| CATEGORII DOCUMENTE |
| Alimentatie nutritie | Asistenta sociala | Cosmetica frumusete | Logopedie | Retete culinare | Sport |
STENOZA AORTICA (SA)
Definitie: - obstacol in fata VS cu dificultatea golirii acestuia.
Clasificare: SA valvulara, SA supravalvulara, SA subvalvulara.
fixa - inel fibros, diafragm.
inserare anormala a valvei mitrale anterioare;
hipertrofia septului interventricular (CMHO, stenoza subaortica dinamica);
combinatii: (SA subvalvulara + SA supravalvulara);
I. Stenoza aortica valvulara
SA valvulara poate fi: congenitala, degenerativa, reumatismala.
I.A. SA valvulara congenitala
Valva aortica normala - tricuspida
SA valvulara: valve aortice bicuspide sau valve aortice (copii<1 an deces);
In evolutie valva aortica bicuspida(> 30-40 ani) SA calcificari;
Se poate asocia cu: coarctatia de aorta (Sd.Turner), PCA, TMV, SP supravalvulara, VS hipoplazic.
I.B. SA valvulara degenerativa
> 60 ani
Pe valve normale (tricuspide), comisuri nefuzionate;
Panza valvulara ingrosata, rigida, calcificata;
Se poate asocia cu leziuni coronariene (ostium) si calcificari de inel mitral (IM).
I.C. SA valvulara reumatismala
Apare la varste mai tinere;
Pe valve: tricuspide, bicuspide;
Fuzionarea comisurilor;
Modificari ale valvelor: nodozitati pe marginea libera sau chiar la nivelul panzei valvulare;
Se asociaza frecvent cu insuficienta aortica.
I.1. Modificari anatomice in SA
a) Modificari anatomice la nivelul valvelor, comisurilor;
b) Modificari la nivelul VS: hipertrofia, dilatatia;
c) Modificari la nivelul VD - in stadiile finale (IC);
d) Modificari la nivelul AS - dilatatie ( ptdvs + IM);
e) Modificari la nivelul aortei (dilatatie anevrismala post stenotica) - SA valvulare;
Fiziopatologia SA
dependente de: gradul stenozei, leziuni coronariene, leziuni valvulare, leziuni congenitale.
aria normala a orificiului aortic 3-4 cm2/1,5 cm2/m2
simptomatologia este dependenta de gradientul presional care se realizeaza intre VS-Ao:
SA obstacol gradient presional VS-Ao (debit sanguin, suprafata valvulara, forta de contractie VS, rezistenta valvulara, rezistenta periferica) HVS (ingrosarea peretelui ventricular)
HVS - Efecte negative:
rigiditatea peretilor
alterarea functiei diastolice
disfunctie diastolica ( umplerea protodiastolica umplerea telediastolica AS)
fibroza interstitiala miocardica
ischemie miocardica
tulburari de ritm
moarte subita disfunctie sistolica contractilitatii, fortei de contractie, FE
HVS - Efecte benefice:
FE normala
mentinerea stressului parietal (wall-stress)
mentine constanta presiunea parietala si consumul de O2.
Alte modificari hemodinamice: dilatarea AS FiA, ↓ DC ischemie (cerebrala, renala), ↓ D coronarian (relativ si in timp absolut).
I.2. SA - Evolutie naturala
aria orificiului aortic ↓ 0,1-0,3 cm2/an,
gradientul presional ↑ 10-15 mm/an,
evolutia este mai rapida la SA degenerativa decat la cele congenitale sau reumatice,
SA moderate si severe necesita o evaluare la cel putin 6 luni avand o rata de progresiune mai crescuta,
moartea subita survine la 3-5% din cazuri
speranta de viata: 5 ani dupa I-a sincopa, 3 ani de la debutul anginei, 2 ani de la debutul IC.
I. SA - Tablou clinic
orificiul aortic < 1 cm2 simptome.
I.3.1. Dispnee de efort: progresiva ( pres.VS, AS, VP), paroxistica nocturna, ortopnee, accentuata (FiA).
