| CATEGORII DOCUMENTE |
| Alimentatie nutritie | Asistenta sociala | Cosmetica frumusete | Logopedie | Retete culinare | Sport |
Uveea reprezinta stratul vascular aflat sub sclera. Este o membrana bogat pigmentata, foarte vascularizata, fiind numita pentru acest considerent membrana nutritiva a ochiului
Embriologie
Datorita structurii sale complexe, are origine in diferite structuri embrionare:
irisul - partea anterioara are origine mezodermica, in timp ce foita posterioara, are origine neuroectodermica;
procesele ciliare - epiteliul provine din neuroectoderm, iar stroma are origine mezodermica, la fel ca si muschiul ciliar;
coroida are origine mezodermica.
Aspecte anatomofunctionale
Din punct de vedere anatomic, uveea este alcatuita din trei componente distincte: irisul, corpul ciliar si coroida.
Irisul. Este portiunea cea mai anterioara a uveei; este situat inapoia corneei si inaintea cristalinului (delimiteaza posterior camera anterioara a globului ocular).
Are forma unui diafragm prevazut cu un orificiu central, numit pupila. Irisul prezinta o fata anterioara prevazuta cu numeroase depresiuni radiare (cripte) care poate fi divizata in doua zone topografice.
Zona periferica, ciliara;
Zona centrala, pupilara.
Aceste doua portiuni iriene sunt separate de o zona mai proeminenta, festonata, numita, colereta. In apropierea marginii pupilare se observa o zona circulara, pigmentata, care este denumita lizereul (gulerasul) pigmentar. Marginea pupilara a irisului formeaza pupila, care are un diametru variabil de la 1,5 - 9 mm. Irisul prezinta o corelatie diferita ("culoarea ochilor") determinata de cantitatea de celule cromatofore aflate in stroma sa. Aceasta structura este variabila, ea difera de la individ la individ si cu varsta.
Histologic, irisul are trei structuri:
endoteliul anterior, alcatuit dintr-un singur strat de celule epiteliale, fara pigment, se continua endoteliul cornean;
stroma iriana, formata din tesut conjunctiv lax, in care se gasesc fibre elastice, fibre musculare netede, vase de sange, nervi si celule pigmentate (melanocite). Fibrele musculare din stroma formeaza muschiul sfincter pupilar inervat de fibre parasimpatice ale nervului III, contractia lui producand miscarea diametrului pupilar (mioza).
epiteliul posterior, contine doua randuri de celule. Randul anterior este format din celule mio-epiteliale, care alcatuiesc muschiul dilatator al pupilei, cu fibre radiare, inervat de ramuri nervoase simpatice. Contractia dilatatorului determina midriaza. Cel de-al doilea rand este format din celule cubice, intens pigmentate, care reprezinta prelungirea anterioara a epiteliului pigmentar al retinei. Acest strat pigmentar este rasfrant inainte, la marginea pupilei, formand gulerasul, (lizereul) pigmentar.
Vascularizatia irisului.
Arterele irisului provin din cele doua artere ciliare lungi posterioare, care formeaza la periferia irisului marele cerc arterial . La formarea acestei anastomoze participa si arterele ciliare anterioare. Din marele cerc arterial pornesc ramuri radiare care se anastomozeaza in jurul orificiului pupilar (la nivelul coleretei) si formeaza micul cerc arterial al irisului. Venele irisului urmeaza traiectul invers arterelor si dreneaza in venele proceselor circulare si apoi in venele vorticoase. La nivelul irisului nu exista vase limfatice.
Inervatia irisului este dubla, motorie si senzitiva.
Nervii motorii sunt furnizati de simpatic si parasimpatic. Nervii simpatici provin din simpaticul cervical si inerveaza muschiul dilatator al pupilei. Nervii parasimpatici provin din nervul oculomotor comun pe calea nervilor ciliari scurti posteriori si inerveaza muschiul sfincter pupilar.
nervii senzitivi ai irisului provin din nervul trigemen, pe calea nervului oftalmic. Prin actiunea lor fac din tesutul irian o zona foarte sensibila, orice leziune declansand o durere vie.
Functional, irisul are rol:
de diafragm, regland prin dimensiunea pupilei cantitatea de lumina care ajunge la retina;
rol protector al retinei prin absorbtia razelor luminoase ce patrund prin cornee in afara zonei pupilare;
efect stenopeic, reduce absorbtia cromatica si de sfericitate a dioptrului ocular;
rol in absorbtia umorii apoase la nivelul criptelor.
