| CATEGORII DOCUMENTE |
| Alimentatie nutritie | Asistenta sociala | Cosmetica frumusete | Logopedie | Retete culinare | Sport |
Aspecte normale ecografice in trimestrul II si III de sarcina
Capul
Craniul fetal poate fi explorat ecografic in 3 planuri de baza : transversal, sagital si cranial/frontal.[1,3,8,13,14]
Sectunile transverse :
In cursul trim II, bolta craniana apare ca bine definita, hiperecogena, elipsoidala. Suturile si fontanelele trebuie recunoscute ca fiziologice si nu trebuie confundate cu defecte structurale craniene.
Linia de mijloc hiperecogena frontoocipitala este formata anterior si posterior de falx cerebri si fisura interemisferica, central de septum pellucidum. La sfarsitul primului trimestru de sarcina, linia de mijloc hiperecogena este flancata la distanta de o pereche de ventriculi laterali, ce inconjoara plexurile choroide ecogene. Din saptamana a 15-a cresterea cortexului devine vizibila, la marginea ventriculilor laterali, ca o margine hipoecogena. Partea posterioara a ventriculilor laterali ramane ocupata de plexurile choroide, in timp ce coarnele anterioare contin doar fluid. Dupa saptamana 19-a ventriculii laterali au caractere constante pe tot parcursul sarcinii.[1,3,8,13,14]
Conturul cranian : in functie de pozitia fetala variaza ca forma, in special in prezentatia pelvina da senzatia unui dolicocefal (diametrul occipito frontal mult mai mare fata de cel biparietal).[8]
Anatomia creierului - ecografia indica diferente structurale intre portiuni ale emisferelor, in functie de apropierea sau indepartarea de transductor.
Ventriculul din emisfera apropiata contine artefacte de reverberatie, dand senzatia de crestere a densitatii regiunii respective.[8] Adevarata densitate si ecostructura este caracteristica doar ventriculului indepartat de sonda aparatului. Simetria este importanta.
Fig. nr. 148 Planurile de sectiune transversala ecografica ale craniului fetal, demonstrate pe model anatomic (adaptat dupa Merz[8] )
Planul I - cel mai inalt plan axial. Cortexul cerebral hipoecogen localizat intre linia de mijloc si craniu.

Fig. nr. 149 Planul I de sectiune transversala.
Planul
II demonstreaza ventriculii laterali hipoecogeni si parte din plexurile
choroide ecogene.
Fig. nr. 150. Planul II de sectiune transversala a craniului fetal.
Planul III sau planul frontooccipital, pentru masurarea diametrelor biparietal si frontoocipital. Ecoul de mijloc frontoocipital este intrerupt in zona cavum septum pellucidi, anecogena, situata anterior de ventriculul III. Acesta este situat intre doi nuclei talamici hipoecogeni si apare ca o despicatura mica sau o linie.

Fig. nr. 151 Planul III de sectiune transversala a craniului fetal.
Planul
IV pune in evidenta ecoul liniei de mijloc, partial vizibil si mezencefalul
superior.
Fig. nr. 152. Planul IV de sectiune transversala
Planul V - trece prin partea bazala a mezencefalului si emisferele cerebrale. Pedunculii cerebrali formeaza aspectul de fluture, intre acestia apare fosa interpedunculara.

Fig. nr. 153. Planul V de sectiune transversala
Planul VI trece prin baza craniului si defineste fosele anterioara, mijlocie si posterioara. Osul sfenoidal hiperecogen apare la jonctiunea foselor anterioara cu posterioara. Portiunea joasa a cerebelului si puntea sunt vizibile.

Fig. nr. 154. Planul VI de sectiune frontala craniana.
Planul VII - plan oblic-transvers ce demonstreaza anterior cavum septum pellucidi si posterior cerebelul cu cisterna magna. In acest plan se poate evalua grosimea pliului nuchal intre 16 si 24 de saptamani (normal 5 mm) ce cuprinde tegument si tesut subcutanat, spre deosebire de translucenta normala din trim. I care este o acumulare de lichid.
Prin translarea sondei mai jos, se poate pune in evidenta foramen magnum.