I.3.2. Angina pectorala(tipica): la efort; cedeaza la nitroglicerina, repaos; ischemie relativa, ats. coron.
I.3.3. Sincopa: - la efort (post efort); cauza: tulb. de ritm (TV,FV,BS), vasodil. periferica (efort), IVS tranzitorie (disociatie electromecanica tranzitorie).
I.3.4. Moartea subita: SA severa, efort.
I.3. Examenul clinic - semne
dependente de gradul stenozei
SA usoare (largi) fara semne sau simptome
SA medii si severe semne (puls, TA, cardiace)
puls intirziat si de amplitudine redusa (pulsus parvus et tardus)
puls amplu (bisferiens) SA I Ao
TA obisnuit (SA largi)
puls alternant (IVS)
jugulare normale; dilatate (ICD)
cord de dimensiuni normale (inspectie, percutie)
soc apexian intarziat si sustinut
impuls presistolic (contr. AS)
soc viguros (I Ao, I Mi asociate)
freamat catar sistolic (sp. II p.s. dr.,vasele mari)
FCS in IVS
Auscultatia cordului
zgomot 1: normal, slab (IC)
clic protosistolic de ejectie la 0,05-0,08" de la inceputul zgomotului 1, fix (dilatarea aortei domul valvular)
zgomot 2 (aorta) diminuat (SA congenitale
dedublare paradoxala de zg.2
galop protodiastolic (zgomot 3 - IVS)
zgomot 4 prezent (sistola atriala) - galop presistolic
suflu sistolic rombic crescendo-descrescendo gr. 3-4 (5-6) maxim in focarul aortei iradiat pe vasele gatului
accentuarea SS in clinostatism si dupa nitritul de amil (vasodilatator)
SS de regurgitare mitrala
SS diminua cand s-a instalat IVS
puls carotidian cu prelungirea timpului de semiascensiune (N<0,04"), stergerea incizurii dicrote: SA medie (G = 50 mm Hg) T = 0,06", SA severa (G= 80 mmHg ) T = 0,08".
I.4. Explorari paraclinice
I.4.1. Examenul radiologic
initial (SA usoare, medii) cord normal sau moderat crescut
SA severe = HVS arcul inferior stang alungit, bombat, rotunjit, umplerea triunghiului cav,
= dilatatie poststenotica a aortei ascendente,
= calcificari de inel si valve aortice,
= circulatie venoasa pulmonara incarcata (IVS),
= butonul aortic apare micsorat.
I.4.2. Electrocardiograma
RS, FiA, EA, EV, FiV, TV,
HVS tip baraj "strain pattern" indice Sokolow - Lyon > 35 mm, SV1 + RV6,
BRS incomplet, complet,
BAV de diferite grade (calcificari),
SAS (P "mitral").
I.4.3. Ecocardiograma: - prezenta stenozei: localizarea, gradul stenozei, severitatea stenozei.
I.4.3.a ECO - M
valve ingrosate, calcificate,
hipertrofia concentrica de pereti VS,
dilatarea aortei ascendente,
reducerea separariidiastolice a valvelor aortice < 1,5 cm,
multiple ecouri in sistola.
I.4.3.b ECO - 2D
se evidentiaza locul stenozei - dom valvular,
se determina numarul valvelor (bicuspidia),
masurarea orificiului aortic (planimetric),
ingrosarea valvelor, aspectul comisurilor,
determinarea grosimii peretilor ventriculari,
aprecierea functiei sistoloce (FE, FS) contractilitate pereti.
I.4.4. ECO Doppler - color fluxul turbulent in aorta ascendenta.
I.4.5. ECO Doppler PW = viteza si CW = gradientul presional.
