| CATEGORII DOCUMENTE |
| Alimentatie nutritie | Asistenta sociala | Cosmetica frumusete | Logopedie | Retete culinare | Sport |
TESUTUL OSOS SI OSTEOGENEZA
PREPARATE DE DESENAT
PREPARATE DEMONSTRATIVE
Tesut osos compact, col. HE
Osteoclast, col. HE
Osteocit, col. HE
Os spongios, col. HE
Osificare encondrala, col. HE
TESUTUL OSOS
Tesutul osos, este o varietate de tesut conjunctiv dens si ordonat cu structura lamelara, adaptata la solicitarile mecanice puternice.
In structura tesutului osos intra :
Celule
osteoblaste, celule
tinere, ovoidale, cu prelungiri putine si nucleu sferic, situat
central, ce prezinta 1-2 nucleoli. Au rol in formarea osului.
osteocite, celule adulte , stelate, cu prelungiri, adapostite in niste cavitati ce au forma celulei osoase, sapate in substanta fundamentala, numite osteoplaste.
Fig. 1 Tesut osos (schema generala)
osteoclastul este un sincitiu ,cu rol in resorbtia si remodelarea osului. Are talie mare, forma variabila , citoplasma abundenta si numerosi nuclei (zeci).
substanta fundamentala
fibre (fibre de colagen bine reprezentate)
Tesutul osos se clasifica in :
Tesut osos imatur sau nelamelar, intalnit la embrion si fat si foarte putin la adult.
Tesut osos matur, care la randul lui cuprinde :
1.tesut osos fibros (fibro-lamelar) de tip periostic, nehaversian,
2.tesut osos haversian (lamelar),care la randul sau se poate subimparti in :
-tesut osos haversian spongios sau
areolar, localizat in epifiza oaselor lungi, diafiza oaselor late, zona
centrala a oaselor scurte,
Fig. 2 Tesut osos spongios. Traveele osoase se anastomozeaza delimitand spatii largi ocupate cu tesut mieloid
Fig. 3 Tesut osos spongios in lumina polarizata.
-tesut
osos haversian compact sau dur, localizat in diafiza oaselor lungi,
corticala oaselor scurte.
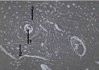
Unitatea morfofunctionala a tesutului osos compact poarta denumirea de sistem haversian sau osteon.
Fig. 4 Osteon. (schema generala) Central se identifica canalul Havers, iar in jur dispuse concentric se remarca lamelele osoase si invariabil incluzand osteoplastele care au continut osteocitele.

Fig. 5 Sectiune prin diafiza unui os lung
Sisteme Haversiene
O sectiune transversala prin diafiza unui os lung pune in evidenta:
-sub periost , o patura subtire de tesut osos lamelar, sistemul fundamental extern,
-in jurul canalului medular central o zona osoasa lamelara- sistemul fundamental intern,
-intre aceste doua sisteme se gaseste zona mijlocie, alcatuita din sisteme havers (osteoane) si sisteme interhaversiene.
Osteonul, este o formatiune tubulara de aspect cilindroid format din 5-19 lamele osoase asezate concentric in jurul unui canal numit canal Havers. In grosimea lamelelor osoase si intre ele se gasesc osteoplastele care prezinta numeroase canalicule ce se leaga intre ele si permit astfel osteocitelor (adapostite in osteoplaste) sa-si trimita prelungirile pana la osteocitele vecine in aceeasi lamela sau in lamelele osoase invecinate, apartinand aceluiasi osteon.
Sistemele interhaversiene sunt sisteme lamelare situate in spatiile dintre sistemele haversiene. De fapt sunt fragmente din sisteme haversiene care au fost partial distruse in timpul edificarii structurii osului. Aceste sisteme au aspectul unor grupe de lame incurbate , formand arcuri, unite intre ele , ce constituie partea din diafiza cu maxima rezistenta.
Sistemul fundamental extern este reprezentat de o patura osoasa subtire constituita din lamele , situata imediat sub periost si insotesc circumferinta intregului os. Aceasta patura osoasa este traversata de fibre colagene cu origine in periost, fibrele lui Sharpey.
Sistemul fundamental intern este tot o patura subtire de tesut osos, (5-10 lamele osoase) dispuse concentric fata de canalul medular, la limita cu acesta.
Fig. 6 Structura unui os lung , sectiune longitudinala si transversala.
Fig. 7 Os slefuit. Ob X 10.
canal Havers
osteocit in osteoplast
lamele osoase
Fig.
8 Os slefuit.

Fig. 9 Os decalcificat, ob X20.
canal Havers
canal Volkmann
osteon
Periostul
Este o membrana conjunctiva ce imbraca osul la exterior.
Aceasta patura conjunctiva prezinta doua straturi ce se continua unul pe altul :
-patura externa, de natura fibrilara , bogat vascularizata si inervata, -are rol nutritiv,
-patura interna, mai bogata in celule si cu structura mai laxa, cu functie osteogena.
