Scrigroup - Documente si articole

     

HomeDocumenteUploadResurseAlte limbi doc
Alimentatie nutritieAsistenta socialaCosmetica frumuseteLogopedieRetete culinareSport

PANENCEFALITA SCLEROZANTA SUBACUTA LA COPIL

sanatate



+ Font mai mare | - Font mai mic



MEDICINA GENERALA



PANENCEFALITA SCLEROZANTA SUBACUTA LA COPIL

"Dar va rog pe voi cei atotsfinti, toti care veti

citi aceasta scriere sa nu socotiti cele spuse de mine

drept norma"(Sf. Maxim Marturisitorul)

Indreptandu-ne privirea asupra patologiei neurologice a copilului, atentia noastra a fost retinuta de tabloul aparte si de evolutia trista a afectiunii cunoscute sub denumirea de "panencefalita sclerozanta subacuta", cel mai adesea amintita cu acronimul "PESS".

Particularitatile interesante ale bolii tin de modalitatile diferite prin care aceasta poate debuta si evolua, avand adesea manifestari clinice care pot incadra afectiunea in alte sfere medicale decat neuropediatria. In acest sens aducem in discutie faptul ca au fost raportate cazuri in care pacientii au primit initial asistenta in serviciile de psihiatrie, datorita aparitiei unor tulburari de comportament sau de afectivitate care au indus medicii in eroare, orientandu-i spre alte deficiente, ridicand insa in final problema mentinerii unui grad de alerta si de suspiciune in conditii similare pentru patologii mult mai grave, cu substrat organic.

Tabloul clinic captiveaza atentia medicului prin elementele relativ caracteristice si constante, adesea grave (prin punerea in pericol a vietii), care se completeaza cu anumite variatii individuale. Cronologia particulara a instalarii si progresiunii manifestarilor clinice pentru copiii cu diferite forme de boala contribuie deasemenea la creionarea acestei afectiuni speciale din patologia neuropediatrica.

Studiind etiopatogenia si patologia afectiunii in vederea intelegerii si a unei abordari cat mai eficiente din punct de vedere al diagnosticului, tratamentului si ingrijiilor de care trebuie sa beneficieze copiii cu aceasta problema, s-a observat o serie de dificultati in clarificarea anumitor aspecte, care tin si de progresele cercetarii stiintifice intreprinse pana la momentul actual in aceasta patologie. Astfel, mai important decat faptul ca etiologia, mecanismele etiopatogenice si influentele factorilor de risc asupra dezvoltarii bolii nu sunt complet descifrate, este faptul ca pana in prezent nu a fost identificat inca un tratament care sa impiedice evolutia acestei afectiuni catre decesul inexorabil si inerent.

Ceea ce se cunoaste insa este faptul ca PESS apare ca urmare a evolutiei complicate a unei infectii cu virusul rujeolic, implicat in mod direct in patologie. Faptul are o semnificatie majora, intrucat reprezinta un punct cheie in prevenirea aparitiei acestei boli neurodegenerative cu manifestari si final dramatice. Adresandu-ne profilaxiei infectiei rujeolice, supraveghindu-i in mod special pe copii, carora, se pare, afectiunea le este caracteristica, prevenim aparitia acestei complicatii neurologice deosebit de grave a unei boli eruptive comune primei perioade din viata.

La prima vedere solutia pentru a impiedica imbolnavirea copiilor cu aceasta afectiune fatala pare clara si simpla, ea constand de fapt din prevenirea dobandirii infectiei rujeolice prin vaccinarea eficienta si in timp optim inainte de o eventuala expunere fata de persoane contagioase, pentru a putea dobandi activ imunitate si protectie atat impotriva bolii eruptive a copilariei, cat si a complicatiilor sale, precoce si tardive.

Analizand insa rezultatele si modul de implementare si desfasurare al programelor de vaccinare la nivel national, remarcam ca si in Romania exista inca dificultati in aplicarea strategiei globale a Organizatiei Mondiale a Sanatatii si a partenerilor sai pentru prevenirea si eradicarea anumitor boli care afecteaza categorii speciale de populatie - respectiv copiii.

In cele ce urmeaza incercam sa va prezentam intr-o maniera cat mai cuprinzatoare aspectele care fac posibila ințelegerea panencefalitei sclerozante subacute la copil, urmarind sublinierea unor caracteristici și idei pe care ar trebui sa le cunoasca inclusiv medicii din alte specialitați decat cea de neuropediatrie.

I. DEFINITIE

Panencefalita sclerozanta subacuta (PESS) este o boala rara, cronica, degenerativa a sistemului nervos central, care apare ca o complicatie tardiva a infectiei cu virusul rujeolei. Boala poate prezenta un tablou clinic foarte variat de la un individ la altul, evoluand cu tulburari de personalitate, cu pierderea progresiva a functiilor cerebrale, cu miocloniile specifice, paralizie, coma si exitus.

II. SCURT ISTORIC AL BOLII

PESS a fost probabil descrisa pentru prima data ca entitate clinica in 1926 de catre neurolologul si psihiatrul Paul Ferdinand SCHILDER sub numele de "encefalita periaxiala difuza". In 1933 DAWSON JR Jr. descrie cazul unui copil cu deteriorare mentala progresiva si cu miscari involuntare, la a carui biopsie s-a evidentiat afectarea predominanta a substantei cenusii, in care s-au observat numeroase incluzii neuronale. Pornind de la acest fapt, el propune numele de "encefalita subacuta cu incluzii neuronale". Mai tarziu PETTE si DORING (1939) au semnalat un caz de "panencefalita nodulara", dupa cum au denumit-o ei insisi, caracterizata prin prezenta de leziuni in proportii egale atat in substanta cenusie cat si in cea alba. Sase ani mai tarziu, VAN BOGAERT atrage atentia asupra fenomenului de demielinizare si de proliferare gliala la nivelul substantei albe nervoase, propunand numele de "leucoencefalita subacuta sclerozantaa". Desi etiologia virala a bolii a fost sugerata inca de catre Dawson, aceasta a putut fi sustinuta abia in 1965, cand BOUTEILLE si colab. au evidentiat cu ajutorul microscopului electronic structuri virale izolate din creier asemanatoare virusului rujeolic. In 1968 ideea corelarii dintre PESS si un virus similar celui rujeolic a fost argumentata deasemenea si cu ajutorul unor studii pe baza de anticorpi, realizate de catre ZEMAN si KOLAR. Certitudinea ca in creierul pacientilor cu PESS se afla virusul rujeolic a venit odata cu incheierea aproape simultana a unor rapoarte de catre HORTA-BARBOSA si colab., CHEN si colab.,si PAYNE si colab.(1969). Intelegerea mecanismului etiopatogenic a inceput insa odata cu descoperirea rolului proteinei M din structura virusului, in urma cercetarilor efectuate de catre CHOPPIN (1981), HALL si colab., WECHSLER si MEISSNER (1982).

Pana astazi s-au facut nenumarate cercetari care au contribuit la intelegerea mai buna a mecanismelor de functionare a acestei afectiuni letale, scopul lor fiind si determinarea unor metode de tratament care sa imbunatateasca prognosticul, evolutia si starea de sanatate a celor afectati.

III. DATE EPIDEMIOLOGICE

Un rol deosebit de important in progresul intelegerii acestei boli l-au avut investigatiile si rapoartele epidemiologice intreprinse in intreaga lume, care au furnizat bazele de date si informatiile de prima linie in vederea obtinerii unor concluzii semnificative. Prin organizarea de programe nationale de supraveghere a cazurilor de PESS, a campaniilor de vaccinare obligatorie contra rujeolei, a cazurilor nou-aparute de rujeola si prin inregistrarea, analizarea si interpretarea acestor date a fost posibila monitorizarea evolutiei afectiunii, in functie de modificarile unor indicatori specifici si nespecifici (cum ar fi incidenta si prevalenta bolii in populatia generala). Epidemiologia a facut posibila calcularea si stabilirea obiectiva a Totodata se poate stabili obiectiv, matematic existenta unei relatii de cauzalitate reale intre o serie de factori considerati de risc (sau cauzali) si afectiunea in sine.

Supravegherea epidemiologica intreprinsa la nivel national in diferite parti ale lumii inainte si dupa introducerea programelor nationale obligatorii de vaccinare impotriva virusului rujeolic a obiectivat rolul primordial al acestei actiuni in vederea prevenirii si combaterii aparitiei PESS.

III.1. Incidenta si prevalenta PESS

Multumita existentei acestor anchete epidemiologice, indiferent de metodele de lucru si de supraveghere abordate de la tara la tara, este posibila cunoasterea relativa a distributiei PESS la nivel mondial. Datele furnizate demonstreaza ca afectiunea este inegal raspandita de la o tara la alta pe tot Globul, frecventa ei fiind foarte redusa in Vest, unde este considerata o boala rara, dar mult crescuta in Est si mai ales in Orient. Tabelul 1 ofera date despre incidentele raportate de o serie de tari, fara ca perioadele de supraveghere sau metodele de studiu sa fi fost identice. Informatiile sunt culese de catre Campbell si colab., la unele sectiuni datele lipsind intrucat au fost indisponibile.

Tabelul 1.

Studii epidemiologice ale PESS

Tara si intervalul de timp studiate

Metoda de studiu

Incidenta si starea de imunizare a populatiei

Nr. de cazuri de PESS raportat la nr. de cazuri de rujeola din populatia generala, in intervalul de timp studiat (Nr. cazuri PESS / 1 milion cazuri rujeola)


Statul California, SUA, 1998-2003 [41]

Supraveghere pasiva.

5 cazuri in 5,5 ani. Imunizare activa.

4 cazuri corelate cu 2 ani de epidemie de pojar, cu 16,400 cazuri de pojar in California (243 cazuri / million)

Bulgaria 1978-2002 [42],[43]

Spitalul Universitar.

40 de cazuri in peste 25 de ani. Fara alti indicatori de populatie. Imunizare activa.

Date indisponibile.

Sudul Chinei 1988-2002 [44]

Supravegherea medicilor si datele obtinute in urma cautarii pe baza de diagnostic in registrele spitalelor.

5,5 / million de copii. Imunizare activa.

Cel putin 6 cazuri legate de o epidemie cu 4140 cazuri de rujeola intr-un an.

(1449 cazuri / million)

Anglia si Tara Galilor 1990-2002 [45]

Supraveghere pasiva.

47 cazuri (copii si adulti). Fara alti indicatori de populatie. Imunizare activa.

1 caz la 25.000 cazuri de rujeola. 1 caz la 5.500 cazuri rujeola in primul an. (40-200 cazuri / million)

Japonia 1977-1999 [46]

Date neclare.

0.58 / million populatie.

Date indisponibile.

Papua Noua Guinee 1997-1999 [47]

Date culese dintr-un singur spital.

98/million copii. Imunizare activa, dar insuficienta (nu acopera populatia).

Date indisponibile.

Australia 1995-1998 [48]

Supraveghere activa.

0.02/100.000 copii pe an

Date indisponibile.

Brazilia 1990-1996 [49]

Supraveghere a copiilor cu o rata de raspuns din partea neurologilor de 84%.

48 cazuri in peste 7 ani.

Date indisponibile.

SUA 1980 [1]

Supraveghere pasiva.

0.06/milion populatie in mai putin de 20 de ani.

8.5 cazuri/million cazuri rujeola in intervalul 1960-1974.

Campbell si colab. BMC Pediatrics 2005 5:47   doi:10.1186/1471-2431-5-47

Astfel, incidenta reala a PESS este de aproximativ 4 - 11 cazuri la 100 000 de cazuri de rujeola, insa posibilitatea de a face boala creste in masura in care infectia se produce mai devreme in cursul vietii ( incidenta fiind de 18 cazuri la 100 000 de cazuri de rujeola), fiind mentionat chiar un risc de 27.9 cazuri de PESS la 100 000 de cazuri de rujeola. In multe tari cu un control eficient al rujeolei s-a constatat o crestere a varstei de debut a PESS, faptul fiind corelat cu aparitia infectiei in context de epidemie.

Cu toate ca existenta sa a fost semnalata din toate partile lumii, in Occident boala este considerata o afectiune rara, in SUA fiiind raportate mai putin de 10 cazuri anual. Frecventa PESS in SUA intre anii 1960 si 1970 a fost de aproximativ un caz la un million de copii, incidenta scazand substantial dupa introducerea unui vaccin antirujeolic eficient. Saha si colaboratorii au semnalat o incidenta anuala de 21 de cazuri la un milion de personae in India, comparative cu 2,4 cazuri raportat la un million de indivizi in Orientul Mijlociu.

III.2. Mortalitatea prin PESS

Procentele de mortalitate prin PESS variaza de la an la an. Ele depind in mod direct de evolutia particulara a bolii de la individ la individ, care poate fi rapid / lent progresiva, valorile fiind imprevizibile. Prevalenta bolii in populatie precum si rapiditatea cu care evolueaza pentru fiecare pacient in parte influenteaza valoarea mortalitatii.

III.3. Factori de risc

Investigatiile epidemiologice au evidentiat inca de la inceputul inregistrarii cazurilor de PESS o serie de factori de risc pentru dezvoltarea infectiei cronice.

De departe cel mai important factor de risc il constituie dobandirea infectiei rujeolice la o varsta frageda. Cu cat varsta de contactare a virusului este mai redusa, cu atat riscul cronicizarii infectiei se mareste. Cand infectia apare sub varsta de 2 ani poate fi tras un semnal de alarma cu privire la posibilitatea dezvoltarii dupa un interval variabil de timp a unei deteriorari progresive a SNC, care caracterizeaza PESS. Aparitia infectiei rujeolice depinde insa de statusul vaccinal al indivizilor: vaccinul antirujeolic protejeaza impotriva bolii extreme de contagioase. Statisticile arata ca mai mult de 90% din populatia non-vaccinata care vine in contact cu virusul se imbolnaveste. Cu alte cuvinte nevaccinarea devine ea insasi factor de risc pentru infectia rujeolica si deci pentru PESS.

Rapoartele efectuate in intraga lume au aratat ca sexul reprezinta un factor de risc pentru PESS. S-a observat faptul ca boala se intalneste mai frecvent la baieti decat la fetite, raportul variind de la 1,8-3 : 1 in favoarea baietilor, variind foarte putin de la un studiu la altul.

Inca de la inceputul supravegherii epidemiologice a bolii s-a constatat ca incidenta PESS nu este influentata doar de varsta de contactare a pojarului si de sexul individului, ambele aspecte conditionand raspunsul imun al gazdei. Asocierile epidemiologice au evidentiat ca aparitia bolii mai este corelata cu o serie de factori de risc aditionali, cum ar fi: un nivel socio-economic precar, provenienta din familii numeroase, habitarea in locuinte foarte aglomerate,varsta mare a mamei la nastere, rangul mare al nasterilor, nivel scazut de educare al parintilor (studii putine), activitati culturale sarace, dar nu in ultimul rand provenienta din mediul rural (copiii nascuti in mediul rural). Interpretarea corelatiei pozitive este aceea ca toti acesti factori ar creste riscul dobandirii infectiei rujeolice la o varsta mica in copilarie, aspect considerat ca fiind cel mai important in determinismul afectiunii.

Boala a fost raportata la toate grupurile etnice. Se intalneste pe toate continentele, la populatia alba, neagra, hispanica, la indienii din America, dar si la cei din Asia, in Africa, la evrei, la japonezi si chinezi si chiar la filipinezi. In Israel de exemplu se raporteaza o frecventa mai mare a PESS printre evreii sefarzi si arabi decat printre cei askenazi. Distributia se explica prin predominanta crescuta a factorilor de risc in populatiile respective.

Prevalenta mult crescuta a bolii in tarile in curs de dezvoltare sau slab dezvoltate comparativ cu cele mult evaluate din punct de vedere socio-economic si cultural, unde PESS este considerata din randul afectiunilor rare, este usor de inteles gandind valorile statistice tot in raport cu frecventa factorilor de risc in aceste comunitati.

S-a observat ca pacientii cu PESS provin din familii numeroase care locuiesc in case aglomerate, acest lucru favorizand imbolnavirea copiilor foarte mici. Intrucat si in mediul aglomerat urban infectia rujeolica se transmite in special tot la varste mici, incidenta mai mare a PESS la copiii din mediul rural se explica prin cumularea factorilor de risc aditionali de mai sus.

In literatura au mai fost luata in discutie expunerea pacientilor catre animale bolnave, spre exemplu caini si pasari, observata mai frecvent la pacientii cu PESS comparativ cu cazurile-control. Desi expunerea la pasari bolnave in special ar putea sustine ipotezele patogenice mai ales in cazurile provenind din mediul rural, o relatie de cauzalitate intre aspectele de mai sus si boala nu a fost confirmata statistic. Acelasi lucru este valabil si pentru ipoteza ca o serie de evenimente suferite de pacientii cu PESS inainte de instalarea bolii, cum ar fi unele contuzii cerebrale sau alte afectari ale SNC, ar fi implicate in etiopatogenia afectiunii. Analizele statistice infirma faptul ca aceste aspecte constituie factori de risc pentru dezvoltarea PESS. Injurii cum ar fi meningitele sau encefalitele pot eventual sa duca la aparitia a mici focare hemoragice sau de inflamatie care ar putea favoriza insamantarea SNC cu un virus de catre leucocitele circulante sau sa precipite diseminarea unui agent patogen deja situat la nivelul SNC.

In 2001 Banu Anlar raporta scaderea vastei de debut a bolii (de la 13 ani inainte de 1994 la 7.6 dupa 1995), a varstei medii la care s-a dobandita infectia rujeolica (de la 29 de luni la 20 de luni) precum si a intervalului de latenta pana la manifestarea simptomelor de cronicizare (de la 9.9 la 5.9 ani). Cercetatoarea nu considera ca modificarea varstei medii de debut a rujeolei sau starea vaccinarii individului ar fi determinante pentru scaderea intervalului de latenta, subliniind necesitatea investigarii suplimentare a factorilor care influenteaza aceasta evolutie.

Un risc crescut de a face PESS este asociat cu pacientii cu un status de imunodepresie, care sunt expusi virusului rujeolic si care nu sunt nici protejati impotriva infectiei prin vaccine. Din aceasta categorie fac parte si copiii afectati de virusul imunodeficientei umane (HIV), pentru care PESS ramane inca o problema de supravegheat.

Analizand 9 cazuri de PESS aparute la o varsta sub intervalul obisnuit de debut al bolii, respectiv toate cazurile au mai putin de 4 ani (raportat la intervalul 5-15 ani de frecventa), o echipa de specialisti turci a constatat ca 6 dintre pacienti au avut o evolutie rapid-progresiva a bolii, in conditiile in care formele fulminante de boala sunt raportate mai rar de catre specialisti. Desi numarul de cazuri de boala este insuficient pentru a desprinde niste concluzii valabile din punct de vedere statistic, se atrage totusi atentia asupra ideii ca pacientii cu un debut al bolii la varste foarte mici au un prognostic foarte rezervat, in ciuda tratamentului medicamentos.

