| CATEGORII DOCUMENTE |
| Alimentatie nutritie | Asistenta sociala | Cosmetica frumusete | Logopedie | Retete culinare | Sport |
PARTICIPAREA ASISTENTEI MEDICALE LA INTEVENTII AUTONOME, INTERVENTII DELEGATE SI TRATAMENT
PARTICIPAREA ASISTENTEI MEDICALE LA
INVESTIGATII
Una din sarcinile importante ale asistentei medicale este colaborarea si la examinarea clinica a bolnavului. Participarea acesteia este o datorie sau o obligatie profesionala. Ajutand medicul si bolnavul, asistenta creaza un climat favorabil pentru relatia medic-pacient-asistenta.
Pentru aceasta, asistenta trebuie sa tina cont de urmatoarele sarcini:
-sa pregateasca fizic si psihic pacientul;
-sa pregateasca materialele si instrumentele necesare examinarii;
-sa asigure conditiile de desfasurare a examinarii;
-sa pregateasca documentele medicale (fisa de consultatii, foaia de observatie clinica, rezultatele examinarii);
-asigura iluminatia necesara examinarii unor segmente ale organismului;
-fereste pacientul de traumatisme, curenti de aer (securitate);
-asigura linistea necesara desfasurarii examenului;
-pregateste produse biologice ale pacientului, pentru a le arata medicului la vizita.
Examinarile de laborator, efectuate, produselor biologice si patologice le trece in fisele de observatie. Completeaza simtomatologiile bolilor exprimand modificarile aparute in morfologia, fiziologia si biochimia organismului. Aceste elemente confirma sau infirma diagnosticul clinic, reflecta evolutia bolii si eficacitatea tratamentului, confirma vindecarea sau semnaleaza aparitia unor complicatii.
Utilitatea si obiectivitatea examinarilor de laborator depind de modul de recoltare al produselor care se analizeaza si de modul cum se efectueaza examenul de laborator.
Recoltarea produselor este efectuata de asistenta medicala care trebuie sa respecte urmatoarele norme generale:
-orarul recoltarilor;
-efectueaza pregatirea fizica si psihica a pacientului;
-pregatirea instrumentarului si a materialelor necesare pentru recoltare;
-tehnica de recoltare propiu-zisa;
-completarea buletinului de trimitere la laborotor si etichetarea produselor recoltate;
-pastrarea si transportul in conditii optime a produselor recoltate.
Efectuarea pregatirii psihice a bolnavului consta in instruirea acestuia privind comportamentul sau in timpul recoltarii, colaborarea sa pentru reusita tehnicii. Pacientul este pregatit fizic printr-un regim alimentar, repaus la pat, asezandu-l intr-o anumita pozitie in functie de recoltarea ce se va efectua.
RECOLTAREA SANGELUI
Pentru recoltarea sangelui se folosesc materiale si instrumente in functie de scopul pentru care se fac acestea, dar si de locul de unde se va recolta sangele.
PREGATIREA MATERIALELOR PENTRU
RECOLTAREA SANGELUl PENTRU V.S.H.
Asistenta medicala pregateste materialele necesare:
-seringa de 2ml de unica folosinta;
-ace sterile de unica folosinta;
-solutie de Citrat de Na 3,8%;
-musama, eprubete, tavite renale, garou, vata, alcool 70o.
Se pregateste pacientul psihic, explicandu-i cu 24h inainte necesitatea efectuarii examinarii. Se pregateste pacientul fizic. Se anunta sa nu manance si sa pastreze repaus fizic.
Pentru recoltarea sangelui pentru VSH se mai foloseste si sistemul vaccumtainer, eprubete cu dop negru ce contin Citrat de Na 3,8 %.