I.5. Severitatea SA - depinde de: aria valvulara, gradientul transvalvular maxim si mediu.
l SA severa: - AVA 0,75 cm2
- velocitate > 4,5 m/sec
- G max 80 mmHg
- G mediu 45 mm Hg
l SA moderata: - AVA 0,75-1,4 cm2
- velocitate 3,5-4,5 m/sec
- G max 50-80 mm Hg
- G mediu 35-45 mmHg
l SA usoara: - AVA > 1,5 cm2
- velocitate < 3,5 m/sec
- G max < 50 mm Hg
- G mediu < 35 mm Hg
I.6. SA Cateterismul cardiac si angiografia
In SA severe care sunt subestimate (IVS),
50 ani,
Angina pectorala,
Preoperator -pentru evaluarea circulatiei coronariene,
Pentru evaluarea gradientului Ao-VS si aria valvulara,
Pentru masurarea presiunii telediastolice VS (N = 12 mm Hg).
II. Stenoza aortica supravalvulara
- congenitala
- inel fibros situat deasupra ostiilor coronariene
- se asociaza cu alte leziuni congenitale (sindrom Williams - facies elfin, retadare mintala, hipervitaminoza D, hipercalcemie), stenoze arteriale pulmonare, insuficienta aortica
Diagnostic: - nu exista clic protosistolic, nu exista dilatatia aortei ascendente, eco + cateterism.
III. Stenoza aortica subvalvulara
- fixa, inel, diafragm fibros
- se asociaza cu I Ao si SA valvulara (leziune de jet)
- diagnostic ecografic
- tratament rezectie
Diagnosticul diferential al SA
- presupune diagnosticul diferential al suflului sistolic din SA,
- se vor exclude pe baza datelor clinice si paraclinice definitorii urmatoarele afectiuni:
l CMHO - SS in spatiul III, IV,
- SS >> in ortostatism,
- ecg: Q (inf.lat),
- ecografie: obstructia tractului de ejectie a VS.
l Insuficienta mitrala: - leziune VMP SS iradiaza la baza,
- PC normal,
- ecografie - ruptura cordaje,
- ecografie Doppler gradul regurgitarii.
l DSV : - SS in spatiul IV-V holosistolic,
- freamat,
- zgomot III prezent,
- ecografie Doppler locul defectului directia suntului si severitatea,
- Rx: circulatia de debit.
l Sufluri sistolice functionale:
- copii, gravide, anemice, hipertiroidie,
- SS gr. 2-3/6,
- variabil cu pozitia si efortul,
- protomezosistolic,
- ecg, ecografie, Rx normale.
Tratamentul stenozei aortice
Tratament este: medical in general nu se face si chirurgical in SA simptomatice.
Tratamentul medical se face la pacientii cu SA in insuficienta cardiaca.
- prudenta in utilizarea nitroglicerinei, vasodilatatoarelor si diureticelor
- protectie pentru EI
- nu este permis sportul de performanta
- terapie antiaritmica daca apar tulburari de ritm
- generala: SA simptomatica se opereaza.
Tratamentul chirurgical in SA: AVR, valvulotomie, valvuloplastie cu balon.
Indicatii pentru interventie chirurgicala: (AVR)
A. Pacienti cu SA simptomatici: angina, dispnee, sincopa, persoane active(chiar daca SA este moderata), persoane cu disfunctie de VS.
B. Pacienti cu SA asimptomatici
- pacienti cu SA moderate,
- pacienti cu SA care fac hipotensiune arteriala la efort,
- pacienti cu disfunctie de VS, HVS.
C. Pacienti cu SA si care au indicatie de CABG se va face AVR.
Recomandari pentru AVR in SA - indicatii
1. Pacienti cu SA severa asimptomatici - clasa I.
2. Pacienti cu SA severa si care au indicatie de CABG - clasa I.
3. Pacienti cu SA severa si care au indicatie pentru inteventie pe aorta sau alte valve - clasa I.
4. Pacienti cu SA moderata si cu indicatie de CABG sau alte interventii pe aorta sau valve - clasa IIa.
5. Pacientii asimptomatici cu SA severa si:
- disfunctie sistolica de VS - clasa IIa.
- raspuns anormal la efort (hipotensiune art.) - clasa IIa.
- TV - clasa IIb.
- HVS ( 15 mm) - clasa IIb.
- aria valvulara < 0,6 cm2 - clasa IIb.