A fost semnalat un risc important de boala atunci cand infectia rujeolica este dobandita in viata intrauterina. Rujeola dobandita in timpul sarcinii poate fi fatala pentru nou-nascut. Cazul raportat a avut o evolutie fulminanta spre deces in primul an de viata, infectia avand o perioada de incubatie scurta. Se subliniaza astfel importanta supravegherii gravidei inclusive pentru bolile contagioase ale copilariei.

A mai fost oferita o ipoteza alternativa cu privire la factorii de risc implicati in patogeneza PESS. Aceasta se refera la masura in care se realizeaza expunerea fata de sursele de infectie si la marimea rezervorului viral in raport cu grupele de varsta si sex. Astfel, se poate aprecia, plecand de aici, ca fetitele sunt mult mai probabil expuse infectiei in afara casei asa cum copiii mici sunt mult mai expusi infectiei acasa, in interiorul locuintelor familiale. Aceste idei sunt in accord cu faptul ca toate studiile au constatat ca fetele cu PESS contacteaza rujeola la varste mai mici decat baietii. Rapoarte din literatura epidemiologica sugereaza faptul ca unele trasaturi caracteristice ale PESS ar rezulta nu din raspusul gazdei in sine la agentul patogen, ci din modalitatea de expunere la infectie.

Au mai fost considerate factori de risc pentru PESS evenimente care pot modifica evolutia infectiei acute rujeolice, precum relatia care se creeaza intre virusul rujeolic si agentul patogen al altei infectii, simultane sau apropiate ca timp de desfasurare, ca de exemplu infectia cu virusul Epstein-Barr sau cea cu virusul Parainfluenza tip 1.

IV. RUJEOLA LA NIVEL MONDIAL SI NATIONAL

Rujeola este o afectiune virala extrem de contagioasa, avand ca unic rezervor al agentului patogen omul bolnav, cu forme tipice sau atipice de boala, transmiterea sa facandu-se pe cale aerogena, prin contactul persoanelor susceptibile cu picaturile de secretii respiratorii ale persoanelor infectate. Contagiozitatea sa atinge 95% din populatia generala susceptibila, imunitatea fiind dobandita dupa boala sau consecutiv vaccinarii. Sugarii sunt protejati de anticorpii materni pana la varsta de 6 - 9 luni, in prezent rujeola fiind raportata,in Romania, la copiii prescolari, prea mici pentru a fi vaccinati, si la copiii de varsta scolara, dintre care jumatate au antecedente vaccinale, infectia explicandu-se prin esecul vaccinarii primare. Adultii neimunizati pot face boala daca vin in contact cu o persoana infectata.

Boala este manifesta in 90% din cazuri, cunoscand o evolutie tipica, dar poate cunoaste si o forma clinica modificata, usoara, care apare la persoanele partial imunizate, si care, spre deosebire de forma obisnuita "zgomotoasa", poate trece neobservata si nediagnosticata. Imunizarea partiala poate fi determinata fie de prezenta de anticorpi materni transferati transplacentar (la sugarul sub varsta de 9 luni), prin administrarea de imunoglobuline serice unei persoane susceptibile expuse la rujeola sau prin imunizarea anterioara partiala dupa vaccinarea cu vaccin viu.

Perioada de incubatie a rujeolei este de 10 - 12 zile, sindromul sau clinic fiind caracterizat prin rush cutanat, febra prodromala, conjunctivita, coriza, tuse, prin prezenta patognomonica a semnului Koplik la nivelul cavitatii bucale.

In tarile in curs de dezvoltare, pana la 75% din cazurile infectate pot suferi complicatii, dintre care cele mai frecvente sunt pneumonia, diareea, otita medie, laringotraheobronsita (crupul) sau encefalita.

Pneumonia, diareea si crupul reprezinta cele trei cauze majore de deces provocat de rujeola.

Rujeola poate sa produca in plus dizabilitati cu efect pe intreaga viata, printre acestea numarandu-se cecitatea, deteriorare sistemului nervos central si surditate.

Nivelul scazut al vitaminei A este asociat cu o rata crescuta a complicatiilor si a mortii prin rujeola.

Inainte de raspandirea larga a accesului la vaccin, practic toti copiii se imbolnaveau de rujeola si sapte pana la opt milioane de copii mureau in fiecare an in intreaga lume.

Rujeola a produs in intreaga lume in anul 2003 peste 30 de milioane de cazuri de boala si 530 000 de decese. In ciuda existentei vaccinului antirujeolic de mai bine de 40 de ani, rapoartele semnaleaza peste 29 000 de cazuri de rujeola in anul 2004 in Regiunea europeana de activare a OMS (the WHO European Region). OMS apreciaza ca tot aici aproximativ 4850 de cazuri de decese au fost datorate rujeolei in anul 2003. Eforturile de a reduce raspandirea virusului au fost cele care au generat crearea Initiativelor de eliminare a rujeolei. Patru dintre regiunile OMS, printre care si Regiunea europeana, si-au stabilit drept prioritate eradicarea/eliminarea rujeolei. In anul 2002, Organizatia de Sanatate Pan America a declarat ca in Regiunea americana a OMS a fost eradicat virusul rujeolic. Cu toate acestea, cazuri de rujeola inca se mai intalnesc in aceste teritorii, fiind importate din alte zone ale lumii: 37% din cazurile de rujeola importate de SUA in perioada 1993 - 2001 si 21% din cazurile inregistrate in Canada 1999 - 2001 provin din Regiunea europeana. Deasemenea, 50% dintre cazurile de rujeola importate in tarile din Uniunea Europeana provin tot din tari ale Uniunii, aceste fapte evidentiind necesitatea unei strategii bine coordonate de control a rujeolei in interiorul Regiunii europene.

Pana in anul 2005 in Regiunea Africii se aproximeaza ca au murit anual aproximativ 250 000 de persoane, rujeola reprezentand aici una dintre primele 10 cauze de mortalitate infantila. In ciuda progreselor remarcabile obtinute in ceea ce priveste controlul rujeolei in aceste teritorii, factori precum aglomeratia, expunerea la varste foarte fragede la virus si malnutritia determina mentinerea ridicata a ratelor de fatalitate a rujeolei (3 - 10%), in timpul epidemiilor acestea atingand chiar un nivel de 30%.

V. PATOGENEZA BOLII

Boala endemo-epidemica, rujeola este determinata de un virus cu ARN apartinand genului Morbillivirus, din familia Paramyxoviridae. Cu toate ca intre infectia acuta cu virusul morbiliform si debutul primelor simptome ale PESS se interpune un interval de timp considerabil, cercetarile demonstreaza ca infectia creierului se petrece curand dupa dezvoltarea rujeolei, care este insotita de fenomenul de diseminare a agentului patogen la nivelul sistemului nervos central(18). Se considera ca virusul reuseste sa patrunda in sistemul nervos central prin infectarea celulelor endoteliale cerebrale, probabil in timpul manifestarii exantemului ce insoteste rujeola, cand un mare numar de celule endoteliale este infectat(19). O alta ipoteza posibila asupra modului in care virusul abordeaza sistemul nervos priveste celulele inflamatorii circulante(20).

Pleomorfismul caracterizeaza componentele virale, acestea fiind structuri sferice avand un diametru cuprins intre 100 si 250 de nm si constand din sase proteine. Capsida centrala este alcatuita dintr-un helix de ARN si din trei proteine ce constituie nucleocapsida virionului. Anvelopa externa virala este alcatuita dintr-o matrice proteica, etaland proiectii telomerice constand din doua tipuri diferite de glicoproteine scurte de suprafata. Unul dintre tipurile de proiectie este reprezentat de o glicoproteina mai mare, numita H, avand proprietati hemaglutinante. Celalalt tip de proiectii este reprezentat de o glicoproteina numita F si care indeplineste functia de factor de fuziune, mijlocind pe de o parte procesul de internalizare prin fuziune, iar pe de alta parte un efect citopatic de tip sincitizant. Proteinele M din structura matricei situate in interiorul membranei anvelopei virale au capacitatea de a interactiona cu domeniile intracitoplasmatice ale glicoproteinelor H si F. S-a remarcat un fenomen deosebit cu privire la modul de transmitere a infectiei virale in interiorul organismului: la nivelul celulelor non-neuronale virusul rujeolic isi poate exercita efectul citopatic atat din exteriorul celulei (virusul extracelular), cat si din interiorul clulelor infectate (virusul situat intracelular) prin efectul de fuziune caracteristic, producand formarea de sincitii multinucleare. Pe de alta parte, din creierul pacientilor cu PESS s-a pus in evidenta o cantitate foarte redusa de virus extracelular, acest lucru fiind posibil doar in conditiile in care tesutului nervos in cultura i se adaugau fibroblasti (21). Faptul ca in serul si in lichidul cefalorahidian al pacientilor cu PESS au putut fi puse in evidenta titruri foarte ridicate de anticorpi neutralizanti a condus la idea ca virusul extracelular nu este cel care determina diseminarea de la nivelul sistemului nervos central (22). Cercetarile recente au sugerat ca ar fi vorba despre o transmitere trans-sinaptica a virusului (23).

Proteinele transmembranare de tip H mediaza atasarea virusului la celule, prin legarea de catre proteina celulara de suprafata CD46 (care functioneaza ca un receptor pentru virusul rujeolic, dar care este de fapt o proteina reglatoare a complementului cu multiple izoforme, prezenta pe suprafata neuronilor), si reprezinta deasemenea un cofactor esential in procesul de fuziune (32).

Investigand tropismul celular al virusului rujeolic, o echipa de cercetatori a analizat trei tulpini virale extrase din creierele apartinand unor pacienti cu PESS. Observand capacitatea acestora de a infecta diferite linii celulare precum si pe aceea de a forma sincitii, ei au tras concluzia ca factorii determinanti pentru tropismul virusului rujeolic (mai ales pentru tulpinile salbatice) sunt reprezentati de catre molecule neidentificate inca avand rol de receptor viral, situate in mod specific pe fiecare tip de celula in parte. Ei subliniaza necesitatea investigarii suplimentare in ideea descoperirii altor molecule virale/ celulare care ar putea fi implicate in replicarea virusului PESS in celulele nervoase si creier.

S-a observat ca virusul izolat din diferite creiere ale pacientilor cu PESS poate interfera cu replicarea unei tulpini salbatice de virus rujeolic si poate deasemenea sa provina din niste clone apatinand acestui ultim tip viral (18,24).

Au fost descries numeroase modificari ale structurii proteinei M in PESS, considerandu-se ca sunt consecinta unor mutatii punctiforme la nivelul genomului viral, posibil raspunzatoare si pentru persistenta infectiei (25,30).

In incercarea de a explica mecanismul persistentei infectiei in organism, s-a sugerat si ideea ca modificari ale structurii glicoproteinelor membranare H si F pot fi raspunzatoare de aceasta, fara ca proteina matriceala M sa mai sufere schimbari semnificative (33,34). Studiile moleculare de genetica au evidentiat ca in infectiile persistente din PESS fenomenul de selectie pozitiva este de departe cel care predomina la nivelul genelor care codifica glicoproteinele de suprafata F si G, fata de infectiile acute rujeolice, unde rata mutatiilor este incomparabil mai mica. Mutatiile au loc la nivelul regiunilor genice cu rol important structural, functional si antigenic pentru proteinele de suprafata, unde efectul de "cell passaging" nu poate explica modificarile genetice. Selectia pozitiva nu a fost observata in randul genelor codificand glicoproteina matriceala M din infectiile acute rujeolice.

Desi caracterul persistent al infectiei este pus in legatura cu defectele structurale ale celor trei proteine (35), factorii si influentele care determina acest lucru nu sunt cunoscute inca exact. Sunt insa intricate si cateva mecanisme imunologice in acest fenomen. Spre exemplu s-a constatat ca in culturile nervoase, legarea anticorpilor la nivelul virusului rujeolos poate modifica expresia genomului viral (36). Aceasta observatie poate explica de ce aparitia infectiei la o varsta foarte frageda, atunci cand in sangele copilului sunt inca prezenti anticorpii materni, creste considerabil riscul de aparitie a PESS (35).

Cercetarile demonstreaza deasemenea ca infectia persistenta cu virusul rujeolos poate fi prezenta in intregul organism al pacientilor cu PESS (37).

A fost analizata relatia dintre concentratiile serice ale metaloproteinazei matriceale-9 (MPM-9) si ale inhibitorului tisular al metaloproteinazei-1 (ITMP-1) in scopul investigarii functionarii barierei hematoencefalice (BHE) in PESS. Utilizandu-se tehnicile ELISA, au fost evidentiate niveluri semnificativ superioare ale MPM-9 si ale raportului MPM-9/ITMP-1 in seruruile pacientilor aflati in stadiul III Jabbour de boala comparativ cu cei din stadiul II, valorile ITMP-1 fiind similare cu cele ale cazurilor-control. Datele obtinute sugereaza faptul ca nivelurile ridicate de MPM-9 si ale raportului MPM-9/ITMP-1 din ser faciliteaza invazia cerebrala prin penetrarea BHE de catre celulele imunocompetente sangvine. In concluzie, echilibrul seric dintre nivelurile MPM-9 si ITMP-1 moduleaza cascada inflamatiei din PESS.

Studiile recente au sugerat ca apoptoza anumitor tipuri de celule poate avea un rol in neuropatogeneza infectiei rujeoloase la nivelul sistemului nervos central uman, fie printr-un efect direct al infectiei virale fie prin raspunsul mediat de citokinele inflamatorii, rezultatul acestor procese fiind moartea oligodendrocitelor si a neuronilor (38, 39).

VI. ANATOMIE PATOLOGICA

Biopsiile realizate in stadiile timpurii ale PESS au evidentiat inflamatia usoara a meningelui si a parenchimului cerebral, fiind afectata atat substanta cenusie corticala si subcorticala, precum si substanta alba. Cercetarile au evidentiat procese de degenerescenta neuronala, de glioza, de proliferare astrocitara, de infiltrate inflamatorii perivasculare si de fenomene de demielinizare.

La nivelul meningelui si parenchimului cerebral se identifica prezenta de infiltrate perivasculare focale si difuze, alcatuite din limfocite si alte celule inflamatorii (initial si pasager neutrofile, mai apoi limfocite-plasmocite si mononucleare mari), precum si fagocite. Aceste celule pot fi intalnite in jurul neuronilor in necrobioza (satelitoza) pe care ii vor fagocita (procesul de neuronofagie).

In ariile de neuronofagie se produc mai tarziu fenomene de proliferare gliala reparativa (glioza reactiva), care, in cazul unor zone de necroza mai mari, este inlocuita de proliferare conjunctiva cicatriceala pe seama elementelor conjunctive ale meningelui si vaselor.

Semnificativ, atat in interiorul nucleului cat si al citoplasmei celulelor gliale pot fi observate doua tipuri de incluzii, ce poarta numele celui care le-a semnalat pentru prima data prezenta, respectiv corpii celulari Cowdry, de tip A si B. Corpii Cowdry de tip A, alcatuiti din material omogen eozinofil, sunt difuz raspanditi in neuronii si oligodendrocitele pacientilor cu forma rapid-progresiva a bolii, in timp ce corpii Cowdry de tip B, care masoara dimensiuni mici, se intalnesc aproape intotdeauna in numar mare la nivelul cerebelului. Studiile recente pe aceasta tema au constatat ca aceste incluzii nucleare corespund structurilor virale, continand in fapt antigene virale (22).

Agregatele patologice de proteine mai pot fi observate deasemenea si in interiorul neuronilor si al oligodendrocitelor (41). Prin intermediul metodelor de hibridizare in situ, s-a observat ca celulele care contin aceste agregate intracelulare prezinta adesea si genomul viral, tragandu-se de aici concluzia ca formarea lor este determinata de infectia virala (42).

Cercetarea infiltratului inflamator din tesutul cerebral al pacientilor cu PESS a evidentiat faptul ca celulele predominand in spatiul perivascular sunt limfocitele T CD4+, limfocitele B intalnindu-se mai frecvent in infiltratul inflamator din parenchimul cerebral (44).

In stadiile mai avansate de boala prezenta zonelor de inflamatie si a incluziilor specifice devine mai dificil de pus in evidenta. Modificarile histopatologice de acum sunt predominate de necroza parenchimatoasa si de fenomenele de glioza(43). Examinarea macroscopica a creierului evidentiaza atrofie cerebrala corticala de diferite grade (usoara pana la moderata ). Examinarea microscopica releva fenomene de degenerescenta si de dezorganizare neuronala nelocalizate, la nivelul structurilor corticale. De remarcat ca portiunea afectata cel mai sever este cea parieto-occipitala, procesul patologic extinzandu-se insa spre portiunea anterioara a emisferelor cerebrale, cuprinzand structurile subcorticale, cerebelul si maduva spinarii.

Pentru demielinizarea intensa, frecvent intalnita la pacientii cu PESS, se considera ca ar putea fi responsabila infectia virala a oligodendrocitelor (4o).

Din tesutul cerebral au putut fi recoltate doar cantitati infime de virus patogen, insa metodele de imunohistochimie au putut evidentia antigenele virale prezente, iar tehnicile de hibridizare in situ sau de PCAR (polymerase chain reaction amplification method - metoda de polimerizare in lant ) au detectat si identificat genomul virusului rujeolic (22,45,46).

VII. FORME SI MANIFESTARI CLINICE

- ISTORICUL BOLII -

PESS este o boala a sistemului nervos recunoscuta ca avand o evolutie clinica stereotipa. Desi s-au observat o serie de variatii de prezentare, considerate atipice, anumite trasaturi caracteristice fac posibil un diagnostic pe baza manifestarilor clinice. Un diagnostician cu experienta poate fi capabil sa deosebeasca boala in cauza de alte afectiuni neurodegenerative similare ale copilariei si adolescentei.

Forma stereotipa, clasica a bolii a fost descrisa pentru prima data cu o stadializare si o evolutie pe etape caracteristice de catre Dyken in 1985. Tot el a semnalat primul si aparitia variatiilor de manifestare sesizate in timp la copiii studiati.

Debutul bolii se realizeaza printr-o serie de simptome neurologice, de obicei in perioada juvenila, cel mai adesea in intervalul 5 - 15 ani, avand insa niste limite mult mai largi de instalare ( 6 luni si 32 de ani ). Desi debutul bolii se considera a fi incepand cu inregistrarea primelor manifestari neurologice, momentul instalarii ei este de fapt cel al contactului prim cu virusul rujeolic.

Printre manifestarile clinice intalnite in faza precoce ( prima faza ) a bolii se intalnesc:

modificari de comportament;

letargie, somnolenta, usoara senzatie de discomfort general, oboseala;

scaderea performantelor scolare (sesizate de catre parinti sau de catre profesori);

contractii epileptice ocazionale;

agitatie (hiperactivitate) si negativism.