EFECTUAREA TEHNICII
-asistenta medicala se spala pe maini cu apa si sapun;
-imbraca manusile sterile;
-aspira in seringa 0,4ml Citrat de Na 3,8%;
-aplica garoul pacientului pentru a pune in evidenta vena;
-punctioneazǎ vena si desface garoul;
-aspira sange pana la 2ml (1,6ml);
-retrage acul si aplica un tampon cu alcool;
-scurge amestecul: sange-citrat in eprubeta si omogenizeaza lent;
-aseaza eprubeta in stativ;
-ingrijeste pacientul dupa punctie;
-pregateste produsul pentru laborator, completand buletinul;
-eticheteaza produsul si-l trimite la laborotor;
-reorganizeaza locul de munca.
RECOLTAREA SANGELUI PENTRU BIOCHIMIE
Se efectueaza prin punctie venoasa, dimineata inaite de micul dejun recoltandu-se 5-10 ml sange simplu, pentru a determina:
-uree: 5-10ml sange pv; 0 -0,4 gr/1000ml
-creatina: 5-10ml sange pv; 0 -1,20 mg%
-aci uric: 5-10ml sange pv; 2-6 mg%
-glicemie: 2ml sg/florura Na 4mg pv; 0 -1,20gr %o
-fibrinogen: 0,5ml Citrat de Na 3 %+ 4,5ml sange pv; 200-400 mg %

Eprubeta pentru biochimie
RECOLTAREA CU VACUTAINER
PREGATIREA MATERIALELOR NECESARE
Ø holder
Ø acul de punctie protejat cu carcasa bicolora
Ø tuburi vacuumtainer cu dopuri de diferite culori conventionale

Sistem vacutainer
PREGATIREA PACIENTULUI
Pregatirea psihica: se anunta si i se explica inofensivitatea tehnicii
Pregatirea fizica: - recoltarea se face dimineata pe nemancate;
-se aseaza pacientul in decubit dorsal, confortabil, cu
membrul superior in abductie, extensie si supinatie.
Efectuarea techicii : asistenta se spala pe maini cu apa si sapun;

Punctia venoasa
REROGANIZAREA LOCULUI DE MUNCA
- Se reorganizeaza locul de nunca
- Acele utilizate se depun in containerul destinat
Tuburile vaccumtainer se utilizeaza in functie de codul de culoare a dopului de cauciuc astfel:
Eprubete cu dop MOV - contine anticoagulant (E.D.T.A.)
Ø Se recolteazǎ HLG formula leucocitara
Eprubete cu dop NEGRU - contine anticoagulant (citrat de Na 3,8%)
Ø Se recolteazǎ V.S.H.
Eprubete cu dop ROSU - nu contine anticoagulant
Ø Se recolteazǎ analize de bio-chimie (ex: uree, creatinina, acid uric, glicemie)
Eprubete cu dop BLEU - contine anticoagulant (citrat de Na 3,8%).
Ø Se recolteazǎ Fibrinogen
Eprubete cu dop VERDE- contine litiu
Ø Pentru biochimie

EXAMEN
RECOLTAREA URINII PENTRU SUMARUL DE URINA
Recoltarea se face in recipiente de sticla absolut curate, clatite cu apa distilata, ca sa nu-i schimbe compozitia.
Pentru examenul curent se trimit 100-150 ml, din care se va determina si densitatea si se va examina si sedimentul urinar.
RECOLTAREA URINII PENTRU UROCULTURA
Se pregǎteste pacientul psihic informandul asupra tehnicii.
Se recolteazǎ urina de dimineatǎ. Recoltarea se face direct din jetul urinar dupa tulaletarea riguroasa a meatului urinar, respectiv a vulvei, cu apa si sapun si limpezit cu ser fiziologic. Pentru a elimina si germanii care s-ar gasi eventual in uretra, recoltarea se va face din urina dupa ce prima parte a jetului a spalat canalul, deci din ultima parte a jetului urinar. Acest examen este indicat a se face inaintea inceperii tratamentului cu antibiotice.