Fig. nr. 155 Planul VII de sectiune craniana transversala.
Planurile sagitale

Fig. nr. 156 Planurile de sectiune sagitale craniene (adaptat dupa [8] si [14] )
Fig. nr. 157 Planul VIII de sectiune sagitala prin creierul fetal pune in evidenta : 1 cortex cerebral, 2 corpus calosum, 3 cavum septi pellucidi ,4 talamus cu ventricul III,
5 lamina tecti, 6 glanda hipofiza , 7 puntea, 8 bulbul ( medulla oblongata ), 9 cerebellum, 10 cisterna magna . ( adaptat dupa England [5] ).
Planul VIII defineste profilul fetal in pozitie occipitoposterioara. Profilul de-vine vizibil de la sfarsitul trim I. In aceasta sectiune se pot oserva miscarile fiziologice fetale de deschidere a gurii, miscarea limbii, inghitirea, aspiratia de lichid amniotic.
Pozitia favorabila fetala poate pune in evidenta cavum septum pellucidi, corpus calosum (dupa 20 de sapt), lamina tecti, pons sau cerebellum.

Fig. nr.158 Profil fetal in pozitie occipitoposterioara, corespunzator planului VIII
Planul IX parasagital, identifica cortexul, ventriculul lateral, nucleul caudat,
talamus, cerebel.
Fig. nr.159. Schita anatomica a sistemului ventricular al creierului. (adaptat dupa Pooh in
Dupa 13 saptamani in orbita apare si cristalinul in sectiunea parasagitala.

Fig. nr. 160 . Cristalinul hiperecogen, rotund in orbita dreapta .
Planul X este tangential si defineste urechea.

Fig. nr. 161. Urechea ( cu linie ) in planul X

Fig. nr. 162. Schita anatomica a creierului in sectiune sagitala. (adaptat dupa Pooh in [7])
Fig. nr.163. Schita anatomica a creierului in sectiune coronala (frontala ). (adaptat dupa Pooh in [7])

Fig. nr.164. Sectiunile coronale pe model anatomic. (adaptat dupa[8, 14 ] )
Planul XI - plan oblic ce indica nasul si mandibula, regiunea oronazala. Integritatea buzei superioare se confirma in special cand gura este deschisa.

Fig. nr. 165. Planul XI oblic coronal ce pune in evidenta narile si buzele.
Planul XII - plan coronal tangential, ideal pentru evidentierea pleoapelor si imaginea de "fat dormind

Fig. nr. 166. Planul XII coronal indica pleopele inchise ( sub linie )
Planul XIII - indica simultan orbitele si regiunea mandibulara, cristalinul apare ca un inel ecogenic in partea anterioara a orbitelor. Miscarile lente sau rapide ale ochilor pot fi cateodata evidentiate.
Planul XIV - plan oblic pentru orbite si nas.
Planul XV - planul longitudinal coronal la nivel de cavum septi pellucidi, evidentiaza cortex, corpus calosum, ventriculi laterali.

Fig. nr. 167. Fata fetala la ecografia 3D/4D

Fig. nr. 168. Plan de sectiune oblic coronal, derivat din planul XIV, ce pune in evidenta maxilarul osificat la 16 sapt.
Coloana vertebrala
Osificarea arcurilor vertebrale incepe la 8 saptamani gestationale si in special la ecografia transvaginala, coloana vertebrala poate fi identificata ca o pereche de linii ecogenice de la 9 saptamani.[8]

Fig. nr. 169. Coloana vertebrala , sectiune fetala longitudinala, incluzand sacrul, coloana lombara , dorsala, partial toracala
Coloana va trebui examinata obligatoriu intr-un plan longitudinal, din regiunea ocipitala pana in cea sacrata si intr-un plan transvers, ce indica clar cei trei centri de osificare a corpului vertebral.
Regiunea gAtului
Cele mai folosite planuri de sectiune sunt cele coronale ce pun in evidenta traheea si eventual bifurcatia acesteia, laringele, epiglota, vasele gatului.
Esofagul proximal nu poate fi evaluat la fatul normal.
Importante sunt miscarile de inspir si deglutitie a lichidului amniotic, ce incep de la 11 saptamani.Acestea pot fi studiate, cu ajutorul sistemului Doppler color si cu sistemul memory cine loop.[8]
Torace
Apare ca cu un trunchi de con in sectiune longitudinala. Striurile sunt artefacte induse de conul de umbra din spatele coastelor ce isi incep osificarea la 14 saptamani.
Claviculele se pun in evidenta intr-un plan transvers al gatului, cu evaluarea simetriei acestora.