Variabile ca intensitate, simptomele pot fi discrete ca manifestare sau mai evidente clinic. In aceasta faza, simptomele variaza si ca perioada de desfasurare in timp (de la cateva saptamani la cativa ani), dar niciodata gradul de dizabilitate al acestor pacienti nu depaseste un procent de 30% pe scara neurolgica specifica de masurare a dizabilitatii construita de Dyken si colab. in 1982.

Evolutia leziunilor la nivelul tesutului nervos, felul in care ele se extind de la substanta cenusie corticala spre substanta alba subcorticala si mai departe spre substanta cenusie profunda, determina durata acestei prime faze. Pe masura ce afectarea substantei cenusii se agraveaza, miocloniile devin treptat elementele predominante si faza a doua a bolii, usor de diagnosticat clinic, incepe sa se desfasoare.

In plina desfasurare, PESS se manifesta printr-un tablou de semne clinice care permit cu usurinta recunoasterea ei. Un semn care se intalneste in mod specific in faza a doua a bolii este reprezentat de miocloniile bruste si involuntare. Aceasta faza a bolii evolueaza cu spasme mioclonice care se repeta frecvent. Miocloniile evolueaza incet si incontinuu, dar antreneaza gradat toate grupele musculaturii somatice (in special musculatura axiala), intr-un mod aproximativ simetric, cuprinzand mai intai capul, apoi trunchiul si membrele, in mod repetat la acelasi interval de timp. Periodicitatea e o insusire a fenomenului, spasmele musculare repetandu-se la 5-10 secunde unul fata de celalalt. Desi miocloniile (traduse literar inseamna ,,pierdere de tonus muscular") sunt nespecifice in general, cele din PESS sunt unice, nemanifestandu-se ca un sfarsit de criza epileptica per se, asa cum se intampla in alte afectiuni (cum ar fi de exemplu spasmul infantil), fiind mai degraba non-epileptice. Ele par a fi mai degraba rezultatul unei descarcari extrapiramidale decat al unei epilepsii. Sunt mai curand inrudite cu alte miscari involuntare, precum cele coreice, atetozice, coreo-atetozice, distonice sau cu cele din hemibalism/balism.

De retinut este faptul ca aceste mioclonii nu afecteaza starea de constienta. Apar fie spontan fie declansate de stimuli variati (vizuali, tactili, auditivi), sunt accentuate de emotii si pot disparea in timpul somnului. Formele in care aceste mioclonii se pot manifesta sunt diferite: de la mers cu dificultate pana la caderi ale capului si chiar caderi libere si bruste din picioare (derobari).

Miocloniile pot fi foarte discrete la inceput, astfel incat pot fi trecute cu vederea. O modalitate de depistare a existentei lor este prin a-l pune pe pacient sa stea in pozitie ortostatica, avand picioarele lipite intre ele si bratele intinse in fata; se urmaresc eventualele caderi ale capului, gatului, trunchiului sau bratelor, care pot fi frecvent insotite de contractii ale musculaturii fetei - grimase - si de clipiri ale pleoapelor.

Se intalnesc in PESS si contractii epileptice, insa acestea nu sunt limitate in mod specific la cea de-a doua faza, putand aparea in oricare din cele patru etape ale bolii. Crizele pot fi tonico-clonice generalizate sau partiale.7,9 47

In nafara miscarilor involuntare particulare care fac posibil diagnosticul clinic al bolii, faza a doua a bolii mai cuprinde si alte semne neurologice piramidale si extrapiramidale, sugerand interesarea tractului motor lung si a caii senzitive, precum si elemente ce confirma agravarea starii de dementa.

Uneori pacientii pot dezvolta ataxie, distonie sau diskinezie, completandu-se astfel tabloul deosebit de variat al bolii.

Durata stadiului al doilea de boala, variabila, cuprinde in general intre 3 pana la 12 luni.

Urmatoarele doua stadii ale bolii sunt consecinta evolutiei tipice continue si ireversibile a bolii, ce se extinde caudal in tesutul nevos. Ca urmare, stadiul trei al bolii incepe atunci cand, datorita extinderii procesului patologic la nivelul zonelor de substanta cenusie si a cerebelului, deteriorarea mentala si motorie se agraveaza intr-atat incat predomina acum simptomele extrapiramidale, precum miscarile coreoatetozice si altele dintre cele clasice, consecinta mai degraba a pierderii functiei tesutului nervos decat a iritatiei acestuia. In acest stadiu se inregistreaza simptome ale deficitului senzitiv si motor, dementa se agraveaza considerabil, sugerand procesul distructiv in continua desfasurare de la nivelul substantei cenusii cerebrale. De retinut ca in stadiul trei dispar miocloniile, ceea ce pledeaza in favoarea originii iritative a acestora sau discharging basis?, si nu a pierderii functiei substantei nervoase sau a imposibilitatii de descarcare de impulsuri nervoase. Durata variaza de la 3 la 18 luni.

Caracteristice fazei a patra a bolii sunt disfunctiile vegetative si gradele avansate de paralizie flasca si spastica (pacientii devin adesea cavdriparetici), pierderile starii de constienta (autonomic failures?), precum si imposibilitatea de a mai vorbi - mutismul. Pierderile starii de constienta sunt frecvent insotite de pierderea functiei de termoreglare, ceea ce determina fluctuatii importante ale temperaturii corpului. Deteriorarea progresiva a starii de constienta si a orientarii temporo-spatiale, cu evolutie spre starea comatoasa, cand pacientul intra intr-o etapa vegetativa, este insotita si de instalarea unei rigiditati musculare generale - "decerebrate and decorticate rigidity", cu aparitia unei respiratii zgomotoase si neregulate. Este un moment al bolii in care, frecvent, pacientii mor datorita hipertermiei, colapsului cardiovascular sau dezechilibrelor hipotalamice .

Desi decesul are loc de obicei in aceasta faza, riscul de pierdere a vietii exista in oricare dintre etapele bolii, fiind determinat de severitatea si de rapiditatea cu care evolueaza afectiunea. Uneori viteza cu care boala se desfasoara este atat de mare incat stadiile pot fi cu greu recunoscute, in timp ce alteori evolutia foarte trenanta face ca la momentul decesului sa nu se fi succedat toate cele patru etape caracteristice. Unele studii au demonstrat ca exista o corelatie aproape fidela intre stadiile bolii si gradele de dizabilitate, procentele de dizabilitate corespunzatoare fiind urmatoarele, conform graficelor statistice ale lui Dyken:

stadiul I al bolii: ii corespunde un procent de dizabilitate de pana la 30%

stadiul II: intre 31-55%

- stadiul III: intre 56 - 80%

stadiul IV: intre 81 si 100% deficit.

Se mai pot utilize si ale modele de incadrare a bolii intr-unul din stadiile mai sus descrise. Informatiile culese in urma unui examen clinic general si neurologic bine indreptat sunt corelate cu etapa pe care o caracterizeaza dupa modelele oferite de mai multi specialisti. In cele ce urmeaza sunt expuse majoritatea criteriilor de examinare utilizate de medicii din intreaga lume:

Tabelul 3.

Clinical outcome measures used in SSPE.

Measure

Descriptor


  • Stadiile Jabbour [15]

Stadiul IA

Modificari doar la nivel comportamental, de cunoastere si de personalitate.

Stadiul IB

Spasme mioclonice: focale si fara periodicitate.(Myoclonic Spasms: focal and not periodic)

Stadiul IIA

Dementa progresiva. Spasme musculare: periodice, generalizate, determinand adesea caderea brusca din picioare cu ingreunarea deplasarii.

Stadiul IIB

Apraxie, agnozie, dificultate in vorbit. Semne motorii: spasticitate, ataxie. Deplasare doar cu sustinere.

Stadiul IIIA

Vorbitul cu mare dificultate, vederea afectata. Sta in sezut. Spasme mioclonice frecvente (la fiecare 3 - 5 secunde). Pot fi prezente si convulsii.

Stadiul IIIB

Nu vorbeste spontan, intelegere cu dificultate, orbire. Spasme mioclonice. Myoclonic spasms. Nu se poate da jos din pat, prezinta disfagie. EEG background delta. Alte contractii anormale: coreice, ballismus.

Stadiul IV

Spasme mioclonice absente. EEG de voltaj scazut inregistrand complexe periodice cu unde lente. Pacientul se afla intr-o stare vegetativa.

  • Index neurologic de dizabilitate(IND) [23]

Modificari psihice si comportamentale

Iritabilitate, personalitate cu tendinta la izolare, inteligenta si functie corticala, inteligenta pastrata, functie corticala crescuta.(Personality, Withdrawal, Intelligence and Higher cortical function)?

Mioclonii / Contractii epileptice

Localizare, repetitie, frecventa, convulsii, sincronizare.(Location, Repetition, Frequency, Seizures (major), Synchrony)?

Functii sensitive si motorii

Reflexe pastrate, tonus present, forta musculara prezenta, posturi anormale, necoordonare a miscarilor ti sensibilitate alterata. (Reflexes and tone, Strength and bulk??, Abnormal postures and incoordination, Movements, Sensory modalities)

Functii vegetative si sistemice

Vederea, auzul, vorbitul, starea de nutritie (Vision, Hearing, Verbalizations, Autonomic??, Nutritional)

Pentru fiecare conditie prezenta se acorda un punctaj de la 0 la 4, semnificand: de la "nicio modificare anormala" pana la "modificari profunde"('No abnormality' to 'Profound abnormality'). Scorul total insumeaza 80 de puncte, fiind transformat intr-un procent. Cu cat scorul este mai mare, cu atat gradul de dizabilitate este mai ridicat.

  • Brief Assessment Examination (BAE). [22]

Starea de alerta (Alertness) Atentia??

Niciun raspuns = 8. Raspuns general minim = 6. Raspuns specific (nivel procentual 35%) = 4. Raspuns specific (nivel procentual 70 %) = 2. Normal = 0.

Receptive Speech/Language and Cognitive

Follows commands 0-3. Points at objects 0-3. Points at colours 0-3. Points at shapes 0-3.

Visual Digit Span

Zero digits = 8. One digit = 6. Two digits = 4. Three digits = 2. Four digits = 0.

Speech

No response= 8. Severe dysarthria = 6. Moderate dysarthria = 4. Mild dysarthria = 2. Normal = 0.

Mathematics

No skills = 8. Counts to five = 6. Counts to ten = 4. Single digit addition = 2. Single digit subtraction = 0.

Pictorial Memory

Zero objects = 8. One objects = 6. Two objects = 4. Three objects = 2. Four objects = 0.

Total Score is out of 60 with greater scores reflecting greater impairment. Modifications are outlined for children less than 6 years of age.

Campbell et al. BMC Pediatrics 2005 5:47   doi:10.1186/1471-2431-5-47

Fiecare dintre etapele PESS se desfasoara, in evolutia sa tipica, pe parcursul a luni de zile, progresia fiind continua, cu toate ca se pot observa uneori stabilizari ale starii pacientului pentru lungi perioade de timp. In functie de viteza cu care boala evolueaza spre deteriorarea progresiva, continua sau cu remisii si recurente succesive, s-a realizat o clasificare a acesteia in acuta, subacuta si cronica.

PESS acuta se defineste prin dezvoltarea a cel putin 66% dizabilitate neurologica in primele 3 luni de manifestare a simptomelor neurologice, cu parcurgerea in decurs de 6 luni a celor patru stadii ale bolii, bine delimitate, cu inregistrarea fie a decesului la sfarsitul acestei perioade fie a unui grad de dizabilitate depasind un procent de 90%.

Pacientii cu evolutie subacuta dezvolta minimum 66% dizabilitate neurologica in 9 luni de zile, cu incadrarea specifica pe etape a simptomatologiei bolii.

Spre deosebire de primele doua forme de evolutie, PESS cronica nu este caracterizata de o stadializare tipica iar deteriorarea neurologica nu atinge 66% decat dupa 9 luni de la instalarea primelor manifestari clinice. In aceasta forma miocloniile sau stadiul II al bolii pot fi mult intarziate, evolutia pacientului stabilizandu-se similar tipului de boala cu remisii si recurente.

!!! Indiferent de forma de evolutie a afectiunii, acuta, subacuta sau cu stabilizare temporara, deteriorarea oraganismului este un proces continuu si progresiv, remisii ale bolii fiind evenimente foarte rar inregistrate (conform datelor din Regitrul National American al PESS).

Un alt aspect important in evolutia PESS este legat de manifestarile oculare si vizuale, semnalate la 10 - 50% din pacienti, care includ: cecitate corticala, corioretinita si atrofie de nerv optic. De obicei simptomatologia vizuala este simultana cu manifestarile neurologice, dar au fost intalnite cazuri cand le-au precedat cu cativa ani de zile (48, 49). La un pacient cu corioretinita, Park si colab. au evidentiat prezenta a numeroase incluzii virale intranucleare, filamentoase, microtubulare, situate in stratul nuclear al retinei, continand virusul rujeolic. (50)

Anomaliile oftalmologice asociate astfel cu PESS sunt urmatoarele, conform cu literatura de specialitate:

  1. Edem;
  2. Atrofie de nerv optic;
  3. Corioretinita papilara si perimaculara;
  4. Orbire corticala;
  5. Sindromul Anton (orbire corticala cu negarea ei).

VIII. EXAMINARI PARACLINICE

Examinarea paraclinica in vederea stabilirii diagnosticului de PESS presupune:

Investigatii uzuale de laborator

Analiza lichidului cefalorahidian

Inregistrarea activitatii corticale cerebrale

Urmarirea imagistica

Efectuarea biopsiei cerebrale, care nu mai este obligatorie insa.

A. Analiza lichidului cefalorahidian (LCR).

Examinarea LCR este de obicei normala, acesta fiind frecvent acelular, cu o concentratie normala sau usor crescuta a proteinelor.

Caracteristica remarcabila a LCR o reprezinta nivelul mult crescut al nivelului de gammaglobuline, care depaseste de obicei 20% din totalul proteinelor cerebrospinale. Datorita intensificarii sintezei intratecale de IgG, concentratia acestora variaza intre 10-54 micrograme/dl, comparativ cu valorile normale la copii, cuprinse intre 5-10 micrograme/dl.(53, 54).

In majoritatea cazurilor, nivelurile crescute de gammaglobuline sintetizate local indica o infectie sau un alt tip de proces inflamator localizat la nivelul sistemului nervos central. La examinarea LCR pe un gel electroforetic de agaroza sau prin "isoelectric focusing", se remarca aparitia unei bande oligoclonale de imunoglobuline. Banda oligoclonala este dovada productiei masive a unei singure clase de imunoglobuline specifice, sugerand in plus ca in interiorul sistemului nervos central clonele de limfocite B s-au diferentiat in plasmocite.

Studiile au demonstrat ca la pacienții cu PESS majoritatea IgG din LCR sunt dirijate impotriva virusului rujeolic și ca bandele oligoclonale pot fi absorbite de catre agentul patogen (56). Acste observatii fac posibil diagnosticul PESS pe seama titrurilor foarte crescute de anticorpi anti-rujeolici in LCR.

Titrul acestor anticorpi este insa crescut inclusiv in serul pacienților.

!!! Valori ale titrurilor de anticorpi anti-rujeolici mai mari decat 1:256 in ser și mai mari de 1:4 in LCR sunt considerate diagnostice pentru PESS.

Rata caracteristica a titrului de anticorpi anti-rujeolici din LCR raportat la titrul celor din ser variaza intre 1:4 și 1:128 (mai mic de 200), fiind scazuta in raport cu cea de la pacientii sanatosi (rata normala este cuprinsa intre 1:200 - 1:500).

Ratele efectuate pentru anticorpii altor virusuri si pentru albumina, folosind valorile din serul sangvin si din LCR, sunt normale, aratand ca importantele cantitati de anticorpi anti-rujeolici rezulta dintr-o sinteza localizata in interiorul sistemului nervos central, in conditiile unei bariere hematoencefalice indemne(57,58).

Printre metodele prin care pot fi determinate valorile anticorpilor se enumera:

- Metodele de fixare a complementului

- Metodele de inhibare a hemaglutinarii(haemagglutination inhibition)

- Metodele de neutralizare virala

- Metoda ELISA (Enzyme Linked Immunosorbant Assay) - care este foarte sensibila in depistarea IgG si IgM specifice impotriva virusului rujeolic.(59)

Un diagnostic de maxima precizie mai poate fi pus prin detectarea in LCR a genomului ARN rujeolic, utilizand metoda polimerizarii in lant cu revers-transcriptaza, rtPCR - reverse transcription polymerase chain reaction.

B. Electroencefalogama (EEG).

In faza precoce a bolii, aspectul EEG poate fi normal sau nespecific, eventual cu unde relativ lente in toate derivatiile.

Pattern-ul tipic electroncefalografic este reprezentat de complexele Rademecker, descrise pentru prima data de catre cercetatorul al carui nume il poarta, fiind tipul de grafic inregistrat in faza in care apar miocloniile, avand valoare diagnostica. Aceste complexe apar pe activitatea de fond, amorfa, inscriindu-se periodic, la intervale aproape regulate (8-12 secunde), ca un grup de unde lente de amplitudine crescuta (200-500 mv), variind de la un caz la altul. Sunt alcatuite dintr-o unda bifazica sau dintr-un grup de unde lente de amplitudine si durata variabile, care adesea includ una sau mai multe unde ascutite. Ele apar brusc, exploziv si sincron. Coincid in stare de veghe miocloniilor, fiind intr-un raport de 1:1 cu spasmele mioclonice (ex. Fig.1). Pe masura ce boala avanseaza intervalele dintre complexe devin mai scurte, iar acestea se atenueaza progresiv (60).

Fig. 1.A: Traseu EEG relativ tipic, inregistrat la prima internare a unei paciente in varsta de 12 ani. Se observa descarcari repetitive de unde trifazice bilateral sincrone, cu o periodicitate de circa 10 secunde, spontan si la hiperpnee.

Fig.1.B: Traseu EEG inregistrat la urmatoarea internare, care are loc la 2 saptamani distanta de prima, timp in care a urmat tratament cu Isoprinosine, Carbamazepina si Synachten, si sub care "tresaririle" membrelor disparusera. La reinternarea pentru reaparitia miocloniilor se inregistreaza trasee lente, predominant in banda teta difuz. Nu mai apar descarcari periodice.

Uneori, la inceput, cand spasmele mioclonice nu au aparut inca, se pot inregistra complexele periodice in timpul somnului. Ele pot fi puse in evidenta prin administrarea de Diazepam intravenos pacientilor in stare de veghe, in timpul inregistrarii EEG de rutina. Tardiv in evolutia afectiunii, EEG poate inregistra un apect foarte dezorganizat de unde cu amplitudine crescuta, intre care se interpun unde lente neregulate.