Recipient steril pentru urocultura
Pune in evidentǎ studiul cantitativ al elementelor morfologice.
In ziua precedenta examenului bolnavul este supus unui reguim sec, sarac in lichide; in ziua exameului el ramane nemancat. Dimineata goleste vezica, iar urina se arunca. Peste 3 ore urineaza din nou, intre timp ramane in repaus absolut la pat. Urina evacuata spontan se determina cantitativ. Toatǎ urina se colecteazǎ intr-un recipient si se trimite la laborator, dupǎ ce in prealabil s-a etichetat.
Cu aceasta metoda de poate determina eliminarea pe minut a hematiilor, leucocitelor, bacteriilor, cilindrilor separat. Eliminarea elementelor morfologice din urina capata o semnificatie patologica daca numarul hematiilor eliminate pe minut depaseste 2000, iar al leucocitelor 4000.
Materiale necesare:
cǎrbune;
ulei de ricin;
materiale necesare efectuarii clismei, evacuatoare.
Pregatirea psihica a pacientului
Se anuntǎ si se explicǎ necesitatea tehnicii.
I se va explica tehnica si regmul alimentar necesar pentru reusita acesteia.
Pregatirea alimentara a pacientului
Cu 2-3 zile inaintea examenului va consuma un regim alimentar fǎrǎ alimente ce contin celulozǎ (adicǎ fǎrǎ fructe, legume, zarzavaturi, paste fǎinoase, paine) si ape gazoase.
In ziua precedentǎ examenului regimul va fi hidric: supe, limonade, ceai, apǎ. In seara precedentǎ examenului, pacienta va consuma o canǎ cu ceai si o felie de paine prǎjitǎ. In dimineata examenului nu mǎnancǎ si nu consumǎ lichide.
Dupǎ examen regimul alimentar este obisnuit.
Cu 2-3 zile inaintea examenului se administreazǎ cǎrbune si Triferment de 3 ori pe zi cate 2 tablete.
In dimineata si seara precedente examenului se administreazǎ 2 linguri de ulei de ricin si se efectueazǎ clisma evacuatoare simplǎ.
Inaintea examinǎrii pacientul isi goleste vezica urinarǎ si se controleazǎ radioscopic dacǎ nu mai existǎ aer in intestin.
Bolnavul este condus la serviciul de radiologie. Este ajutat sǎ se dezbrace si sǎ se aseze in decubit dorsal pe masa radiologicǎ.
Dupǎ efectuarea radioscopiei bolnavul este condus in salon si instalat comod in pat.
Examenul se noteazǎ in foaia de observatie.
-carbune;
-ulei de ricin
-materiale necesare efectuarii clismei
-substante de contrast: Odiston 30, 60 sau 75%; Ultravist
-medicamente antihistamice: HHC
-medicamentatia de urgentǎ;
-seringi de 20;10;2 ml de unicǎ folosintǎ;
-ace de unicǎ folosintǎ pentru intra-venoase si intra-musculare.
Pregatirea psihica a pacientului
Se anuntǎ si se explicǎ necesitatea tehnicii.
I se va explica tehnica si regmul alimentar necesar pentru reusita acesteia.
Pregatirea alimentara a pacientului
Cu 2-3 zile inaintea examenului va consuma un regim alimentar fǎrǎ alimente ce contin celulozǎ (adicǎ fǎrǎ fructe, legume, zarzavaturi, paste fǎinoase, paine) si ape gazoase.
In ziua precedentǎ examenului regimul va fi hidric: supe, limonade, ceai, apǎ. In seara precedentǎ examenului, pacienta va consuma o canǎ cu ceai si o felie de paine prǎjitǎ. In dimineata examenului nu mǎnancǎ si nu consumǎ lichide.
Dupǎ examen regimul alimentar este obisnuit.
Cu 2-3 zile inaintea examenului se administreazǎ cǎrbune si triferment de 3 ori pe zi cate 2 tablete.
