| CATEGORII DOCUMENTE |
| Alimentatie nutritie | Asistenta sociala | Cosmetica frumusete | Logopedie | Retete culinare | Sport |
Stenoza mitrala
Definitie - reducerea mai mult sau mai putin considerabila a suprafetei (calibrului) orificiului atrioventricular stang (<2,5 cm2), realizand un obstacol in umplerea VS.
Incidenta:
- SM reprezinta 25% din totalul valvulopatiilor (40% asociata BM), frecvent
crescuta la femei (3-4:1),
- in tarile dezvoltate se manifesta sub varsta de 40 ani (12-20 ani foarte rar sub 10 ani);
Etiologie
RAA 99% din cazurile cu SM;
congenitala - foarte rara, SM + membrana in AS = cor triatriatum, sau + DSA = sindrom Lutembacher, la nou nascut poate apare o ingrosare a aparatului valvular si subvalvular fara afectarea valvelor;
calcificari degenerative ale inelului mitral (varstnici SM larga care nu necesita interv. chirurgicala);
colagenoze: PR, LES, spondilita anchilozanta;
boli ce mimeaza SM: mixomul AS, tromboza AS;
carcinoidul s. tricuspidiana;
mucopolizaharidoze (fenotipul Hunter Hurley);
alte etiologii rare: amiloidoza, terapia cu metisergide.
Anatomie patologica
Normal valva mitrala - cupa
verticala ca un veritabil con ce plonjeaza ca o parasuta in
VS
2 valve: - dreapta,
anterioara, marea valva 15-18 mm,
- stanga, posterolaterala 10-12 mm.
ele delimiteaza prin marginile lor libere orificiul mitral care este ovalar si semilunar orientat din fata in spate si din afara inauntru suprafata = 4-6 cm2,
inelul de insertie: fibros, dublu inel muscular bazal al VS, 10 cm circumferinta,
aparatul subvalvular musculo-tendinos:
pilierii musculari 2 sau 4
privesc cele 2 valve
se insera la nivelul 1/3 inf. cu 1/3 mijlocie a peretelui VS
cordaje tendinoase care unesc pilierii cu valvele
orificiul apare ca asimetric
Anatomopatologic
Exista 4 forme de fuziune a aparatului
mitral datorita leziunilor reumatismale care conduc la SM:
comisurala, cordala, cuspala, combinata.
Leziuni valvulare
- leziuni initiale localizate pe marginea libera a valvelor = valvulita marginala; se cicatrizeaza ducand la modificari complexe ale aparatului valvular si subvalvular,
- ulterior: - leziuni valvulare secundare endocarditei perlate granulo-verucoasa leziuni scleroase cu depozite de fibrina,
- apare o stramtorare a orificiului mitral 0,5 - 2 cm2 cu aspect linear sau potcoava,
- sutura comisurilor,
- valvele sunt ingrosate, albicioase, indurate, isi pierd supletea,
- apar calcificari vegetatii calcare chiar ulcerate,
- aparatul subvalvular format din cordaje si pilieri este ingrosat
- realizeaza o fuziune valvulo-papilara responsabila de o retractie subvalvulara
Forme anatomo-chirurgicale
forme suple: sudura comisura, valve putin ingrosate,
forme fibroase: scleroza marginala sau difuza,
forma suborificiala: fuziune valvulo-papilara,
forma calcificata: calcificari comisurale apoi cu valve si inel.
Dupa gradul de extindere a leziunilor:
stenoza mitrala in diafragm,
stenoza mitrala in tunel (canal conic, bloc pietros).
Corelatii fiziopatologie stenoza mitrala - clinica

Modificari anatomo-patologice ale cavitatilor cardiace
1. AS
volum normal 50-60 cm3 SM 100-200 cm3;
apar trombi care se pot ulcera, calcifica;
focare inflamatorii parietale;
placarde hemoragice.
2. VS - in general normal sau mic; pot apare leziuni de cordaje si pilieri (calcificari).
3. VD + AD - sunt mai mult sau mai putin dilatate in functie de gradul HTP: VD dilatat sau hipertrofiat, infundibulul pulmonar dilatat (Rx bombarea arc.II stg.), AD dilatat, 10% din cazurile de SM se pot asocia cu leziuni tricuspidiene.
Plamanul mitral
rigid, fara elasticitate;
leziuni parenchimatoase cu ingrosarea septurilor inter- alveolare, acumulare de pigment feric (acrocite, noduli hemosiderinici);
leziuni vasculare: distensie veno-capilara, alveolita edematoasa;
leziuni arteriolare in stadiul de HTP arteriala cu ingrosarea intimei, muscularizatia mediei;
leziuni bronsice: teleangiectazii la nivelul submucoasei
leziuni pleurale: epansament interlobar sau in marea cavitate.