Aplatizarea traseului de fond constituie indiciul unui prognostic grav, deoarece preceda deznodamantul fatal. In stadiile terminale ale bolii se constata astfel scaderea generalizata a amplitudinii undelor.

Pe langa tipul I de complexe periodice encefalografice descrise mai sus, au mai fost inregistrate si alte cateva modele de trasee, cu elemente periodice avand un caracter mai inedit. S-a demonstrat printr-o serie de studii ca acestea pot fi corelate cu prognosticul bolii.

Astfel, intr-un tip II de anomalii encefalografice, apar niste unde delta gigante periodice pe un fundal de cele mai multe ori format din unde lente combinate cu niste varfuri rapide, sugerand activitatea intensa a scoartei cerebrale.

Tipul III de pattern EEG se individualizeaza prin prezenta de varfuri-unda cu durata lunga intrerupte de aparitia unor unde delta gigante.

Yakub a demonstrat ca monitorizarea tip "video-split EEG" este o metoda mult mai sensibila de a pune diagnosticul precoce si de a determina prezenta atoniei sau a miocloniilor (11), corelate cu momentul aparitiei complexelor periodice pe EEG. Calculand rata de progresie a bolii, el a observat ca tipul III de complexe este asociat cu cel mai prost prognostic in evolutia bolii, in timp ce pacientii cu tipul II de complexe au cel mai bun prognostic.

C. Datele neuroimagistice

Datele furnizate prin metodele neuroimagistice au un beneficiu limitat in privinta diagnosticului precoce al PESS.

In etapele timpurii ale bolii, tomografia computerizata are un aspect normal, fara modidicari patologice. Abia in stadiile mai avansate pot fi observati niste ventriculi mici, cu obliterarea girusurilor emisferice si a fisurilor interemisferice, consecutiv edemului cerebral difuz. Deasemenea, dupa o evolutie indelungata a bolii, se inregistreaza o atrofie cerebrala generalizata sau focala, insotita de o dilatare ex-vacuo a ventriculilor cerebrali. Alteori insa tomografiile computerizate au aspect normal chiar si dupa cinci ani de la debutul bolii. Alte modificari tomografice au mai fost identificate la nivelul cortexului si ganglionilor bazali, cu ..low attenuation areas??.

S-a dovedit ca imagistica prin rezonanta magnetica ( IMR ) identifica modificarile patologice ale sistemului nervos central cu mai multa sensibilitate decat tomografia computerizata.

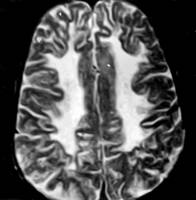
Modificari precoce in boala sunt cosiderate aparitia zonelor de hipersemnal, definitorii, pe imaginile cu predominanta T2 (fig. 2), cu precadere la nivelul substantei albe subcorticale occipitale mai mult decat a celei frontale. In majoritatea cazurilor, substanta cenusie este integra, chiar si in cazurile avansate.

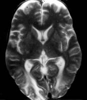
Totusi TUNCAY si colab. au sesizat implicarea precoce a substantei cenusii, studiul lor evidentiind leziuni predominante la nivelul substantei cenusii si al substantei albe subcorticale (62). Leziuni descrise de ei sunt asimetrice si afecteaza preponderent partea posterioara a emisferelor cerebrale (fig. 3). Tardiv, ei au observat modificari de hipersemnal in structura profunda a substantei albe, si anumite grade de atrofie cerebrala. Leziunile parenchimatoase au fost corelate cu durata bolii.

Cativa autori au semnalat un moderat efect de masa si o sporire a contrastului la cativa pacienti, in special in fazele precoce ale bolii, insa aceste modificari nu sunt considerate caracteristice pentru PESS.(63).

Figura 2: imagine prin rezonanta magnetica avand

predominanta T2, prezentand demielinizare difuza a

substantei albe, la un baiat in varsta de 8 ani, cu PESS.

Figura 3: imagine prin rezonanta magnetica avand

predominanta T2, prezentand zone hiperintense in ambele

regiuni occipitale.

B. ANLAR si colab. au semnalat la un pacient aflat intr-un stadiu evolutiv precoce de PESS cu leziuni cistice de lob temporal. Ei au exclus posibilitatea altor afectiuni degenerative pe baza faptului ca marimea circumferintei capului era in limite normale, substanta alba nu prezenta modificari patologice, iar nivelul acidului lactic ( fluid lactate level) din lichidul cefalorahidian nu avea valori semnificative. Observatia facuta de specialistii din Turcia pune problema includerii PESS in diagnosticul diferential al leziunilor cistice de substanta alba.

D. Biopsia cerebrala

Diagnosticul de PESS este rareori pus prin intermediul efectuarii biopsiei de creier. Practicarea acesteia pune in evidenta modificarile tipice histopatologice. Examinarea de sectiuni inghetate prin intermediul tehnicii imunofluorescente poate evidentia prezenta antigenelor virale rujeolice. Polimerizarea in lant cu revers-transcriptaza are capacitatea de a detecta fragmente de dimensiuni variate din ARN-ul viral din sectiuni inghetate sau preparate la parafina de tesut cerebral recoltat de la pacientii cu PESS. Cu ajutorul tehnicilor de hibridizare a fost pusa in evidenta prezenta genomului viral rujeolic.

IX. DIAGNOSTICUL IN PESS

Dupa Campbell si colab., diagnosticul in PESS este de doua tipuri: unul de suspiciune iar celalat de certitudine, care vine si il confirma pe cel dintai:

Definitie de caz

Diagnostic de certitudine

A. Titruri ridicate de anticorpi serici impotriva virusului rujeolic si prezenta anticorpilor oligoclonali antirujeolici in LCR (Serum: CSF measles antibody ratio indicative of intrathecal antibody production).

Si/ sau

B. Antigene rujeolice decelate in tesutul cerebral prin biopsie sau la autopsie.

Diagnostic de suspiciune

A. Istoric al bolii tipic: instalare insidioasa deteriorarii mentale, urmata de disfunctii motorii (de obicei la cateva luni dupa deteriorarea functiilor cognitive), cu decerebrare progresiva si in final deces.

Si

B. Modificari EEG caracteristice

Campbell si colab. BMC Pediatrics 2005 5:47   doi:10.1186/1471-2431-5-47

Diagnosticul in PESS este usor de pus odata ce au aparut miocloniile specifice, insa in acest moment pacientul se afla deja in faza a doua a bolii.

Surprinderea bolnavului in prima etapa este insa un lucru dificl, intrucat modificarile de comportament corespunzatoare acestei faze sunt foarte subtile si rar sesizate de catre parinti. De multe ori in aceasta etapa de dezvoltare pacientii isi indreapta copiii spre specialistul in psihiatrie, care suspicioneaza rar diagnosticul.

Alteori miocloniile pot lipsi in faza secunda, fiind prezenta o atonie care poate fi insa trecuta cu vederea.

Diagnosticul PESS se punea la inceputurile studierii bolii pe baza indeplinirii a trei dintre cele cinci criterii stabilite de catre Dyken:

    1. Clinic: prezentare clinica tipica - deteriorare mentala progresiva si subacuta, cu semne clinice specifice, cum sunt miocloniile.
    2. EEG: descarcari periodice, stereotype, de unde cu voltaj mare.
    3. Lichidul cefalorahidian: gamaglobulinele in exces au patternul oligoclonal.
    4. Anticorpii anti-rujeolici: titru crescut in ser (>1:256) sau /si in lichidul cefalorahidian (>1:4).
    5. Biopsie cerebrala: caracteristica panenencefalitei.

Diagnosticul era definitiv daca se indeplinea, pe de o parte, criteriul al cincilea si alte trei criterii, fiind probabil daca erau indeplinite doar trei dintre ele.

In timp s-a considerat ca, desi ofera confirmarea histopatologica a infectiei, biopsia cerebrala nu mai este indispensabila pentru a stabili diagnosticul de certitudine a PESS. In prezent, in fata unui tablou clinic sugestiv, a unor modificari EEG caracteristice si a confirmarii imunologice diagnosticul de certitudine se pune fara pericolul confuziei.

X. DIAGNOSTICUL DIFERENTIAL AL PESS

Diagnosticul diferential al PESS se face in primul rand avand in vedere tabloul clinic al bolii cu stadiile sale evolutive.

Este foarte important ca aceasta entitate clinica sa fie vazuta ca o afectiune cu evolutie complexa si graduala, progresiva. Medicul trebuie sa cunoasca modalitatile in care se poate prezenta fiecare stadiu al bolii, cu manifestarile clinice caracteristice, pentru ca in fata unor astfel de elemente sa se poata suspiciona diagnosticul de PESS si ulterior sa demareze procedurile pentru executarea investigatiilor recomandate.

Diagnosticul diferential al miocloniilor in PESS se face cu:

Miocloniile din alte afectiuni neurodegenerative:

1. Epilepsiile progresive cu mioclonii (cu mioclonii in faza initiala si convulsii generalizate tonico-clonice):

  • Sindromul Unverricht-Lundborg
  • Myoclonic epilepsy ragged red fibre (MERRF).
  • Lafora body disease.
  • Neuronal ceroid lipofuscinoses.
  • Sialidoses.
  • Hereditary dentatorubral-pallidoluysian atrophy.

2. Encefalopatii mioclonice progresive (in care miocloniile sunt in general mascate de alte manifestari clinice):

  • GM2 gangliosidosis.
  • Non-ketotic hyperglycinaemia.
  • Boala Niemann-Pick.
  • Juvenile Huntington's disease.
  • Boala Alzheimer.
  • Boala Creutzfeldt-Jakob.

3. Ataxia progresiva mioclonica (convulsii sunt prezente sau apar tarziu in evolutie):

  • Spinocerebellar degeneration.
  • Boala Wilson
  • Boala celiaca
  • Boala Whipple

Forma fulminanta de PESS intra in diagnosticul diferential al encefalopatiilor acute de cauza necunoscuta/neexplicata.

Cystic white matter lesions.

XI. FORME PARTICULARE DE BOALA

XI.1 PESS la adulti

Intrucat este o afectiune intalnita cu precadere la copii si adolescenti, PESS poate pune probleme importante de diagnostic atunci cand pacientul care se prezinta la doctor are o varsta mai avansata. Au fost inregistrate aproximativ 50 de cazuri de PESS din randul celor cu varste depasind 18 ani. Pacientii cu debut al PESS la varsta adulta au in medie aproximativ 25,4 ani ( cu limite cuprinse intre 20-35 de ani). Un mare procent dintre acesti pacienti fie raporteaza date anamnestice negative cu privire la prezenta in antecedentele personale patologice a infectii rujeolice in copilarie fie acest episod este nedocumentat. La medic, pacientul se prezinta cel mai frecvent cu manifestari clinice oftalmologice, in special cecitatea corticala. Boala pare sa aiba o evolutie mult mai agresiva la adulti, progresul catre deces realizandu-se mult mai rapid (65).

Intr-un studiu preliminar, Gokcil si colab. au observat ca tratamentul cu isoprinosin si interferon-alfa este eficient in cazurile de PESS cu debut la varsta adulta (66).

XI.2 PESS in sarcina

In timpul sarcinii, se pare ca PESS evolueaza foarte rapid. S-a crezut ca varsta relativ mare de instalare si deteriorarea neurologica neobisnuit de rapida sunt determinate, cel putin in parte, de modificarile imunologice si hormonale specifice perioadei de sarcina.

Au fost raportate cateva cazuri in care boala a fost asociata cu moartea copilului fie in utero fie in perioada peripartum (67). Thiel si colab. au semnalat cazul unei tinere in varsta de 20 de ani care a nascut prin interventie de cezariana un copil sanatos dupa 28 de saptamani de gestatie (68). Analizele serice din sangele copilului au evidentiat titruri usor scazute de IgG impotriva virusului rujeolic. Dupa o perioda de sase luni de zile, anticorpii de provenienta materna au disparut complet din serul copilului, fiind nedetectabili.

De remarcat ca si pentru pacientele insarcinate cea mai frecventa manifestare clinica ce determina prezentarea la medic este tot cecitatea corticala. Miocloniile caracteristice pot fi inaparente, infraclinice, tabloul fiind similar celui din eclampsie.

XI.3 Forma acuta fulminata de PESS

Majoritatea pacientilor cu PESS supravietuiesc aproximativ 1-3 ani dupa diagnostic, cu o medie de circa 18 luni de zile. In forma acuta fulminanta de PESS, afectiunea evolueaza atat de rapid incat decesul poate surveni si in trei luni de la diagnostic. In seriile de pacienti ale lui Risk si Haddad, in jur de 10% dintre indivizi au avut o asemenea evolutie a bolii.

In aceasta forma a bolii, stadiile ei caracteristice sunt imposibil de recunoscut. Mecanismul exact al acestui tip de afectiune nu este cunoscut. Cativa factori, precum expunerea la pojar la varste foarte mici, virulenta virusului rujeolic, mecanismele de aparare ale gazdei alterate, precum si infectia simultana cu alte virusuri, au fost suspectati ca ar determina evolutia rapida a bolii (69, 71).

Expunand doua cazuri cu forme fulminante particulare de evolutie, cu deces in 2.4 luni respective 4 luni de la depistare, care au pus probleme de diagnostic datorita formelor atipice de prezentare (doar modificari de comportament, dizartrie, si drop-attacks la unul dintre pacienti, iar celalalt manifestand doar crize convulsive partiale, fara retard mental, modificari de personalitate sau mioclonii), cercetatorii au atras atentia asupra faptului ca PESS ar trebui luata in considerare atunci cand ne aflam in fata unei encefalopatii acute de cauza necunoscuta. Modalitatea de diagnostic in astfel de cazuri ramane evidentierea anticorpilor antirujeolici in LCR. Se mai noteaza absenta oricarui raspuns la tratamentul cu Isoprinosine si Interferon-alfa in aceste cazuri.

XII. TRATAMENTUL IN PESS

PESS este o afectiune care pune probleme deosebite de tratament.

Managementul bolii consta din:

O terapie curativa, care priveste cauza bolii, mecanismul fiziopatologic determinant al manifestarilor clinice particulare si

O terapie paleativa, care se adreseaza simptomatologiei insotitoare si complicatiilor care apar pe parcursul evolutiei catre finalul mereu acelasi - decesul.

Daca terapia curativa incearca sa impiedice sau cel putin sa intarzie dezvoltarea modificarilor morfopatologice ireversibile, responsabile pentru deteriorarea progresiva a functiilor psiho-motorii, terapia paleativa se adreseaza simptomatologiei secundare, acelor manifestari clinice care apar datorita complicatiilor procesului patologic initial, scopul fiind mentinerea unei calitati acceptabile a vietii, si chiar imbunatatirea ei pe cat posibil, cu reducerea invaliditatii.

Problemele puse de abordarea terapeutica sunt delicate, intrucat de multe ori un anumit tratament poate fi eficient intr-un stadiu al bolii, iar in altul efectele sale sa nu fie atat de evidente. Cu cat tratamentul se aplica intr-un stadiu mai precoce, cand inflamatia sistemului nervos inca nu s-a cronicizat, cu atat efectele lui sunt mai evidente, comparativ cu situatia in care interventia cu substante terapeutice se face intr-un moment tardiv al evolutiei, cand leziunile inflamatorii sunt deja "vindecate" prin procese ireversibile de fibroza si glioza.

Pana la momentul actual nu s-a obtinut un tratament adecvat pentru PESS, care sa stopeze definitiv progresul leziunilor, al procesului fiziopatologic, sau care sa redea integritatea sistemului nervos al pacientilor, cu recuperarea functionala a organismului. Observatiile unor studii clinice au sugerat ca anumite medicamente din categoria antiviralelor si a agentilor imunomodulatori pot prelungi viata in conditiile administrarii unui tratament pe termen lung. Substantele folosite sunt urmatoarele:

Amantadina

Cimetidina

Corticosteroizii

Interferonul alfa

Interferonul beta

Isoprinosine (Inosiplex)

Imunoglobuline intravenoase

Ribavirina

!!! Combinatia de interferon alfa plus isoprinosine administrate intraventricular reprezinta tratamentul cel mai eficient disponibil.

Problema succesului terapiei este controversata adesea, intrucat boala insasi are o evolutie extrem de variabila, la unii pacienti putandu-se inregistra remisii spontane prelungite.(51, 72)

1. Isoprinosine (Inosiplex)

Isoprinosine constituie un medicament antiviral, ale carui actiuni reusesc sa activeze sistemul imunologic al organismului impotriva virusului rujeolic. El determina cresterea numarului de limfocite CD4+, intensificarea actiunii celulelor natural killer, potentarea functiei interferonilor si stimuleaza producerea de interleukine 1 si 2. Tratamentul cu Isoprinosine pune probleme datorita rezultatelor contradictorii pe care le determina (74). Informatiile aduse de cateva studii clinice sustin ideea ca isoprinosine prelungeste supravietuirea, producand deasemenea la unii pacienti un progres al evolutiei clinice (75, 76). Nunes si colaboratorii au constatat rezultate favorabile utilizand trihexifenidil combinat cu isoprinosine pentru combaterea miocloniilor refractare la valproatul de sodiu (77). Medicamentul a fost administrat zilnic, in doze de 100 mg/kg/zi, fara a produce efecte adverse majore. Recurenta simptomelor a fost frecvent raportata, tratamentul trebuind sa fie continuat chiar si dupa instalarea remisiilor aparente, la nevoie pentru tot restul vietii. Important de avut in vedere este monitorizarea nivelului acidului uric sangvin, intrucat isoprinosine poate produce hiperuricemie si consecutiv litiaza renala.

2. Interferonul alfa

Fiziopatologia remisiunilor si recaderilor naturale din PESS reprezinta o problema nedeslusita inca. Stabilizarea pacientilor depinde probabil de un echilibru existent intre replicarea virala si raspunsul imun al organismului, intrucat sistemul imun este responsabil pentru producerea remisiunilor. S-a observat ca pacientii cu PESS au nivele scazute de interferon in lichidul cefalorahidian, iar administrarea exogena de inteferon activeaza limfocitele natural killer si inhiba in mod direct replicarea virala (25c).

Initial interferonul a fost administrat pe doua cai: intravenoasa si intratecala, avand efecte indoielnice. Primii care au utilizat substantele prin injectare intraventriculara au fost PANITCH si colab. care s-au folosit de dispozitivul de depozitare Ommaya subcutanat si de un cateter amplasat, sub anestezie generala, in cornul frontal al ventriculului drept lateral (78). In acest studiu clinic, autorii au inregistrat progres in cazul tuturor celor trei pacienti, doi dintre ei suferind insa recaderea imediat dupa incheierea tratamentului.

Tratamentul presupune administrarea unor sedinte de cate sase saptamani de interferon alfa, incepand cu o doza de 100 000 unitati/m2 suprafata corporala, care se creste progresiv in perioada urmatoare, zilnic, pana se ajunge la 1 milion unitati/m2 suprafata corporala, timp de cinci zile pe saptamana. Se poate ajunge chiar si la sase sedinte, repetate la intervale de 2-6 luni.