Pentru ca osul sa poata fi studiat la microscop, el trebuie in prealabil prelucrat prin unul din urmatoarele procedee :
-decalcifiere- cu ajutorul acizilor (azotic, clorhidric, tricloracetic), in urma careia el poate fi prelucrat dupa tehnici histologice uzuale. Aceasta metoda se foloseste pentru studierea componentei neminerale.
-slefuire -se efectueaza pe osul uscat, nedecalcifiat. Aceasta tehnica presupune sectionarea unui fragment de os de maxim 1mm grosime din diafiza unui os lung. Apoi fragmentul se slefuieste pe o piatra de ascutit pana devine transparent. Se spala bine cu apa, se deshidrateaza in alcool, apoi se trece prin benzen si se monteaza in Balsam de Canada. Preparatele de os slefuit sunt folosite pentru a demonstra birefringenta lamelelor osoase. In lumina polarizata birefringenta osului haversian se manifesta sub forma unei figuri, numita "Cruce de Malta".
Osteogeneza si osificare
Osteogeneza reprezinta totalitatea proceselor osteoformatoare si osteodistructive , ce conduc la edificarea osului functional, a osului ca organ. Ea poate fi :
-embrionara sau primara
-postnatala sau secundara
Osificarea cuprinde procesul de formare a osului brut, de tip imatur, osul embrionar. Poate fi de doua tipuri :
Osificarea conjunctiva, de membrana sau desmala
Acest tip de osificare consta in transformarea tesutului conjunctiv in tesut osos. Procesul de osificare conjunctiva se intalneste la oasele craniului, unele oase ale fetei, clavicula.
Etapele osificarii conjunctive :
-faza de remaniere conjunctiva,
-faza de mineralizare.
Osificarea de tip cartilaginos, encondrala
Reprezinta procesul de substituire a cartilajului hialin din piesele scheletice ale organismului prin tesut osos. Acest tip de osificare se intalneste la :
Oasele lungi, scurte si o parte a oaselor late.
In acest tip de osificare asistam la 2 procese esentiale : remanierea si distrugerea cartilajului hialin si concomitent inlocuirea lui cu tesut osos.
Etapele (zonele) osificarii encondrale :
-zona de cartilaj hialin,
-zona de cartilaj seriat,
-zona de cartilaj hipertrofiat,
-zona de vascularizatie si eroziune,
-zona osteoida,
-zona osiforma-os imatur,
-zona osificata sau de os propriu-zis.
Fig. 10 Osificare encondrala. (schema generala)
Fig. 11 Osificare encondrala, col. tricromic Massson, ob X20
Articulatiile
Articulatiile sunt formatiuni anatomice, alcatuite din structuri morfofunctionale care leaga intre ele doua sau mai multe piese osoase. Distingem doua mari grupe de articulatii :
diartroze
sinartroze
Diartrozele sunt articulatii ce permit ample si variate miscari si sunt structurate din :
-cartilaj articular,
-capsula articulara,
-ligamente articulare,
-seroasa sinoviala,
-tesutul conjunctiv periarticular.
Cartilajul articular este de tip hialin, lipsit de pericondru si este format din trei straturi :
-stratul superficial, care contine celule mici si turtite , dispuse paralel cu suprafata articulara,
-stratul intermediar, care contine celule mari si rotunde, asezate in coloane perpendiculare pe stratul superficial,
-stratul profund , in care substanta intercelulara este calcificata.
Nutritia cartilajului articular se face pe seama lichidului sinovial.
Capsula ligamentara este o structura densa, fibroasa, constituita din fibre de colagen,
care asigura stabilitatea articulatiei.
Ligamentele articulare sunt structuri fie inglobate in capsula, fie independente de aceasta. In acest caz intre capsula si ligamentul articular exista o bursa seroasa. Ligamentele articulare sunt structuri tendinoase care la locul insertiei pe os prezinta o modificare fibrocartilaginoasa.
Sinoviala articulara reprezinta o structura caracteristica diartrozelor. Ea are structura unei membrane seroase alcatuita din :
-stratul bordant, care delimiteaza cavitatea articulara si reprezinta structura functionala a sinovialei. Este un strat bogat vascularizat si este format dintr-un epiteliu unistratificat sau bistratificat cu celule mari, sinoviocite, bazofile, cu prelungiri citoplasmatice ce pot contine vacuole si un nucleu voluminos central.
-stratul subsinovial este de natura conjunctivo-grasoasa. Este sarac vascularizat si sarac in celule, elementele celulare fiind reprezentate de adipocite, fibroblasti si histiocite.
|
Politica de confidentialitate | Termeni si conditii de utilizare |
Vizualizari: 6991
Importanta: ![]()
Termeni si conditii de utilizare | Contact
© SCRIGROUP 2025 . All rights reserved