| CATEGORII DOCUMENTE |
| Alimentatie nutritie | Asistenta sociala | Cosmetica frumusete | Logopedie | Retete culinare | Sport |
Pleoapele sunt doua structuri cutaneo-musculo-mucoase situate la baza orbitei, in fata globului ocular. Pentru fiecare ochi sunt in numar de doua, una superioara si una inferioara.
Pleoapele se formeaza in primul trimestru de sarcina din ectoblastul si mezoblastul vecin globului ocular. Fanta palpebrala care este initial inchisa, se deschide incepand din luna a 5-a a vietii intrauterine.
Formarea pleoapelor se finalizeaza in trimestrul al III-lea al vietii fetale.
Din punct de vedere macroscopic, fiecare pleoapa prezinta doua fete si doua margini:
fata anterioara (cutanata);
fata posterioara (mucoasa);
o margine aderenta prin care pleoapa se continua fara o limita de demarcatie neta cu regiunea sprancenara (pleoapa superioara) si cu obrazul (pleoapa inferioara);
o margine libera care delimiteaza impreuna cu cea de la pleoapa opusa, fanta palpebrala; marginea libera a pleoapei este divizata de un mic orificiu, punctul lacrimal, situat la unirea 1/6 interna cu 5/6 externe in 2 portiuni inegale:
o portiunea ciliara localizata extern;
o portiunea lacrimala, care contine canaliculii lacrimali, localizata intern.
Portiunii ciliare a marginii libere i se descriu urmatoarele zone:
o buza anterioara, pe care se implanteaza cilii (genele) prevazuti cu glande sebacee (Zeiss) si glande sudoripare (Moll);
o buza posterioara la nivelul careia se deschid orificiile glandelor Meibomius din tars.
Histologic (Fig. 7.1) pleoapele sunt alcatuite din urmatoarele straturi:
Pielea. Este foarte subtire si elastica; cand ochiul este deschis, formeaza santurile orbito-palpebrale mai evidente la pleoapa superioara.
Tesutul celular subcutanat. Este foarte lax, in grosimea lui, fiind localizat muschiul orbicular al pleoapelor, inervat de nervul facial; acesta este dispus ca un sfincter in jurul fantei palpebrale, din el detasandu-se o portiune marginala retrociliara, care formeaza muschiul lui Riolan.
Stratul muscular - e reprezentat de muschiul orbicular, cu fibre circulare, inervat de nervul facial.
Tarsul. Reprezinta scheletul fibros al pleoapelor, constituit din fasciculele conjunctive largi, cu structura densa si rezistenta. In grosimea lui se afla niste glande sebacee tubuloacinoase, glandele lui Meibomius. Marginea periferica (orbitara) a celor doua tarsuri se continua cu septul orbitar, care se insera pe rebordul orbitei. Acesta separa pleoapele de continutul orbitei. Pe fata posterioara a septului orbitar se afla o lama de fibre musculare netede, care reprezinta muschiul tarsal superior (Mller) si muschiul tarsal inferior, inervat de filete simpatice. La nivelul pleoapei superioare se afla muschiul ridicator al pleoapei superioare, cu insertie posterioara la nivelul apexului orbitei, inervat de nervul III (Fig. 7.2).
Conjunctiva. Este o membrana mucoasa, alcatuita dintr-un corion acoperit de un epiteliu stratificat necheratinizat, care contine glande lacrimale accesorii si celule caliciforme secretoare de mucina.
Fig.
7.1 - Anatomia pleoapei
Fig. 7.2 - Dispozitia muschilor palpebrali
Vascularizatia pleoapelor
Arterele provin din ramurile supraorbitala si lacrimala ale arterei carotide interne si din ramurile angulara si temporala ale carotidei externe. Arterele palpebrale superioara si inferioara se constituie intr-o retea pretarsala si alta retrotarsala.
Drenajul venos se realizeaza pentru reteaua pretarsala prin vena angulara si temporala superficiala, iar pentru reteaua retrotarsala prin venele orbitare.
Inervatia pleoapelor
Inervatia pleoapelor este reprezentata de nervi motori si nervi senzitivi.
Nervii senzitivi (lacrimal, frontal si lacrimal) provin din ramul oftalmic al trigemenului ca si din ramul suborbitar din nervul maxilar superior.
Inervatia motorie provine din nervul facial pentru muschiul orbicular, din nervul oculomotor comun, pentru ridicatorul pleoapei superioare si din filete ale simpaticului cervical pentru muschiul lui Mller.
Functiile pleoapelor: functii de protectie, de sustinere si rol optic.
Pleoapele sunt in principal organe de protectie ale globului ocular. Ele sunt animate de miscari spontane de ocluzie (clipitul) produse prin stimularea cailor senzitive ale trigemenului sau senzoriale cu punct de plecare la nivelul retinei, in conexiune cu filetele facialului destinate muschiului orbicular. Datorita reflexului de clipire, pleoapele intind lacrimile pe suprafata anterioara a ochiului, umezind si spaland astfel corneea. Pleoapele apara ochiul de impotriva diferitilor agenti iritanti externi (praf, fum, corpi straini) sau agenti traumatizanti.
Functia de sustinere
Prin dispozitia anatomica a pleoapelor inaintea orbitei pleoapele au un rol de sustinere, impiedicand impingerea in afara a globului ocular, in caz de eforturi sau de congestii orbitare.
Rolul optic
Rolul vizual al pleoapelor se realizeaza prin reglarea cantitatii de lumina care intra in ochi, prin micsorarea fantei palpebrale.
Rolul optic in refractia oculara, se realizeaza de asemenea prin micsorarea fantei palpebrale; in acest mod sunt micsorate cercurile mari de difuziune de pe retina, corectandu-se partial unele vicii de refractie (miopia, astigmatismul).