In prezent, tratamentul combinat cu isoprinosine oral si interferon alfa administrat intraventricular pare sa fie cel mai eficient dintre variantele testate (79-81). GOKCIL si colab., intr-un articol recent elaborat, prezinta informatii dobandite consecutiv studierii a 53 de pacienti tratati cu interferon alfa plus/minus isoprinosine oral; 30 (59%) dintre pacienti au inregistrat o stabilizare a manifestarilor clinice si chiar o ameliorare a simptomatologiei (66). Eficienta acestei combinatii de medicamente a fost raportata chiar si la pacientii adulti cu PESS.

Pana cu putin timp in urma nu a fost organizat niciun studiu clinic randomizat despre isoprinosine si interferon. Drept consecinta, the International Consortium on SSPE? a condus un studiu unic randomizat, controlat/supravegheat, blinded???, in care au fost inclusi pacienti din 1996 pana in 2000 (27c). Grupul-caz a primit isoprinosine si interferon alfa intraventricular, iar grupul-martor a fost tratat doar cu isoprinosine, considerandu-se ca terapia placebo nu ar fi etica. Analizele de supravietuire nu au evidentiat vreo diferenta semnificativa intre grupuri in primele 6 luni, dupa care rata de deces era atat de mare incat analiza statistica nu s-a putut efectua. Nu s-a inregistrat nicio modificare importanta in ceea ce priveste BAE sau indexul NDI de-a lungul a doi ani de urmarire. Cu toate ca in studiu fusesera inclusi 121 de pacienti, doar jumatate dintre ei au putut contribui la evaluarea rezultatelor terapeutice, datorita in primul rand absentei examinarii initiale (initial baseline assessments), dar si din cauza a 19 erori de respectare a protocolului terapeutic ( but also due to 19 protocol violations).

Intr-un studiu caz-control, ANLAR si colab. (1997) (28 c) au analizat beneficiile clinice inregistrate de catre 22 de copii tratati cu isoprinosine si interferon alfa intraventricular, comparativ cu rezultatele a 35 de copii care au primit doar isoprinosine. Interferonul a fost administrat in doze pornind de la 100.000 unitati/m2 suprafata corporala, crescand pana la 1 milion unitati/m2 suprafata corporala/zi, timp de 5 zile pe saptamana, cate sase saptamani, cure care se repeta la intervale de 2 - 6 luni. Despre grupul-martor au fost foarte putine date disponibile, nefiind clar motivul pentru care acesti pacienti nu au primit si interferon alfa, in ciuda faptului ca au fost diagnosticati in acelasi timp cu cei care primisera. Jumatate dintre copiii care au primit tratament cu interferon au cunoscut un progres initial si timp de aproximativ 8 ani de la diagnostic ei avut un profil de supravietuire satisfacator. Desi numeroase rapoarte descriu beneficii ale tratamentului cu interferon, exista totusi cateva cazuri cu rezultate mai putin incurajatoare (29, 30 c)

Cu toate ca dovezile legate de beneficiul adus in evolutia clinica prin adaugarea interferonului la Isoprinosine in tratamentul PESS nu sunt foarte certe, avand in vedere evolutia naturala a pacientilor (in absenta tratamentului), numarul mare al celor care inregistreaza o stabilizare clinica sugereaza faptul ca cel putin Isoprinosine-ul este eficient. Aceste concluzii sunt argumentate prin observatiile unor cercetari. Eficienta tratamentului cu Isoprinosine a fost spre exemplu subliniata intr-o ancheta epidemiologica retrospectiva (multi-site retrospective study?) urmarind 89 de copii tratati cu Isoprinosine si 62 netratati (34 c). Dozele utilizate au variat intre 26 - 190 mg/kg/zi (respective 63 mg/kg/zi), administrat pe o perioada de pana la 5 ani si o luna. Similar initial disease characteristics were noted between the groups but the children who received isoprinosine were three times more likely to have been additionally treated with IFN, whereas the 'untreated' group received corticosteroids more frequently, reflecting a change in clinical practice during the study period?? Curbele Kaplan Meier de estimare a supravietuirii au evidentiat o supravietuire la un an si la cinci ani de 97.6%, respectiv 86.3% in cazul grupului tratat, comparativ cu 75.4%, respectiv 51.2% pentru grupul ce nu a primit medicamentul. Rezultatele au fost considerate relevante din punct de vedere statistic, demonstrand efectul daunator al corticosteroizilor si cel benefic al interferonului, reflectat in timpul de supravietuire. Si celelalte metode de apreciere a evolutiei clinice a pacientilor, precum stadializarea Jabbour si Freeman, la fel ca si observatiile si rationamentele clinicienilor asupra efectelor tratamentului cu Isoprinosine au fost deasemenea in favoarea utilizarii acestuia. De mentionat este faptul ca 17 copii au manifestat 27 de efecte adverse ale tratamentului, printre care hiperuricemie, senzatie de greata/voma, modificari ale enzimelor hepatice, scaderea numarului de celule/elemente? sangvine, fara ca vreunul sa solicite insa intreruperea tratamentului.

Concluzii similare au mai fost obtinute in urma unor studii similare intreprinse de catre ANLAR, DYKEN si colab.(35,36c).

In timpul tratamentului se impune supravegherea nivelului anticorpilor antirujeolici din lichidul cefalorahidian, a functiilor hepatice si renale. Anticorpii pot scadea pe parcursul terapiei (31c), momentul in care acestia devin nedetectabili in LCR fiind cel care dicteaza intreruperea tratamentului. Cu toate acestea nu este clar inca daca nivelul anticorpilor este corelat intotdeauna cu progresul clinic al pacientilor (26,29,32,33).

Interferonul alfa a mai fost utilizat si sistemic, administrat subcutanat, in doze zilnice de pana la 5 milioane de unitati, asociat simultan si cu injectarea sa intratecala, pentru eradicarea rezervorului periferic de virus rujeolic, precum si din tesuturile limfoid si glandular.

Printre efectele adverse ale interferonului alfa se numara: febra, letargia, anorexia si meningita chimica. Deasemenea, datorita unei cresteri a enzimelor hepatice pe care o determina, se impune intreruperea periodica a tratamentului. Cu toate ca majoritatea pacientilor tratati cu interferon intraventricular si cu isoprinosine oral nu au raportat reactii adverse majore, totusi tratamentele repetate si prelungite predispun la dezvoltarea de meningite, existand date cum ca intrferonul alfa a fost inductor de encefalopatie, precum si de toxicitate de neuron motor central si periferic (82).

3.Ribavirina

Ribavirina ca medicament antiviral a fost testata la inceput pe animale, ca modele de PESS, descoperindu-se ca are efecte pozitive. Ulterior a fost utilizata si pe pacientii cu PESS. TOMODA si colab. au testat o combinatie cu o doza mare de interferon alfa intraventricular asociat cu ribavirina intravenos in cazul a doi pacienti cu PESS neresponsivi la tratamentul cu isoprinosine (83). In ambele cazuri nu s-a observat oprirea bolii din evolutie. La unul din pacienti, hipertonia, incontinenta urinara si disfagia s-au ameliorat dupa trei luni de la inceperea tratamentului cu aceasta combinatie. O eficienta similara a acestei combinatii cu doze mari de ribavirina si interferon alfa a fost semnalata si de HOSSOYA si colab. in ceea ce priveste alti doi pacienti (84).

4.Alte medicamente utilizate in tratamentul PESS

Amantadina reprezinta un medicament anti-ARN viral/anti virusi ARN. Care are capacitatea de a intarzia maturarea virala, impiedicand replicarea acestora. Acest medicament are avantajul de a se absorbi extrem de bine din tractul gastro-intestinal, precum si acela de a traversa bariera hemato-encefalica, insa raspunsul la tratamentul cu aceasta substanta in cele cateva cazuri in care a fost aplicat a fost dezamagitor (85).

Cimetidina, antagonist de receptor-H2 a fost deasemenea utilizata, iar ANLAR si colab. au observat o lipsa a degradarii a statusului clinic in cazul a sapte pacienti de-a lungul unui studiu intins pe o perioada de doua luni de zile, in timp ce in cazul grupului format din sapte pacienti tratati cu placebo s-a constatat inrautatirea semnificativa a starii lor (86).

Studii izolate efectuate au raportat eficienta variabila a unor tratamente cu subtante ca Inosiplex combinat cu interferon beta (87), cu imunoglobuline intravenoase (88), ale utilizarii plasmaferezei si a corticosteroizilor. E necesara insa evaluarea suplimentara a consecintelor acestor tratamente inainte de a le utiliza drept agenti curativi esentiali in PESS.

In concluzie, niciunul dintre variantele de medicamente propuse pana la momentul actual nu a reusit sa impiedice definitiv evolutia bolii catre finalul sau dramatic, iar beneficiile, progresele induse de diferitele substante au fost doar temporare, reusind doar sa amane sfarsitul, sa prelungeasca viata pentru o scurta perioada de timp. Tratamentul nu modifica succesiunea etapelor clasice ale bolii, chiar daca el reuseste sa amelioreze starea clinica a pacientului prin regresia intr-o faza precoce.

Medicamentele care fac parte din terapia adjuvanta incearca sa imbunatateasca pe cat posibil calitatea vietii pacientilor, reducand simptomatologia insotitoare sau consecutiva complicatiilor.

Astazi, analizele statistice precum si experientele practice directe cu pacientii, indica faptul ca cea mai buna cale de a trata PESS este insasi preventia ei. Intrucat patogeneza bolii incrimineaza o infectie rujeolica drept cauza primara declansatoare a procesului fiziopatologic din PESS, masurile care se adreseaza impiedicarii contaminarii cu virusul rujeolic realizeaza de fapt cea mai buna metoda de preventie si de "tratament" a afectiunii neurologice ireversibile. Aceste masuri se adreseaza cu atat mai mult grupelor de persoane care prezinta un risc superior, cu susceptibilitate crescuta.

Preventia starilor de boala, ca nou imperativ pentru protectia sanatatii (in secolul XXI, ideea de sanatate a omului a fost inlocuita cu cea a sanatatii colectivitatilor umane - sanatatea comunitara), inseamna totalitatea metodelor si mijloacelor folosite in scopul cunoasterii riscurilor pentru sanatate, a neutralizarii actiunii acestora, a depistarii grupurilor populationale cu risc crescut, evitarii constituirii proceselor epidemiologice si identificarii cat mai precoce a starilor de preboala si boala. Ea are trei trepte, cu obiective diferite, recunoscandu-se o preventie primara, una secundara si cea tertiara, in functie de aspectele urmarite de fiecare dintre ele.

Preventia primara consta din totalitatea masurilor care urmaresc prevenirea unei boli sau a unor fenomene epidemice, precum si din promovarea factorilor sanogeni, in absenta starilor de preboala/boala. Printre obiectivele sale principale se numara: depistarea factorilor de agresiune pentru sanatate (prin supraveghere epidemiologica comunitara activa, multidisciplinara, prin screening), depistarea indivizilor/ grupurilor cu risc major fata de actiunea posibila a unor factori de agresiune, elaborarea, aplicarea si evaluarea eficientei medicale si social-economice a unor metode si mijloace de neutralizare a factorilor de agresiune la nivelul comunitatii (de exemplu imunizarile). Preventia secundara urmareste depistarea dezechilibrelor si diagnosticarea precoce a starilor de preboala, inaintea aparitiei semnelor clinice de debut sau de evolutivitate (executandu-se in paralel cu actiunile de preventie primara), avand ca obiective: depistarea indivizilor sau a grupurilor din populatie care au suferit anumite agresiuni determinand dezechilibre homeostatice in stadii reversibile, fara evidente clinice (stari de preboala), instituirea de programe de reechilibrare, refacere a sanatatii (cu abordare a pacientilor in ambulator sau cu in regim de dispensarizare). In final, preventia tertiara urmareste limitarea progresiei bolii manifeste, evitarea recaderilor sau recidivelor si intarzierea instalarii incapacitatii sau decesului. Aceasta presupune folosirea concomitenta a actiunilor de preventie primara si secundara pentru depistarea "activa" a starii de boala, in diferite stadii de evolutie - compensata, atipica, ignorata (actiuni dependente de entitatea nosologica si de nivelul educational al individului/ comunitatii), spitalizare pentru terapie reparatorie - recuperatorie, urmarirea ameliorarii indicatorilor de calitate a vietii.

Asadar, pe de o parte managementul PESS presupune un nivel de preventie tertiara, constand tocmai din terapia antivirala, cea imunostimulanta, cea simptomatica, dar si din asistenta recuperatorie, iar pe de alta parte supravegherea populatiilor susceptibile la a face boala sau care au fost expuse unor factori determinanti, incercandu-se eradicarea conditiilor care induc/ favorizeaza instalarea starii de boala - inglobate in strategiile de preventie primara si secundara.

Preventia primara a PESS consta de fapt in preventia aparitiei infectiei rujeolice mai ales la indivizii care fac parte din grupele de risc, respectiv in randul copiilor care au mai ales varsta mai mica de doi ani de zile, intrucat acestia au un sistem imunitar imatur, nedezvoltat, care nu poate asigura eliminarea eficienta a virusului rujeolic, fiind dimpotriva favorizata pesistenta infectiei. Acest lucru se realizeaza prin imunizarea activa impotriva rujeolei a unei proportii cat mai mari din randul celor expusi, lucru care se intampla prin organizarea unor campanii nationale de vaccinare, a caror efect asteptat este reducerea numarulu de cazuri nou-aparute de PESS. Se acorda o atentie suplimentara copiilor care provin din mediul rural (cu o sitiatie socio-economica precara), celor de sex masculin, in randul carora boala este mai frecventa si celor care prezinta alti factori de risc predispozanti.

XIII. RUJEOLA SI VACCINAREA ANTIRUJEOLICA

- O PROBLEMA DE SANATATE PUBLICA -

XIII.1 Date generale despre vaccinul antirujeolic

Rujeola este una dintre bolile contagioase cu importanta deosebita deoarece, in ciuda faptului ca rata complicatiilor sale nu este una foarte mare, infectiozitatea sa este atat de ridicata incat numarul persoanelor la care afectiunea se complica in cazul izbucnirii unei epidemii printre persoanele fara imunitate ar depasi repede resursele de asistenta din unitatile sanitare. Numarul persoanelor lipsite de imunitate este direct proportional cu rata de imunizare in populatia respectiva, aceasta determinand in aceeasi masura riscul aparitiei epidemiilor de rujeola.

In tarile dezvoltate, varsta medie de imunizare a copiilor este de 15 luni, actiunea realizandu-se cu ajutorul unui vaccin trivalent - vaccinul ROR (rujeola, oreion, rubeola). Vaccinarea nu se face mai devreme de aceasta data intrucat copiii au o imunitate tranzitorie, dobandita prin transmiterea transplacentara in cursul sarcinii a anticorpilor antirujeolici materni. O a doua doza de vaccinare se administreaza la varsta de 6-7 ani, atunci cand copiii sunt expusi in comunitate prin inscrierea in scoli, cu scopul de a sustine raspunsul imun determinat de prima doza. Cea de-a doua doza este indreptata doar care virusul rujeolic.

Dezvoltarea vaccinurilor vii atenuate impotriva rujeolei a inceput imediat dupa izolarea virusului de catre ENDERS si PEEBLES in anul 1954. La sfarsitul anilor 1950, studiile lui ENDES si colab. au avut drept rezultat dezvoltarea unui vaccin viu atenuat impotriva pojarului, dupa treceri succesive ale tipului Edmonston B viral in diferite culturi de celule. La jumatatea anilor 1960, un nou tip de vaccin hiperatenuat a fost dezvoltat, acesta fiind un premergator al vaccinurilor folosite in momentul actual impotriva pojarului. Principalele tipuri utilizate in prezent sunt: vaccinurile Schwartz, Moraten, Edmonston si Zagreb. Toate sunt vaccinuri vii atenuate.

Virusul continut in vaccin o forma vie atenuata a virusului rujeolic natural. Pentru obtinerea vaccinurilor, virusurile sunt "atenuate" prin procese speciale de cultivare, de adaptare virala, prin care se modifica virusul natural astfel incat prin introducerea in organism sa aiba un comportament diferit de infectia naturala. Prin cultivarea repetata a unei tuplini virale obtinute de la o persoana infectata pe celule de embrion de gaina, noul virus obtinut isi modifica genomul viral de asa natura incat isi pierde capaciatatea initiala de a se replica si de a creste nelimitat in celulele umane. Astfel, daca virusul natural se putea reproduce de sute de ori determinand infectii severe, prin pasaj de la o persoana la alta, fara a-si modifica insusirile, virusul transformat, "atenuat", injectat organismului, creste foarte putin, reproducandu-se probabil de mai putin de 20 de ori. Astfel se explica de ce, spre deosebire de virusul natural patogen, cel continut in vaccin nu produce boala, iar prin reproducerea sa foarte modesta reuseste sa induca imunitate doar, care este pentru toata viata. Ca marturie asupra eficacitatii vaccinului poate sta exemplul SUA, unde, cu un an inainte de introducerea vacinarii, in 1962, 4 milioane de persoane au fost diagnosticate cu pojar, dintre care doar 48.000 au reusit sa beneficieze de dispensarizare, iar 3.000 dintre eu au decedat. In 2005, la Centrul de Preventie si Control al Bolilor, au fost raportate numai 66 de cazuri de rujeola, atragandu-se atentia asupra faptului ca reusita eradicarii pojarului in SUA nu poate fi completa datorita posibilului neajuns pe care calatoriile in alte tari il pot aduce, prin importul virusului din regiuni endemice de catre indivizi expusi, neimunizati.

Vaccinurile ce contin valenta de rujeola pot fi monovalente, bivalente (combinate cu valenta de rubeola) sau trivalente (combinate cu valente de rubeola si oreion).

Referitor la oportunitatea momentului de administrare a celei de-a doua doze de vaccin ROR, opiniile au fost divergente. Tarziu, in anul 1998, in SUA, ACIP si AAP au cazut de comun acord asupra recomandarii ca vaccinul sa fie administrat la varsta gradinitei, insa abia in 2005 aceasta decizie a fost aplicata de toate statele. Diversitatea opiniilor asupra varstei potrivite de administrare a acestei doze se intalneste inca in Europa, in tarile in curs de dezvoltare vaccinul fiind administrat in cursul unor campanii in masa care se adreseaza unui interval mare de varste pornind din copilarie pana in adolescenta. Varsta optima de administrare a celei de a doua doze de vaccin antirujeolic nu a fost inca stabilita cu exactitate in baza unor criterii semnificative de imunogenicitate si reactivitate.