Corpul ciliar. Reprezinta portiunea mijlocie a uveei, si se intinde de la radacina irisului pana in zona numita ora serrata, avand o latime de 6-7 mm. Pe sectiune sagitala au o forma triunghiulara cu 3 fete (antero-interna, antero-externa, postero-externa), o baza si un varf. Baza corpului ciliar este situata anterior in contact cu irisul. Varful este indreptat posterior spre ora serrata. Fata externa este in contact cu sclera, iar fata interna cu vitrosul. Corpul ciliar prezinta 2 zone:
partea anterioara (pars plicata) - 2 mm care contine procesele ciliare si vaile ciliare. Procesele ciliare sunt alcatuite din ghemuri vasculare anastomozate tapetate de epiteliul ciliar cu rol in secretia umorii apoase (reprezinta retina ciliara);
partea posterioara (pars plana) - 4 mm se intinde posterior de procesele ciliare pana la retina periferica, la nivelul orei serrata.
In alcatuirea corpului ciliar intra numeroase fibre musculare netede care reprezinta muschiul ciliar. Acesta contine trei grupe de fibre:
fibre longitudinale, care se intind de la limbul corneoscleral la ora serrata;
fibre oblice radiare, de la limb la procesele ciliare.
Aceste doua feluri de fibre musculare formeaza muschiul Wallace-Brcke.
fibre circulare, situate paralel cu circumferinta irisului care alcatuiesc muschiul Rouget-Mller.
Functional, corpul ciliar are urmatoarele roluri:
secretia umorii apoase de catre procesele ciliare (epiteliul ciliar);
intervine in acomodatie prin modificarea puterii de refractie a cristalinului prin tractiune pe zonula lui Zinn.
Vascularizatia corpului ciliar:
Arterele provin din marele cerc al irisului;
Venele se varsa in venele ciliare anterioare.
Inervatia corpului ciliar este motorie si senzitiva.
Nervii motorii provin din simpaticul cervical pentru vasele corpului ciliar si muschiul Wallace-Brke si din parasimpaticul mezencefalic pentru muschiul Rouget-Mller.
Nervii senzitivi isi au originea in trigemen.
Histologic, coroida are 4 straturi:
Supracoroida (lamina fusca) situata sub sclera, alcatuita din tesut conjunctiv-lax in care se afla vase si nervi.
Stratul vaselor mari (lamina vasculara) contine artere si vene de calibru mare, melanocite, fibre ale nervilor ciliari;
Stratul corio-capilar, lipsit de pigment, alcatuit dintr-o retea de capilare fenestrate;
Membrana Bruch, care adera intim de stratul extern al retinei (epiteliul pigmentar) reprezinta zona in care au loc o mare parte din procesele patologice corio-retiniene.
Functional coroida indeplineste roluri multiple:
nutritiv - asigura prin vascularizatia bogata nutritia unei mari parti a globului ocular;
tensional - rol in reglarea tensiunii intraoculare;
de protectie si aparare;
prin bogatia de pigment melanic participa la formarea camerei obscure a ochiului;
furnizor de caldura, functionand ca un reglator de caldura in interiorul globului ocular.
Vascularizatia arteriala se imparte in doua zone:
zona posterioara, unde este reprezentata de arterele ciliare scurte posterioare;
zona anterioara, unde este formata din arterele recurente.
Intre cele doua zone exista anastomoze.
Inervatia coroidei
Este vasomotorie si provine din nervii ciliari lungi si scurti si cuprinde fibre simpatice, parasimpatice, trigeminale si un sistem ganglionar.
Metode de examinare.
Irisul se examineaza:
- direct, cu ochiul liber sau cu lupa, la lumina zilei;
- cu ajutorul biomicroscopului.
La examenul irisului se observa:
Culoarea comparativa la cei doi ochi; diferenta de culoare intre ochi se numeste heterocromie iriana; hiperpigmentarea este denumita hipercromie, iar hipopigmentarea, hipocromie.
Modificari de forma ale irisului: coloboame congenitale, postoperatorii sau post traumatice;
Modificari ale pupilei: in cazul sinechiilor iriene posterioare;
Iridodializa sau dezinsectia radacinii irisului apare post traumatic;
Rupturi ale sfincterului pupilar cu deformarea pupilei; (post traumatic sau chirurgical).