Examinarea pleoapelor vizeaza mai multe elemente: aspectul, pozitia, marginea ciliara, motilitatea, palparea.
Aspectul pleoapelor. Pot fi observate:
-modificari de culoare:
pleoape palide (anemie),
congestionate (policitemia Verra),
depigmentate (vitiligo, post zona zoster oftalmica),
hiperpigmentate (boala Addison, diabet bronzat, sarcina);
-echimoze: spontane sau traumatice (prin hemoragie cu sediul in tesutul lax subcutanat);
-eruptii cutanate: impetigo, herpes, zona oftalmica, varicela etc:
-eritem: stari alergice, fotooftalmii solare;
-ulceratii: stari alergice, epiteliom, leziuni in infectii specifice (tuberculoza, sifilis, lepra);
-plagi palpebrale;
-cicatrici: dupa plagi, arsuri;
-tumori;
-edem palpebral:
inflamator in abcesele palpebrale, conjunctivita gonococica, celulita orbitara, panoftalmie;
edem anafilactic Quinke;
edem de staza: cardio-renal;
edem toxic: scarlatina, difterie, trichineloza;
edem limfangitic cronic, edem palpebral prin epilarea sprancenelor;
-pliu cutanat care atarna peste cili: blefarosalazis.
-tumefiere palpebrala cu crepitatii la palpare: emfizem (in traumatisme cu fracturi de lama papiracee a etmoidului).
Aspectul fantei palpebrale variaza cu varsta. Este mai circulara la copii si mai ovalara la adulti; fanta palpebrala poate fi mai scurta (blefarofimozis), deschisa permanent (lagoftalmie), micsorata (prin ptoza pleoapei superioare);
Pozitia pleoapelor. Pleoapele pot fi rasfrante in afara (ectropion), sau inauntru spre glob (entropion), pleoapa superioara poate fi cazuta partial sau total (ptoza).
Motilitatea pleoapelor. Se examineaza solicitand pacientului sa inchida si sa deschida ochii; pleoapele nu se pot deschide in caz de blefarospasm sau ptoza sau nu se pot inchide in lagoftalmia paralitica sau cicatriciala.
Examenul marginii ciliare. Poate evidentia: congestie, ulceratii, cruste (blefarite), genele (cilii) pot fi cazute cu epilarea marginii libere sau pot avea o implantare vicioasa, indreptate spre glob (trichiazis).
Palparea pleoapelor. La palparea pleoapelor se pot constata: inflamatii, induratii etc.
AFECTIUNILE PALPEBRALE
AFECTIUNI CONGENITALE
Sunt boli palpebrale constatate de la nastere, uneori fiind asociate si cu alte anomalii ale globului ocular.
Ablefaronul (ablefaria) - absenta pleoapelor.
Ankiloblefaronul Reprezinta absenta (partiala sau totala) a fantei palpebrale prin fuziunea marginilor libere.
Blefarofimoza. Ingustarea lungimii fantei palpebrale, care se poate asocia cu telecantus ) distanta intre unghiurile interne oculare marita).
Colobomul palpebral. Reprezinta o lipsa de substanta de forma triunghiulara situata la nivelul marginii libere, care cuprinde uneori toata grosimea pleoapei (colobom total - Fig. 7.3) sau mai rar este absent numai tarsul (colobom partial). Colobomul expune permanent corneea la microtraumatismele externe si este de obicei asociat cu anomalii faciale si ale aparatului lacrimal.

Fig. 7.3 - Colobom palpebral
Epicantusul. Reprezinta prezenta unui repliu cutanat semilunar in unghiul intern al ochiului, ceea ce confera pacientului un aspect mongoloid
Blefaroptoza. Este malpozitia pleoapei superioare a carei margine libera este anormal coborata datorita hipofunctiei muschiului ridicator, este unilaterala in 75% din cazuri si bilaterala in 25% din cazuri.
Distichiazis. Reprezinta prezenta unui rand suplimentar de cili; acestia pot sa irite permanent corneea si sa genereze o cheratita traumatica.
AFECTIUNI TRAUMATICE
Contuziile palpebrale. Determina echimoze si edem palpebral; in fata unei contuzii palpebrale se impune un examen oftalmologic complet, in vederea excluderii altor leziuni oculare, sau de pereti ososi orbitali.
Plagile pleoapelor. Pot imbraca diverse aspecte clinice si terapeutice.
- plagi care nu intereseaza marginea libera: daca sunt superficiale, ele necesita o debridare corecta si o sutura corespunzatoare; daca sunt profunde este necesar sa se faca reconstructia anatomica, plan cu plan;
- plagi care intereseaza marginea libera a pleoapelor: necesita o refacere cat mai exacta a acesteia, pentru a evita disparitatea marginilor plagii, a coloboamelor inestetice;
- plagi care intereseaza unghiul intern: au drept particularitate riscul afectarii cailor lacrimale, chirurgia reparatorie trebuind sa asigure anatomia si functionalitatea acesteia.
Asadar, in plagile palpebrale este necesara o atitudine chirurgicala precoce si corecta, precedata de profilaxia tetanosului. Dupa operatia initiala, de multe ori pot apare cicatrici inestetice care impun reconstructia secundara.
Arsurile palpebrale. Pot fi fizice sau chimice si sunt rareori izolate, cel mai adesea fiind asociate cu arsuri intinse ale fetei si corpului. Ele pot imbraca aspecte clinice diverse: eritem, vezicule sau chiar escare. Tratamentul consta in aplicarea locala de unguente cu antibiotice, pomezi cicatrizante si "camera umeda".
Daca arsurile
sunt grave, dupa cicatrizare se pot efectua grefe cutanate.
AFECTIUNI INFLAMATORII
Afectiunile inflamatorii ale pleoapelor pot fi sistematizate dupa criterii anatomo-clinice in mai multe categorii:
afectiuni tegumentare (dermatite si dermatoze)
supuratiile palpebrale (abces, flegmon)
boli ale marginii libere (blefaritele, orjeletul),
boli ale tarsului si glandelor tarsale (salazionul).