In dimineata si seara precedente examenului se administreazǎ 2 linguri de ulei de ricin si se efectueazǎ clisma evacuatoare simplǎ.
Inaintea examinǎrii pacientul isi goleste vezica urinarǎ si se controleazǎ radioscopic dacǎ nu mai existǎ aer in intestin.
Bolnavul este condus la serviciul de urografie. Este ajutat sǎ se dezbrace si sǎ se aseze in decubit dorsal pe masa radiologicǎ.
Se face testarea sensibilitǎtii organismului la substanta de contrast.
Se injecteazǎ un ml Odiston intra-venos prin omogenizare cu sangele. Se comunicǎ pacientului sǎ nu se sperie la unele simptome ce pot sǎ aparǎ: ameteli, greturi sau dureri abdominale care dispar repede si fǎrǎ consecinte. Pentru prevenirea lor, substanta de contrast se poate administra si sub forma de perfuzie intravenoasa in solutie de glucoza 5% administrand o cantitate totala de 250 ml lichid in 15 min. Prin aceasta metoda se poate asigura opacifierea mai intensa si de o durata mai lunga
Dacǎ pacientul prezintǎ reactii hiperalergice se intrerupe administrarea si se vor aplica masurile terapeutice de urgenta.
Dacǎ toleranta este bunǎ se administreazǎ intra-venos substante de contrast:
-pentru adulti: -20 ml Odiston 75%
-25 ml Odiston 60%
-pentru copii - in functie de varstǎ
-5-15 ml Odiston 60% sau 50%
La 8-10 minute de la efectuarea injectiei se executǎ radiografii in serie, aproximativ la 30; 60; 90; 180 minute.
Dupǎ examen pacientul este condus la salon.
Examenul se noteazǎ in foaia de observatie.

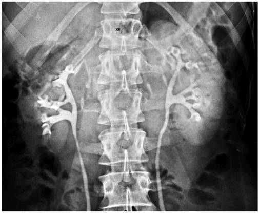
Urografie
2. PROCESUL DE INGRIJIRE
Procesul de nusring este o metoda organizata si sistematica, care permite acordarea de ingrijiri individualizate. Aplicatia sa permite identificarea necesitatilor persoanei ingrijite si de a raspunde de ingrijiri adaptate in scopul de a ajuta persoana sa-si recapete autonomia.
Dupa Genevieve Dechanoz, procesul de ingrijire reprezinta aplicarea modului stiintific de rezolvare a problemelor, a analizei situatiei, a ingrijirilor, pentru a raspunde nevoilor fizice, psihosociale ale persoanei, pentru a renunta la administrarea ingrijirilor stereotipe si de rutina, bazate pe necesitati presupuse, in favoarea unor ingrijiri individualizate, adaptate fiecarui pacient. Este un mod de a gandi logic, care permite interventie constienta, planificata a ingrijirilor in scopul protejarii si promovarii sanatatii individului.
Aplicarea cadrului conceptual al Virginiei Henderson in procesul de ingrijire usureaza identificarea nevoilor pacientului pe plan bio-psiho-social, cultural si spiritual si gasirea surselor de dificultate care impiedica satisfacerea nevoilor. De asemenea, permite stabilirea interventiilor capabile sa reduca influenta acestor surse de dificultate, in scopul de a ajuta persoana sa-si recapete autonomia (pe cat posibil).
PROCESUL DE NURSING
Procesul de nursing este o metoda sistematica, logica, de identificare si solutionare de probleme; permite nursei sa puna diagnosticul si sa trateze raspunsurile umane la imbolnaviri si boala.
Asistenta medicala ajuta bolnavul sa :
-sa respire si sa aibe o circulatie adecvata, masura ce corespunde necesitatii fiecarui individ de a se aproviziona corect cu oxigen si de a avea un schimb de gaze pulmonar eficient. Asistenta medicala trebuie sa cunoasca in ce masura caracterul respiratiei influenteaza calitatea sanatatii, precum si principiile generale de administrare a oxigenului si a altor gaze.
