| CATEGORII DOCUMENTE |
| Alimentatie nutritie | Asistenta sociala | Cosmetica frumusete | Logopedie | Retete culinare | Sport |
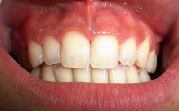
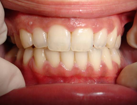
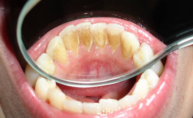
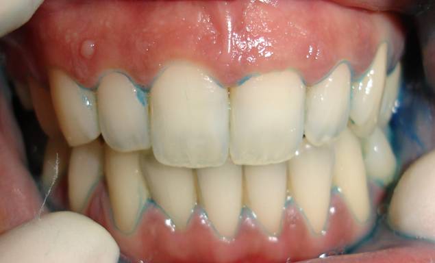
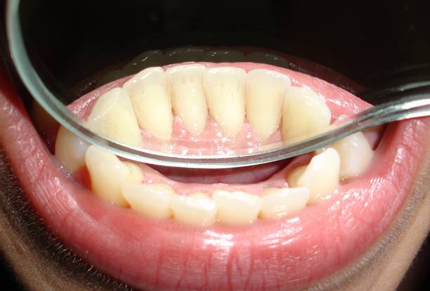
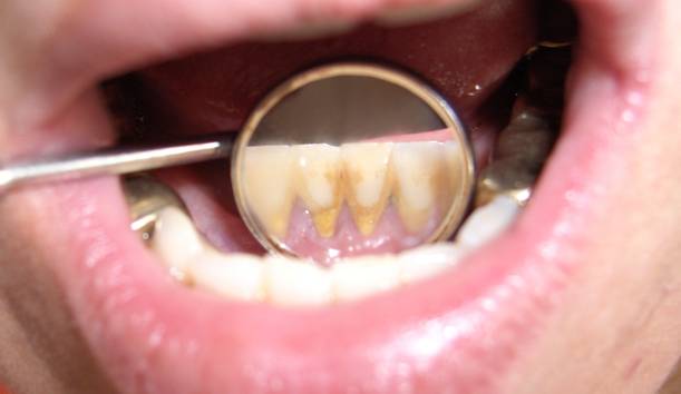
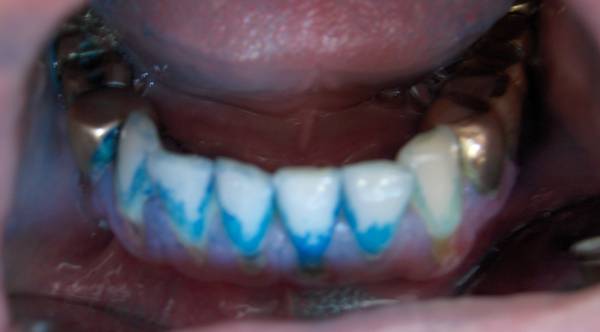
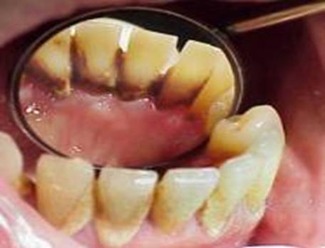
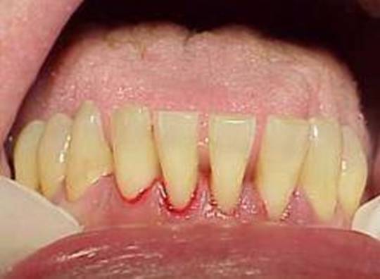
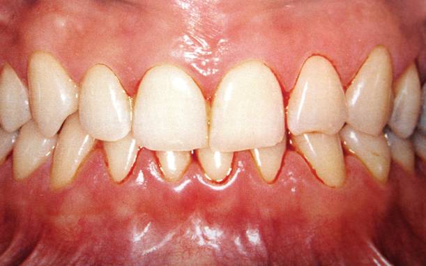
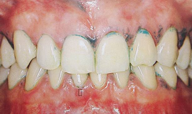
Imagini cu boli de dinti si gingii


















|
Politica de confidentialitate | Termeni si conditii de utilizare |
Vizualizari: 3596
Importanta: ![]()
Termeni si conditii de utilizare | Contact
© SCRIGROUP 2025 . All rights reserved