I. AFECTIUNI TEGUMENTARE
Sunt afectiuni destul de frecvente, deoarece aproape toate bolile cutanate si in special cele ale fetei, pot interesa si pielea pleoapelor. Acestea se manifesta in general cu aceleasi caractere ca si in alte regiuni cutanate.
Exista mai multe forme clinice si etiopatogenice. Afectiunile tegumentare palpebrale por apare in context alergic sau infectios (infectii bacteriene, virale, micotice sau parazitare).
Dermatite alergice
Sunt reprezentate de eczema pleoapelor, afectiune care survine pe un teren particular, ca urmare a unei agresiuni locale sau de la distanta. Este localizata strict la pleoape (indeosebi cantusuri), fie asociata cu o leziune analoaga a fetei sau corpului.
Etiologia eczemei palpebrale este variata:
- in forma acuta are cauze locale: instilatia de coliruri (atropina), aplicarea de pomezi, pansamentele cu adezive (leucoplast), hipersensibilitate la ramele de ochelari cu montura organica; sau poate fi produsa prin: iritatii fizice (caldura, scarpinat, radiatii luminoase, etc), factori chimici (cosmetice, vopsele de par), conjunctivite, dacriocistite, afectiuni micotice, parazitare, etc.
- in forma
cronica, eczema pleoapelor are cauze generale; ea poate fi
determinata de un teren sensibilizant, care include tulburari
gastro-intestinale, hepatice, diabet, putand apare in cadrul unei eczeme a
intregii fete sau chiar generalizata.
Din punct de vedere clinic se prezinta sub aspecte variate:
La debut eczema se manifesta printr-o inrosirea pielii (eczema, eritematoasa); in evolutie, pe care placard eritematos apar fine papule care se transforma in vezicule (eczema veziculoasa); acestea se sparg lasand sa iasa un lichid seros (eczema umeda, impetiginoasa sau crustoasa).
In toate stadiile de evolutie, eczema se insoteste de prurit.
Tratamentul consta in stoparea oricarei medicatii locale, indepartarea substantelor ori a factorilor nocivi sau a diferitelor afectiuni cauzale, reprezinta masurile cele mai eficiente in eczema. Se poate recurge de asemenea la tratament local cu antiseptice (nitrat de argint 1%), pomezi cu cortizonice, uneori asociat cu administrarea unei medicatii generale cu antihistaminice, sedative in formele mai severe de boala.
Impetigo
Este o epidermita stafilococica, frecventa la copiii mici, foarte contagioasa, care adesea se datoreaza unei igiene deficitare.
Clinic, se observa pustule localizate la debut in zona comisurilor palpebrale si orificiilor narinare, apoi in evolutie apar cruste galbui, melicerice care cad lasand un tegument cu aspect de eroziune zemuinda. Vindecarea se face fara cicatrici, persistand un timp o zona eritematoasa si adenopatie regionala.
Tratamentul utilizeaza comprese umede cu antiseptice (acid boric), dupa indepartarea crustelor se aplica pudra cu antibiotice cu spectru antistafilococic (oxacilina).
Erizipelul
Este o dermita streptococica, in prezent destul de rara.
Clinic, dupa o incubatie de 2-7 zile, afectiunea debuteaza brutal cu alterarea starii generale, cefalee, varsaturi, febra (40 grade). La ochi apare o senzatie de arsura in unghiul intern al pleoapelor, in vecinatatea aripii nasului si la nivelul pavilionului urechii. In perioada de stare se observa un placard eritematos, edematiat la periferie, unde proemina si da un aspect de burelet fata de tegumentele vecine; leziunile sunt localizate in unghiul intern al ochiului, intinzandu-se spre pleoape, in aripa de fluture. Ulterior infectia se poate intinde la frunte, fata si chiar la pielea capului.
Evolutia este variabila, cel mai adesea spre vindecare in cateva zile sub tratament. Uneori apar forme cu evolutie mai grava (erizipel pustulos sau gangrenos).
Tratamentul local utilizeaza antiseptice (comprese cu rivanol), general se administreaza antibiotice (penicilina).
Herpesul pleoapelor
Este o afectiunea virala acuta, mai frecvent la tineri (10-20 ani) si la sexul feminin. Clinic se observa un placard eritematos (situat de predilectie in partea interna sau externa a pleoapei superioare) pe care apar cateva vezicule mici, cu lichid clar, grupate in buchete, insotite de prurit. Veziculele se sparg, apoi se usuca, formand cruste rosietice, care cad dupa cateva zile, fara a lasa cicatrici. Uneori exista leziuni corneene asociate.
Tratamentul local este etiologic si consta in aplicarea de pomezi cu Aciclovir, cu rol de inhibitie a replicarii ADN-ului viral (Zovirax, Virolex) ca si utilizarea de pudre antiseptice, sicative (talc, oxid de zinc, dermatol).
Tratamentul general se administreaza in formele mai extinse si cu evolutie mai severa. Este utilizata de asemenea medicatie antivirala (Aciclovir comprimate), uneori antibiotice cu actiunea antivirala (cicline), preparate menite sa sporeasca rezistenta organismului la infectii virale (vitamina C, vitamine din grupul B, polidin). Vaccinurile antiherpetice utilizate pana acum nu au condus decat la rezultate modeste.
Zona zoster oftalmica
Este o ganglio-radiculo-nevrita virala produsa de un virus ectodermo-neurotrop (varicela-zoster), care intereseaza ganglionul Gasser al trigemenului si nervul oftalmic. Acelasi virus produce la primoinfectie, in copilarie varicela, iar la adult si mai ales la varstnic reinfectia determina zona oftalmica.