Leziuni viscerale
Ficatul = aspecte variabile care definesc "ficatul cardiac" (de la congestie ciroza).
Tromboembolism: cerebral, renal, splenic, pulmonar.
Fiziopatologie
Orificiul mitral are in mod normal 4-6 cm2 si permite o umplere diastolica normala a VS. Prin studii hemodinamice (cateterism) s-a putut aprecia corelatia dintre gradul stenozei si aparitia simptomelor:
2 cm2 hemodinamica aproape normala,
< 1,5 cm2 modificari ale presiunii si rezistentei,
0,5-1 cm2 stenoza stransa, modificari severe hemodinamice.
Trecerea sangelui din AS VS la N se realizeaza prin diferenta de presiune dintre AS si VS.
Barajul mitral creste presiunea in AS hipertensiune veno-capilara care este cu atat mai mare cu cat orificiul mitral este mai stramt.
discreta la repaos si importanta la efort pentru o suprafata mitrala <1,5 cm2;
intre 15-25 mmHg la repaos si > 35 mmHg la efort pentru o SM < 1 cm2 ;
35 mmHg la repaos sau la minim efort pentru o SM < 0,5 cm2 ; (pentru o presiune capilara peste 35 mmHg apare edemul alveolar);
presiunea in AP (sistolica, diastolica si medie) creste presiunea VD HVC HTP (arteriala) fixa, autonoma (se realizeaza al II-lea baraj = gradientul arteriocapilar (PAP medie - Pcap.medie) > 15 mmHg si rezistentele arteriolare pulmonare HVD staza venoasa si ficat cardiac stazic.
Din punct de vedere fiziopatologic:
2 cm2 gradient mic SM usoara,
1-2 cm2 gradient moderat SM medie,
< 1 cm2 gradient sever SM severa cu HTP fixa.
Tablou clinic
Tulburari functionale
SM - asimptomatica multa vreme,
poate fi depistata cu ocazia unui examen complet pentru o alta afectiune,
diagnostic frecvent intre 25-30 ani.
Tulburari functionale de debut:
a) dispnee progresiva de efort (trebuie cuantificata dupa clasificarea in 4 stadii NYHA);
b) edem de efort = EPA de efort,
c) tusea,
d) hemoptizii:
- initial la efort (in cursul puseelor de bronsite sezoniere) - ulterior frecvente si la repaus,
- se produc datorita anastomozelor anormale intre venele pulmonare si venele bronsice (la omul normal aceste anastomoze sunt inactive)
- in SM se realizeaza un adevarat scurt-circuit intre venele pulmonare si venele bronsice
- ele pot sa se produca si datorita EPA sau maladiei tromboembolice.
e) algii toracice:
dureri ce survin la efort uneori;
pot simula o angina pectorala;
alteori pot fi surde si nu au comportamentul crizei deangina pectorala;
junghiul interscapulo-vertebral Vaquez-Vilbonnet;
hepatalgie de efort cu iradiere retrosternala.
f) modificarile starii generale:
nanism mitral (pseudo anemic),
facies mitral,
TAS 110-120 mmHg.
g) palpitatii - datorita tulburarilor de ritm frecvente ce apar in SM: EA, EV, TPA, FlA, FiA.
h) tromboembolii:tromboze si embolii. Efecte sistemice datorita trombozei AS.
g) disfonie - Sd. Ortner datorita compresiunii recurentului;
h) infectii pulmonare = bronsite hibernale;
i) convulsii prin: debit mic, tromb AS, tulburari de ritm, embolii.
j) moarte subita prin tromb, embolie,TR si TC;
k) semne legate de ICD: hepatalgii, edeme, ascita.
Examen obiectiv
A. Semne generale: facies mitral. Inspectia: cianoza periferica (extrem.),
casexia mitralului, nanism, ascita, edeme, sechelele unor AVC embolice (hemipareze, hemiplegii), uneori bombarea hemitoracelui stang si a zonei epigastrice, hipocondru drept.
B. Palparea
freamat catar diastolic,
vibratia mitrala (valve suple),
pulsatia parasternala dreapta,
VD palpabil in epigastru,
vibratia diastolica in sp. II parasternal stanga (HTP).
C. Auscultatie: ritmul Duroziez (zg. I >, CDM, UD), zg. I > valve mobile, zg. I < valve remaniate, insuficienta aortica, insuficienta mitrala, VS insuficient.
CDM > 0,04-0,12" dupa zg. II,
< 0,04 clivare,
> 0,12 zg.III (galop),
se aude in zona apexului.