-sa se alimenteze si sa se hidrateze, asistenta medicala trebuie sa aibe cunostinte necesare pentru a da sfaturi privind normele stabilite in ceea ce priveste greutatea unui individ in functie de inaltime ; sau cerinte in privinta nevoilor alimentare si al alegerii si pregatirii mancarii.
-sa elimine -asistenta medicala trebuie sa cunoasca toate caile de eliminare, variatiile considerate 'normale' in ceea ce priveste frecventa si cantitatea eliminarii pe cale renala s-au pe cale digestiva.
-sa se miste si sa-si pastreze o buna postura prin utilizarea metodelor propice de lucru pentru schimbarea sau ridicarea pacientului ca si prevenirea deformarilor la bolnav si proasta functionare a organelor in timpul bolii
-sa se odihneasca si sa doarma -ajutand bolnavul sa-si reduca nevoia de hipnotice si narcotice pentru introducerea odihnei si a somnului, sa suprime cauzele iritative care impiedica bolnavul sa aibe un somn odihnitor.
-sa se imbrace, sa se dezbrace -folosind o imbracaminte care sa-l protejeze de frig, umezeala sau caldura, ajutandu-l sa isi recastige independenta in a se imbraca si a se dezbraca.
-sa-si pastreze temperatura in limite normale -asistenta medicala trebuie sa cunoasca principiile fiziologice privind producerea si pierderea de caldura si sa fie capabila sa recurga la unul din acestea.
-sa pastreze igiena corporala si sa-si protejeze tegumentele-fiecare pacient trebuie sa beneficieze de articolele de imbracaminte necesare, de asistenta necesara ingrijirii parului, unghiilor, nasului, gurii si a dintilor. Toaleta generala trebuie stabilita in functie de nevoile fiecarui individ.
-sa evite pericolele -necesitatea pentru fiinta umana de a se proteja impotriva tuturor agresiunilor interne sau externe pentru a -si mentine integritatea fizica si psihologica.
-sa comunice cu altii sa-si exprime nevoile si sa-si exteriorizeze sentimentele. Asistenta medicala trebuie sa ajute bolnavul sa depaseasca unele efecte psihologice ale imbolnavirii, sa-i vorbeasca si sa-l asculte, putand astfel contribui la mentinerea starii de bine a bolnavului.
-sa-si practice religia conform conceptiei sale. Asistenta medicala trebuie sa fie in masura sa estimeze ajutorul de care bolnavul are nevoie privind indeplinirea obligatiilor sale religioase si unele conflicte ce se pot crea in legatura cu aceasta in practica spitalelor.
-sa se recreeze, ajutand bolnavul sa-si planifice ziua, incuraaandu-l in orice activitate care il intereseaza.
-sa aibe o ocupatie, sa aibe posibilitatea sa-si continue activitatea si sa se faca util pentru a pastra un ritm asemanator activitatii anterioare.
-sa invete - necesitatea pentru fiecare fiinta umana de a dobandi cunostinte pentru modificarea comportamentelor sale, sau de a dobandii noi comportamente in scopul mentinerii sau recuperarii sanatatii.
Identificarea problemelor de ingrijire a fost cunoscute ca faze esentiale a procesului de ingrijire si care cuprinde 5 etape :
1) culegerea de date ;
2) identificarea problemelor de ingrijire;
3) planificarea ingrijirilor;
4) aplicarea in practica a planului de ingrijire;
5) evaluarea rezultatului.
Planul de ingrijire este suportul scris al procesului de planificare al ingrijirilor.
1) Culegerea de date
-consta in culegerea informatiilor pentru a identifica la pacient urmatoarele :
-starea de sanatate trecuta si actuala ;
-reactia la modificarea actuala ;
-reactia la tratament si ingrijire ;
-riscul modificarii potentialului.
