| CATEGORII DOCUMENTE |
| Alimentatie nutritie | Asistenta sociala | Cosmetica frumusete | Logopedie | Retete culinare | Sport |
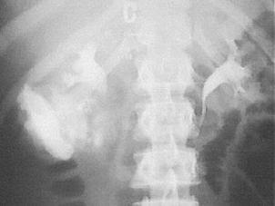
Traumatism abdominal inchis
Trusa de lavaj peritoneal Ruptura
de splina

Traumatism abdominal inchis Traumatism abdominal inchis
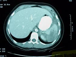
Aspect postsplenectomie Hematom subcapsular
splenic rupt
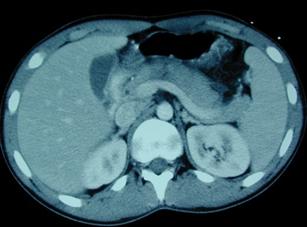
Traumatism abdominal inchis Traumatism abdominal inchis
Leziune de pancreas Aspect dupa pancreatectomie distala

Traumatism abdominal inchis Plaga impuscata abdominala
Leziune de intestin subtire Orificiu de intrare

Leziune de lob drept hepatic prin
impuscare Leziune de lob drept hepatic prin impuscare

Leziune hepatica
prin impuscare Leziune
hepatica prin impuscare
Orificiu de intrare Orificiu
de iesire

Leziune de cap de pancreas prin impuscare Leziune de cap de pancreas prin impuscare

Leziune de cap de pancreas prin impuscare Leziune de intestin subtire prin impuscare

Leziune de intestin subtire prin impuscare Plaga abdominala cu evisceratie
TRAUMATISM ABDOMINAL EXAMINARE FAST

TRAUMATISM ABDOMINAL EXAMINARE FAST
TRAUMATISM ABDOMINAL EXAMINARE FAST

Traumatism abdominal inchis Traumatism
abdominal inchis
Leziune hepatica intraparenchimatoasa Leziune de lob drept
hepatic

Traumatism
abdominal inchis Traumatism
abdominal inchis
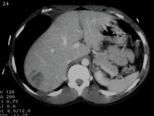
Leziune de splina Leziune de splina

Traumatism abdominal inchis
Leziune de pancreas ( ambele foto)
Traumatism abdominal
inchis
Leziune pancreatica

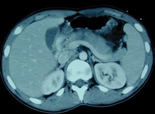
Rinichiul drept Rinichiul
drept
Extravazarea substantei de contrast Defect de
umplere - pol superior
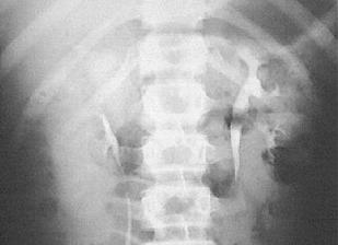
Rinichiul stang
Sistem
caliceal, ureter, vezica urinara ocupate de un cheag de sange

Lipsa vascularizatiei rinichiului stang Angiograma
Lipsa vascularizatiei rinichiului stang

Leziune renala Leziune renala

Leziune
renala Leziune renala prin impuscare
Orificiu de intrare

Leziune renala prin impuscar Explozie de rinichi Angiograma
Orificiu de iesire

Explozie de Rinichi Fractura de coloana vertebrala T7-T8 cu
Piesa pentru examen morfopatologic compresie
medulara