6. Prevenirea mortii subite la pacientii asimptomatici si care nu au niciunul din elementele de la punctul 5 - clasa III.
Valvuloplastia aortica cu balon
- tehnica interventionala realizata in laboratorul de cateterism prin care unul sau mai multe baloane sunt plasate de-a lungul valvei stenotice si umflate pentru a largi orificiul stenozat;
- utilizata la tineri si adulti, mai putin la varstnici(valve calcificate)
- rezultatul acestui procedeu este reducerea gradientuluitransvalvular si mai putin largirea orificiului peste 1 cm2.
Recomandari pentru valvuloplastia cu balon in SA-indicatii:
1. Etapa intermediara pana la realizarea AVR la pacientii cu risc hemodinamic(EPAC, soc cardiogen) - clasa IIa.
2. Interventie paleativa la pacientii cu afectiuni asociate severe - clasa IIb.
3. Pacientii la care se impune o interventie chirurgicala non cardiaca - clasa IIb.
4. O alternativa la AVR - clasa III.
Evaluarea pacientului cu proteza valvulara
mecanica - anticoagulare;
biologica - profilaxia EI.
SE VA FACE O URMARIRE LA 1, 3 LUNI, APOI DE 2 ORI PE AN SI ULTERIOR O DATA PE AN
Terapia medicamentoasa la pacientul cu SA inoperabila
Controlul simptomelor:
- congestia pulmonara: digitala, diuretice, ACE;
- controlul frecventei ventriculare - FiA: digitala, amiodarona;
- cardioversia;
b blocanti, nitrati - cu prudenta.
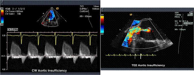
Insuficienta aortica
Definitie = inchiderea incompleta a valvelor aortice in diastola cu intoarcerea in VS unei cantitati din fluxul sanguin sistolic.
Etiologie - Incidenta: 4% din totalul valvulopatiilor, 9% din valvulopatiile aortice.
Cauzele insuficientei aortice
Modificarile valvelor (75%): RAA; congenitale: bicuspidia aortica; endocardita infectioasa pe valve normale sau malformate sau afectate anterior.
Modificari aortice: sindrom Marfan, disectie de aorta, lues, traumatismul toracic, sindromul Pezzy Lanbry.
Modificari valve + aorta - spondilita ankilozanta
Modificari anatomice:
a. infectia reuatismala: ingrosarea si retractia valvelor, fuzionarea comisurilor, se asociaza cu SA, SM, ingrosarea marginii libere a valvelor.
b. anomalii congenitale: bicuspidia aortei (30%) (se asociaza mai frecvent cu SA), degenerare mixomatoasa (prolaps).
c. endocardita infectioasa pe: valve native, valve afectate, proteze, valve congenitale, vegetatii, perforatii, distructii valvulare (I.Ao. Ac).
Modificarile aortei: aorta ascendenta poate fi afectata prin procese inflamatorii (lues, aortite), infiltratii (mucopolizaharidoza - sd.Marfan) traumatisme toracice. Valvele sunt normale.
Modificarile valvulare si aortice: - spondilita ankilozanta
Consecinte anatomice ale insuficientei aortice: dilatarea si hipertrofia VS, dilatarea si hipertrofia AS.
Fiziopatologie
depinde de marimea volumului regurgitat
variabila in raport cu tipul de insuficienta aortica acuta sau cronica
Insuficienta aortica cronica → volum regurgitat → dilatare si hipertrofie → ↓volumul telediastolic + ↓volumul telesistolic → diametru VS<55 mm, ↓FE<45% (indici de pronostic sever).
Functia diastolica poate fi normala sau uneori modificata la varstnici sau daca se asociaza ischemia miocardica.
Insuficienta aortica acuta → volum ventricular diastolic → ↑presiune telediastolica (40-60 mm Hg) → ↑presiune in AS si venele pulmonare → EPAc.
Circulatia coronariana: poate fi normala sau ↓in cazul ↑presiunii telediastolice din VS.