Corpul ciliar se poate examina prin ecografie.
Coroida se examineaza prin:
Oftalmoscopie directa si indirecta; la examenul fundului de ochi se vizualizeaza normal numai retina, coroida poate fi observata doar in situatia aparitiei unor leziuni retiniene si coroidiene,
Biomicroscopia fundului de ochi cu lentila Goldmann sau lentila Hruby;
Angiofluorografia (vizualizarea vaselor corio-retiniene cu substanta de contrast);
Ecografia oculara.
Colobomul irian consta in absenta unui fragment din iris (o lipsa de substanta iriana) triunghiulara, ce apare ca si consecinta a unui defect de inchidere al fantei fetale a veziculei optice secundare. Colobomul tipic este bilateral dispus infero-intern. Colobomul atipic poate fi localizat in oricare alt sector irian. Colobomul irian poate fi asociat cu alte anomalii oculare: colobom cristalinian, coroidian, microftalmie.
Aniridia reprezinta lipsa congenitala a irisului.
Pseudopolicoria. Sunt orificii iriene atrofice cu aspect de pupile multiple aparute ca sechele ale unor inflamatii iriene intrauterine.
Persistenta membranei pupilare (Wackendorf) este prezenta sub forma unor filamente fine care traverseaza pupila sau a unei membrane in campul pupilar. Este consecinta resorbtiei incomplete a tunicii vasculare a cristalinului.
Colobomul corpului ciliar si al coroidei apare datorita aceleiasi cauze ca si colobomul irian cu care este uneori asociat.
Albinismul consta in absenta congenitala a pigmentului uveal. In aceste cazuri apare: hesperanopie, ingustarea campului vizual, miopie, nistagmus.
Afectiunile traumatice ale uveei sunt consecinta contuziilor si plagilor globului ocular.
v Leziunile traumatice ale irisului sunt:
- Iridodializa care consta in dezinsertia in sector a radacinii irisului intr-o contuzie forte a globului. Clinic aspectul iridodializei este o semiluna neagra la periferia irisului cu concavitatea spre limbul corneo-schelar, in sectorul respectiv pupila fiind deformata. Este insotita de obicei de prezenta unei lame de sange in partea inferioara a camerei anterioare (hiphema) si de alte leziuni ale sindromului contuziv de pol anterior (vezi afectiuni traumatice).
- Rupturile radiare ale irisului se aseamana clinic cu aspectul colobomului irian si se insotesc de hipema.
- Plagile perforante ale irisului sunt produse prin intepare sau taiere si sunt de dimensiuni variabile.
- Hernia de iris poate apare in plagile perforante corneene sau corneo-sclerale cand acestea depasesc 2 mm.
v Leziunile traumatice ale corpului ciliar.
Modificarile functionale se manifesta fie prin spasmul fie prin paralizia acomodatiei. Traumatismul proceselor ciliare poate conduce la scaderea secretiei de umoare apoasa (hipotonie oculara) sau la cresterea secretiei de umoare apoasa (hipertonie sau chiar glaucom postcontuziv).
Ciclodializa post traumatica consta in dezlipirea corpului ciliar de pe insertia sclerala, insotita de hipema si hipotonie oculara.
Plagile perforante ale corpului ciliar apar in cadrul unor plagi intinse corneo-sclerale si sunt considerate de o gravitate deosebita putand conduce la o oftalmie simpatica, periclitand prin aceasta integritatea ochiului congener.
v Leziunile traumatice ale coroidei. Se pot manifesta prin:
Coroidita traumatica cu hemoragii interstitiale care determina in evolutie atrofia coroidei.
Rupturi coroidiene
Decolare de coroida.
Uveitele reprezinta un ansamblu de afectiuni in care inflamatia include uveea si structurile adiacente.