Eruptia din zona are cateva caracteristici clinice:
- este localizata unilateral, de o singura parte a liniei mediane a capului;
- aspectul clinic este de placarde eritematoase situate in teritoriul nervului oftalmic (pe una sau mai multe ramuri), pe care dupa 2-3 zile apar vezicule izolate sau confluente, cu lichid la inceput clar, apoi purulent (Fig. 7.4).
Fig. 7.4 - Zona zoster oftalmica
Eruptia este insotita de dureri intense si arsuri; dupa cateva zile se formeaza cruste care cad lasand o cicatrice usor pigmentata pe un tegument cu anestezie sau hiperestezie.
Pacientul prezinta stare generala alterata cu febra, frison, cefalee, dureri nevralgice lancinante; se remarca adenopatie a ganglionilor sateliti.
Afectiunea se insoteste frecvent de complicatii ale segmentului ocular anterior: cheratite, iridociclite, segmentite anterioare. Mai rar apar nevrite optice sau paralizii de nervi oculomotori.
II. SUPURATII PALPEBRALE
Abcesul. Flegmonul
Reprezinta leziuni piogene ale tesutului profund al pleoapelor, ele debuteaza in derm, afectand secundar stratul epidermic.
Cauza acestor afectiuni poate fi:
- exogena afectiunea fiind consecinta unei leziuni tegumentare locale de origine traumatica (plaga), intepatura de insecte, sau se poate datora propagarii unei infectii de la zonele invecinate;
- endogena, eventualitate mai rara, cand supuratia palpebrale este secundara unei infectii generalizate (septicemie).
Clinic, supuratiile palpebrale au caracterele oricarei colectii purulente. Ele se manifesta printr-o tumefactie cu caractere de inflamatie acuta (rubor, dolor, calor), asociata cu adenopatie loco-regionala (preauriculara, submandibulara).
Ca si in alte zone din organism, supuratiile palpebrale pot avea caracter localizat (abcesul, furunculul) sau pot fi difuze (flegmonul).
Din punct de vedere etiologic, afectiunile supurative ale pleoapei pot apare:
fie in cadrul unei afectiuni cutanate - furunculoza spancenara, uneori aparuta prin epilarea in conditii septice, impetigo, leziuni traumatice palpebrale;
fie in inflamatii de vecinatate (sinuzite frontale sau etmoidale).
Germenii implicati in aceasta supuratie palpebrala sunt stafilococul si mai rar streptococul (in cazul unui corp strain intraorbitar). In situatia in care tesutul celular palpebral este invadat de germeni anaerobi, evolutia poate fi grava spre cangrena si necroza intinsa a pleoapelor. Supuratiile pleoapelor pot conduce uneori la complicatii grave: tromboflebita venelor oftalmice sau chiar tromboflebita sinusului cavernos si septicemie.
Tratamentul supuratiilor palpebrale consta in terapie generala antiinfectioasa (antibiotice uneori in asociere) si antiinflamatorie. Local se efectueaza incizia si drenajul colectiei purulente.
III. AFECTIUNILE MARGINII LIBERE
Blefaritele
Blefaritele sunt inflamatii cronice, frecvent recidivante ale epidermului marginii libere palpebrale.
Cauzele blefaritelor sunt multiple, de multe ori asociate, de aceea ele trebuie sistematic cercetate (cauze generale, cauze locale).
Cauzele locale pot actiona:
- direct: prin iritatii mecanice (praf, fum, corpi straini, paraziti-ftirius pubis sau inghinalis, micoze, favusul, tricofitia); iritatii fizice (caldura, frigul, radiatiile); substante chimice (medicamente, cosmetice)
- pe cale reflexa: viciile de refractie (hipermetropia, astigmatismul care prin efortul crescut de acomodare produc congestia marginii ciliare)
- factori inflamatori sau infectiosi: infectii stafilococice sau streptococice ale marginii libere, infectii ale tegumentului invecinat: dermatoze, eczeme, acnee rozacee, TBC, sifilis, micoze, parazitoze.
Cauzele generale
- factori declansatori: ereditatea, insuficienta hepato-renala, diateze, dispepsii, o proasta igiena alimentara, constipatie, avitaminoze, tulburari endocrine (pubertate, menopauza, diabet);
- factori predispozanti: alergia de contact (cosmetice, ciuperci, produse industriale) alergia bacteriana, infectii ale cailor aeriene superioare (rinite, vegetatii adenoide).
Din punct de vedere subiectiv, in blefarita apare o senzatie de jena oculara, prurit, arsuri si lacrimare. Aceste manifestari au tendinta la cronicizare.
Se descriu 3 forme de blefarita dupa aspectul clinic si etiologic.
Blefarita eritematoasa. Este caracterizata prin congestie si edem discret al marginii libere, aspect care se accentueaza dupa un efort ocular intens, insomnii, expunere la vant, frig, praf sau fum.
Blefarita scuamoasa (seboreica). Se manifesta prin localizarea inflamatiei la nivelul glandelor sebacee si sudoripare. Obiectiv se constata congestie si ingrosarea marginii ciliare, cu prezenta de pelicule sau scuame fine aderente la baza cililor. Seboreea pleoapelor se insoteste de regula de seboreea pielii fetei si a capului.
Blefarita ulcerativa (foliculara). Este determinata de infectia foliculilor pilosi ai cililor data de stafilococul auriu. Marginea libera este eritematoasa, ingrosata, iar la baza foliculului pilos sebaceu se dezvolta un microabces care se sparge spontan, elimina puroi lasand o crusta a carei indepartare determina mici ulceratii. In evolutie se produce caderea cililor (alopecie), orientarea vicioasa a marginii libere (ectropion) si a cililor ramasi (trichiazis), conjunctivita cronica, lacrimare permanenta (epifora), uneori chiar ulceratii corneene sau infectii ale cailor lacrimale.