Literatura medicala semnaleaza 13 simptome considerate drept reactii adverse posibile ale vaccinarii antirujeolice, acestea fiind: febra, rinoreea, durerea in gat (faringita), tuse, ochii rosii (conjunctivita), greata, varsaturi, diaree, inflamatii ale cavitatii bucale/orofaringelui (jaw swelling???), swollen glands?? limfadenopatii, afectarea articulatiilor, cefalee si rash.

Intr-un studiu prospectiv publicat in Jurnalul Oficial al Academiei Americane a Pediatrilor si realizat pe copii din SUA de rasa alba, proveniti din mediul rural, sanatosi si vaccinati la timp conform calendarelor nationale, rezultatele au aratat ca trei dintre simptomele de mai sus (febra, rashul si diareea) au intr-adevar o frecventa mare in perioada imediat postvaccinala (primele doua saptamani) comparativ cu perioada de dinainte de administrarea vaccinului, sase dintre ele nu aveau valori semnificativ crescute iar 4 (rinita/guturaiul, tusea, faringita si cefaleea) erau chiar mai putin intalnite, rezultate constante indiferent de sezonul de administrare a vaccinului. Astfel, febra, diareea si rashul cutanat sunt mult mai frecvente in perioada postvaccinala, proportia copiilor cu mai mult de unul din aceste simptome fiind de 52% in saptamana a doua de la administrare (comparativ cu 21% in perioada care a precedat vaccinarea). In plus, aceste simptome se intalnesc in principal la copiii care au primit prima doza de ROR, mai putin de 6% dintre copiii mari care au primit a doua doza de ROR inregistrand efectele adverse. Studiul a scos in evidenta faptul ca aproximativ 18% din copiii care au primit prima doza din ROR intre 12 si 20 de luni de viata au prezentat febra, diaree si rash probabil asociate vaccinului, cu un debut in medie la 5-10 zile dupa injectare si cu o durata a simptomatologiei de 2 pana la 5 zile. Intrucat aceasta simptomatologie este foarte frecvent intalnita la aceasta varsta, s-a considerat ca doar 34% dintre copiii cu astfel de simptome in primele doua saptamani dupa administrare au suferit reactii adverse ale vaccinului. Rezultatele confirma concluziile studiilor precedente, sugerand faptul ca ROR I este unul dintre cele mai "reactogene"??? vaccinuri din programul imunizarilor de rutina. Spre deosebire de ROR I, "reactogenicitatea" ROR II este foarte scazuta, chiar si atunci cand este administrat la 10 ani de la prima doza, cand posibilitatea unui contact imunogen cu un virus salbatic va fi fost probabila. Ideea ca replicarea virusului vaccinal este mult mai putin probabila in cazul unei gazde imunizate decat in cazul unei gazde neimunizate anterior ar putea explica rata scazuta a efectelor adverse ale celei de-a doua doze vaccinale comparativ cu prima doza.

O diminuare postvaccinala a simptomelor respiratorii dupa administrarea ROR II in saptamana a patra a fost semnalata in studiul de mai sus, aceasta fiind raportata si de un studiu finlandez efectuat pe gemeni, al carui autor a sugerat ca "vaccinul ROR poate oferi practic o imunitate tranzitorie impotriva racelilor comune". Totusi ipoteza nu este suficient argumentata si dovedita, negasindu-se inca o explicatie plauzibila pentru a stabili o eventuala relatie de cauzalitate, astfel incat ea ramane o speculatie.

Concluziile cu privire la reactiile adverse legate de administrarea vaccinului arata ca acestea se inregistreaza la aproximativ unul din sase copii carora li se administreaza prima doza ROR, febra inalta aparand la aproximativ unul din 20, cu observatia ca foarte putine dintre cazuri necesita asistenta medicala. In cazul administrarii celei de a doua doze de ROR prescolarilor si scolarilor, efectele adverse nu se intalnesc decat foarte rar, fiind greu de identificat.

Un studiu observational prospectiv de cohorta realizat in SUA pe voluntari, ale carui rezultate au fost publicate in Arhivele Medicinei Pentru Copii si Adolescenti si care a evaluat persistenta anticorpilor antirijeolici dupa ce-a de-a doua doza ROR la copii vaccinati anterior cu pana la zece ani, a concluzionat, dupa analizele serului pacientilor, faptul ca titrul anticorpilor a persisistat in toate cazurile copiilor imunizati cu ROR II si urmariti pe toata perioada de follow-up (zece ani), fara sa se fi inregistrat vreun rezultat seronegativ. Titruri mai mici de 8 mIU/mL au fost considerate seronegative si semnificand susceptibilitate la rujeola, iar valori de 120 de mIU/mL sau mai mici au fost sugestive pentru predispozitia de a dobandi susceptibilitate la infectie. Valorile in scadere ale titrurilor de anticorpi antirujeolici sugereaza necesitatea mentinerii vigilentei in monitorizarea protectiei impotriva bolii a populatiei vaccinate.

XIII.2 Vaccinarea antirujeolica in programul national de imunizare in Romania

Vaccinarea antirujeolica in Romania se efectueaza cu un produs realizat de Institutul Cantacuzino, continand un vaccin viu supraatenuat, preparat din tulpina virala Schwarz, obtinut prin cultivarea pe fibroblasti de embrion de gaina. Vaccinul este disponibil sub forma liofilizata, cu 1, 3, 5 sau 10 doze/ fiola, livrat cu diluantul necesar pentru reconstituire. Culoarea in forma liofilizata este alb-galbuie, iar dupa reconstituire devine galben-rozacee. Conditiile de prezervare recomandate presupun temperaturi de 2-8 grade C, odata reconstituit vaccinul fiind necesar a fi utilizat in maxim o ora, iar pastrarea se va face chiar in casolete cu gheata si la intuneric.

Indicatiile vaccinarii se adreseaza copiilor fara antecedente de rujeola, care au implinit varsta de 9 luni de zile. Se realizeaza o primovaccinare la varsta de 9 luni cu 0,5 ml de vaccin injectat subcutanat, in regiunea deltoidiana, si o a doua doza identica primei la varsta de 7 ani, respectiv in clasa I, simultan cu vaccinul antidifteric si antitetanic, in cadrul unor campanii nationale de imunizare.

Schema de baza poate fi suplimentata cu vaccinarea, in campanii, a copiilor de 7-14 ani cu o singura doza de vaccin consemnata in documentele medicale si cu vaccinarea antirujeolo-rubeolica a fetelor de 15-18 ani.

Vaccinarea antirujeolica este contraindicata:

1. persoanelor care au in antecedente reactii de anafilaxie sau reactii anafilactoide la vaccinuri sau constituentele vaccinurilor (cu exceptia persoanelor desensibilizate);

2. in boli acute cu evolutie clinica moderata ori severa, cu sau fara febra. Decizia de a administra sau amana vaccinarea datorita unei boli febrile curente sau recente depinde de severitatea simptomelor si severitatea bolii.

Vaccinurile pot fi administrate in siguranta si cu eficacitate persoanelor cu boli usoare cum este diareea, infectiile usoare ale tractului respirator cu sau fara febra joasa, sau alte imbolnaviri cu febra joasa. Exista dovezi clare ca nevaccinarea copiilor cu afectiuni usoare impieteaza serios asupra eforturilor de obtinere ale acoperirii vaccinale convenabile. Majoritatea studiilor sustin ca persoanele cu afectiuni usoare pot fi in siguranta si eficient vaccinate. Persoanele cu afectiuni febrile moderate sau severe vor fi vaccinate imediat dupa faza acuta a bolii. Aceasta precautie evita suprapunerea reactiilor adverse la vaccin cu manifestarile bolii sau ca acestea din urma sa fie atribuite vaccinului. Examinarea medicala de rutina si masurarea temperaturii nu sunt manevre obligatorii inaintea vaccinarii unui sugar sau copil mic aparent sanatos. Ministerul Sanatatii recomanda ca parintele/tutorele sa fie intrebat daca pacientul este bolnav, sa se amane vaccinarea pentru cei cu boli cu clinica moderata sau severa si sa se vaccineze copiii care nu au contraindicatii.

Contraindica deasemenea administrarea produsului:

3. reatiile anafilactice severe la ou precum si

4. conditiile de imunodeficienta cunoscuta.

! Se recomanda insa vaccinarea persoanelor infectate HIV, chiar si celor simptomatice, datorita complicatiilor severe ale rujeolei la aceste categorii de bolnavi. Pacientilor HIV-pozitivi care primesc regulat imunoglobuline intravenos li se va administra vaccinul cu doua saptamani inainte de doza lunara de imunoglobuline.

XIII.3 Vaccinarea antirujeolica la nivel mondial

In tarile in curs de dezvoltare, vaccinarea antirujeolica a fost introdusa la sfarsitul anilor 1970, ca parte a Programului de Extindere a Vaccinarii. Au fost propuse cateva strategii de vaccinare pentru a opri mortalitatea asociata cu rujeola, in special in cazul copiilor foarte mici. O strategie reusita a fost propusa in anul 1987 in Cuba si a constat intr-o campanie de vaccinare sistematica pentru toti copiii cu varsta cuprinsa intre 9 luni si 14 ani.

Daca in tarile dezvoltate, ratele de imunizare au fost suficient de mari incat rujeola sa devina o boala relativ rara, in tarile in curs de dezvoltare ea ramane inca o problema comuna. Populatiile nevaccinate sunt expuse riscului de a face rujeola si ca dovada stau datele epidemiologice care urmeaza. Dupa scaderea ratei vaccinarii in Nordul Nigeriei la inceputul anilor 2000 datorita obiectiilor de natura religioasa si politica, a crescut foarte mult numarul cazurilor de rujeola si multi copii au murit in aceste conditii. In 2005, epidemiile de rujeola din Indiana au fost puse pe seama parintilor care au refuzat sa isi vaccineze copiii. Tot la inceputul anilor 2000, datorita controvesei privind legatura suspicionata dintre vaccinul ROR (vaccinarea copiilor anti rujeola, antioreion si antirubeola) si autism, a avut loc in Regatul Unit al Marii Britanii o revenire a rujeolei, parintii expunand-si in mod intentionat copiii la boala pentru a dobandi imunitate fara a recurge la vaccin. Aceasta actiune supune insa copilul unui mare risc de complicatii si a fost descurajata de autoritatile de sanatate publica. Reducerea ratei de imunizare activa a copiilor reprezinta cauza probabila raspunzatoare pentru cresterea incidentei rujeolei in Marea Britanie, 2006 fiind anul in care s-au inregistrat valori record ale cazurilor de boala aparute.

Potrivit OMS, rujeola reprezinta principala cauza de mortalitate infantila care poate fi prevenita prin intermediul vaccinarii. In intraga lume a scazut foarte mult rata imbolnavirilor prin rujeola (rata fatalitatii) datorita eforturilor depuse de partenerii implicati in Initiativa Antirujeola: Crucea Rosie Americana, Centrele pentru Controlul si Preventia Bolilor din Statele Unite, Fundatia Natiunilor Unite, UNICEF si OMS. La nivel global, rata de mortalitate prin rujeola a scazut cu pana la 60%, de la o valoare de aproximata la 873.000 de decese in 1999 la 345.000 in anul 2005. Cel mai mare declin a fost cunoscut in Africa, unde rata mortalitatii a scazut in fiecare an, ating 75% intr-un interval de 5 ani, de la 506.000 la 126.000 de decese.

Raportul facut de membrii Initiativei Antirujeola evidentiaza si un alt beneficiu al luptei impotriva rujeolei: "Campaniile de vaccinare antirujeola contribuie deasemenea la scaderea mortalitatii infantile si din alte cauze. Aceste strategii au devenit o modalitate prin care se realizeaza si alte interventii cu efect protector asupra vietii, cum sunt distribuirea de bed nets??,impotriva malariei, a medicamentelor incluse in programele mondiale de deparazitare a copiilor sau a suplimentelor de vitamina A. Intrepatrunderea programelor de imunizare impotriva rujeolei cu alte strategii de promovare a sanatatii contribuie la atingerea celei de a patra Prioritati de Dezvoltare a Mileniului: reducerea cu doua treimi a mortalitatii infantile intre anii 1990-2015.

Recent, in 2007, Japonia s-a transformat in cel mai important focar mondial de rujeola, inregistrand un numar record de cazuri de infectii, drept pentru care multe universitati precum si alte institutii au fost inchise temporar in incercarea de a limita transmiterea epidemiei.

La inceputul anilor 90', guvernele din statele de pe continentele americane, alaturi de Pan American Health Organization, au lansat un plan prin care se doreste obtinerea eradicarii celor trei boli infectioase - rujeola, oreion, rubeola - prin intermediul vaccinului trivalent ROR din ariile corespunzatoare de activitate. In prezent, in aceste regiuni, rujeola in randul populatiei indigene a fost eliminata in America de Nord, Centrala si de Sud, ultimul caz endemic fiind raportat la 12 noiembrie 2002.

Cu toate acestea, epidemii de rujeola inca se mai inregistreaza, insa ca o consecinta a "importului" virusului rujeolic din alte regiuni ale lumii. Ca exemplu, epidemia care a izbucnit in Boston in iunie 2006, a fost determinata de o persoana indigena care vizitase recent India. In 2005, o epidemie a aparut in randul populatiei neimunizate din statele Indiana si Illinois, care a avut ca punct de plecare o fata din Indiana care vizitase Romania fara sa fi fost vaccinata antirujeola. In Michigan, in vara anului 2007, a fost confirmat un caz de rujeola la o fetita care, se pare, fusese infectata peste ocean, cu toate ca primise vaccinul antirujeolic. Alte cel putin sase cazuri suspecte de rujeola anterior imunizate au fost semnalate.

Imediat ce legatura dintre PESS si etiologia rujeolica a fost facuta, s-a nascut si suspiciunea ca vaccinul antirujeolic ar putea sa produca si el boala, cu atat mai mult cu cat ea fusese corelata chiar cu infectia naturala cu virusul comun/obisnuit. Dupa revizuirea mai multor documente, atat dintre cele date publicitatii cat si dintre cele nepublicate, despre impactul imunizarii antirujeolice asupra epidemiolgiei PESS si in urma analizei atente a evidentelor statistice cu privire la aceasta problema, Comitetul Global de Avizare a Sigurantei Vaccinarii al OMS, cu sediul la Geneva, a prezentat la 13 ianuarie 2006 concluziile sale, in Raportul epidemiologic saptamanal. Acest raport prezinta punctele de vedere si recomandarile comune ale Agentiei de Protectie a Sanatatii a Regatului Unit al Marii Britanii (Health Protection Agency of the United Kingdom, HPA), ale expertilor Diviziei Bolilor Virale si Ricketsiozelor, precum si a Centrului National de Boli Infectioase. Datele epidemiologice au aratat faptul ca incidenta reala a PESS este de aproximativ 4 - 11 cazuri la 100 000 de cazuri de rujeola, insa posibilitatea de a face boala creste in masura in care infectia se produce mai devreme in cursul vietii ( incidenta fiind de 18 cazuri la 100 000 de cazuri de rujeola), fiind mentionat chiar un risc de 27.9 cazuri de PESS la 100 000 de cazuri de rujeola. In multe tari cu un control eficient al rujeolei s-a constatat o crestere a varstei de debut a PESS, faptul fiind corelat cu aparitia infectiei in contextul unei epidemii (when the disease was more prevalent).

Concluziile finale au stabilit faptul ca programele de imunizare antirujeolica efectuate cu succes asigura in mod direct, dar si indirect, protectie impotriva PESS, aceasta actiune explicandu-se prin faptul ca, prin eradicarea infectiei rujeolice, ele elimina PESS. In tarile cu un control eficient al rujeolei se observa o scadere a numarului cazurilor noi de PESS la cativa ani dupa descresterea incidentei rujeolei. In ciuda acestui lucru insa, datorita latentei corespunzatoare instalarii bolii dupa infectia virala, este nevoie de cel putin 5 ani de zile pentru a se putea sesiza o modificare a incidentei PESS, si de mai bine de 10 ani pana la obtinerea unei importante scaderi a valorii indicatorilor de boala. Chiar si cu eliminarea masiva a rujeolei, cazuri de PESS pot aparea inca la intervale de 20 pana la 30 de ani de la ultimile cazuri de rujeola, datorita.because of the skew of the latency distribution, reaparitii ale bolii fiind observate dupa noi epidemii de rujeola inregistrate dupa perioade considerabile de control al infectiei virale.

Un alt punct in Raport este acela care afirma ca datele epidemiologice, alaturi de cercetarile de genotipare virala pledeaza pentru faptul ca vaccinul antirujeolic nu provoaca PESS. Deasemenea, nu exista nicio dovada cum ca vaccinul antirujeolic ar putea sa accelereze evolutia PESS, sa o induca sau sa o declanseze la persoane care au dezvoltat boala in cursul vietii nefiind imunizati anterior. Boala poate aparea la o persoana care a primit vaccinul doar daca in momentul administrarii respectivul pacient avea deja o infectie cronica, persistenta, cu o tulpina salbatica de virus rujeolic. In cazurile in care PESS apare la persoane vaccinate, dar lipsite de orice antecedente personale sugestive pentru tabloul obisnuit al unei infectii rujeolice, se considera ca o infectie naturala nemanifesta clinic, "silentioasa" sau nesesizata la momentul desfasurarii, este responsabila de aparitia bolii, nu vaccinul.

Dupa ce au analizat cazurile de rujeola rezultate in urma micilor epidemii dintre 1989-1991 si cazurile de PESS atribuite lor (asocierea a fost facuta pe baza genotiparii virale cu PCR-RT sau pe baza informatiilor din cazurile clinice publicate), specialistii de de la Centrul National de Boli Infectioase si din Centrele de Preventie si Control al Bolilor din Atlanta, SUA, au apreciat faptul ca riscul relativ de a dezvolta PESS este de 10 ori mai mare decat cel calculat pentru anul 1982. Drept urmare au concluzionat faptul ca vaccinarea rujeolica previne mult mai mult aparitia PESS decat a fost estimat la inceput.

In tarile foarte dezvoltate, in care exista un control riguros al infectiei rujeolice datorita programelor de imunizare aplicate cu responsabilitate, cazurile de PESS nou diagnosticate sunt din ce in ce mai rare, boala fiind considerata virtual eliminata si, drept consecinta, uitata. Acest lucru face ca specialistii sa se gandesca tot mai rar la ea in diagnosticul diferential al bolilor neurologice, cu atat mai putin atunci cand se gasesc in fata unor cazuri care debuteaza cu o simptomatologie predominant din sfera psiho-comportamentala, sugerand o patologie mai degraba de competenta psihiatrica.