Fig. nr. 170. Cele doua clavicule hiperecogene, avand curbura caracteristica in forma literei S
Scapulele se definesc initial intr-un plan longitudinal lateral, miscarea sondei ecografului prin angulatie obtine sectiuni tangentiale ce indica intreaga sa suprafata.
Plamanii la sectiunea transversala apar ca structuri ecogenice localizate intre inima, coloana si coaste. Ecogenitatea se schimba cu cresterea fetala.
Daca in al doilea trimestru ecogenitatea este mai mica decat a ficatului, in trimestrul III situatia se schimba.
Diafragmul - in sectiune longitudinala - o linie hipoecogena convexa, continua intre diafragma si ficat indica spatiul subfrenic cand diafragmul este intact. Diafragmul in sine este moderat ecogen si devine mult mai bine vizibil separat in prezenta ascitei sau a hidrotoraxului[8].La sectiunea toracica transversa cord in 4 camere, stomacul nu apare alaturat de cord, in prezenta diafragmului integru.
Miscarile fetale respiratorii:[4,6,8,12]
excursiile
respiratorii incep cu deflexiile diafragmului, apoi peretele toracic se misca
spre interior si peretele abdominal in sens invers, dupa care diafragmul,
peretele toracic si peretele abdominal se misca in pozitie initiala. Aceste
miscari sunt necesare pentru dezvoltarea pulmonara normala.
Frecventa
- este episodica, neregulata in sarcina incipienta si mai regulata la 34 - 36
de saptamani. Ele scad sau dispar pe parcursul travaliului.
Factorii
care afecteaza miscarile respiratorii fetale:
hiperglicemia, hipercapnia cresc frecventa
nicotina sau alcoolul scad frecventa
asfixia preterminala este asociata cu respiratii anormale sau gasp.
Fig. nr. 171. Sectiune sagitala fetala cu pretele toracic, abdominal si linia hipoecogena fina ce indica spatiul subfrenic si respectiv diafragmul.( sageata )
Sistemul circulator fetal
Inima primitiva isi incepe dezvoltarea la sfarsitul celei de-a treia saptamani gestationale, iar contractiile incep in a 22-a zi.

Fig. nr.172. Diagrama circulatiei sangvine , in a 26 a zi de dezvoltare embrionara. (adaptat dupa Moore[10] )
Circulatia la 4 saptamani
Sangele in corpul embrionar este condus la inima prin venele cardinale comune. Venele ombilicale aduc sangele din placenta, iar venele omfalomezenterice duc sangele din sacul lui Yolk la inima. Toate aceste trei trunchiuri vasculare comunica in aria septum transversum inaintea intrarii in sinus venosus.
De la cord pleaca doua arcuri aortice spre perechea dorsala aortica unica inferior in aorta abdominala; spre placenta prin arterele ombilicale si spre sacul lui Yolk prin arterele omfalomezenterice.[8,10]
Circulatia fetala complet dezvoltata
Dupa diferentierea inimii in 2 atrii si 2 ventricule, sangele oxigenat este transportat de la placenta la fat prin vena ombilicala. Din cele doua vene ombilicale initiale doar cea stanga este pastrata.
Dupa saptamana a 6-a o mica cantitate din sangele arterializat trece prin sinusoide in ficat, dar majoritatea strabate ficatul si se varsa prin ductus venosus in vena cava inferioara, unde se amesteca cu sangele venos din partea inferioara a corpului, pelvis si cavitatea abdominala.
Sangele ce intra in atriul drept este indreptat catre foramen ovale, datorita valvei venei cave inferioare. Marginea inferioara a septum secundum, numita crista dividens, separa sangele in doua parti inegale. Cea mai mare parte a fluxului strabate foramen ovale in atriul stang, unde se amesteca cu sangele putin provenit din plamani, trece in ventriculul stang si continua in aorta ascendenta, ce da ramuri principale spre cap, gat, membrele superioare. O mica parte se amesteca cu sange venos la trecerea din vena cava in atriul drept si apoi in ventriculul drept, de unde trece in trunchiul pulmonar, ductus arteriosus si aorta.
Doar o mica parte a sangelui arterializat este distribuita spre organele interne si membrele inferioare. Foarte putin sange trece spre plamani, datorita rezistentei pulmonare ridicate.
In final sangele se intoarce in placenta via arterele ombilicale, desprinse din arterele iliace interne.[10]

