| CATEGORII DOCUMENTE |
| Alimentatie nutritie | Asistenta sociala | Cosmetica frumusete | Logopedie | Retete culinare | Sport |
Notiuni generale despre tiroida
Tiroida-este o glanda endocrina ,de forma unui fluture situata in regiunea cervicala anterioara sub cartilajul tiroid al laringelui.
Glanda tiroida secreta triiodotironina (T3)si tiroxina ( T 4 ), care regleaza metabolismul,controleaza temperatura corpului , influenteaza ritmul cardiac etc.si calcitonina , un hormon care regleaza cantitatea de calciu din organism.
Secretia de tiroxina si triiodotironina este controlata de glanda hipofiza si de hipotalamus . Acesta actioneaza asupra hipofizei ,determinand-o sa secrete un hormon numit tireostimulina hipofizara ( TSH). Secretia de TSH depinde de nivelul de tiroxina si triiodotironina din sange.
Gusa- reprezinta marirea de volum a glandei tiroide .
Hipertiroidism-cresterea functiei glandei tiroide .
Gusa cu hipertiroidism = gusa toxica multinodulara . Gusile multinodulare sunt heterogene structural si functional -tind sa dezvolte zone de autonomie functionala .Nodulii depasesc o "masa critica"= secretia hormonala devine independenta de TSH.
Clinic-tireotoxicoza si gusa neomogena ,polinodulara aparuta cu mult timp inaintea semnelor de tireotoxicoza .
Scintigrama tiroidiana = captare neomogena ,cu zone hipercaptante (noduli autonomi ) si zone hipocaptante.
Nivelurile serice de T4 si T3 sunt crescute ,iar secretia de TSH este supresata <0,1mUI/ L .
Tiroida este stimulata continuu -hipertrofia glandei si supraproductia hormonala.
Din punct de vedere chirugical prezinta 3 repere importante
- pediculii vasculari (superior ,mijlociu si inferior )
- glandele paratiroide
- nervul laringeu inferior .
Ultimele 2 trebuiesc protejate in interventiile chirurgicale de rezectie a parenchimului tirodian,leziunea lor conducand la manifestari patologice uneori de gravitate semnificativa :-crize hipocalcemice
-pareza sau paralizia corzilor vocale.
Pregatirea preoperatorie - este obligatorie si consta in:
-tratament cu antitiroidiene de sinteza care duc la ameliorarea semnelor si simptomelor in 3-4 saptamani , pana se ajunge la starea de eutiroidie .
-blocante beta adrenergice
-sedative si hipnotice .
- reechilibrare hidro -electrolitica ,tratament energic al infectiilor asociate etc.
-cu 2 saptamani inainte se administreaza solutie Lugol 5-10 picaturi x3/zi.
Un tub de drenaj ramane atasat la locul operatie pentru a elimina lichidul care se acumuleaza in rana pentru cateva zile .Majoritatea celor operati de tiroida pleaca din spital in 2-3 zile .Dupa operatie se incepe tratamentul de substitutie pentru a inlocui hormonii tiroidieni.
Prezentare de caz:
Motivele prezentarii - palpitatii de efort si repaus
-tremor al extremitatilor
-astenie musculara marcata
Antecente personale patologice: - hipertensiune arteriala debut 2005, tratata
cu IEC si betablocant.
Antecedente fiziologice: climax fiziologic la 46 ani.
Antecedente heredocolaterale: frate- gusa polinodulara, fara tratament
ambii parinti- hipertensiune arteriala, AVC
Conditii de viata: pacienta nefumatoare, urmeaza tratament cronic pentru hipertensiune arteriala.
Examen obiectiv
- normoponderala (BMI=20kg/m2)
- stare generala buna
- tegumente fine, calde, transpirate, cu tremor al extremitatilor prezent
- fara adenopatii superficiale palpabile
- sistem muscular: acuza astenie musculara, obiectiv sistem muscular normoton, usor hipotrofic
- sistem osteoarticular fara fracturi patologice
- echilibrata pulmonar, fara raluri de staza
- AV=108/min regulat (sub 50mg/zi metoprolol), TA=150/90mmHg, fara dispnee la eforturi uzuale, fara turgescenta jugulara, fara edeme gambiere
- abdomen mobil, suplu, tranzit prezent habitual
- mictiuni fiziologice, Giordano negativ bilateral
Tiroida : gusa mare, dura, neomogena prin prezenta de numerosi macronoduli bilateral, mobila cu deglutitia, nedureroasa, fara sufluri prezente si fara adenopatie laterocervicala bilateral.
Paraclinic uzual:
- hemograma in limite normale, fara sindrom inflamator
- hiperglicemie a jeun (glicemie=108mg/dl), fosfataza alcalina crescuta si colesterol la limita inferioara a normalului interpretate in contextul de hipertiroidie.
Paraclinic hormonal:
TSH <0,03uUI/ml, T3>20ug/dl, T4=14,5ng/dl, ATPO- negativ.
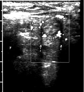
Ecografie tiroidiana : LD 6,1/3/2,6 cm, ecostructura hipoecogena, intens neomogena prin prezenta in 1/3 superioara a unui nodul de 2,1/1,8cm, hipoecogen, intens vascularizat si 1/3 inferioara a unui alt nodul de 1,3/1 cm, hipoecogen, vascularizat; restul lobului cu vascularizatie usor redusa.
Istm 0,4cm
LS 4,9/2/1,8 cm, hipoecogen, neomogen prin prezenta in 1/3 medie a 3 noduli hipoecogeni infracentimetrici, vascularizati si in 1/3 inferioara a unui nodul de 0,9/1,2 cm, hipoecogen, intens vascularizat ; restul lobului cu vascularizatie normala.
Fara adenopatii laterocervicale vizibile ecografic.