In aceste tari se petrece un fenomen asupra caruia se atrage tot mai mult atentia, intrucat pune o serie de probleme delicate, nu doar de natura medicala, dar si psihosociala, institutionala, legala. Este vorba despre faptul ca multe din cazurile recent diagnosticate de PESS se numara printre copiii proveniti din adoptiile internationale. Specialistii atrag atentia asupra acestor copii, intrucat un mare procent dintre ei si-au petrecut prima parte a copilariei institutionalizati in orfelinate aglomerate din Europa de Est, Rusia sau Asia, unde exista conditii care favorizeaza desfasurarea unor epidemii de rujeola si unde imunizarile sunt adesea non-protective. Se trage astfel un semnal de alarma, intrucat incidenta PESS in randul copiilor neimunizati antirujeolic este de 100-200 de ori mai mare decat in randul celor care au fost imunizati eficient.

*

Progreselele realizate in ultimul deceniu in dezvoltarea sistemelor de monitorizare si de supraveghere a ratelor de acoperire vaccinala, precum si in metodele de apreciere a impactului vaccinarii asupra bolilor care pot fi prevenite prin aceste actiuni au contribuit la adecvarea politicilor, a strategiilor si a programelor de sanatate publica. Extinderea acestor metode de abordare a sanatatii populatiei nu s-a observat doar in supravegherea mult mai eficienta a unor boli ca poliomielita sau rujeola. Efectele s-au reflectat si in preventia si controlul mai facile a unor afectiuni precum meningitele, rubeola, bolile transmise prin intermediul vectorilor (ca febra galbena si febra dengue). Consecintele s-au evidentiat in detectarea mai rapida a infectiilor emergente si a epidemiilor.

Ingrijorata ca, in medie la nivel mondial si in unele regiuni in special, rata de acoperire a programelor de imunizare a crescut insuficient dupa 1990, ca in anul 2003 peste 27 de milioane de copii din lumea intreaga erau neimunizati in primul an de viata, ca numarul copiilor cu varsta sub cinci ani de zile care mor datorita unor afectiuni care pot fi prevenite prin vaccinuri disponibile la acest moment a atins 1,4 milioane si ca 2,6 milioane de copii sub cinci ani mor anual prin boli care ar putea fi prevenite prin noi tipuri de vaccinuri, OMS, UNICEF si alti colaboratori au elaborat o serie de strategii in speranta atingerii pana in anul 2015 a unui scop major: "sa protejeze mai multi oameni impotriva mai multor afectuni prin extinderea accesului la programele de imunizare al fiecarei persoane eligibile, inclusiv al celor care depasesc varsta copilariei - acestea devenind prioritati nationale de sanatate publica".

Viziunea si strategia OMS si a UNICEF asupra imunizarii globale isi doreste sa incurajeze tarile sa lupte pentru atingerea scopurilor stabilite in the United Nations General Assembly Special Session on Children,sa adopte Viziunea si strategia de imunizare globala drept model de urmat pentru a-si consolida programele nationale de imunizare intre anii 2006 si 2015, in conditii de maxima echitate in ceea ce priveste accesul la imunizare, dorindu-se cresterea disponibilitatii vaccinurilor existente, dar si noi, si extinderea beneficiilor vaccinarii asupra altor programe de sanatate care privesc si alte grupe de varsta decat cea a copiilor. Imunizarea trebuie sa ramana o prioritate in agenda ministerelor de sanatate publica, ea trebuind sustinuta prin programe de planificare sistematica, de implementare, monitorizare si evaluare, dar si printr-o angajare financiara responsabila si asumata pe termen lung din partea statului.

PARTEA SPECIALA

I. OBIECTIVELE STUDIULUI

Obiectivele acestui studiu au in vedere urmatoarele probleme:

  • Descrierea unor aspecte legate de diagnosticul, evolutia și tratamentul PESS la pacientii urmariți in Clinica de Neuropediatrie a Spitalului de psihiatrie "Alexandru Obregia" din anul 2000 pana in prezent.
  • Relatia PESS - vaccinarea antirujeolica in Romania.
  • Sublinierea eventualilor factori care influenteaza incidenta rujeolei si a PESS in Romania.
  • Corelarea datelor obtinute cu cele din literatura de specialitate.
  • Realizarea unei predictii cu privire la numarul de cazuri la care specialistii s-ar putea astepta in urmatorii ani, raportandu-ne la cazurile de rujeola inregistrate.
  • Promovarea campaniilor de vaccinare antirujeolica.

II. MATERIALE SI METODE

In lucrarea de fata am efectuat un studiu clinic retrospectiv pe un lot de pacienti diagnosticati cu PESS in cadrul Clinicii de Neuropediatrie a Spitalului de psihiatrie "Alexandru Obregia" din Bucuresti, incepand din martie 2000 pana in februarie 2008. Datele utilizate provin din foile de observatie ale pacientilor, pentru trei dintre ei fiind disponibile doar informatiile inregistrate in biletele de externare preluate din baza de date centralizate pe sectie. Informatiile despre epidemiologia rujeolei au ca sursa site-ul public al Ministerului Sanatatii din Romania si Amar Statistic.

Lotul este alcatuit din 22 de pacienti, dintre care 15 sunt de sex masculin, iar 7 sunt de sex feminin, avand varste cuprinse intre 4 si 17 ani, cu media de varsta peste 7 ani. De interes medical este faptul ca, dintre acestia, 5 copii sunt de etnie rroma.

Integrarea informatiilor sub forma unei baze de date, prelucrarea si reprezentarea grafica a rezultatelor au fost realizate cu ajutorul programului Microsoft Office Excel 2003.

Pentru a caracteriza si evalua lotul de pacienti investigati si pentru a compara rezultatele obtinute in cadrul acestui studiu cu cele din literatura de specialitate, am urmarit urmatoarele criterii:

datele epidemiologice si demografice (varsta, sex, mediul de provenienta, rasa);

antecedente heredo-colaterale;

prezenta factorilor de risc (alte boli, statusul vaccinal);

forma de debut a bolii;

intervalul de timp dintre infectia rujeolica si primele semne de PESS;

intervalul de timp de la aparitia primelor semne de boala pana la instalarea stadiului de grabataj;

particularitati legate de investigatiile clinice;

particularitati ale tratamentului.

Datele obtinute au fost prelucrate folosind pentru comparatie datele din literatura de specialitate, iar ca metoda am utilizat studiul clinic.

Cazurile selectate au fost diagnosticate cu PESS utilizandu-se urmatoarele criterii:

criterii clinice sugestive (deficit cognitiv instalat insidios cu dezvoltarea disfunctiilor neurologice si motorii progresive, a dementei, cu evolutie spre deces);

titru ridicat al anticorpilor atirujeolici prezenti in LCR;

trasee caracteristice EEG.

III. REZULTATE SI DISCUTII

In urma desfasurarii studiului cu tema "Panecefalita sclerozanta subacuta la copil" s-au evidentiat urmatoarele aspecte:

1. In ceea ce priveste repartitia pe sexe:

Am observat ca din totalul pacientilor studiati 15 sunt de sex masculin, iar 7 de sex feminin. Exprimand in procente, 68% sunt baieti, 32% fete.

Raportul baieti/ fete este de aproximativ 2,1: 1, frecventa bolii fiind dubla la baieti, confirmand astfel datele din literatura care demonstreaza faptul ca sexul masculin reprezinta un factor de risc pentru PESS.

2. Analizand informatiile cu privire la istoricul rujeolei (ca factor etiopatogenic esential) si al bolilor eruptive ale copilariei, retinem ca datele au un caracter inexact, incert la mai mult de jumatate din pacienti, neexistand niciun fel de atestare documentara medicala.

In 12 cazuri istoricul de rujeola a fost afirmativ, in 4 cazuri parintii copiilor au negat antecedentele de rujeola sau de boli contagioase, iar 5 apartinatori nu au putut da informatii exacte despre afectiunile eruptive ale copilariei; 1 apartinator confirma o boala eruptiva pentru unul dintre copii la varsta de 8 ani, fara a putea specifica etiologia sa.

Un alt aspect notabil a fost acela ca istoricul vaccinarilor nu a fost confirmat prin prezenta carnetului de vaccinari, marturia depusa de parinti/apartinatori fiind singura sursa de date. Din declaratiile acestora, vaccinul antirujeolic a fost administrat in 6 cazuri de boala conform Schemelor Ministerului Sanatatii, alte 8 cazuri au afirmat ca nu le-a fost aplicat programul de vaccinare/a fost aplicat incomplet (lipsind vaccinul antirujeolic), restul cazurilor, in numar de 8, neputand preciza niciuna dintre aceste date.

3. Un fapt esential constatat este a cela ca 8 dintre copiii cu antecedente pozitive de rujeola manifesta clinic au facut infectia inainte de implinirea varstei de 2 ani, ceilalti 4 imbolnavindu-se in jurul varstei de 6 ani.

Dintre cele 8 cazuri de copii nevaccinati conform marturiilor parintilor, 3 au facut rujeola inainte de 1 an, iar un copil s-a imbolnavit pana la implinirea a 2 ani.

Un caz care atrage atentia in mod deosebit este acela al unui baietel ai carui parinti confirma faptul ca acesta a primit trei doze din vaccinul antirujeolic. Din antecedentele personale patologice, ei sustin ca baiatul a avut o singura data in viata o boala eruptiva, respectiv la varsta de 8 ani de zile.

4. Privind mediul de provenienta al copiilor, am constatat ca 12 dintre ei sunt din mediul urban, doar 10 avand domiciliul in mediul rural.

Procentele aproximativ egale cu privire la provenienta pacientilor studiati nu verifica la prima vedere datele furnizate de literatura de specialitate.

5. S-a constatat un fapt important cu privire la frecventa semnificativa a PESS in randul copiilor de etnie rroma. 4 dintre copii apartin acestei etnii. Atrage atentia procentul obtinut de 18,18%.

Date similare au fost semnalate si intr-un studiul recent realizat tot in Clinica de neuropediatrie a Spitalului "Alexandru Obregia", insa pe un lot de pacienti semnificativ mai mare, numarand 95 de copii , si pe o perioada mult mai indelungata de timp (1990 - 2007). Analizele statistice au aratat in acest studiu ca 32,63% din pacienti apartin acestei categorii etnice. Explicarea fenomenului ar consta in complianta scazuta a acestor pacienti fata de programele de vaccinare aplicate de catre medicii specialisti in Medicina Generala, aspect intalnit in mod similar in cazul celor care habiteaza in mediul rural.

Deasemenea, acoperirea deficitara a zonelor rurale cu medici generalisti, datorita in mare masura absentei facilitatilor medicale care sa ii atraga in aceste arii, poate contribui la aplicarea ineficienta a programelor nationale de vaccinare. Aceasta insuficienta este cu atat mai importanta cu cat in Romania exista o proportie considerabilla de locuitori in mediul rural (avem una dintre cele mai mari comunitati rurale din Europa, respectiv 60% din populatie traieste in aceaste conditii), care, se pare, sunt mult mai necomplianti fata de masurile recomandate de Ministerul Sanatatii.

6. Varsta de debut a bolii a inregistrat o valoare minima de 4 ani (47 de luni) si una maxima de 16 ani si 10 luni (202 luni). Intervalul cel mai frecvent in care s-au situat pacientii a fost cuprins intre 6 si 13 ani.

7. Pentru cei 10 copii cu antecedente patologice pozitive pentru rujeola, intervalul de timp care se se desfasoara intre evenimentul infectios initial si debutul primelor semne de boala cronica se afla situat intre 3 si 7 ani.

8. Dintre manifestarile clinice intalnite la debutul bolii, pana la prezentarea la medic, le amintim pe urmatoarele, remarcandu-se corespondenta lor cu un anumit stadiu evolutiv (conform stadializarii Jabbour):

regresul psihic si intelectual, scaderea performantelor scolare

tulburari de comportament (ras nemotivat, dezinteres fata de propria igiena, indiferenta fata de activitatile zilnice)

tulburari de afectivitate (speriat)

tulburari de agnozie (dezorientare)

tulburari de memorie si de atentie

dementa progresiva

tulburari de afazie ( de intelegere a mesajelor, de receptionare; de exprimare verbala, de slabire in intensitate a vocii, de articulare a cuvintelor/ pronuntie incorecta a cuvintelor)

mioclonii (axiale, la nivelul membrelor) - adesea apar sub forma de "tresariri" ale membrelor

crize akinetice (cu pierderea brusca a tonusului postural la nivelul membrelor, a musculaturii axiale, insotite adesesea de caderea capului, a trunchiului sau chiar caderea din picioare atunci cand pacientul se afla in ortostatism)

manifestari epileptiforme (in 3 cazuri)

tulburari de mers (datorita derobarilor, pierderii de tonus, a parazitarii determinate de mioclonii, a pierderii echilibrului - in doar 4 cazuri)

Foarte rar, au mai fost semnalate:

crize de pierdere a starii de constienta (2 cazuri)

debutul in somn al semnelor (in doar 2 dintre cazuri)

fenomene de pavor nocturn (in 2 cazuri)

tulburari de vedere (un singur caz)

sindrom hiperkinetic (un singur caz)

9. Dintre acestea, cele mai frecvente manifestari clinice de debut care aduc pacientul la medic par a fi:

regresul psihic si intelectual (in 13 dintre cazuri)

crizele akinetice (in 11 dintre cazuri)

miocloniile (in 11 dintre cazuri) - imbracand forma de "tresariri" in 5 cazuri

tulburarile afazice apar mai putin frecvent de la debut, in doar 4 cazuri.

Crizele akinetice se adauga primelor manifestari in alte 5 cazuri in stadiul precoce al bolii, pana la prezentarea la medic si antreneaza adesea caderea copilului la podea atunci cand pierderea tonusului are loc in pozitia ortostastatica.

10. La prezentarea in serviciul de neuropediatrie, elementele care se constata cel mai frecvent in momentul diagnosticului de PESS la examenul general, neurologic si psihiatric/ psihologic sunt urmatoarele:

crizele akinetice - 16 dintre pacienti au avut crize cu pierderea tonusului (insotite chiar de caderea din picioare) pana la prezentarea la medic

deficitul psiho-intelectual (in 14 dintre cazuri)

tulburarile de limbaj (in 11 cazuri)

miocloniile (in 12 cazuri)

tulburarile de mers (in 8 dintre cazuri)

deficitul cognitiv manifestat prin apraxia operationala (in 9 dintre cazuri) si prin tulburari de atentie si memorie (in 4 cazuri).

Mai rare sunt:

tulburarile de comportament si de afectivitate (respectiv in 3 si 4 cazuri)

tremorul postural/ intentional, spontan sau evidentiat prin diferite probe examinatorii (cum este proba indice-nas), se remarca in 5 dintre cazuri.

Observam in graficul de mai jos faptul ca majoritatea manifestarilor principale specifice pentru PESS apar de la inceputul bolii, fiind sesizate inainte de prezentarea la medic intr-un interval de timp variabil de la caz la caz, dependent probabil de cultura si educatia apartinatorilor, de intensitatea semnelor, de gradul de invalidare, etc.

11. Manifestarile epileptiforme identificate in tabloul clinic al acestor pacienti au fost de tipul:

crize tonico-clonice generalizate (aparute in 3 cazuri, ca modalitate de debut insa)

crize focale de tipul unor absente atipice, insotite de privire fixa, cu oprire din activitate si neresponsivitate, fara fenomene postcritice (un singur caz, de la debut)

stare de rau convulsiv (determina internarea intr-un singur caz si apare dupa instalarea altor semne precoce de boala).

In studiul intreprins anterior in Spitalul Al. Obregia de catre o echipa de specialisti in neuropediatrie, s-a constatat ca manifestarile epileptifome generalizate apar mai degraba in cursul evolutiei bolii decat la debutul ei, spre deosebire de crizele focale, mai des intalnite ca prima manifestare de debut. Ei nu au putut sa stabileasca nicio corelatie intre durata, frecventa, varsta de instalare, tipul manifestarilor epileptiforme si prognosticul bolii.

12. Incadrand simptomatologia bolii dupa criteriile de clasificare Jabbour, am obtinut urmatoarele date referitor la stadializarea bolii:

Medicul specialist surprinde pacientii in diferite momente ale bolii dupa cum urmeaza:

- din cele 22 de cazuri care s-au prezentat in Clinica, diagnosticul i-a surprins pe 17 dintre ei in stadiile IIA/ IIB de boala;

- 3 sunt diagnosticati in stadiul III A/ IIIB;

- doar 2 copii se prezinta la medicul specialist in stadiul IB de boala.

Debutul bolii este sesizat de catre parinti sau de catre medici cu alte specializari decat neurologia pediatrica atunci cand pacientii se afla predominant in stadiile IB si II A, de obicei atunci cand regresului psiho-intelectual i se adauga si un alt eveniment mai putin obisnuit si care afecteaza calitatea vietii copilului intr-un mod mai evident (cum sunt crizele akinetice foarte variate ca forma de prezentare, tulburarile de mers, miocloniile care progreseaza sau manifestarile epileptiforme, etc.).

13. Intervalul de timp interpus intre momentul aparitiei primelor semne de boala (ale debutului) si cel al punerii diagnosticului in clinica de specialitate a variat intre: 1 saptamana (5 zile) si 6 luni de zile, dupa cum urmeaza:

1 copil s-a prezentat la medicul neuropediatru la 5 zile de la debut

3 copii au fost adusi dupa 2 saptamani de la primele manifestari

8 copii au ajuns la medicul specialist intr-o luna (1 luna)

6 copii au fost diagnosticati la 2 luni de la debut

2 copii au fost diagnosticati la 3 luni

Cate un copil a fost diagnosticat la 4, respectiv 6 luni de la de identificarea primelor semne de boala.

Analizand cazurile celor doi copii carora diagnosticul li s-a pus cu o oarecare latenta comparativ cu ceilalti pacienti din lot am observat urmatoarele aspecte:

ei se numara printre cei copiii mari din studiu, avand unul varsta de 11 ani si 2 luni la debutul primelor semne, iar celalalt fiind extrema superioara de varsta a lotului la momentul instalarii bolii (16 ani si 4 luni).

parintii ambilor copiii neaga rujeola in copilarie, insa nu pot da informatii cu privire la vaccinare.

Debutul in cazul copilului mai mare se realizeaza prin manifestari atipice de boala: crize de suspendare a starii de constienta, din veghe, cu privire fixa, cu oprire din activitate, insotite de neresponsivitate si de caderea capului spre stanga, cu durata de 10-15 secunde insa, cu 10-15 crize in cursul unei zile; este internata succesiv in serviciile de pediatrie si de neuropediatrie teritoriale in decurs de 5 luni, de unde primeste tratament neurotrop (sub care crizele dispar, pana la intreruperea lui, cand reapar), cu Orfiril si Carbamazepina (nu modifica evolutia), Depakine si Ederen (care nu amelioreaza evolutia bolii); este internata in serviciul de psihiatrie a Spitalului Alexandru Obregia, de unde, datorita cresterii in frecventa a crizelor atone cu suspendarea starii de constienta si cadere la sol este transferata in Clinica de Neuropediatrie, unde EEG dezvaluie aspectul de varf-unda cu durata de 3,5 c/s. Un alt aspect care atrage atentia la acest pacient este acela ca degradarea psihointelectuala nu este prezenta.