Tablou clinic - simptome:
atipice: asimptomatice multi ani, palpitatii, dureri precordiale atipice, transpiratii, pulsatii anormale percepute la baza gatului.
dispnee de efort: progresiva, T PCP, FE.
angina pectorala: la efort, mai putin frecventa.
astenie, sincopa, dureri abdominale, cefalee (nespecifice).
Examen obiectiv
semne periferice clasice: puls "celer et altus", semnul Musset, semnul ciocanului cu apa, semnele sindromului Marfan.
examenul cordului:
- cardiomegalie
- zg. I diminuat, zg. II normal sau diminuat, zg. III prezent, uruitura Austin Flint,
- TA diferentiala mare (formula divergenta), tahicardie,
- tulburari de ritm (FiA),
- suflu diastolic in focarul Erb, suflu sistolic in focarul aortic de debit, clic protosistolic.
Explorari paraclinice
Ecg: HVS de tip diastolic, dilatarea AS, tulburari de ritm si de conducere.
Fono: - suflu diastolic imediat dupa zg.II
PC: puls bisfericus
Rx.: dilatarea VS, dilatarea aortei ascendente, calcificari de buton aortic.
Echo:
M - mode: ecou de separare diastolic, flutter valvular mitral, > DTSVS > 55 mm
2D - mode
- valvele aortice nu se inchid in diastola,
- anomalii congenitale (bicuspidia),
- rupturi, vegetatii,
- flux turbulent (Doppler) cu velocitate crescuta,
- grade 1-4 in raport cu lungimea jetului.
Cateterism: pacienti > 50 ani, se va face si coronarografie, se apreciaza gradul regurgitarii, volumul si presiunea VS.

Insuficienta aortica acuta
Cauze: - ruptura valvulara (endocardita infectioasa,
traumatism toracic)
- dilatarea sinusului Valsalva (disectia de aorta)
- dezinsertia unei proteze
- ruptura de sinus Valsalva in cavitatea stanga
Fiziopatologic T presiunea telediastolica, VS neadaptat, EPAc sever.
Examen clinic
semne de debit cardiac scazut: puls filiform, extremitati reci, cianoza, TA, tahicardie,
galop protodiastolic sau de sumatie,
suflu diastolic scurt,
raluri de staza.
Explorari paraclinice
Ecg: normala sau bloc AV total (abces de inel aortic).
Rx.: cord de dimensiuni normale, staza venoasa pulmonara.
Echo realizeaza diagnosticul:
- inchidere precoce a valvei mitrale
- ruptura valvelor
- abces de inel
- jetul de regurgitare
- faldul in lumenul aortei (disectie)
Cateterism: creste presiunea telediastolica in VS (40-60 mmHg) si creste presiunea in AS si CP.
Diagnostic diferential: insuficienta pulmonara, PCA, fistula a-v, ruptura sinusului Valsalva, stenoza tricuspidiana.
Evolutie - complicatii
multa vreme bine tolerata,
IC exit in 2-3 ani (50%)
EI, tulburari de ritm
Tratament
a. Medical
- profilaxia endocarditei infectioase,
- vasodilatatoare (IEC),
- controlul tulburarilor de ritm (digitalice, BBC),
- I.Ao. acuta: nitroprusiat de sodiu, balon de contrapulsatie aortica, TA (disectie).
b. Chirurgical - obligatoriu interventie chirurgicala,
- DTSVS > 55 mm,
- FE < 45%,
- ideal ar fi mai devreme,
- proteze biologice sau metalice,
- interventii reparatorii.
Subiectele valvulopatiilor aortice
Etiopatogenia valvulopatiilor aortice
Fiziopatologia valvulopatiilor aortice
Diagnosticul pozitiv si diferential al stenozei aortice
Diagnosticul pozitiv si diferential al insuficientei aortice
Evolutia si complicatiile valvulopatiilor aortice
Tratamentul valvulopatiilor aortice
|
Politica de confidentialitate | Termeni si conditii de utilizare |
Vizualizari: 5583
Importanta: ![]()
Termeni si conditii de utilizare | Contact
© SCRIGROUP 2025 . All rights reserved