizare | Contact
© SCRIGROUP 2025 . All rights reserved