Clasificarea uveitelor vizeaza mai multe criterii:
Anatomic (topografic), in raport de segmentul uveal afectat:
uveita anterioara reprezentata prin: irita (inflamatia irisului), ciclita (inflamatia corpului ciliar) si iridociclita (cand procesul inflamator afecteaza ambele segmente);
uveita posterioara, denumita coroidita, care de obicei se asociaza cu afectarea structurilor externe ale retinei sub aspectul corioretinitei;
panuveita (uveita totala, difuza) cu inflamatia intregului tract uveal.
v UVEITELE ANTERIOARE (IRIDOCICLITELE)
Iridociclitele pot fi clasificate:
dupa criteriul evolutiei in acute, subacute, cronice;
dupa natura exsudatului pot fi: seroase, fibrino-plastice si hemoragice;
dupa aspectul anatomo-patologic sunt: difuze (negranulomatoase) si granulomatoase;
dupa etiologie pot fi : exogene si endogene.
Etiopatogenie.
Uveitele anterioare pot avea cauze exogene sau endogene.
Uveitele exogene pot imbraca forma clinica septica sau toxica.
Uveitele septice sunt produse de agenti microbieni care patrund in globul ocular printr-o plaga perforanta sau prin perforarea unui ulcer cornean. Aspectul clinic in aceste cazuri este de uveita supurativa cu exudat in corneea anterioara (hipopion);
Uveitele toxice sunt cauzate de toxinele microbiene care se elibereaza la nivelul unui ulcer cornean bacterian (serpiginos) sau a altor cheratite. Agentii microbieni cel mai frecvent implicati in etiologia uveitelor exo-gene sunt: stafilococul, pneumococul, streptococul, bacilul piocianic etc.
Uveitele endogene sunt consecinta unei alte afectiuni acute sau cronice care poate afecta uveea printr-un mecanism infectios, toxic sau alergic. Iridociclitele endogene pot apare in: boli infectioase bacteriene, virale, micotice, parazitare, infectii de focar, stari imunologice, colagenoze, boli endocrine, uveo-meningoence-folite. Un rol major in etiologia uveitelor anterioare il joaca mecanismul alergic. Exista pacienti cu risc crescut pentru uveite, in particular cei care poseda antigenul HLA-B27, ca de exemplu, in spondilita anchilozanta si poliartrita reumatoida.
Cu toata multitudinea de factori care au fost identificati ca generatori ai uveitelor anterioare, o mare parte din iridociclite raman cu etiologie necunoscuta.
Tabloul clinic al uveitelor anterioare
Semne subiective
dureri oculare si perioculare (in teritoriul nervului oftalmic) exacerbate de lumina puternica, palparea globului, miscarile globului si de efortul acomodativ; in formele cronice evolueaza cu durere foarte discreta sau chiar fara durere;
lacrimare, fotofobie;
scaderea vederii in grade variate (datorita tulburarii mediilor oculare).
Semne obiective
congestia (hiperemia) conjunctivala pericheratica, cu vase dilatate, violacee, dispuse pericorneean (pericheratic);
edem cornean endotelial (stratul cel mai profund al corneei);
precipitate pe fata posterioara a corneei (pe endoteliu). Aceste precipitate sunt depozite alcatuite din celule inflamatorii care se depun pe endoteliu datorita curentului din umoarea apoasa. Ele constituie elementul obligatoriu pentru diagnosticul de ciclita (Fig. 12.1).
tulburarea umorii apoase se datoreaza prezentei fibrinei si celulelor inflamatorii cu formarea unui exsudat care poate fi seros, serofibrinos, purulent, care se depune decliv in camera anterioara formand hipopionul;
sinechiile iriene posterioare (irido-cristaliniene) reprezinta aderente ale marginii pupilare la cristaloida anterioara, datorita fibrinei si celulelor inflamatorii din umoarea apoasa (Fig. 12.2). Acestea au un aspect dintat (la inceput) si determina deformarea pupilei (vezi plansa), ele putand fi indepartate prin dilatarea pupilei cu instalatii de coliruri midriatice (atropina solutie 1%).

Fig. 12.1 - Precipitate retrocorneene
Fig. 12.2 - Sinechii iriene
Daca aceste aderente inflamatorii sunt mai vechi, ele se pot organiza putand cuprinde toata circumferinta pupilei, aspect numit secluzie pupilara. In unele cazuri secluzia pupilara se asociaza si cu prezenta unei membrane exsudative care acopera campul pupilar, realizand aspectul de secluzie-ocluzie pupilara. Secundar acestui fenomen se produce glaucomul secundar postinflamator prin blocaj pupilar.
-Mioza se produce datorita unui spasm reflex al muschiului sfincter pupilar, reflexul pupilar este prezent atata timp cat nu exista sinechii iriene posterioare.