In cazul celui de-al doilea copil, unde debutul bolii se realizeaza prin mioclonii axiale (initial mai rare, se inmultesc pe parcursul bolii, se extind de la extremitatea cefalica si cuprind membrele afectandu-le activitatile), se inregistreaza deasemenea internari succesive in serviciile de: boli contagioase si de pediatrie din alt centru universitar precum si intr-un serviciu de neuropediatrie teritorial, unde se ridica suspiciunea de PESS si pacientul este indreptat catre o investigare mai amanuntita in aceasta clinica.

14. Jumatate dintre copii, respectiv 11, au putut fi supravegheati in Clinica Spitalului Al. Obregia pe o perioada mai lunga a evolutiei bolii, pana spre finalul vietii, restul primind ingrijirile necesare in serviciile medicale teritoriale. 10 copiii s-au prezentat in cursul evolutiei pe sectie in stadiul III de boala (2 dintre ei in IIIA, 8 in IIIB).

Urmarindu-le rata de progresie a bolii din momentul debutului primelor semne clinice pana la atingerea stadiului de grabataj, am constatat faptul ca:

4 dintre copii au avut o evolutie extrem de rapida a bolii, ajungand dependenti de pat in doar o luna de la debut;

1 copil a ajuns in stadiul IIIB in 2 luni de zile;

4 copiii au atins stadiul de grabataj in aproximativ 3 luni de la primele semne;numai 2 copii au avut o evolutie lent progresiva, cu instalarea disfunctiilor majore la mai mult de 7 luni de zile.

15. In stadiul de grabataj au putut fi observate:

- instalarea disfunctiilor vegetative (cu pierderea continentei sfincteriene);

- alterarea progresiva a starii de constienta si imposibilitatea comunicarii verbale (mutism);

- diferite grade de rigiditate musculara, cu semne specifice de decorticare sau de decerebrare, sugestive nivelul de deteriorare al substantei cerebrale;

- hipertermia

centrala ( >38,5 grade Celsius) observata la 5 dintre pacienti, ca dovada a pierderii functiei de termoreglare consecutiv alterarii centrilor hipotalamici, cu fluctuatii importante ale temperaturii corpului.

16. In vederea diagnosticului s-au efectuat analize ale sangelui si ale LCR. Valorile din sange ale parametrilor urmariti au fost fara modificari deosebite. Au atras atentia unele modificari nespecifice ale LCR, inregistrandu-se valori usor crescute pentru media de varsta respectiva ale albuminorahiei si a elementelor celulare. Aceste valori, corelate cu absenta hipoglicorahiei pledeaza pentru infectia cronica a SNC.

Dozarea anticorpilor antirujeolici, ca modificari specifice de boala, a evidentiat titruri ridicate in randul celor de tip IgG, la dilutii cuprinse in intervalul 1/640 - 1/2560, ceea ce a fost argumentul major pentru diagnosticul de PESS, respectiv de infectie cronica a SNC cu virusul rujeolic, avand in vederea corelarea cu manifestarile clinice sugestive. Anticorpii antirujeolici de tip IgM au fost absenti.

Criteriul urmarit

Numarul copiilor cu valori modificate din lot

albuminorahia >0,30 g/dl

21 de copii

pleiocitoza >5 elemente/mm3

7 copii

hipoglicorahie

niciun copil

Ac antirujeolici tip IgG

22 de copii

Ac antirujeolici tip IgM

niciun copil

Trebuie notat faptul ca cea mai mare albuminorahie, cu valoare de 0,86 g/dl (mult crescuta pentru media de varsta), a fost intalnita la un copil de 16 ani, de sex masculin, de etnie rroma, depistat HIV pozitiv. Este singurul pacient diagnosticat cu infectie HIV din lot, care are un istoric cu multiple internari in spitale in primul an de viata, din cauza faptului ca nu inregistra crestere ponderala.

17. Electroencefalograma (EEG) a fost utilizata ca fiind cea mai facila si mai economica dintre investigatiile neinvazive specifice pentru PESS, capabila sa furnizeze informatii care sa orienteze diagnosticul, dar in acelasi timp sa aprecieze si prognosticul, gravitatea bolii atunci cand este urmarita in dinamica.

Evaluand EEG-urile pacientilor efectuate cu ocazia internarilor si revenirilor ulterioare in spital, am observat ca cele mai frecvente modificari patologice sunt reprezentate de niste complexe de unde lente bi- sau trifazice, repetitive, periodice/cvasiperiodice. Acestea apar pe parcursul unui traseu de fond deasemenea modificat, constituit din unde lente difuz, in banda teta sau beta. Complexele specifice Rademacker "bruiaza" periodic traseul de fond, la un interval de timp cu limitele cuprinse cel mai frecvent intre 7 si12 secunde, existand si cazuri cu repetarea mai deasa, dar si mai rara a elementelor anormale.

Urmarind evolutia modificarilor EEG la inregistrari succesive, a putut fi observat faptul ca pe masura ce boala progreseaza, aspectul traseului de fond devine din ce in ce mai dezorganizat, cu unde tot mai lente, care pot fi corelate cu stadiul bolii, asa cum si amplitudinea inregistrarilor scade vizibil pe masura ce decesul se apropie. EEG-urile pacientilor care au putut fi evaluati in stadiul de grabataj au inregistrat mereu trasee de fond in banda delta intrerupte de complexele bi- sau trifazice de amplitudine inalta. Este posibil ca pe masura ce starea pacientilor se agraveaza intervalul de timp dintre complexele Rademacker sa scada, acestea devenind din ce in ce mai dese.

Trebuie subliniat un aspect deosebit de important, care este specific bolii, si anume acela ca manifestarile mioclonice variate, atunci cand apar in evolutie, sunt intotdeauna sincrone cu inregistrarea pe EEG a complexelor Rademacker. Toti cei 11 pacienti din lot care au preuentat mioclonii au verificat aceasta caracteristica mentionata si in literatura de specialitate. Aceste inregistrari tipice au putut fi evidentiate la doi pacienti in absenta miocloniilor specifice periodice si repetitive, la examenul clinic notandu-se alte semne clinice patologice decat acestea.

Raspunsul la tratament poate fi evidentiat EEG. De cele mai multe ori are loc o ameliorare a traseului de fond care coincide in cele mai multe cazuri cu imbunatatirea starii clinice si diminuarea simptomatologiei. Traseul de fond devine mai putin dezorganizat, insa complexele specifice, desi cunosc uneori o scadere a amplitudinii, nu dispar niciodata. Ameliorarile EEG, ca si cele clinice dealtfel, sunt intotdeauna tranzitorii si pe masura ce afectiunea evolueaza modificarile patologice reapar si se agraveaza.

Exemplificam in cele ce urmeaza evolutia EEG in cazul unui pacient in varsta de 7 ani, de etnie rroma, cu rujeola in antecedentele patologice la varsta de 4 luni, cu antecedentele personale fiziologice si dezvoltarea psiho-motorie pe etape de varsta normale. Este un caz cu debut al bolii printr-o criza epileptica tonico-clonica generalizata insotita de manifestari postcritice, care se repeta dupa un interval de timp, acestea fiind urmate apoi de aparitia miocloniilor si de dezvoltarea regresului psiho-intelectual. Se remarca prezenta complexelor specifice trifazice, lipsite insa de periodicitate, si aspectul dezorganizat al traseului de fond la internare, ameliorarea evidenta la repetarea EEG dupa o saptamana de tratament, precum si deteriorarea marcata a inregistrarilor pe masura ce boala progreseaza.

Fig. 1. EEG la internare: trasee de fond lente, cu descarcari de varf-unda si polivarf-unda simetrice, repetitive, fara periodicitate, izolate sau in salve.

Fig. 2: EEG dupa o saptamana de tratament cu Carbamazepina si Isoprinosine. Traseele de fond sunt ameliorate, cu descarcari periodice de unde lente, ample, generalizate, bilateral sincrone, aparute la 6 secunde.

Fig. 3: EEG la o luna dupa diagnostic, timp in care a urmat tratamentul prescris. Agravarea simptomatologiei este insotita de inregistrarea unui traseu de fond lent difuz (predominant in banda delta), cu descarcari periodice, la 5 secunde, de unde trifazice generalizate.

18. Tratamentul administrat copiilor in clinica a fost pe de o parte patogen, pe de alta parte simptomatic.

Tratamentul patogen a inclus in toate cele 22 de cazuri Isoprinosine si Cortizon/sau ACTH (Dexametazona, Prednison, Synachten R). Doar unul dintre copii a primit tratament cu Interferon asociat la Isoprinosine si evolutia bolii s-a facut in maniera lent progresiva, atingand stadiul III Jabbour in 4 ani de la diagnostic. Maniera in care tratamentul influenteaza evolutia bolii nu poate fi exact stabilita. In orice caz, 9 dintre pacienti au cunoscut o evolutie rapid progresiva, atingand stadiul de grabataj in mai putin de 7 luni, iar despre restul nu se cunosc informatii ulterioare, intrucat nu au mai revenit la control in clinica, primind probabil asistenta medicala in serviciile teritoriale de sanatate publica.

Tratamentul simptomatic a avut ca reprezentant principal Carbamazepina (denumiri comerciale: Timonil, Tegretol, Finlepsin, capsule/sirop), blocant al canalelor de sodiu voltaj dependente, utilizata ca indicatie majora in crizele tipice de grand-mal si in crizele partiale. Desi este cunoscut faptul ca poate agrava miocloniile, Carbamazepina este utilizata in PESS datorita efectului sau particular asupra asupra manifestarilor de acest gen. Practica a confirmat ca miocloniile din PESS raspund cel mai bine la acest derivat inrudit chimic cu antidepresivele triciclice (derivat N carbamil al iminostilbenului). De obicei miocloniile si crizele akinetice dispar sau se amelioreaza pentru o perioada care variaza de la caz la caz, in functie de particularitatile constitutive ale organismelor, de tipul de evolutie al bolii, de factorii de risc asociati, etc. De cele mai multe ori remisia manifestarilor clinice a coincis si cu ameliorarea anomaliilor EEG, cu inregistrarea unor trasee mai putin dezorganizate.

Alte substante utilizate in tratamentul simptomatic au fost:

Acidul valproic/Valproatul de sodiu (Convulex R, Depakine R) - in crizele tonico-clonice reale si in absentele atipice;

Clonazepam (Rivotril R);

Acetazolamida (Ederen R);

Haloperidol;

Manitol - pentru edemul cerebral asociat adesea in evolutie;

Vitamine din grupul B, vitamina C, PEV cu Glucoza 5% si ser fiziologic.

Departe de a fi satisfacator in ceea ce priveste prognosticul pacientilor cu PESS, tratamentul patogen ramane un subiect care asteapta noi descoperiri si imbunatatiri in viitor.

19. Pentru o mai buna corelare a PESS cu rujeola, este util sa aducem in atentie o serie de aspecte legate de evolutia si controlul acestei boli contagioase in Romania. Urmarind incidenta rujeolei, pe care o redam in graficul alaturat, facem urmatoarele observatii asupra istoricului epidemiologic:

- pana in 1979, cand a fost introdus programul de vaccinare antirujeolica obligatorie cu o singura doza (continand tulpini Scwartz virale), incidenta rujeolei varia intre 60,000-150,000 de cazuri de imbolnaviri raportate anual;

- dupa 1979, cifra anuala a cazurilor de rujeola s-a mentinut sub valoarea de 5000 de cazuri anual, exceptie facand anii in care au avut loc epidemii majore, cand s-au inregistrat intre 30,000-60,000 de cazuri.

- In anul 1995 se introduce in Romania a doua doza obligatorie de vaccin antirujeolic in programul national de vaccinare;

- In pofida ariei mari de acoperire vaccinala cu o singura doza de vaccin si a introducerii celei de-a doua doze, intre anii 1996 - 1998 are loc o epidemie majora numarand peste 33,000 de cazuri de boala si 23 de decese; datele epidemiologice au relevat faptul ca majoritatea imbolnavirilor s-au petrecut in randul scolarilor care aveau administrata o doza de vaccin antirujeolic; studiile efectuate au demonstrat ca eficienta vaccinului romanesc utilizat atingea valori de 90%, insa acoperirea asigurata de aplicarea lui nu era suficient de mare incat sa previna epidemiile periodice de rujeola;

- Pentru prevenirea viitoarelor epidemii, pentru impiedicarea transmiterii virusului si pentru atingerea unei imunitati ridicate in randul populatiei, s-a intreprins in perioada octombrie 1999 - decembrie 2001 o campanie de vaccinare in masa impotriva rujeolei si a rubeolei; ea a vizat toti copiii cu varste cuprinse intre 7 si 18 ani; toti au primit a doua doza de vaccin antirujeola, exceptie facand fetele cu varste cuprinse intre 15 - 18 ani carora li s-a adminstrat un preparat cu valente de rujeola si rubeola; este prima data cand se aplica la nivel national vaccinul antirubeola; in felul acesta se realizeaza o aliniere la intentiile OMS in ceea ce priveste programele sale de eradicare a unor boli contagioase; tot acum se realizeaza o imbunatatire a programelor nationale de supraveghere a bolilor;

- Analizele statistice efectuate pentru evaluarea rezultatelor campaniei de vaccinare in masa au aratat faptul ca vaccinarea cu doua doze asigura o acoperire net superioara fata de cea cu o singura doza;

- Un alt fapt deosebit de important asupra caruia se atrage atentia este acela ca adultii tineri pot avea o susceptibiliate mult mai mare de a contacta rujeola decat copiii scolarizati sau adultii cu varste mai mari; studiile de seroprevalenta au aratat ca peste un ¼ din populatia neprotejata face parte din aceasta grupa de varsta;

- Deasemenea adolescentii din intervalul 16 - 18 ani sunt cei care au nivelele cele mai scazute ale imunitatii si ratei de acoperire vaccinale dintre copiii scolarizati, respectiv <90% fata de un procent de >95% care a fost inregistrat la copiii cu varste intre 7 - 16 ani.

- Rezultatele post-campanie au evidentiat urmatoarele:

ca adultii din Romania care nu mai sunt scolarizati beneficiaza intr-o foarte mica masura de programele de vaccinare;

grupurile greu de abordat prin campaniile de imunizare de rutina dar si cele suplimentare sunt reprezentate de:

  • copiii persoanelor viagere, atat din zona rurala cat si din cea urbana; o categorie aparte este reprezentata de copiii familiilor de rromi;
  • persoanele care lucreaza in serviciile de asistenta sanitara;
  • adultii tineri din afara scolii care nu au primit a doua doza de  vaccin.

3. Rata de acoperire vaccinala obtinuta in urma eforturilor partenerilor (apreciata prin extrapolarea rezultatelor obtinute in urma unui studiu realizat la nivelul a trei judete) implicati in aceasta campanie a demonstrat, prin depasirea valorii propuse de OMS, ca eradicarea rujeolei in Romania este un deziderat care poate fi atins.

- In anii 2005 si 2006, dupa un control excelent al raspandirii bolii (cu mai putin de 117 cazuri de rujeola in 4 ani consecutiv, in intervalul 2000-2003) este semnalata din nou o epidemie de rujeola, cu respectiv 5033 si 3718 (3069 confirmate serologic in 2006) cazuri de imbolnaviri raportate la nivelul Centrului de Calcul si Statistica Sanitara. Gravitatea fenomenului consta in faptul ca majoritatea cazurilor de rujeola este constatata la sugari.

- O analiza statistica efectuata la nivel national asupra bolilor transmisibile prioritare in Romania in perioada 2004-2006 de catre Centrul pentru Prevenirea si Controlul Bolilor Transmisibile a constatat faptul ca pe primul loc al incidentei se afla grupa de varsta sub 1 an, in conditiile introducerii vaccinarii obligatorii cu VVR (vaccin cu virus viu rujeolos) la copiii cu varste cuprinse intre 7-11 luni (Ord. Comun MS/CNAS nr.1280/243(30.11.2005). Atrage atentia faptul ca un procent de 87,1% s-a inregistrat la cei nevaccinati si 10% la cei vaccinati cu o doza.

- La grupa de varsta 1-4 ani, precum si la grupa de varsta 5-9 ani se observa faptul ca nu exista o diferenta intre ponderea cazurilor de rujeola inregistrate la copiii nevaccinati si la cei vaccinati cu o doza, iar ponderea cazurilor la care antecedentele vaccinale nu sunt cunoscute este aproximativ egala.

- La grupa de varsta 5-9 ani, 9% din cazuri au aparut la copii cu 2 doze de vaccin in antecedente.

- Caracteristica acestei epidemii a fost transmiterea nosocomiala a bolii, aspect nerecunoascut intotdeauna de catre unitatile sanitare.

Intrucat lotul pe care l-am studiat a fost alcatuit dintr-un numar redus de pacienti, datele nu au fost intotdeauna exacte iar evolutia pacientilor a fost cunoscuta doar pentru un procent dintre acestia, consideram ca in finalul studiului nostru retrospectiv ne putem permite a face doar niste observatii si speculatii fara pretentia de norma, de regula.

1. Atragem atentia asupra procentului

DISCUTII

In incercarea de a preveni aparitia PESS la copii si adulti, afectiune care impresioneaza nu doar prin faptul ca inca este incurabila, dar si prin evolutia in sine, prin degradarea psiho-intelectuala si fizica, intampinam toate dificultatile pe care le presupune aplicarea unui program de vaccinare intr-o tara in curs de dezvoltare cu o serie de particularitati care atrag atentia.

Analizand cazurile celor 12 copii care au confirmat rujeola in antecedente si a celui care a avut o boala eruptiva in copilarie am sesizat faptul ca intervalul de varsta al imbolnavirilor este cuprins intre anii 1993 (un singur caz) si 1999 (doua cazuri). 10 cazuri dintre acestia au contactat rujeola intre 1996 - 1998, perioada cunoscuta pentru epidemia masiva care a afectat in special copiii cu varste scolare.

In incercarea de a investiga antecedentele patologice si cele legate de vaccinari, am intampinat o dificultate legata de faptul ca majoritatea copiilor nu poate da informatii certe despre istoricul lor medical. Obervam astfel utilitatea pe care ar avea-o intocmirea si completarea de rutina a unor carnete de sanatate si de vaccinare, care sa insoteasca de fiecare data pacientul atunci cand acesta se prezinta la medic. In acest fel diagnosticul precum si orientarea asupra patologiei din partea medicului ar fi mult mai facila, mai eficienta si mai sigura.



Politica de confidentialitate | Termeni si conditii de utilizare



DISTRIBUIE DOCUMENTUL

Comentarii


Vizualizari: 8814
Importanta: rank

Comenteaza documentul:

Te rugam sa te autentifici sau sa iti faci cont pentru a putea comenta

Creaza cont nou

Termeni si conditii de utilizare | Contact
© SCRIGROUP 2025 . All rights reserved