Intervalul Q-ZI zg.II - CDM foloseste pentru aprecierea gradului stenozei
Q-ZI lung stenoza stransa,
Q-ZI scurt stenoza larga, zg. II-CMD scurt stenoza stransa.
- zg. II P HTP
- SD in zona de auscult. a pulmonarei HTP
- impuls sistolic parasternal stg.
Uruitura diastolica UD
la apex in lateral stg.
expresia unui flux turbulent prin zona stenozata
mai aspru
incepe imediat dupa zg. II
intensitatea ei nu este in relatie cu gradul stenozei ci durata ei.
este prezenta pe toata perioada gradientului AS-VS (>3mmHg).
SM usoara: nu se aude UD si se poate auzi in lateral stg. si dupa un minim efort sau in picioare.
SM foarte stransa: se aude pe linia axilara anterioara pe toata durata diastolei.
Suflu presistolic: precede zg.I, se aude in RS, apare datorita accelerarii fluxului prin stenoza in momentul contractiei AS.
Suflu diastolic de insuficienta pulmonara Graham Steel: in focarul pulmonar, > in inspir, apare dupa PII, se poate confunda cu insuficienta aortica.
Suflu sistolic in zona tricuspidei: de insuficienta tricuspidiana.
Galop de VD: - (zg.III.dr.) in stenozele mitrale stranse - semn de HTP (HVD)
SS de insotire in stenozele mitrale foarte stranse.
Galop VS - cand stenoza mitrala se asociaza cu o insuficienta mitrala sau insuficienta aortica.
Semnele de I.C. dreapta (cand s-au instalat): jugulare turgescente, hepatomegalie, edeme m. inferioare, ascita, pleurezie dreapta, embolii pulmonare (infarct pulmonar), puls hepatic, suflu sistolic de insuficienta tricuspidiana, galop ventricular drept.
Explorari paraclinice in stenoza mitrala
1. ECG utila De ce? - sugereaza stenoza mitrala (ax la dreapta, P mitral), sugereaza si alte asocieri la SM, sugereaza gradul stenozei.
SM usoara: EKG-ul este normal.
SM moderata: - AS larg cu presiunii, P largit si crestat >0,12s in DII, DIII, V1 aP +450 -300 (stg)
- daca apare FiA unde F mari,
SM cu HTP: P devine inalt, ascutit DII, V1, AQRS deviata la dr. (+1200,+1500), HVD.

2. FONO
precizeaza elementele auscultatorii ale SM,
permite calcularea indicelui Wells,
izoleaza suflul diastolic (IAo. sau IP),
izoleaza SS de insotire (dg. dif. cu IM),
izoleaza UD (dg.dif. cu alte elemente auscultatorii diastolice).
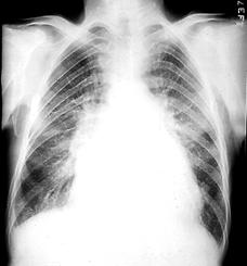
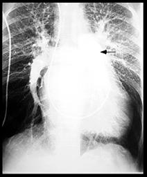
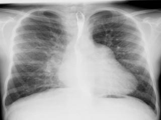
3. Rx. poate arata:
o silueta cardiaca mitrala,
largirea AS (PA, OAS, LS),
dublu contur dr.,
calcificari mitrale sau de AS,
VS mare sau mic,
semne de hipertensiune veno-capilara:
redistributie venoasa lobara sup,
edem interstitial,
linii Kerley exprima staza limfatica (A-la hil, B-la baza SM stransa, C-intre),
edem alveolar,
epansament pleural.
hemosideroza,
calcificari
pulmonare,
infarct pulmonar,
alte boli pulmonare
asociate.
4.ECHO
EF = N = 40 mm/sec. - in SM este scurtata
miscare anterioara sistolica a valvei mici poster.
platou diastolic al VMA
cresterea diametrului telesistolic al AS (>40 mm)
VS - normal; VD mare
calcificarea valvei mitrale si a aparatului subvalvular.
4.a) ECHO-2D
suturi comisurale,
remanieri valvulare si subvalvulare,
marirea AS cu sau fara tromboza,
dilatarea cavitatilor drepte si venei cave inferioare,
calcularea suprafetei orificiului mitral in protodiastola.
4.b) ECHO-Doppler continuu si pulsat permite cuantificarea gradului de stenoza.
5. Explorarea cu radioizotopi - cardioangiografia permite aprecierea dimensiunilor de cavitati, debite, FE, tulburari de contractilitate si regurgitarile.
6. Explorari functionale respiratorii - mai ales preoperator, scintigrama pulmonara.
7. Cateterism cardiac
permite calcularea gradientului dintre AS si VS,
azi se utilizeaza mai putin decand exista ECHO 2D + contrast, color si Doppler,
se poate calcula suprafata valvei mitrale.