- Modificarea tensiunii intraoculare (hipo sau hipertensiune) poate sa apara de asemenea in evolutia unei iridociclite. Mai frecvent tensiunea oculara creste, generand iridociclita hipertensiva.
Diagnosticul pozitiv
Se pune in prezenta ochiului rosu, cu congestie pericorneana, dureros si cu acuitate vizuala scazuta. Sunt asociate mioza, tulburarea umorii apoase, precipitate pe fata posterioara a corneei, sinechiile iriene posterioare.
Diagnosticul diferential include:
conjunctivita acuta (acuitatea vizuala normala, congestia conjunctivala este la nivelul fundurilor de sac periferica, exista secretie conjunctivala).
cheratitele - se observa modificarea transparentei corneei,
atacul acut de glaucom - pupila este in semimidriaza, tensiunea oculara este foarte crescuta, CA este foarte ingusta;
retinoblastomul (tumora retiniana a copilului mic) poate debuta cu uveita cu hipopion.
Evolutia si prognosticul iridociclitelor.
In formele acute care debuteaza brutal, cu simptome care aduc pacientul la medic prognosticul este de obicei bun, sub tratament, putand sa apara frecvente recidive.
In formele cronice, trenante ce evolueaza cu simptomatologie atenuata evolutia este indelungata, prognosticul este nefavorabil, pacientul vine tardiv la medic, de obicei atunci cand deja au aparut complicatii.
Forme clinice ale iridociclitelor.
Au fost descrise mai multe forme clinice in raport de particularitatile evolutive, sau de etiologie.
Anatomo-clinic, in corelatie cu aspectul evolutiv se diferentiaza:
forma acuta, cu debut brusc cu acuze subiective intense, care insa retrocedeaza repede sub tratament, in cateva zile.
forma subacuta sau cronica cu simptome atenuate, care poate conduce la complicatii.
In corelatie cu natura si aspectul exsudatelor inflamatorii au fost descrise 3 forme clinice de iridociclita:
forma fibrinoplastica,
forma seroasa
hemoragica
Forma fibrinoplastica apare in iridociclita streptococica (la copii si tineri) sau in iridociclita reumatismala (la varstnici).
Iridociclita seroasa are de obicei etiologie virala, iar forma hemoragica poate fi prezenta in cazuri de diabet, afectiuni hepatice sau uveita tuberculoasa.
Iridociclita focala reprezinta o forma clinica particulara care apare indeosebi la varstnici dar si la adulti. Aceasta forma clinica reprezinta aproximativ 1/3 din cazurile de iridociclita. Ea poate insoti multe dintre infectiile de focar (dentare, sinusale, amigdaliene, anexiale, prostatice). Patogenia bolii in aceste cazuri poate fi bacteriana sau toxica directa. Agentii microbieni sau credo si exotoxinele acestora pot fi vehiculati prin sange din focarul infectios primar. Uneori poate apare o hipersensibilizare progresiva a tesutului uveal la germeni cu virulenta atenuata sau la alte antigene nespecifice, care determina manifestarile clinice de uveita. Dintre leziunile dentare responsabile de uveite anterioare dar si posterioare (corioretinite) se pot mentiona: granuloamele periapicale, osteitele periradiculare, si mai rar, cariile penetrante sau pulpitele cronice. Propagarea infectiei in aceste cazuri poate avea loc prin tesuturile interpuse, pe cale osoasa, periostala sau prin intermediul unei sinuzite maxilare. In aceste conditii pot intra in discutie de obicei focarele de infectie homolaterale ale maxilarului superior. Posibilitatea propagarii infectiei pe cale sanguina, de la focarul primitiv (dentar) pana la tesuturile oculare mult vehiculata in trecut nu a putut fi stiintific demonstrata.
Complicatiile iridociclitelor
Apar indeosebi in cazurile diagnosticate si tratate tardiv sau in formele cu evolutie cronica. Pot fi mentionate:
secluzia-ocluzia pupilara cu aparitia glaucomului secundar (prin blocaj pupilar se impiedica drenarea umorii apoase din CA in CP a ochiului) cu hipertensiune intraoculara;
extinderea procesului inflamator spre coroida, rezultand panuveita (uveita totala, difuza);
cataracta complicata care se datoreaza alterarii metabolismului cristalinian;
complicatia finala este atrofia progresiva a globului ocular.