Evolutia blefaritelor este subacuta sau cronica si are de obicei un caracter trenant, cu perioade de exacerbari urmate de remisiuni. Tratamentul este dificil si include masuri locale si masuri generale. Pacientul va fi informat asupra caracterului trenant si recidivant al bolii, fiind necesare investigatii complexe care sa permita evidentierea factorilor declansatori dar si predispozanti.
Tratamentul este local si general. Masurile locale vizeaza tratamentul dermatitei seboreice, cu masajul periodic al pleoapelor pentru a favoriza excretia glandelor Meibomius (solutie de nitrat de argint 1%). Se mai utilizeaza indepartarea scuamelor si crustelor cu ajutorul unor aplicatori, comprese umede, spalaturi ale marginilor pleoapelor cu o solutie diluata de sampon pentru copii sau blefarosampon.
In unele cazuri sunt indicate instilatii de antiseptice usoare (colargol 2%) si in unele cazuri antibiotice antistafilococice (oxacilina, ciprofloxacina, gentamicina) sub forma de colir sau unguent.
Orjeletul
Orjeletul reprezinta o inflamatie supurativa stafilococica a glandelor sebacee Zeiss anexate foliculilor pilosi. Aspectul clinic este bistadial:
in stadiul initial domina fenomenele inflamatorii: durere, edem, roseata, caldura locala ce apar intr-o anumita portiune a marginii ciliare;
in evolutie apare supuratia care colecteaza si poate abceda spontan.
Orjeletul poate recidiva sau se poate uneori complica cu extensia infectiei spre tesutul grasos orbitar (producand o celulita sau chiar o tromboflebita de sinus cavernos, in cazuri foarte rare (cand infectia palpebrala survine pe un organism tarat).
Tratamentul in faza initiala de inflamatie poate utiliza fie comprese reci pentru retrocedarea fenomenelor acute, asociate cu instilarea de coliruri cu antibiotice; daca supuratia este pe cale de formare, compresele cu caldura uscata au rolul de a grabi colectarea. In faza de supuratie, colectia se evacueaza spontan, sau se poate practica incizia cu drenajul acesteia. In cazurile cu evolutie grava loco-regionala si semne generale (febra, stare alterata), se administreaza tratament general cu antibiotice cu spectru antistafilococic.
IV. AFECTIUNI INFLAMATORII ALE TARSULUI
Salazionul
Salazionul este o inflamatie cronica granulomatoasa a glandelor Meibomius din grosimea tarsului.
Din punct de vedere clinic se caracterizeaza prin aparitia unui mic nodul de consistenta ferma, situat subcutanat, aderent la tars, nedureros, de marime diferita. Salazionul se poate infecta secundar si poate determina o inflamatie supurativa care poate abceda la nivelul conjunctivei tarsale (Fig. 7.5).
Tratamentul este variat in raport cu forma clinica a salazionlui si de marimea acestuia. Daca tumoreta este mai mica se pot injecta intralezional corticosteroizi. Daca este mai mare se practica excizia salazionului impreuna cu capsula si chiuretarea zonei tarsale. In cazul unui salazion cu proces supurativ se administreaza local si uneori general, antibiotice si antiinflamatorii. La persoane in varsta cu salazion recidivant se va efectua un examen anatomopatologic pentru a exclude prezenta unui adenocarcinom sebaceu.
Fig. 7.5 - Salazion pleoapa inferiooara
TULBURARI DE POZITIE
Tulburarile de pozitie sau statica palpebrala sunt reprezentate de entropion si ectropion. Sunt relativ frecvente, iar tratamentul este necesar pentru a preveni complicatiile corneene pe care acestea le determina.
Reprezinta rasucirea inauntru, spre globul ocular, a marginii libere palpebrale, avand drept consecinta malpozitia cililor care irita permanent corneea, ochiul fiind congestionat si lacrimos. Este mai frecvent la nivelul pleoapei inferioare.
Forme clinice:
Entropionul congenital se datoreaza disgeneziei muschiului orbicular sau defectelor tarsale;
Entropionul senil (involutional) se datoreste atat hiperlaxitatii orizontale a pleoapelor si atrofiei tesutului orbitar, care produce enoftalmie cat si insertiei muschilor retractori ai pleoapei. Tratamentul este chirurgical si consta in rezectia unei portiuni din muschiul orbicular pentru repozitionarea pleoapei.
Entropionul spastic (Fig, 7.6) apare prin contractia excesiva a muschiului orbicular datorita laxitatii tesutului supratarsal, in iritatii sau inflamatii oculare (conjunctivite cronica, blefarite, aplicarea de pansamente oculare prelungite). Tratamentul consta in suprimarea cauzei locale iar in formele severe se practica alcoolizarea muschiului orbicular sau interventii chirurgicale de repozitionare a pleoapei.
Fig. 7.6 - Entropion spastic
Entropionul cicatricial poate fi cauzat de numeroase afectiuni; boli autoimune (pemfigusul cicatricial), inflamatorii (sindromul Stevens Johnson), infectioase (trahom, herpes zoster, ulceratii), traumatice (mecanice, arsuri chimice, termice). In aceste cazuri apare frecvent trichiazis, reducerea secretiei lacrimale, ocluzia punctelor lacrimale, epidermoliza mucoasei.
Tratamentul asociaza terapiei bolii cauzatoare cu chirurgia entropionului asociata cu plasarea unei grefe care sa inlocuiasca tesuturile palpebrale incluse in cicatrice.
Consta in rasucirea marginii libere a pleoapelor in afara, ceea ce determina pierderea partiala a contactului pleoapei cu globul ocular. Apare de asemenea mai frecvent la pleoapa inferioara.