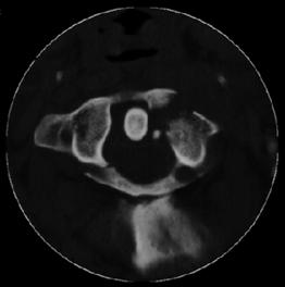
FRACTURA - LUXATIE T12 FRACTURA COMPLEXA DE COLOANA
VERTEBRALA LOMBARA
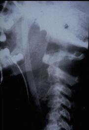
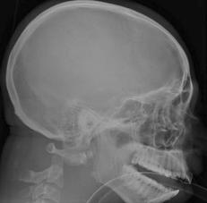
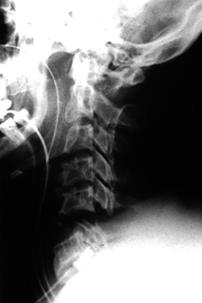
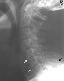
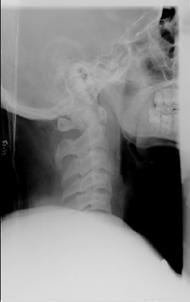
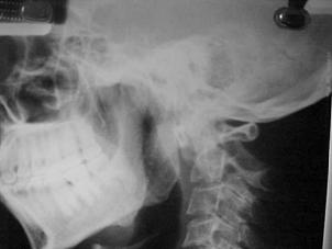
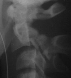
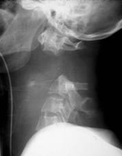
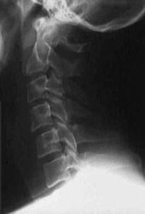
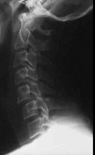
TRAUMA CERVICALA
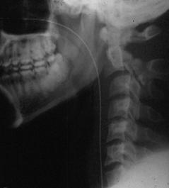
Incidenta laterala Incidenta
laterala Incidenta
antero-posterioara
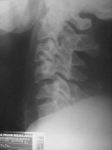
Aspect normal Imagine
incompleta Aspect
normal
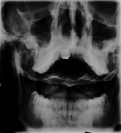
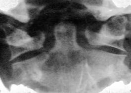
Incidenta occipitomentala (odontoida)
Aspect normal Incidenta
oblica
Aspect normal
Incidenta oblica Incidenta laterala Incidenta antero-posterioara
Aspect normal Aspect normal Aspect normal
![]()

![]()
Fractura
Jefferson
Fractura Jefferson Fragmente
osoase la stanga apofizei odontoide
![]()

Fractura Jefferson Fractura spanzuratului
Aspect CT
![]()



Fractura spanzuratului Fractura anterioara C4 Fractura C5 in lacrima in flexie
"in lacrima"
![]()
![]()
Fractura C5 "in lacrima" in extensie Luxatie fatetara
unilaterala Luxatie
fatetara bilaterala
C5 - C6 C5 - C6

Incidenta laterala Fractura Clay-Shoveler Luxatie atlanto-occipitala si
atlanto-axiala

Fractura de odontoida Fractura de odontoida si Luxatie atlanto-axiala
luxatie atlanto-axiala

Fractura de odontoida si fractura-luxatie atlanto-axiala Fractura-luxatie C5 - C6

Fractura-luxatie C5 - C6 Fractura cominutiva C4
Imagine CT

Fractura
cominutiva C4
Imagine CT
Fractura-luxatie C7 - T1
TRAUMATISMELE EXTREMITATILOR

Fractura de humerus
Sindrom de compartiment Sindrom de compartimen
Fasciotomie mediala superficiala Fasciotomie mediala

Sindrom de compartiment Plaga impuscata in regiunea poplitee
Fasciotomie laterala
Plaga impuscata in
regiunea poplitee Leziune de artera
poplitee
Sectiune de artera
poplitee Refacerea traiectului vascular cu grefa venoasa

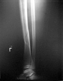
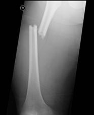
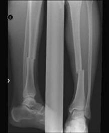
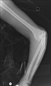
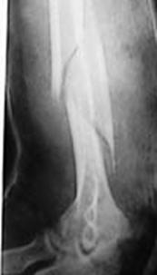
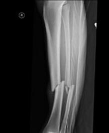
Fracturi simple: SPIRALA OBLICA TRANSVERSALA

Fractura spirala de Fractura transversa de diafiza femurala Fractura spirala de diafiza tibiala
diafiza humerala
Fractura spirala de diafiza tibiala Fractura oblica de diafiza tibiala Fractura transversala de diafiza tibiala


Fracturi cominutive

Fracturi spirala cominutive de Fractura complexa de diafiza radiala diafiza humerala
f
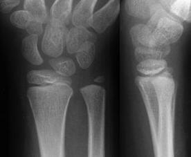
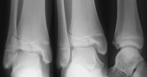
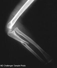
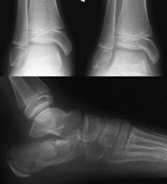
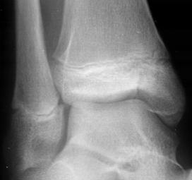
Fractura multisegmentara intertrohanteriana Fractura Salter - Harris I