Fig. nr.173. Diagrama simplificata a circulatiei fetale sangvine. (adaptat dupa Moore [10] )
Schimbari la nastere
Foramen ovale, ductus arteriosus, arterele ombilicale, venele ombilicale isi pierd semnificatia functionala la nastere. Cand vasele din placenta se intrerup, presiunea din vena cava inferioara si respectiv atriul drept scade rapid. Presiunea din atriul stang creste datorita insuflatiei cu aer a plamanilor si cresterii fluxului pulmonar sanguin. Ca rezultat presiunea sangelui depaseste in atriul stang pe cea din atriul drept, impingand septum primum impotriva septum secundum si inchizand foramen ovale. [8,10]
Ductus arteriosus, ductus venosus, vasele ombilicale sunt obliterate rapid prin proliferarea endoteliului vascular si a tesuturilor perivasculare. Ligamentul rotund al ficatului persista dintr-o vena ombilicala si segmentul distal al arterelor ombilicale se transforma in ligamentul medial ombilical. Segmentul proximal se pastreaza ca artere vezicale superioare.
Ligamentum venosus de pe suprafata inferioara a ficatului este fostul ductus venosus. Transformarea ductus arteriosus intr-un cordon fibros - ligamentum arteriosus este completa abia intr-a treia luna postnatala.
Vasele mari sunt usor de definit ca benzi hipoecogene la imaginea conventionala B mode. Color Doppler evidentiaza si vase mai mici, dar mai ales determina directia fluxului sanguin.[1,8,11]
Vena ombilicala - de la insertia cordonului ombilical vena urca oblic spre ficat la 45 si se termina in sinusul port.
Ductus venosus/vena porta si vena cava inferioara
Cea mai mare parte a sangelui oxigenat adus de vena ombilicala trece in ductus venosus si apoi direct in vena cava. Jonctiunea venei ombilicale cu sinusul portal este o zona importanta pentru biometria fetala abdominala in sectiunea transversala a abdomenului. O mica parte a sangelui ombilical venos se amesteca cu sangele dezoxigenat din vena porta si trece prin sinusoidele hepatice in venele hepatice, apoi in vena cava inf.[8]

Fig. nr.174. Circulatia sangvina in ficatul fetal , aspect schematic dinspre anterior. 1 vena ombilicala, 2ductus venosus, 3 sinus portal, 4 vena porta, 5 sinusoide hepatice, 6 vene hepatice, 7 vena cava inferioara,dreptunghiul semnifica confluenta ductus venosus cu vena cava inferioara. (adaptat dupa Merz[8] )