8. Test de efort - mai rar sau chiar de loc.
Diagnosticul diferential al stenozei mitrale
UD - se vor elimina:
frecatura pericardica, mixomul AS, tromboza AS, stenoza
tricuspidiana.
hipertiroidia (zg.I >, UD), DSA, in fata unui EPA se vor elimina alte
cauze de IVS.
Forme clinice de stenoza mitrala
a) SM a copilului: mai rar congenitala, apare dupa 9-10 ani (primoinfectie reumatismala), retardare staturo-ponderala.
b) SM a barbatului: - semne discrete - diagnostic tardiv.
c) SM a subiectului varstnic: diagnostic tardiv, tabloul clinic este dominat de IC.
d) SM asociata cu alte leziuni: IM, insuficienta aortica, ST (rulmentul crescut in inspir, dilatarea urechiusei drepte, ritm sinusal paradoxal).
Evolutie si pronostic Depind de: gradul stenozei, de asocierile morbide, de starea miocardului, de terenul pacientului.
Accidente evolutive (complicatii)
A. Manifestari legate de staza din AS: TPSV, FiA paroxistica sau permanenta, complicatii trombo-embolice sistemice, compresiune prin AS gigant - paralizie recurentiala.
B. Manifestari pleuro-pulmonare
dispnee de efort,
dispnee paroxistica EPA de efort,
dispneea permanenta,
hemoptiziile,
epansamente pleurale,
bronsite cronice repetate.
C. Modificari ale IVD (in SM neoperate): ficat cardiac, edeme, ascita, insuficienta tricuspidiana.
D. Manifestari febrile: endocardita infectioasa, trombus intraatrial AS.
Prognostic - variabil in functie de clasa functionala:
- clasa II - 10 ani, deces 80% la cei neoperati,
- clasa III - deces in 5 ani la cei neoperati,
- postoperator: 95% supravietuire peste 5 ani si 80% supravietuire peste 10 ani.

Tratamentul SM
I. Etapa asimptomatica
a) Profilaxia RAA: - penicilina, eritromicina,
b) Profilaxia endocarditei bacteriene: tratamentul focarelor infectioase si protectie antibiotica la manevre medicale si chirurgicale,
c) Evitarea eforturilor mari,
d) Atentie ! Sarcina,
e) Tratarea corecta a anemiei si infectiei.
II. Etapa simptomatica
restrictie sare
restrictie efort
sedare
diuretice: nefrix, furosemid
tratarea aritmiilor: FiA - digoxin
anticoagulante:
SM + FiA,
SM + tromboza AS,
40 ani,
SM cu AS mare,
SM protezata mecanic.
profilaxia RAA si endocarditei infectioase,
conversia la RS.
Tratament chirurgical Indicatii:
facultativ cls. II si usor simptomatice, dar nu de rutina,
SM cls. III, IV,
SM cls.II cu embolii si FiA,
SM cu embolii recurente,
SM cu calcificari mitrale.
Tipuri
1. Comisurotomie pe cord inchis:
- 10-15% din cei cu SM (mai ales femei),
- Risc mai mic de 1%,
- SM in RS cu valve suple.
2. Comisurotomie pe cord deschis:
- SM cu valve calcificate remodelare anuloplastie
- se restenozeaza in 10-15 ani
- poate da regurgitare postoperatorie
3. Valvuloplastie
4. Proteza biologica - indicatii: femei tinere, cei care au contraindicatii pentru anticoagulante.
5. Proteza metalica cu bila: Starr-Edwards, Bjorck, Sorin.
Indicatii:
- bolnavi cu calcificari valvulare
- bolnavi restenozati
- regurgitare mitrala asociata
- valve remaniate
- clasa II, IV
- tromboza AS
Mortalitate 4-5%, necesita anticoagulante toata viata.
Complicatiile protezelor
Biologice: fiabilitate redusa, grefa bacteriana, calcificari, restenozare;
Metalice: gradiente, tromboze, colmatare, dezinsertie, malfunctie embolii, au durabilitate mai mare, <EI.
Subiectele valvulopatiilor mitrale
Etiopatogenia valvulopatiilor mitrale
Fiziopatologia valvulopatiilor mitrale
Diagnosticul pozitiv si diferential al stenozei mitrale
Diagnosticul pozitiv si diferential al insuficientei mitrale
Diagnosticul bolii mitrale
Evolutia si complicatiile valvulopatiilor mitrale
Tratamentul valvulopatiilor mitrale
|
Politica de confidentialitate | Termeni si conditii de utilizare |
Vizualizari: 5085
Importanta: ![]()
Termeni si conditii de utilizare | Contact
© SCRIGROUP 2025 . All rights reserved