Aceste informatii sunt culese prin mai multe metode :
Ø discutia la internare ;
Ø observarea pacientului;
Ø studiul documentelor prezentate ;
Tipul si calitatea datelor obtinute de nursa , depind de modul cum priveste individul sanatea si ingrijirile.
2) Identificarea problemelor de ingrijire
Problemele de ingrijire pot fi definite ca tot ceea ce pacientul doreste sa modifice si in aceeasi masura ceea ce asistenta medicala considera important.
Problemele de ingrijire sunt de 2 tipuri:
a)probleme clinice ce decurg din natura problemelor medicale si corespund dimensiunii interdependente a practicii medicale;
b)diagnosticul de nursing stabilit de asistenta medicala ce corespunde dimensiunii independente in practica asistentei medicale;
3) Planificarea ingrijirilor
Procesul de planificare a ingrijirilor cuprinde 2 etape :
a) determinarea obiectivelor de atins ;
b) stabilirea mijloacelor pentru rezolvare ; Obiectivele sunt de 2 categorii: unele privesc starea fizica sau fiziologica, adica starea asteptata, asupra careia pacientul nu are control voluntar; altele privesc comportamentul pacientului.
4) Aplicarea planului de nursing ;
Nursa alege interventiile privind ingrijirile adecvate pentru a preveni,
a reduce sau a elimina modificarea.
Interventiile sunt in functie de gradul de dependenta si posibilitatile pacientului.
5) Evaluarea - inseamna a determina daca pacientul a atins obiectivul stabilit, asistenta va culege date de la pacient pentru a determina daca a atins obiectivele formulate in diagnosticul de nursing.
INTERVENTIILE ASISTENTEI MEDICALE PRIVIND INGRIJIREA PACIENTULUI CU PIELONEFRITǍ
Asigurarea conditiilor de microclimat in salon (aerisirea salonului, temperatura de 37oC.) Asigurarea repausului la pat.
Aplicarea de cǎldurǎ pe regiunea lombarǎ
Asigurarea unei alimentatii echilibrate, complete excluzand alcoolul, cofeina, condimentele, lichidele in cantitate mare.
Regimul acidifiant contine carne, ouǎ, cereale, fǎinoase. Acesta influenteazǎ pH-ul in sens acid.
Regimul alcanizant contine fructe, lactate care influenteazǎ pH-ul in sens bazic.
Regimul este prescris de medic si se noteazǎ in foaia de observatie.
Administrarea tratamenului prescris de medic (antibiotice, analgezice).
Recoltarea produselor pentru ca examenele de laborator sǎ se facǎ corect.
Igiena organelor genitale si a regiuni.
Asanarea oricǎror procese infectioase de vecinǎtate (vulvo-vaginal), a litiazei renale.
Dispensarizarea si tratarea corecta a diabeticilor.
Evitarea distensiei vezici urinare prin golirea completǎ.
Dobandirea obisnuitelor corecte de eliminare.
Educatia pacientului.

PARTICIPAREA ASISTENTEI MEDICALE LA
ACTE TERAPEUTICE
Tratamentul se administreazǎ de asistenta medicalǎ doar la indicatiile medicilor.
In general, tratamentul are drept scop indepǎrtarea infectiei urinare si apoi tratamentul simptomatic.
Tratamentul etiologic antiinfectios constǎ in indentificarea germenului prin trei uroculturi consecutive si testarea sensibilitǎtii prin antibiogramǎ.
In formele grave se administreazǎ antibiotice majore:
AMPICILINǍ
-activǎ in infectii cu Escherichia Colli, Proteus;
-inactivǎ pentru Pseudomonas Aeruginosa (Pioccianic) Klebsiella;
-nu este toxicǎ: efecte secundare apar rar (greatǎ vǎrsǎturi, diaree);
-reactii de hipersensibilitate (euzinofilie);
-se adminstreazǎ per os sau intra-muscular 500 mg - 1g de 4 ori/zi.