Tratamentul iridociclitelor
Este local si general si vizeaza masuri patogenice, simptomatice si uneori etiologice (cand este posibila stabilirea cauzei bolii).
Tratamentul local cuprinde:
administrarea de midriatice (atropina 1% ) care produc dilatarea pupilei, indepartarea sinechiilor iriene posterioare punerea ochiului in repaus (paralizia muschiului ciliar) ca si calmarea durerilor oculare; in cazurile cu sinechii iriene posterioare vechi, organizate sunt necesare injectii subconjunctivale sau parabulbare cu atropina sulfat (fiole 1%) la care se poate adauga adrenalina (fiole 1%) daca nu exista contraindicatii (HTA, sau alte afectiuni cardio-vasculare);
administrarea de preparate cortizonice (hidrocortizon acetat, dexametazon, betametazon) sub forma de colir (instilatii) sau in injectii subconjunctivale sau parabulbare. Aceste preparate au actiune antiinflamatoare si reprezinta o terapie patogenica si simptomatica;
sedarea durerilor oculare se poate obtine prin instilarea de solutie de dionina 2%, care ajuta si la resorbtia exsudatelor inflamatorii;
in cazul uveitelor exogene (in ulcere corneene sau plagi perforante) se administreaza antibiotice sub forma de coliruri si in injectii subconjunctivale sau parabulbare (gentamicina, oxacilina, cefalosporine).
In cazul uveitelor de cauza exogena se administreaza antibiotice cu spectru larg, preparate cortizonice (prednison 1 mg/kg corp/zi), sau uneori in cazurile cu evolutie severa chiar imunosupresoare.
Tratamentul general etiologic vizeaza cauza bolii, in cazurile in care aceasta se poate evidentia, dar in multe cazuri etiologia uveitelor ramane necunoscuta. In infectiile de focar se practica asanarea focarului respectiv (extractie dentara, cura sinuzitei). In formele cu etiologie nedeterminata se pot administra antibiotice cu spectru larg si preparate cortizonice.
UVEITELE POSTERIOARE - COROIDITELE
Uveitele posterioare reprezinta inflamatia coroidei, asociata uneori cu interesarea straturilor externe ale retinei. Sunt numite coroidite si respectiv corioretinite. Exista mai multe criterii de clasificare:
clinic in raport cu evolutia pot fi:
uveite acute, subacute, cronice;
dupa forma anatomo-patologica:
uveite granulomatoase si negranulomatoase (exsudative);
in raport cu segmentul uveal afectat
uveite localizate si uveite posterioare difuze;
dupa etiopatogenie :
coroidite exogene si endogene.
Etiologie
Corioretinitele pot avea cauze diverse, exogene sau endogene, putand apare astfel multiple forme clinice particulare.
- Coroiditele exogene se datoresc patrunderii agentilor patogeni din mediul extern printr-o plaga perforanta accidentala sau chirurgicala
- Coroiditele endogene pot fi exudative (nesupurative) si supurative.
Coroiditele endogene exudative au ca mecanism patogen un mecanism autoimun si/sau alergic. Cauzele acestora sunt reprezentate de: boli reumatismale, infectii de focar toxoplasmoza (pana la 30-40% din cazuri), hipersensibilizare la infectii specifice (TBC, lues), sarcoidoza, dezechilibru imunitar (boala Behcet, sindromul Vogt-Koyanagi).
Coroiditele endogene supurative sunt afectiuni metastatice, cu punct de plecare de la un focar extraocular (meningita, endocardita, otita, flebita, artrita, dermatita). Aceasta forma clinica poate imbraca o forma severa de coroidita supraacuta, cu aspect de flegmon al globului ocular, denumita panoftalmie.
Aspect clinic
Coroidite exudative
Subiectiv, pacientii prezinta miodezopsii (muste volante in campul vizual), scaderea vederii (marcata in cazul atingerii maculei), metamorfopsii (deformarea obiectelor in leziuni maculare).
Obiectiv, la examenul fundului de ochi, se observa:
vitrosul , cu opacitati filamentoase, cu aspect de "fulgi de zapada";
leziuni coroidiene si retiniene: buton coroidian unic sau noduli grupati cu aspect de placard alb-galbui, usor proeminent, cu contur imprecis, care in evolutie lasa leziuni cu aspect de plaje de atrofie corioretiniana alba, cu margini pigmentate. Leziunile pot fi in focar unic, multifocale, sau difuze (Fig. 12.3/4 -vezi plansa).
modificarile vasculare imbraca de obicei aspectul de periflebita retiniana si mai rar de periarterita;
mai pot apare si alte modificari: neovascularizatie retiniana, decolare de retina, nevrita optica, cu atrofie papilara secundara.