Fractura Salter - Harris I Fractura Salter - Harris II

Fractura Salter - Harris III
Fractura Salter - Harris IV Fractura Salter - Harris V

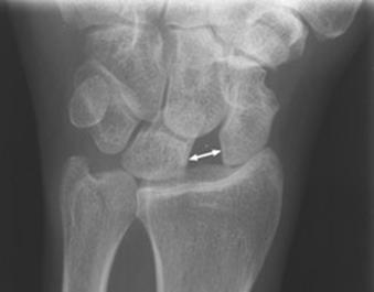
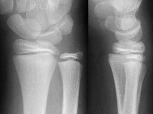
Largirea articulatiei scafo-lunare Fractura
Galeazzi
Semnul Terry Thomas

Fractura Galeazzi Fractura Monteggia
Fractura Monteggia Fractura 1/3 proximala radius si ulna Fractura proximala intracapsulara
de humerus
Luxatie
gleno-humerala

Fractura proximala
intracapsulara de humerus Fractura proximala intracapsulara de humerus
Luxatie
gleno-humerala Luxatie gleno-humerala
Aspect CT Aspect
CT

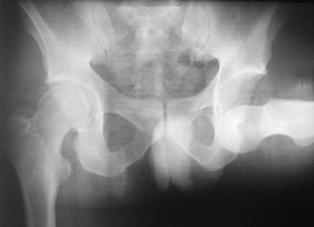
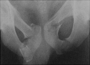
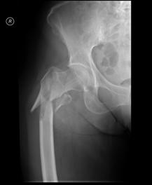
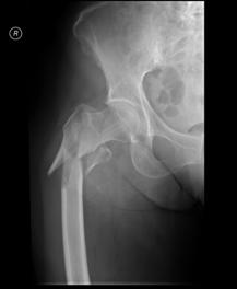
Luxatie de sold stang Luxatie de sold stang

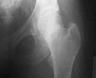
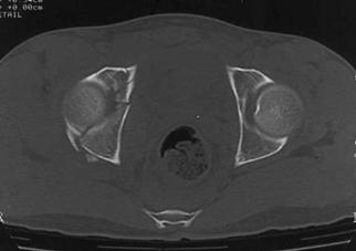
Fractura
de cap femural Fractura de cap femural
Aspect
CT

Fractura
de cap femural Fractura subcapitala cu usoara deplasare
Aspect CT

Fractura intertrohanteriana multifragmentara Luxatie de patela
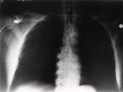
TRAUMATISME TORACICE

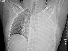
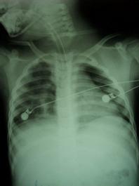
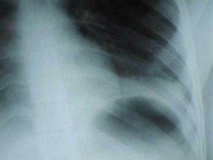
Emfizem subcutanat

Emfizem subcutanat Emfizem subcutanat
Aspect radiologic Imagine CT

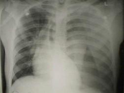
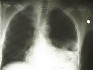
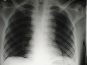
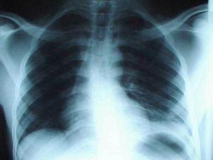
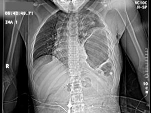
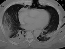
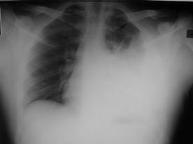
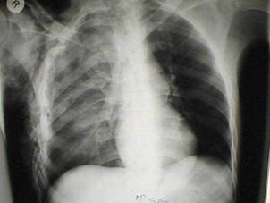
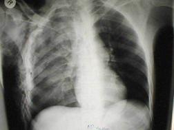
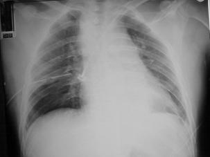
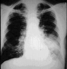
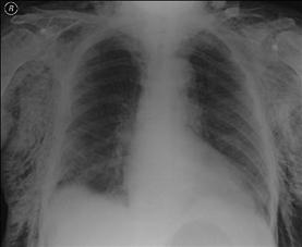
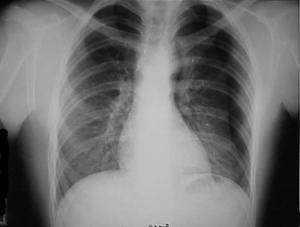
Pneumotorace sufocant bilateral Pneumotorace sufocant stang