GENTAMICINǍ
-activǎ in infectii cu
Aeruginosa, Stafilococ;
-este nefrotoxicǎ, dozele mari administrate la pacientii cu I.R produc leziuni vestibulare ireversibile;
-se adminstreazǎ intra-muscular sau intra-venos 1-3 mg/kg, repartizate in 3 doze la interval de 8 ore (8mg/8 ore)
-CEFALEXIN
-active in infectiile cu E.Colli,Klebsiella,Proteus,Pseudomonas,Stafilococ
-reactii secundare (greatǎ vǎrsǎturi, diaree);
-nu este nefrotoxicǎ in doze mici;
-se administreazǎ per os 500 mg de 4 ori/zi.
NITROFURANTOIN
-actiune bactericidǎ pentru germeni: Gram(-) si Gram (+)
-produce semne de intolerantǎ gastricǎ (greturi, vǎrsǎturi cefalee,);
- contraindicat la pacientii cu I.R.;
-se administreazǎ per os 5-10 mg/kg corp/zi repartizat in 4 prize;
-in tratamentul de lungǎ durata se administreazǎ jumǎtate din doza obisnuitǎ.
ACID NALIDIXIC sau NEGRAM
-activ infectiile cu bacterii Gram(-)
-inactiv la Pseudomonas;
-nu este nefrotoxic, dar dezvoltǎ rapid forme rezistente de bacterii;
-reactii secundare (greatǎ vǎrsǎturi, diaree, cefalee, edem papilar);
-se administreazǎ per os 1g la 6 ore;
Tratamentul simptomatic constǎ in administrarea de:
-analgezice: ALGOCALMIC
-antispastice: NO-SPA
-pentru scǎderea valorilor tensionale:NIFEDIPIN, ENAP
-acidifierea urinii se face cu clorurǎ de amoniu sau METENAMIN, contraindicate la bolnavii cu acidozǎ.
Se pot face asocieri de antibiotice:
ex:AMPICILINǍ+GENTAMICINǍ
Nu se prescriu antibiotice la persoanele alergice (fara testare prealabila).
Tratamentul dureazǎ 1-3 luni, respectandu-se regulat urocultura cu antibiograma.
5. EDUCATIE PENTRU SǍNǍTATE
Dobandirea obisnuintelor corecte de eliminare a urinii, evitarea inhibǎrii reflexului de mictiune, deoarece se produce distensia vezicii urinare cu staza urinara, care poate favoriza formarea calculilor.
Evitarea consumului de medicamente cu efect diuretic sau nefrotoxic fǎrǎ prescriptie medicalǎ.
Efectuarea corectǎ a toaletei regiunii perineale pentru a evita pǎtrunderea microorganismelor in tractul urinar.
Evitarea aportului excesiv de sǎruri minerale.
Se vor evita frigul, umiditatea, oboseala, traumatismele, agentii toxici, afectiunile cardiovasculare, deoarece sunt factori favorizanti in aparitia si evolutia afectiunilor renale.
Se vor efectua exercitii fizice pentru cresterea tonusului musculaturii perineale si abdominale, acestea favorizand contractiile vezicii urinare si al sfincterului extern al uretrei.
Depistarea precoce a infectiilor renale si dispensarizarea lor corectǎ.
Ø Tratamentul corect al acestor afectiuni dupǎ sfatul medicului.
Ø Colaborarea asistentei si echipei de ingrijire cu pacientul.
Ø Evitarea complicatiilor.
Reintegrarea in societate a individului cu afectiuni cronice.
|
Politica de confidentialitate | Termeni si conditii de utilizare |
Vizualizari: 14046
Importanta: ![]()
Termeni si conditii de utilizare | Contact
© SCRIGROUP 2025 . All rights reserved