| CATEGORII DOCUMENTE |
| Alimentatie nutritie | Asistenta sociala | Cosmetica frumusete | Logopedie | Retete culinare | Sport |
Materiale biocomptibile
--Inimi artificiale--
Selectia si utilizarea materialelor biocompatibile la confectionarea unui implant sau dispozitiv medical:
Inima artificiala:
Etape principale :
-Descrierea din punct de vedere a locatiei anatomice a functionarii si caracteristicilor implantului sau dispozitivului medical ;
-Materiale posibile utilizate la confectionarea implantului sau dispozitivului medical ;
-Selectia materialului optim pentru confectionarea implantului sau dispozitivuilui medical ;
-Tehnologia de fabricatie a implantului sau dispozitivului medical ;
-Avarii posibile in timpul functionarii in mediul biologic;
-Infectii posibile si patologia utilizatorului a pacientului.
Inima
Inima (fig.1) este un muschi cavitar de marimea unui pumn impartita in patru compartimente.
Cele doua compartimente superioare (atrii) formeaza jumatatea superioara a inimii,iar cele doua compartimente inferioare (ventricule),formeaza jumatatea inferioara.
Atriul drept Atriul stang



Ventricul drept Ventricul stang
Fig.1
Inima este impartita printr-un perete (sept) intr-o parte dreapta si una stanga.
Prin contractia si relaxarea muschiului cardiac,acesta pompeaza singe in corp.In acest mod se realizeaza aportul de oxigen si substante nutritive necesare diferitelor tesuturi si organe.
Pentru a colecta singele si a-l pompa in circulatie,inima necesita mici impulsuri electrice,care se transmit de la compartimentele superioare la cele inferioare.
Intr-o inima sanatoasa,nodulul sinusal (fig.2) este cel care produce aceste mici impulsuri electrice.
Nodulul sinusal

Nodulul atrio-ventricular
Fascicolul HIS Reteaua Purkinje



Fig. 2
Din acest motiv acest nodul sinusal este numit si stimulatorul natural al inimii. El produce contractia compartimentelor inimii si realizeaza prin aceasta un puls regulat si ritmic.
Fiecare impuls pornit de la nivelul nodulului sinusal declanseaza initial contractia atriilor procedeu prin care sangele este pompat in ventricule.
Apoi impulsul electric este transmis de-a lungul sistemului de transmitere a impulsurilor ventriculelor,care se contracta la randul lor,pompand sangele in circulatie.
O inima sanatoasa bate intre 60 si 80 de ori pe minut,ceea ce corespunde cu 100.000 de batai pe zi. In timpul activitatilor fizice sau consecutiv unui stres emotional,organismul cere un aport crescut de oxigen. Pentru a se adapta acestor conditii ,pulsul poate creste la peste 100 de batai pe minut.
Exista numeroase boli care duc la dereglarea sistemului circulator si deci a inimii,cum ar fi:
-tulburarile sistemului de transmitere a impulsurilor si chiar si blocarea completa a acestuia;
-sindromul nodulului sinusal si blocul atrioventricular;
O alta sectiune a inimii artificiale se poate vedea in fig.2a:
Fig. 2a
Pe langa toate aceste tulburari,mai exista si boli grave de inima care duc la moartea bolnavului. Pentru a veni in ajutorul acestor bolnavi de inima stiinta a creat de-a lungul timpului dupa lungi cercetari inima artificiala.
Aceasta este un dispozitiv foarte complex care preia toate functiile inimii.
In fig.3 se poate vedea locatia anatomica a dispozitivului inima si elementele necesare functionarii acesteia:
-baterie externa;
-unitate interna de control;
-baterie interna(reincarcabila);
-sistem Wireless de transfer a energiei;
-inima artificiala propriu-zisa (mecanism complex).
Fig.3
Noul dispozitiv asigura suport pe termen lung pacientului cu afectiuni ale inimii, furnizandu-i o cantitate normala de sange.
Implantat in corp, noul dispozitiv ajuta astfel la pomparea sangelui, preluand functia ventriculului stang. Fara acest ajutor esential, aportul de oxigen ar fi total insuficient pentru a face fata nevoilor organismului.
O imagine mai sugestiva a uneia din primele inimi artificiale este prezentata in fig. 4:
Fig. 4
Inima artificiala a fost aprobata spre utilizare de catre FDA (Food and Drug Administration, institutie de omologare americana).
Cu toate ca aduce sperante in inimile multor pacienti grav bolnavi, inima artificiala este inca departe de a fi perfecta.
Motorul hidraulic utilizat si partile in miscare se uzeaza in interval de cativa ani, facand necesara o noua interventie chirurgicala dificila.
Organul artificial este in general mai mare decat cel biologic, lucru care pune probleme de acomodare si de chirurgie, iar uneori face inlocuirea imposibila.
In figura 5 se prezinta noul model de inima arificiala:

Fig. 5
Este sustinuta teoria ca este fezabil sa pompezi sange in corp in mod continuu, si nu in batai cardiace.
Pompa cu flux continuu a fost proiectata tocmai pentru a elimina dezavantajele de mai sus.
Ea este un fel de motoras turbo care accelereaza curgerea sangelui.
Dimensiunea sa mica (apx. cat un deget mare) si numarul relativ mic de piese in miscare fac ca acest dispozitiv sa fie mai usor de implantat si mult mai fiabil decat alternativa actuala.
Durata de functionare fara probleme a unei inimi artificiale fara puls este estimata la minim 10 ani.
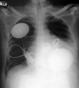
In fig.6 se prezinta o radiografie a unui pacient implantat cu inima artificiala :

Fig. 6
Materialele folosite la realizarea inimi artificiale sunt in mare parte materiale polimerice:
-poliolefine;
-polimeri vinilici;
-poliesteri saturati.
Proprietatile materialelor candidate la realizarea inimii artifciale
|
Material Proprietati |
Fibra Dacron din polietilentereftalat(PET) |
Policlorura de vinil PVC flexibila |
Polipropilena PP de inalta densitate
|
|
Modul de elasticitate [Mpa] |
1724 |
1240 |
1380 |
|
Absorbtia apei [%] |
<0.01 |
variabila |
<0.03 |
|
Punct de topire Tf [ºC] |
245 |
80 |
170 |
|
Duritate HRC |
100 |
105 |
100 |
|
Alungirea la rupere A [%] |
180 |
450 |
_ |
|
Rezistenta la tractiune t [Mpa] |
50 |
26.2 |
35.5 |
|
Coef. de dilatare liniara α [mm/mmm/ºC] |
|
45*10-6 |
90*10-6 |
|
Densitatea ρ g/cm³] |
1.4 |
1.7 |
0.903 |
Calculul numarului de decizii :
N=[n(n-1)]/2 n-numarul de proprietati(n=8)
N=[8(8-1)]/2=28
Selectia materialului
|
Prop- rietate |
Numar decizie |
|||||||||||||||||||||||||||
|
| ||||||||||||||||||||||||||||
|
Elasti- citatea | ||||||||||||||||||||||||||||
|
Abs. apei | ||||||||||||||||||||||||||||
|
Pct . topire | ||||||||||||||||||||||||||||
|
Duritate | ||||||||||||||||||||||||||||
|
Alungire |
| |||||||||||||||||||||||||||
|
Rezistenta la tractiune | ||||||||||||||||||||||||||||
|
Coef de dilatare | ||||||||||||||||||||||||||||
|
Densitate | ||||||||||||||||||||||||||||
Factorul de pondere
|
Proprietate |
Decizii pozitive |
Factori de pondere,α |
|
Elasticitatea |
4 |
0.14 |
|
Absorbtia apei |
6 |
0.21 |
|
Punct de topire |
1 |
0.03 |
|
Duritatea |
2 |
0.07 |
|
Alungirea |
5 |
0.17 |
|
Rezistenta la tractiune |
1 |
0.03 |
|
Coeficient de dilatare |
2 |
0.07 |
|
Densitate |
7 |
0.25 |
|
Total |
28 |
0.97 |
Propietatile materialelor
|
Material |
Proprietate |
|||||||
|
Elasticitate [MPa] |
Absorbtia apei [%] |
Punct de topire [ºC] |
Duritate HRC |
Alungirea |
Rez. la tractiune [Mpa] |
Coef. de dilatare liniara α [mm/mmm/ºC] |
Densitate [g/cm³] |
|
|
PET |
<0.01 |
100 | ||||||
|
PVC |
variabila | |||||||
|
PP |
<0.03 |
- | ||||||
Valorile scalate ale proprietatilor si indexul de performanta, γ
=∑Bi* αi B-proprietatile scalate
valoarea numerica a proprietatii*100
B=
valoarea maxima in lista
|
Material |
Proprietati scalate |
|||||||
|
PET | ||||||||
|
PVC |
- | |||||||
|
PP |
- | |||||||
Factorul de performanta,γ
|
Material |
Factorul de performanta,γ |
|
PET |
63.5904 |
|
PVC |
50.3409 |
|
PP |
68.4386 |
Decizia finala : prin calcularea indicelui de performanta s-a obtinut cea mai mare valoare pentru polipropilena de inalta densitate.
Tehnologii de fabricatie a implantului
Principalele tehnologii de fabricatie a implantului din PP sunt:
prin injectie;
- prin extrudare;
- turnare si sudare;
- suflare;
- termoformare .
![]()

Fig. 7 Extrudarea polimerilor
Fig. 8 Masina de injectat pe
orizontala
Avarii si infectii posibile in timpul functionarii in mediul biologic
PP poate duce la coagularea sangelui,de aceea este necesara o terapie cu anticoagulante. Aceasta coagulare are loc datorita contactului ce are loc intre sange si aparatul artificial.
Acest tratament cu anticoagulante este cauza a 90 % din complicatiile ce apar la transplantul de inima artificiala.
In ceea ce priveste avariile acestea pot aparea la componentele care insotesc inima propriu-zisa.
Bibliografie:
|
Politica de confidentialitate | Termeni si conditii de utilizare |
Vizualizari: 2511
Importanta: ![]()
Termeni si conditii de utilizare | Contact
© SCRIGROUP 2025 . All rights reserved