Aceasta malpozitie a marginii ciliare conduce la expunerea conjunctivei la actiunea unor agenti iritativi externi, devenind permanent congestionata, cu metaplazie in epiteliu partial cheratinizat, ce-i confera un aspect dizgratios. Eversiunea punctului lacrimal conduce la lacrimare excesive numita epifora.
Corneea nu mai este protejata in partea inferioara si apare o cheratita prin inocluzie palpebrala (cheratita lagoftalmica).
Forme clinice:
Ectropionul congenital - apare rar izolat, mai frecvent fiind asociat [O.V1]cu blefarofimoza;
Ectropionul prin hipotonia tesuturilor palpebrale - este generat de hipotonia tesuturilor pleoapei inferioare prin relaxarea structurilor tarso-ligamentare si a muschiului orbicular. Aceasta forma se poate intalni la varstnici (ectropion senil - Fig.7.7), in paraliziile de nerv facial de lunga durata sau la purtatorii de proteza dupa enucleatie (ectropion ex vacuo). Tratamentul este chirurgical si consta in excizia surplusului de tesuturi care a determinat aparitia acestei eversiuni palpebrale. In cazul ectropionului
Fig. 7.7 - Ectropion senil
paralitic se poate practica sutura marginii libere ale celor doua pleoape (tarsorafie). De asemenea se administreaza local lubrifianti oculari (lacrimi artificiale) sau uneori se utilizeaza lentile cu "camera umeda" (asemanatoare cu cele purtate de inotatori).
Ectropionul cicatricial: poate afecta ambele pleoape si apare dupa retractia tegumentului sau prin cicatrici cu dispozitie verticala. Cauzele sunt multiple:
o traumatisme: plagi cu smulgerea unghiului intern, plagi infectate;
o sechele dupa arsuri fizice sau chimice cu cicatrici retractile,
o afectiuni palpebrale inflamatorii sau infectioase (carbunele, pustula maligna);
o dermatoze evolutive: eczema, ichtioza, erizipelul, lupusul fetei;
o osteoperiostitele marginii orbitare fistulizate;
o tumorile si rezectiile excesive ale tegumentului utilizate in tratamentul acestora.
Tratamentul ectropionului cicatricial este chirurgical si consta in blefaroplastie (inlocuirea tesutului cutanat) dupa eliberarea cicatricelor retractile cu lambou tegumentar pediculat din vecinatate sau cu lambou liber recoltat dintr-o alta zona.
__________ ______ ____ __________ ______ ____
TULBURARI DE MOTILITATE
Tulburarile de dinamica palpebrala apar prin leziuni ale aparatului motor al pleoapelor care include muschiul ridicator al pleoapei superioare si muschiul orbicular.
Acestea pot sa fie reprezentate:
printr-o exagerare a contracturii acestor muschi (spasm);
prin diminuarea contractiei (pareza) sau disparitia functiei normale a acestor muschi (paralizie)
I. TULBURARI ALE MOTILITATII RIDICATORULUI
Contractura patologica a ridicatorului
Se caracterizeaza prin deschiderea exagerata a fantei palpebrale in comparatie cu cea de pe partea opusa.
Retractia spasmodica a pleoapei superioare poate fi datorata unei tonicitati exagerate a portiunii striate a ridicatorului, cand in repaus, pleoapa superioara este in usoara ptoza. Ea se ridica apoi brusc in cursul miscarilor de adductie, ridicare sau coborare a globului. Aceste aspecte pot fi observate in perioada de vindecare a paraliziei faciale, in paraliziile de ridicare a globului de origine centrala, datorate unor tumori de mezencefal (sindromul Parinaud), in unele ptoze congenitale (sindromul Marcus-Gunn, cu retractia pleoapei si coborarea globului asociata cu deschiderea gurii, in timpul miscarilor de masticatie.
Retractia pleoapei superioare poate fi datorata unei contracturi a muschiului neted Mller, prin iritatia simpaticului sau prin fimoza musculara. Acest fenomen apare in maladia Basedow ca un semn de tireotoxicoza. El este caracterizat prin aceea ca la privirea inainte, corneea este descoperita in totalitate, iar la privirea in jos, o portiune larga din sclerotica se descopera la partea superioara a globului. Un alt semn prezent in maladia Basedow este asinergia oculo-palpebrala caracterizata de faptul ca pleoapa superioara nu urmeaza miscarile ochiului la privirea in jos (semnul lui De Graefe). Alte doua semne oculare ale tireotoxicozei basedowiene sunt: semnul lui Darlymple (fanta palpebrala largita) si semnul lui Stellwag (clipitul rar).
Paralizia ridicatorului pleoapei superioare
(ptoza paralitica)
Ptoza reprezinta o cadere partiala sau totala a pleoapei superioare, de obicei unilaterala, datorata unei impotente a muschiului ridicator. Pleoapa acopera globul ocular in grade diferite. In cazul ptozei partiale, la privirea in sus, pupila dispare sub pleoapa, daca ptoza este totala, santul orbito-palpebral superior este sters, iar in cazul bilateralitatii ptozei, pentru a putea vedea, bolnavul apleaca capul pe spate si increteste fruntea prin contractia frontalului.
Etiologie
Din punct de vedere etiologic ptoza palpebrala poate fi:
congenitala
dobandita (neurogena, miogena, traumatica).
Ptoza congenitala a fost studiata in detaliu la capitolul malformatiile congenitale ale pleoapelor.
Ptoza neurogena apare in paralizia nervului III, asociata cu deviatia in divergenta si in jos a ochiului si cu diplopie, toate aceste simptome aparand daca ridicam pleoapa superioara. Miscarea de ridicare a globului, coborarea si adductia sunt abolite. Uneori se poate adauga paralizia acomodatiei (lectura si lucrul la aproape imposibile) si de asemenea midriaza, in paralizia totala de oculomotor comun. Ca si etiologie, paralizia de III poate fi generata de leziuni situate la nivele diferite ale traiectului sau (nuclear, troncular, radicular) aceste leziuni putand fi: infectii sau intoxicatii ale sistemului nervos central, afectiuni intracraniene tumorale sau vasculare, traumatisme, migrena oftalmoplegica. Ptoza palpebrala poate fi prezenta si in cadrul sindromului Claude-Bernard_Horner situatii in care apare o paralizie a muschiului Mller prin atingerea simpaticului la nivelul maduvei cervicale, bulbului sau varfurilor pulmonare.