Scintigrafie tiroidiana : - RIC la 2h si 24h mult crescuta
- aspect scintigrafic de gusa mare, cu captare neomogena prin prezenta de zone hiper si respectiv hipocaptante.

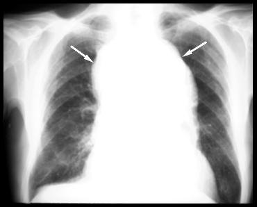
Tranzit esofagian : - deviere importanta la stanga a traheei si esofagului cervical.
Radiografie pulmonara : - masa mediastinala superioara, posibil gusa mare cu extensie retrosternala
- fara leziuni evolutive pleuro-pulmonare

ECG : RS 102/min, fara modificare de faza terminala.
Ex. oftalmologic : - FO cu angioscleroza retiniana gr. II
DEXA lombara : BMD=0,732g/cm2, scor T=- 3,4DS, scor Z=-2,9DS
Diagnostice : 1. Gusa polinodulara hipertiroidizata cu indicatie chirurgicala.
2. Osteoporoza mixta postmenopauza si secundara hipertiroidiei.
3. Hipertensiune arteriala gr. II grup de risc mediu.
Tratament recomandat la aceea data
-regim hiposodat, cu evitarea excitantilor alimentari : coca-cola, cafea, ceai verde, ceai negru.
-tratament cu Thyrozol 40mg/zi deata cu 30 min inainte de masa si administrarea oricarui alt medicament, cu reevaluarea hemogramei si TSH, T3 peste o luna
Metoprolol 100mg/zi
Fenobarbital 1cp seara la nevoie
Enalapril 20mg/zi
-reevaluare lunara pana la echilibrare tiroidiana si apoi se recomanda cura chirurgicala a gusii polinodulare hipertiroidizate; preoperator se recomanda 2 saptamani administrare de solutie Lugol 5picx3/zi.
Evolutie pana in prezent
- pacienta a fost tratata cu thyrozol in doze descrescatoare sub controlul TSH si fT4; in luna octombrie 2008 pacienta a devenit eutiroidiana (TSH=2,4uUI/ml, fT4=16pmol/ml) si a fost programata pentru tiroidectomie totala
- cu 2 saptamani inainte de interventia chirurgicala s-a inceput administrarea de Lugol 5picx3/zi si cu o saptamana preoperator s-a intrerupt tratamentul cu thyrozol
- 12 noiembrie 2008 s-a practicat tiroidectomie totala cu protejarea intraoperatorie a glandelor paratiroide si nervului laringeu recurent (pacienta nu a prezentata postoperator cele doua posibile complicatii ale tiroidectomiei, cu risc crescut mai ales in gusa mare: hipocalcemie respectiv disfonie).

- postoperator pacienta a primit doze substitutive de levothyroxina (100ug/zi) urmand a se realiza evaluarea dozei dupa minim 6 saptamani de tratament prin dozare TSH
- la 6 luni postoperator se va efectua si ecografie tiroidiana de control pentru evidentierea unor posibile resturi tiroidiene
- pacienta va urma toata viata terapie substitutiva cu levothyroxina in doze medii cuprinse intra 100 si 125ug/zi si va evalua tratamentul prin dozare bianuala de TSH.
|
Politica de confidentialitate | Termeni si conditii de utilizare |
Vizualizari: 3482
Importanta: ![]()
Termeni si conditii de utilizare | Contact
© SCRIGROUP 2025 . All rights reserved