Fig. 12.3 - Corioretinita cicatriciala Fig. 12.4 - Corioretinita in focare multiple
Evolutia este cronica, de multe ori afectiunea recidiveaza.
Complicatiile care pot apare sunt multiple, dintre acestea mai frecvent se observa: cataracta complicata si uveo-neuroretinita.
Prognosticul in corioretinitele exudative este de obicei favorabil, evolutia conduce spre vindecare cu cicatrici atrofice si pigmentate, care atunci cand intereseaza regiunea maculara conduc la scaderea accentuata a vederii.
Coroidite supurative
Subiectiv pacientul prezinta durere oculara si scaderea acuitatii vizuale.
Obiectiv tabloul imbraca aspect de:
coroidita supurativa subacuta sau endoftalmie; aceasta se manifesta prin: edem palpebral, edem conjunctival (chemozis), exsudat in CA si campul pupilar;
coroidita supraacuta sau panoftalmie (flegmon al ochiului).
Tratamentul este local si general si trebuie sa utilizeze masuri sustinute, energice de antibioterapie si cortizonice. In panoftalmia constituita se practica evisceratia globului ocular.
![]()

Oftalmia simpatica
Este o forma clinica particulara de uveita (panuveita granulomatoasa) al carui factor declansator este un traumatism perforant (accidental sau chirurgical). Plagile oculare care intereseaza corpul ciliar si irisul, cu sau fara retentie de corp strain se afla la originea acestei afectiuni cu evolutie severa.
Patogenia este inca incomplet elucidata. Se accepta ipoteza ca oftalmia simpatica este o afectiune autoimuna, fiind sugerata o hipersensibilizare fata de pigmentul uveal sau fata de antigenul retinian S.
Tabloul clinic
Initial apare o panuveita severa la ochiul traumatizat denumit si ochi simpatizant (afectiune care nu poate fi stapanita terapeutic). La un interval de timp variabil (de la 2-3 saptamani pana la 10 si chiar 40 ani) apare o atingere uveala la ochiul congener (ochi simpatizat) uveita care este si mai rebela la tratament.
Pacientul acuza scaderea vederii, fotofobie si roseata pe ochiul neafectat de traumatism. Evolutia este de lunga durata, mai severa la ochiul simpatizat; fara tratament poate conduce la pierderea vederii prin complicatii: cataracta complicata, glaucom secundar, atrofia globului ocular.
Tratament
- tratamentul profilactic - este cel mai important si consta in tratamentul precoce si corect al plagilor oculare perforante. Daca plaga a realizat leziuni importante ale globului cu pierderea vederii este de preferat ca in timp de 1-2 saptamani sa se practice enucleatia ochiului simpatizant.
- tratamentul curativ al oftalmiei simpatice declansate trebuie sa fie intensiv cu imunosupresive, corticoterapie local si general. Dupa unii autori enucleatia globului traumatizat dupa declansarea oftalmiei simpatice este inutila uneori evolutia bolii fiind mai severa la ochiul simpatizat. Tratamentul chirurgical (extractia cristalinului cataractat sau operatia glaucomului) se poate practica la cel putin 1 an de la calmarea inflamatiei uveale.
__________ ______ ____ __________ ______ ____
AFECTIUNI TUMORALE
Tumorile uveei isi au originea in diferitele portiuni ale uveei, putand fi:
A. TUMORI IRIENE:
Tumori benigne:
nevii irieni se prezinta ca conglomerate pigmentate, brune situate pe fata anterioara a irisului (la 30% din populatia de rasa alba);
chisturile iriene sunt congenitale, traumatice, parazitare.
Tumori maligne:
melanosarcomul se prezinta ca un depozit pigmentar proeminent, vascularizat, ce provoaca deformarea pupilei, fenomene iritative, cataracta in sector, astigmatism.