Ptoza miogena poate fi:
- ptoza senila, prin pierderea tonicitatii ridicatorului si muschiului lui Mller si printr-o atrofie a grasimii orbitare;
- ptoza ereditara cu aparitia tardiva in oftalmoplegia nucleara progresiva (miopatia mitocondriala), boala ereditara si familiala care afecteaza profund structura muschilor oculari si palpebrali.
- ptoza din miastenia gravis (boala Erbs Goldflam) este frecventa si adesea reprezinta semnul de debut al bolii; in mistenie ptoza este dobandita, variabila, se agraveaza seara dupa oboseala, diagnosticul fiind stabilit prin testul la prostigmina sau la tensilon care fac sa cedeze ptoza.
- mai rar, ptoza miogena poate apare in hipertiroidie, diabet, corticoterapie, miotonie sau miozite.
Ptoza traumatica poate fi datorata unei leziuni nervoase sau musculare, poate apare in plagi sfacelate cu sectionarea ridicatorului, cupa enucleatie, chirurgie orbitara, chirurgia segmentului anterior, postcontuziv.
Ptoza palpebrala trebuie diferentiata de falsa ptoza (pseudoptoza), care poate apare in diferite afectiuni: tumori palpebrale (nevroamele plexiforme din boala Recklinghausen), blefarosalazis, cicatrici cutanate sau conjunctivale, lipsa de suport a pleoapei (anoftalmie, microftalmia, enoftalmia sau ftizia globului), afectiuni inflamatorii palpebrale (tarsite, trahom).
Tratament
Tratamentul ptozei este in primul rand chirurgical. Cu exceptia formelor secundare care pot beneficia de un tratament etiologic. Sunt utilizate diferite procedee chirurgicale care constau fie din scurtarea si avansarea ridicatorului (cand functionalitatea este inca pastrata), fie din inlocuirea actiunii sale prin aceea a muschiului drept superior sau a muschiului frontal.
II. TULBURARILE MOTILITATII ORBICULARULUI
Sunt reprezentate de:
- contractura patologica a orbicularului (blefarospasmul)
- paralizia orbicularului (lagoftalmia).
Blefarospasmul (contractura orbicularului)
Blefarospasmul este determinat de contractura patologica a muschiului orbicular, cu o exagerare a miscarilor normale de inchidere a pleoapelor care se manifesta cu frecventa crescuta a clipitului normal (blefarospasm cronic) pana la inchiderea aproape completa a pleoapelor (blefarospasm tonic).
Etiopatogenie
Din punct de vedere patogenic se disting doua feluri de blefarospasm: blefarospasm reflex si blefarospasm prin iritatia facialului.
Blefarospasmul reflex. Este datorita iritatiei ramurilor senzitive ale trigemenului, care se transmit nucleului facialului.
Cauzele acestei forme de blefarospasm pot fi
oculare: afectiuni inflamatorii sau traumatice ale corneei, irisului (corpi straini, herpes, cheratita flictenulara, trichiazis, iridociclita ) afectiuni palpebro-conjunctivale (blefarita, eczeme)
extraoculare: dentare, otice, nazale, faringiene, hemoragii sau tumori cerebrale, isterie, tabes, encefalita, paraziti intestinali, etc.
Blefarospasmul prin iritatia facialului. Se poate insoti de o contractura care se poate intinde la toti muschii unei jumatati a fetei inervati de facial (hemispasm facial). Cauza acestei forme de blefarospasm poate fi de origine:
centrala (leziuni ale frontalei ascendente),
nucleara (tumori, abcese, hemoragii),
periferice (plagi ale fetei)
secundare unei paralizii faciale.
Tratament
Tratamentul in blefarospasmul reflex este tratamentul afectiunilor oculare sau extraoculare cauzale. In unele cazuri se utilizeaza sedative, alcoolizarea filetelor nervului facial sau rezectia orbicularului.
Lagoftalmia (paralizia orbicularului)
Lagoftalmia reprezinta ocluzia incompleta sau inocluzia pleoapelor. Aceasta apare in majoritatea cazurilor in paralizia periferica de facial.
Etiopatogenie
Lagoftalmia paralitica este consecinta lezarii facialului. Exista doua tipuri de paralizii faciale: periferica si centrale.
Paralizia periferica de facial este cea mai frecventa si poate fi produsa de leziuni nucleare si infranucleare.
q Leziunile nucleare pot fi produse de:
afectiuni vasculare: hemoragii, ramolismente.
tumori
boli infectioase: scleroza in placi, encefalita, poliomielita anterioara acuta, tetanos.
boli degenerative. Sindromul Wernicke.
q Leziunile infranucleare: pot fi situate la nivelul unghiului pontocerebelos (afectiuni vasculare, tumorale, infecti-oase, otite, osteite, zona zoster, afectiuni traumatice) sau parotidei (afectiuni tumorale, traumatice).
Paraliziile faciale centrale sau supranucleare se manifesta printr-o pareza a orbicularului. Ele pot fi provocate de diverse cauze:
afectiuni traumatice,
afectiuni vasculare (hemoragii ramolismente),
tumori (gliom),
infectii (abces cerebral, goma sifilitica).
Aspect clinic
Din punct de vedere clinic in lagoftalmie apare ridicarea pleoapei superioare sub actiunea ridicatorului care nu mai intampina actiunea antagonista a orbicularului care este paralizat. Daca solicitam bolnavului sa faca un efort de inchidere a pleoapelor, globul ocular se ridica (semnul lui Charles Bell) iar corneea dispare sub pleoapa.