Fig. nr. 175. Sectiune sagitala fetala cu intrarea ductus venosus(sageta ) in vena cava inferioara ( cu linie )
Arcul aortic - se evidentiaza intr-o sectiune longitudinala oblica, impreuna cu cele 3 vase: trunchiul brahiocefalic, artera carotida comuna stanga, artera subclavie stanga.
Cordul, artera aorta ascendenta, trunchiul pulmonar si ductus arteriosus se evidentiaza in cadrul sectiunilor transversale ale ecocardiografiei.
Aorta descendenta si bifurcatia acesteia se evidentiaza intr-o sectiune longitudinala, eventual printr-o miscare de baleiere oblica a sondei.
Intr-o sectiune abdominala transversala vena cava inferioara apare mai anterior si mai la dreapta fata de artera aorta si ambele anterior de corpul vertebral, doua zone rotunde anecogene.
Fluxul cerebral arterial - sectiune transversala la nivel cerebrel ce cuprinde cerebelul si mezencefalul, pune in evidenta poligonul lui Willis la ecografia Doppler color.
Vasele extremitatilor se definesc ca si cele ale rinichilor, cel mai sigur cu ajutorul color Doppler.
Inima
Screening - la nivelul cordului - face parte din dezvoltarea normala fetala ce se studiaza sistematic la 20 - 22 saptamani.
Imaginile de inima cu 4 camere si ideal evaluarea originii si incrucisarea marilor vase sunt in general suficiente. Analiza biometriei cardiace fetale si masuratorile Doppler sunt rar necesare ca screening si sunt mai mult consumatoare de timp decat productive.[2,8]
Populatie cu risc scazut de anomalii cardiace. Imaginea inimii in 4 camere anormala, a dus la decelarea a cca 40% din defectele congenitale de cord. Procentul s-a ridicat la 70% daca s-a asociat si cautarea imaginii originii marilor vase.[Chaoui in 8]
Populatia cu risc ridicat
mame sau nou-nascut anterior cu malformatie cardiaca congenitala
diabet zaharat matern
translucenta nuchala peste 3 sau 3,5 mm cu cariotip normal
Ecocardiografie fetala la un centru de nivel III ultrasonografic se face pentru urmatoarele indicatii:(Chaoui in[ 8 ]
materne
antecedente familiale (la rude de gradul I malformatii cardiace congenitale)
boli metabolice: diabet, fenilcetonurie
infectii materne: rubeola, coxsackie, parvovirus B 19
expunere la agenti teratogeni cardiaci: retinoizi, fenitoina, carbamazepina, carbonat de litiu , acid valproic
anticorpi materni antiRh0 si antiLa.
Indicatii fetale
anomalie cardiaca fetala suspectata
cariotip fetal anormal
anomalii majore extracardiace
translucenta nuchala anormala
anomalii de ritm cardiac persistente.
Aparatura si setari necesare unor imaginii cat mai bune ale cordului:
transductor cu frecventa inalta 5 MHz
contrast puternic
un singur focus
zoom
frecventa ridicata a derularii cadrelor
cine-loop pentru reevaluare cadru cu cadru
Evaluare generala
localizarea inimii in torace: varful inimii si stomacul trebuie sa fie de aceeasi parte (stanga). Daca trecem o linie imaginara de la coloana la stern, 1/3 din inima se localizeaza in jumatatea dreapta a toracelui.
axa cardiaca (directia septului interventricular) este spre stanga, formand un unghi de 45 cu linia de mijloc spinosternala.
marimea inimii: ocupa aproximativ 1/3 din cavitatea toracica.
ritmul cardiac evaluat in timp real B mode are rar aritmii nerepetitive, fiziologice.
contractilitatea ventriculilor si atriilor este evaluata in timp real B mode.
Evaluarea structurilor specifice in sectiunea 4 camere
Aorta apare la stanga coloanei
Atriul stang - valva de la foramen ovale (septum primum) floteaza ritmic in acest atriu. Venele pulmonare se dechid in atriul stang, iar acesta in ventriculul stang, spre apexul cardiac.
Ventriculul stang are forma ovalara, cu lumenul extins spre apexul cardiac, nu are trabecule tipice in miocard si valva mitrala este mai jos inserata fata de tricuspida (mai spre apex).
Atriul drept comunica prin foramen ovale cu atriul stang. Nu contine valva de la foramen ovale si apare mai mare decat atriul stang. Inferior de atriul drept si aproape de septul interatrial, apare terminarea venei cave inferioare cu valva lui Eustachio, ce are imagine de vas rotund. Atriul drept se deschide spre ventriculul drept.
Ventriculul drept - forma relativ rotunda si se distinge de cel stang prin 5 caractere:
cel mai aproape situat fata de stern
contine trabecule proeminente
lumenul nu se extinde catre apexul cardiac
valva tricuspida situata mai sus fata de mitrala (insertie la nivel diferit)
banda moderatoare - muschiul papilar, evident intre apex cardiac si tricuspida, in special intr-o sectiune laterala cu valva atrioventriculara inchisa.
Septul ventricular - apare ca o sageata de 2-4 mm, continuu.
Septul atrial - central intrerupt de foramen ovale, cu o valva batanta
Venele pulmonare - cele drepte se pot evidentia la intrare in atriul stang
Pericardul apare ca o margine, fina anecogena, normala

Fig. nr.176. Planul 0 de sectiune transversala ptr examinarea cordului, se incepe cu abdomenul , in care se remarca stomacul si aorta ( cu o sageata ) alaturi spre dreapta , vena cava inferioara ( cu doua sageti )

Fig. nr.177. Planul 1 de sectiune, cu imaginea de inima in 4 camere.

Fig. nr. 178. Planul 2 de sectiune a cordului cu aspectul inimii in 5 camere, emergenta aortei se adauga celor 4.