Pneumotorace
sufocant stang Pneumotorace
sufocant drept Pneumotorace
sufocant drept
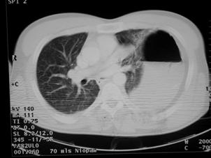
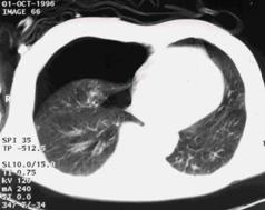
Imagine
CT Imagine CT

Pneumotorace deschis Pneumotorace
deschis Traumatism
toracic deschis cu
hernierea parenchimului pulmonar
(stanga) Contuzie pulmonara (dreapta)

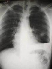
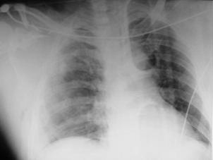
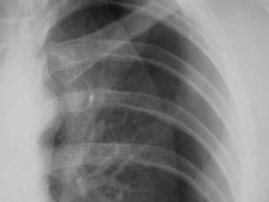
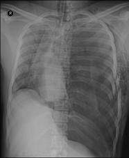
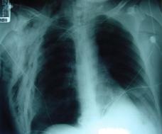
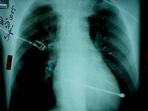
Traumatism toracic deschis Hemotorace stang masiv
hernierea parenchimului pulmonar
(stanga) Contuzie pulmonara (dreapta)

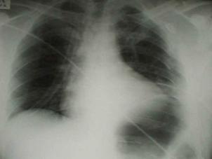
Hemotorace stang masiv Hemotorace stang masiv

Hemotorace
drept masiv Hemotorace stang
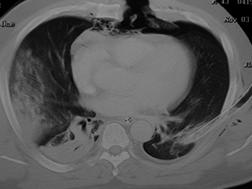
Imagine CT Radiografie efectuata in ortostatism

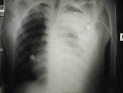
Hemotorace drept Hemo-pneumotorace stang
Radiografie efectuata in clinostatism

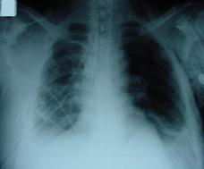
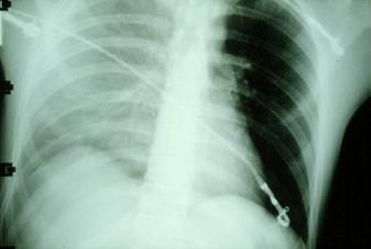
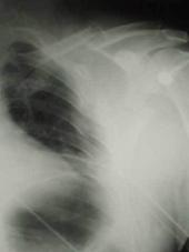
Hemo-pneumotorace stangDetaliu Fracturi costale multiple.Volet costal drept

Fracturi costale multiple Hemitorace drept strivit
Volet costal si hemotorace
drept Fracturi costale multiple
Volet costal si hemotorace drept

Hemitorace drept strivit Hemitorace drept strivit Hemitorace drept strivit
- dupa
ventilatie - Stabilizare interna chirurgic - dupa stabilizare
chirurgicala interna -

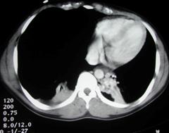
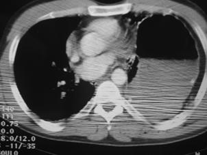
Plaga penetranta in regiunea precordiala Plaga penetranta in regiunea precordiala

Corp ascutit penetrat in regiunea precordiala Mediastin largit
Aortograma Mediastin largit
Leziune la nivelul istmului aortic

Aortograma.Leziune
situata distal de Aorta
clampata
emergenta arterei subclavii stangi Segment
lezat excizat

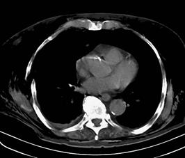
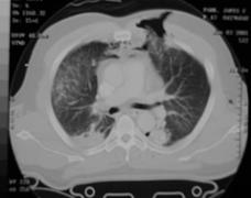
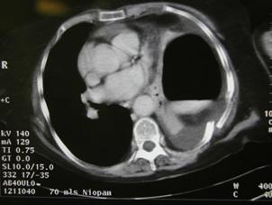
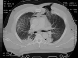
Contuzie pulmonara stanga Contuzie pulmonara dreapta