Datorita pierderii tonicitatii orbicularului, pleoapa inferioara se indeparteaza de globul ocular (ectropion), facand cu acesta un sant in care se aduna lacrimile si ulterior o secretie mucopurulenta. Aceasta indepartare a punctelor lacrimale se insoteste de eversiunea punctului lacrimal inferior, ceea ce produce o lacrimare permanenta.
Din cauza insuficientei ocluziei palpebrale, partea inferioara a corneei ramane descoperita, determinand ulceratii (cheratita lagoftalmica); in timp se produce o cheratinizare lagoftalmica.
Tratament
Tratamentul este etiologic. Pentru a preveni cheratita lagoftalmica, se recomanda instilatii cu metilceluloza (lacrimi artificiale). Daca paraliza nu cedeaza in 2-3 saptamani se recurge la blefarorafie.
__________ ______ ____ __________ ______ ____
AFECTIUNI TUMORALE
Tumorile palpebrale pot fi sistematizate dupa natura histopatologica, in tumori benigne si tumori maligne.
TUMORI BENIGNE
Papilomul. Este o formatiune tumorala proeminenta, de aspect neregulat, centrata de un pedicul vascular. El poate imbraca diverse aspecte clinice:
- veruca este o tumoare pigmentata, solitara, ce apare mai ales in copilarie;
- cheratoza seboreica se caracterizeaza prin aparitia de leziuni pigmentate, cu aspect de crusta suspendata de epiderm;
- cheratoza solara (actinica) apare sub forma unei papile plate si reprezinta o leziune precanceroasa;
Tratamentul acestor papiloame este excizia chirurgicala ( cu exceptia cheratozei).
Nevul palpebral. Este o tumoare pigmentata, plata sau proeminenta care in evolutie poate deveni intens pigmentata. Are un potential redus de malignizare.
Angiomul palpebral. Este o tumoare vasculara care apare izolat sau asociat intr-un sindrom plurimalformativ (angiomatoza encefalo-trigemino-faciala Sturge-Weber). Angioamele pot fi de mai multe tipuri:
capilar, cu aspect de plaje intinse, de culoare rosu-inchis, care dispare la presiune;
cavernos, cu aspect unei tumori mai mari, turgescente, situata in plan superficial sau profund, care poate creste rapid si poate conduce la scaderea vederii (ambliopie).
Tratamentul poate utiliza injectarea intralezionala de corticosteroizi, distructia tumorii (laser, criocoagulare), ligatura vasului aferent sau exereza completa a tumorii.
TUMORI MALIGNE
Epiteliomul
Epiteliomul palpebral reprezinta cea mai frecventa tumoare maligna a pleoapelor. Se descriu doua forme anatomo-clinice:
q carcinomul bazocelular reprezinta 85-90% din tumorile maligne palpebrale. Afecteaza indeosebi persoane in varsta (dupa 65 de ani) si se localizeaza cel mai frecvent la nivelul pleoapei inferioare si al unghiului intern. Dupa aspectul clinic exista mai multe forme de carcinom bazocelular:
forma vegetanta: tumoare proeminenta, conopidiforma, de consistenta ferma, cu vase dilatate, cu aspect sesil sau pediculat, cu evolutie progresiva;
forma ulcero-vegetanta: o leziune cu aspect de ulceratie crateriforma acoperita de o crusta care uneori cade lasand o zana sangeranda;
forma infiltrativa: are aspectul unei placi indurate, ferme, mult mai extinsa la palpare decat la inspectie.
Carcinomul bazocelular are o progresie lenta, nu este invadant si determina foarte rar metastaze (Fig. 7.8 ).
Fig. 7.8 - Epiteliom bazocelular (aspect clinic)

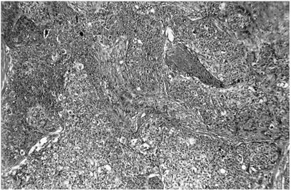
Fig. 7.9 - Epiteliom spinocelular (aspect histopatologic)
q carcinomul spinocelular include 10-15% dintre tumorile maligne ale pleoapelor si afecteaza mai frecvent pleoapa superioara si unghiul extern.
Clinic are un aspect vegetant, ulcerativ sau infiltrativ. Din punct de vedere evolutiv este mult mai agresiv decat carcinomul bazocelular, datorita caracterului invadant si metastazelor pe care le determina. Diagnosticul se pune pe examenul anatomopatologic (Fig. 7.9).
Melanomul malign cutanat
Este cea mai grava tumoare maligna a pleoapelor.
Clinic se prezinta sub forma unei tumori pigmentate, infiltrativa sau nodulara, cu o extensie rapida si cu un potential metastazant ridicat.
Diagnosticul de certitudine al tumorilor maligne este reprezentat de examenul anatomo-patologic efectuat dupa biopsie.
Tratamentul tumorilor maligne palpebrale poate fi conservator sau radical.
Tratamentul conservator include:
- radioterapie (in tumorile mici, neulcerate, situate la distanta de cantusuri) cu "ace" radioactive sau iradiere cu protoni.
- crioterapia (in tumorile mici, de unghi intern) cu dispozitive care dezvolta temperaturi de -30 grade in teritoriul tumorii;
Tratamentul radical este cel chirurgical si consta in excizia completa a tumorii in limitele securitatii oncologice urmata de reconstructia palpebrala.
In tumorile grave, inoperabile sau care au determinat metastaze se recomanda chimio si radioterapie.
|
Politica de confidentialitate | Termeni si conditii de utilizare |
Vizualizari: 13283
Importanta: ![]()
Termeni si conditii de utilizare | Contact
© SCRIGROUP 2025 . All rights reserved