Fig. nr. 179. Planul 3 de sectiune a cordului evidentiaza plecarea trunchiului pulmonarei ( sageata ) din ventricului drept

Fig. nr. 180. Planul 4 de sectiune pune in evidenta cele 3 vase anecogene , de la stanga la dreapta pentru prezentatia pelviana SID, vena cava superioara ( cu sageata), aorta, trunchiul pulmonarei
Fig. nr. 181. Planul 5 de sectiune evidentiaza confluenta in V , a trunchiului pulmonarei ( o sageata ) cu ductus arteriosus ( doua sageti ) si istmul cu arcul aortic ( trei sageti )

Fig. nr. 182. Planul nr. 6 de sectiune a cordului, evidentiaza arcul aortic ca o cirja , cu plecarea celor trei vase, a subclavie stg.( 1 ), a carotida comuna stg.( sageta ) si trunchiul brachiocefalic( doua sageti ), din posterior spre anterior

Fig. nr 183. La examenul Doppler, se poate stabili integritatea septului ventricular, in sectiunea cord in 4 camere
Abdomen
Ø hernia fiziologica dispare dupa saptamana a 12-a, persistenta unei protuzii intestinale va ridica suspiciunea unui omfalocel
Ø cele mai importante organe intraabdominale sunt ficatul cu vena ombilicala, stomacul si ansele intestinale
Sectiunile longitudinale
cea mijlocie indica peretele abdominale ce continua peretele toracic si e intrerupt doar de insertia cordonului ombilical
sectiunea parasagitala indica de obicei stomacul, anecogen, oblic anterior.

Fig. nr. 184. Cu linie, intrarea cordonului ombilical in abdomen, sectiune sagitala fetala

Fig. nr. 185. Sectiune parasagitala ce evidentiaza stomacul oblic ovalar, predominant anecogen, deasupra caruia apare ficatul ( sageata )
Sectiunile transversale
ficat: anecogen, cu structura moderat ecogenica. Locul unde vena ombilicala se varsa in sinusul port se poate identifica si reprezinta un punct de reper pentru biometria abdominala.[8]
stomacul - de obicei rotund sau oval in aceasta sectiune, anecogen de obicei, in trim II si cu particule de vernix in trim III, se goleste in cca 45 minute maxim. Are maxim 5 cm in f axul lung.[1,13]
vezica biliara - zona anecogena in aria lobului hepatic drept identificat in trim II, la translarea sondei din sectiune transversa spre anterior. Trebuie diferentiata de vena ombilicala ce strabate ficatul.
splina - de obicei are ecogenitate asemanatoare cu a ficatului si nu poate fi deosebita (blocul hepatosplenic). Este situata in spatele stomacului.
pseudoascita - spatiu hipoecogen evident doar ocazional intre ficat si peretele anterior al fatului, dat de muschii peretelui abdominal sau de grasimea regiunii respective.[8]
insertia cordonului ombilical - evidentiaza prezenta la acest nivel doar a vaselor ombilicale
intestinele - apar in abdomenul inferior cu relativa structura omogena si ecogenitate moderata. In special in trim III apar zone anecogene si zone hipoecogene in intestine. Dupa 35-36 saptamani, apare posibilitatea evidentierii meconiului partial inomogen in cadrul colic, in special in sectiunile oblice, prin translarea sondei. [1,.7]

Fig . nr. 186. Sectiune transversala la nivel abdominal, cu stomacul anecogen si vena ombilicala ( sageata )
Fig. nr. 187. Cordon ombilical cu trei vase sangvine , in sectiune transversala ( sageata)
Tractul urinar
Rinichii - sectiunile transversale la nivel lombar fetal identifica retroperitoneal, cel mai devreme la 13 saptamani, de obicei la 17 saptamani, doua zone inomogene, moderat ecogene. [1,13]
O usoara dilatatie a pielonului la 5 mm este vizibila in trim. II. Cresterea dilatatiei va ridica suspiciunea de trisomie 21. [8]
Sectiunile paravertebrale longitudinale vor defini structuri renale ovale cu parenchim hipoecogen si ecogenitate crescuta in pielon.
Raportul dintre circumferinta renala si cea abdominala ramane constanta pe parcursul sarcinii, la 0,27 - 0,30.[8]
Glandele suprarenale - greu de diferentiat de rinichi, ecogenitatea este foarte asemanatoare. De obicei, in a doua luna a sarcinii sunt mult mai mari ca rinichii, apoi scad fata de cresterea renala. La termen raportul greutate glanda suprarenala/ rinichi este de 1:3. La sectiunea transversala abdominala, glandele apar adiacente la coloana vertebrala, eliptice, cu cortex hipoecogen si mijloc hiperecogene.[1,8]
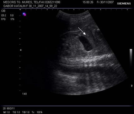
Vezica urinara se poate identifica de la 12 saptamani transvaginal, zona rotunda anecogena in pelvis, nu ar trebui sa depaseasca 6 cm in diametru pana la terminarea sarcinii. Este marginita de oasele iliace in sectiunile longitudinale sau oblice. Vezica urinara trebuie obligatoriu identificata prin examene ecografice repetate, in caz contrar se ridica suspiciunea unor malformatii.[ 1,8,13]