Contuzie pulmonara dreapta.Imagine CT

Ruptura de trahee

Perforatie
esofagiana Leziune de
hemidiafragm drept
Pneumomediastin

Leziune de hemidiafragm drept Leziune de hemidiafragm stang

Leziune de hemidiafragm stang Leziune de hemidiafragm stang

Leziune de hemidiafragm stang Leziune de hemidiafragm drept

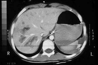
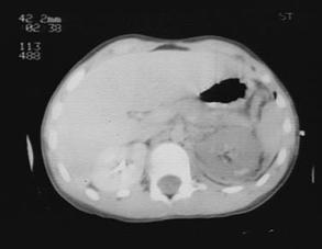
Ruptura de hemidiafragm stang cu hernierea Ruptura de hemidiafragm stang cu hernierea
stomacului si splinei stomacului si splinei.Imagine CT
Ruptura de
hemidiafragm stang cu hernierea Ruptura de diafragm
stomacului si splinei Radiografie cu substanta de contrast

Ruptura de diafragm Ruptura de diafragm. Gastrotorax

Ruptura de diafragm. Gastrotorax Imagine CT

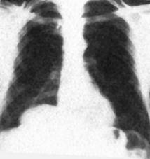
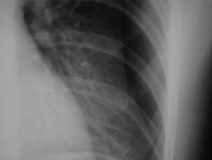
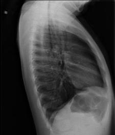
Pneumotorace simplu stang Pneumotorace
simplu stang

Pneumotorace
simplu stang
__________ ______ ____ __________ ______ ____ _____ _______ ______ ___________
TRAUMATISMELE UROGENITALE (fara foto)
TRAUMATISMELE PELVIENE

Traumatism
pelvian Hemipelviectomie dreapta posttraumatica
Ruptura de perete abdominal anterior

Fixator extern

Fixator extern Ganz Centura de stabilizare London

Centura de
stabilizare London aplicata Centura
de stabilizare London aplicata
Pliere in
vederea efectuarii unei laparotomii

Banda de stabilizare Geneva Banda de stabilizare Geneva aplicata
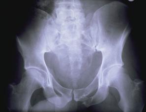
Banda de stabilizare Dallas Fractura de bazin. Radiografie in
incidenta AP
Inaintea
aplicarii benzii de stabilizare Dallas

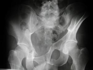
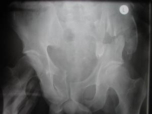
Fractura de bazin
. Radiografie in incidenta AP Fractura de spina
iliaca antero-superioara
Dupa aplicarea benzii de stabilizare Dallas prin avulsie. - Stabila -
Fractura de ram pubian cu minima
deplasare Fractura transversa de
sacru sau coccis
- Stabila - - Stabila -

Fisura de sacru si fractura ipsilaterala de ram pubian Fractura Straddle
-
Stabila -
Fractura Malgaigne Fractura Malgaigne. Imagine CT
Fractura de
aripa iliaca stanga Fractura de aripa iliaca
stanga
Disjunctie sacro-iliaca stanga Disjunctie
sacro-iliaca stanga Aspect CT
Compresie laterala

Fracturi pelviene multiple Fracturi pelviene multiple
Compresie bilaterala Compresie bilateralaAspect CT
Fracturi pelviene multiple Fracturi bilaterale de ramuri pubiene
Compresie bilaterala Aspect CT Disjunctie sacro-iliaca stanga Compresie antero-posterioara

Cistograma Fracturi ale ambelor
ramuri pubiene
Contur neregulat al vezicii urinare Disjunctie
sacro-iliaca dreapta
Hematom pelvian
Disjunctie de simfiza pubiana Disjunctie
de simfiza pubiana
Disjunctie sacro-iliaca stanga Disjunctie sacro-iliaca stanga. Aspect CT

Fractura de coloana anterioara si posterioara Fractura de coloana anterioara si posterioaraAspect CT
asociata cu fractura de aripa iliaca stanga

Fractura de acetabul Fractura de acetabul. Aspect CT
Vizualizari: 8125
Importanta: ![]()
Termeni si conditii de utilizare | Contact
© SCRIGROUP 2025 . All rights reserved