B. TUMORILE CORPULUI CILIAR pot fi clasificate in:
Tumori benigne:
chisturi
tumori vasculare (angioame)
tumori melanice (pigmentate)
Tumori maligne:
melanosarcomul corpului ciliar se manifesta clinic prin bombarea si deformarea irisului, tulburari de transparenta cristaliniana localizate, camera anterioara cu profunzime inegala, anestezie corneana, astigmatism secundar. Tumora se poate vizualiza prin examen gonioscopic. Pentru diagnostic este necesara ecografia sau computertomografia globului ocular.
C. TUMORILE COROIDEI pot fi:
Tumori benigne : - angiomul (tumora vasculara)
- melanomul benign (tumora pigmentata)
Tumori maligne : - primitive (melanosarcomul coroidian)
- secundare (metastatice)
Melanosarcomul
Melanosarcomul sau melanomul malign coroidian este cea mai frecventa tumora maligna oculara si are o frecventa mare in jurul varstei de 60 ani, dar poate apare aproape la toate varstele (30-70 ani). Este de obicei unilaterala si se dezvolta pe nevi coroidieni preexistenti si mai rar dupa inflamatii oculare sau traumatisme.
In evolutia melanosarcomului coroidian se descriu patru stadii:
in stadiul de debut apar simptome subiective: scaderea vederii,
metamorfopsii (deformarea imaginilor), fosfene (stelute luminoase) si
semne obiective: la examenul fundului de ochi se observa o decolare de
retina fixa, limitata, fara rupturi si cu un plan
vascular dublu (al tumorii si al retinei);
in stadiul de glaucom secundar apare un puseu acut de hipertensiune oculara (cand tumora se dezvolta anterior si inchide unghiul camerular anterior) iar subiectiv se adauga durerea si congestia oculara;
stadiul de invadare orbitara apare cand tumora perforeaza globul si invadeaza tesuturile invecinate (Fig. 12.5);
Fig. 12.5 -
Melanom coroidian std III
stadiul final este stadiul de generalizare, cu metastaze in ficat,
plaman, creier, oase.
Diagnosticul pozitiv se realizeaza prin coroborarea examenului clinic
(Fig. 12.6) cu examenele paraclinice:
- ecografia in sistem A si B (apreciaza dimensiunile tumorii si le clasifica),
- tomografia axiala computerizata (precizeaza existenta tumorii si extensia sclerala),
- rezonanta magnetica nucleara (stabileste prezenta metastazelor);
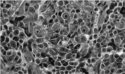
- examenul histopatologic stabileste tipul tumorii (Fig. 12.7).
Fig. 12.6 -
Melanom coroidian - aspect clinic

Fig. 12.7 - Melanom coroidian - aspect histopatologic
Diagnosticul diferential al melanomului malign coroidian include decolarea de retina primitiva, hemoragii coroidiene si decolarea de coroida.
Tratamentul
In stadiul incipient, cand tumora este mica (diametrul bazal 5-10 mm, grosimea sub 3 mm) se poate practica extirparea tumorii sau fotocoagulare laser.
Cand tumora are dimensiuni medii (diametrul bazal 10-15 mm, grosimea 3-5 mm) se poate aplica un tratament radical (enucleatia globului ocular in limitele de siguranta oncologica) sau un tratament conservator (iradiere cu placute radioactive cu Co, Iod125 plasate pe sclera).
Pentru tumorile mari (diametrul bazal 15-20mm sau peste, grosimea 5-10 mm sau peste) se efectueaza enucleatie si radioterapie pre si postoperatorie. Cand tumora invadeaza orbita se practica exenteratia orbitei asociata cu radioterapie, chimioterapie, si imunoterapie.
Fig. 12.8 -Melanom malign - aspect ecografic
Prognosticul in melanomul malign coroidian este foarte sever, cu o frecventa mare a metastazarii, fiind in raport de momentul diagnosticarii si de aplicarea precoce a tratamentului. Tratamentul se face in colaborare cu medicul oncolog.
Tumorile coroidiene metastatice
Sediul primitiv al tumorii este la nivelul pulmonar, hepatic, vertebral, genital.
Aceste metastaze sunt de obicei bilaterale si apar in stadiile finale ale bolii de baza. Se poate efectua un tratament paleativ prin iradiere localizata cu cobalt, iod, iridiu.
|
Politica de confidentialitate | Termeni si conditii de utilizare |
Vizualizari: 6481
Importanta: ![]()
Termeni si conditii de utilizare | Contact
© SCRIGROUP 2025 . All rights reserved