Fig. nr. 188. Sectiune parasagitala fetala cu rinichi in axul longitudinal ( linia)

Fig. nr. 189. Sectiune transversala fetala lombara cu evidentierea celor doi rinichi ( cate o sageata la nivelul pelvisului renal ). Se remarca arcurile vertebrale osificate ( doua sageti )

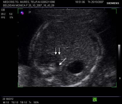
Fig nr. 190. Vezica urinara anecogena ( o sageata ) la nivelul pelvisului, in abdomenul superior , o alta formatiune anecogena , stomacul ( doua sageti ). Sarcina 16 sapt.
Organele genitale
Identificare sexului prezinta interes nu numai pentru parinti. Anumite boli ereditare legate de cromozomul X sau Y (de exemplu sindromul Hunter) sau feti cu formatiuni chistice in abdomen (chist ovarian, chist peritoneal, sd. Prune Belly) necesita diagnostic de sex fetal.[8,12]
Intre 11 si 12 saptamani se poate diagnostica cel mai devreme sexul, ce isi incepe dezvoltarea ca organ genital extern in saptamana 11. Rata decelarii corecte nu depaseste 53% la 11 - 12 saptamani, dar poate ajunge la 97% la 16 saptamani. [9]
Factorii ce influenteaza diagnosticul de sex:
experienta examinatorului
calitatea echipamentului ecografic
varsta gestationala
asezarea si pozitia fetala, pozitia membrelor inferioare
cantitatea de lichid amniotic din jurul pelvisului fetal.
Sex masculin - scrotul si penisul trebuie identificate separat, testiculele nu apar inainte de trim III in scrot; ocazional se identifica "hidrocelul fiziologic" caracterizat prin prezenta de lichid peritesticular. Examenul Doppler identifica jetul de urina ocazional si diferentiaza cordonul ombilical de penis.[8,12]

Fig. nr. 191. Linia indica penisul, la o sarcina de 25 sapt.
Sex feminin. Labiile mari si mici apar initial ca trei linii paralele ecogenice, in special in sectiunile transverse. Ovarele normale nu pot fi identificate ,ca si uterul.[9,12]

Fig. nr.192. Sexul feminin e indicat de cele 3 linii paralele hiperecogene date de labii
Diagnosticul diferential de sex fetal
Clitorisul poate mima la inceputul trimestrului II, ocazional, penisul. In sectiunile longitudinale sagitale clitorisul este orientat inferior, iar penisul superior. Labiile mari nu "floteaza" in lichidul amniotic spre deosebire de scrot, la miscarile induse peretelui abdominal matern
Membrele
Oasele lungi isi incep osificarea in diafiza, centrii de osificare pot fi pusi in evidenta incepand cu 9 - 10 saptamani la ecografia transvaginala si cca 12 saptamani la ecografia transabdominala. Epifiza cartilaginoasa apare, doar cu echipament de buna calitate, ca o zona hipoecogena, in trim. II si III.[1,7,8,12]
Evidentierea celor 4 membre depinde de varsta gestationala si miscarile fetale. Este mai usor sa urmaresti miscarile si segmentele membrelor in sarcina de trimestru I si II. Miscarile membrelor nu pot fi urmarite decat schimband rapid planurile de sectiune si eventual cu ajutorul memoriei cine-loop se pot studia.[8]
Membrele trisegmentare trebuie evidentiate sistematic cu ocazia screeningului de la 12 saptamani.
Femurul reprezinta o tinta de explorare, in special pentru biometrie, iar tibia si fibula trebuie evidentiate la ambele gambe. Ambele femure vor fi simetrice si egale. Centrii de osificare femural distal si proximal tibial apar la cca 32 - 33 saptamani, respectiv la 36 - 37 saptamani.
Piciorul trebuie evidentiat in continuarea gambei in sectiune sagitala. Aspectul plantar cu 5 degete, se obtine prin rotatia cu 90% a transductorului, dar necesita timp pentru imagine corecta. Planta nu poate fi evidentiata in asociere cu tibia, decat in prezenta unei deformitati ale membrelor.[1,7,12]

