| CATEGORII DOCUMENTE |
| Alimentatie nutritie | Asistenta sociala | Cosmetica frumusete | Logopedie | Retete culinare | Sport |
Incompetenta cervicala
Apare in special dupa 18 saptamani si este principalul factor de avort habitual tardiv. Incidenta descrisa in literatura este intre 0,2 si 2%.[1,3,4,5,] Anamneza acestor paciente cuprinde avorturi de trim. II, traumatisme obstetricale si chiuretaje, conizatii, rupturi de col postpartum, avorturi induse, infectii.
Evaluarea clinica a colului uterin este importanta, dar obstetrica moderna foloseste ecografia transvaginala si abdominala

Fig. nr.231. Schema sectiuni sagitale a colului uterin normal ( stanga ) si incompetent ( dreapta )( adaptat dupa Merz [4])
Ecografia abdominala necesita o vezica urinara relativ plina si nu furnizeaza intotdeauna cea mai buna imagine.[3,4]
Ecografia transvaginala va necesita o vezica urinara cu putina urina. Sonda se plaseaza in 1/3 inferioara a vaginului, si se cauta axul longitudinal al colului, cu identificarea canalului cervical hipoecogen. Jonctiunea dintre lichidul amniotic si canalul cervical este definitorie pentru orificiul cervical intern. Orificiul cervical extern, la partea inferioara a colului, atinge peretele posterior vaginal. Lungimea colului este definita intre cele doua orificii extern si intern.
Grosimea centrala a colului se masoara perpendicular pe canalul cervical.
Trei parametri sunt evaluati
lungimea colului - normala peste 30 mm (intre 30 si 70 mm daca se masoara si regiunea istmica)
canalul cervical, de obicei 2 - 4 mm
grosimea colului uterin ,25 - 35 mm.
Deschiderea colului uterin incepe de la nivelul orificiului cervical intern. Este un proces dinamic, urmat de scurtarea colului si cu deschiderea orificiului cervical intern, se dilata si canalul cervical.
Ecografic canalul cervical apare ca o zona hipoecogena in "V" sau "U", in sectiune sagitala. [1]
In sectiune transversala, canalul cervical dilatat apare ca o zona anecogena eliptica sau rotunda.
Pe masura ce deschiderea colului uterin progreseaza, membranele prolabeaza si aduc o zona anecogena de lichid amniotic in canalul cervical.
Dupa VARMA [6], urmatoarele semne ecografice sugereaza incompetenta cervicala :
lungimea cervicala sub 15 mm
canal cervical peste 8 mm
grosimea colului uterin peste 30 mm
prolabarea membranelor in canalul cervical, in special cu parti fetale.
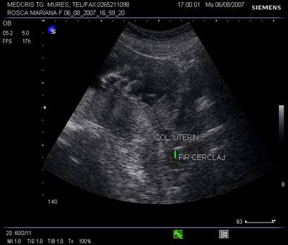
Implicatii terapeutice: urmarirea ecografica a colului uterin decide cerclajul colului uterin; dupa Heath [2], scurtarea colului uterin sub 1,5 cm la 23 saptamani, urmata de cerclaj a scazut semnificativ riscul de nasteri premature.
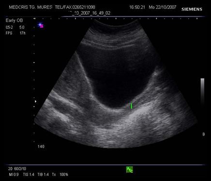
Fig. nr.232. Ecografie abdominala , cu sectiunea sagitala a vaginului ( linia ), colului si istmului uterin, la o sarcina de 8 sapt.

Fig. nr.233. Cicatrice uterina postoperatie cezariana ( cu hiperecogenitati , intre calipere ) pe segmentul unei sarcini de 24 sapt

Fig. nr.234. Col uterin evaluat prin ecografie transvaginala , la o sarcina de 26 saptamani cu iminenta de nastere prematura prin contractii uterine, se remarca lungimea sa normala, canalul cervical si orificiul cervical intern inchis

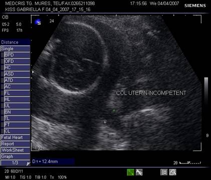
Fig. nr.235. Col incompetent la 24 saptamani, se remarca forma de V , la nivelui orificiului cervical intern, intre calipere

Fig. nr. 236.
Bibliografie
|
Politica de confidentialitate | Termeni si conditii de utilizare |
Vizualizari: 4235
Importanta: ![]()
Termeni si conditii de utilizare | Contact
© SCRIGROUP 2025 . All rights reserved