Fig. nr. 193. Membre inferioare in usoara flexie la 16 sapt. gestationale, cu linie tibia, se remarca la membrul inferior din planul departat de sonda ecografica, doua oase la gamba, hiperecogene si paralele

Fig. nr. 194. Talpa la 25 sapt. gestationale
Centrii de osificare ai calcaneului, talus, metatars, falange incep la 22 saptamani sa fie evidentiati ecografic.
MembreLE superioare
Humerusul poate fi evidentiat usor in sectiuni transversale toracice, dupa care se transleaza sonda pentru a urmari membrele superioare trisegmentare, cu doua oase paralele la nivelul antebratului, radius si ulna. Palma cu metacarp si degete necesita timp, pentru a evidentia cele 5 degete in flexie si extensie.[1,8,13]
Acest lucru e mai usor incepand cu trimestru II, dar in trim III mana are degetele de obicei flectate, cu degetul mare greu de identificat.
Osificarea metacarpului si falangelor poate fi detectata ecografic incepand cu trimestrul II. Oasele carpiene se osifica dupa nastere, apar ca zone hipoecogene. Falanga mijlocie a degetului mic evidenta, osificata, indeparteaza suspiciunea unui sindrom genetic.[8]

Fig. nr. 195. Mana dreapta, vedere dorsala , cu linie aratatorul,iar policele este inaccesibil
Fig. nr. 196. Mainile cu degetele flectate, linia indica contactul dintre doua degete de la membre superioare diferite

Fig. nr. 197. Membrul superior stang trisegmentar, la 16 saptamani, se remarca posibilitatea numararii degetelor, ca si antebratul cu doua oase
Bibliografie
Badea R.I.,Dudea S. M., Mircea P. A.,Stamatian F.,Tratat de Ultrasonografie Clinica, Editura Medicala - Bucuresti 2000, pag 568-674
Berg C., Georgiadis M.,Geipel A.,Gembruch U., The area behind the heart in the four -chamber view and the quest for congenital heart defects, Ultrasound Obstet Gynecol 2007;30;721-727.
Callen P.W., Ultrasonography in Obstetrics and Gynecology , Fifth Edition , Saunders Elsevier 2008, pag 297-675
Carera J . M., Kurjak A. , Donald School Atlas of Clinical Application of Ultrasound in Obstetrics & Gynecology, Jaypee Brothers Medical Publishers 2006, pag.165-239.
England M.A., Farbatlas der Embryologie. Stuttgart: Schattauer 1985
Kuldeep Singh, Narenda Malhotra , Step by Step Ultrasound in Obstetrics, Jaypee Brothers 2004 pag
Kurjak A., Chervenak F. A., Donaid School Textbook of Ultrasound in Obstetrics and Gynecology , Jaypee Brothers Medical Publisher, 2004, pag 250 - 319.
Merz E., Ultrasound in Obstetrics and Gynecology, second edition , Georg Thieme Verlag 2005 , vol 1, pag 81- 138
Mielke G., Kiesel L., Backsch C., Erz. W., Gonser M., Fetal sex determination by high resolution ultrasound in early pregnancy. Europ. J. Obstet. Gynecol.& Reprod. Biol. 7 ( 1998 ) pag 109 - 114.
Moore K.L. , Embryologie. Stuttgart: Schattauer 1985 .
Rakesh Gupta , Step by Step Fetal Echocardiography, Jaypee Brothers 2006, pag 1 - 70
Rumack C. M. , Wilson S.R., Charboneau W., Johnson J.A.M.,Diagnostic Ultrasound, third edition , Elsevier Mosby vol 2 pag 1215-1458
Stamatian F., Embryo- Fetal Ultrasound 2D, 3D, and Doppler, CD editat in colaborare cu UMF Cluj Napoca, 2002,
The International Society of Ultrasound in Obstetrics & Gynecology , Sonographic examination of the fetal central nervous system : guidelines for performing the " basic examination'' and the fetal neurosonogram',in Ultrasound Obstet Gynecol 2007; 29;109-116
|
Politica de confidentialitate | Termeni si conditii de utilizare |
Vizualizari: 11897
Importanta: ![]()
Termeni si conditii de utilizare | Contact
© SCRIGROUP 2025 . All rights reserved