Scrigroup - Documente si articole

     

HomeDocumenteUploadResurseAlte limbi doc
Alimentatie nutritieAsistenta socialaCosmetica frumuseteLogopedieRetete culinareSport

INSUFICIENTA CARDIACA

sanatate



+ Font mai mare | - Font mai mic



INSUFICIENTA CARDIACA

DEFINITIE

Insuficienta cardiaca este complicatia principala a bolilor cardiace.



Ea este o stare patologica cauzata de deteriorarea functiei de pompa a cordului (tranzitorie sau durabila).

Dezechilibrul care apare intre nevoile de sange oxigenat ale organelor si tesuturilor si eficienta cordului de a-l furniza, precum si imposibilitatea cordului de a face fata, hemodinamic, volumului de sange venos care se intoarce la inima, poarta denumirea de insuficienta cardiaca. Rezerva functionala a cordului este foarte mare; degradarea progresiva a inimii face sa apara - intai la eforturi mai mari si apoi la eforturi din ce in ce mai mici - dezechilibrul intre nevoile metabolice legate de efort si eficienta hemodinamica a cordului. In gravele insuficiente cardiace inima nu mai poate face fata acestor nevoi nici cand organismul este in repaus.

"Insuficienta cardiaca congestiva" este forma de insuficienta cardiaca instalata de obicei lent si cu evolutie cronica, caracterizata prin retentie de apa si sare si staza venoasa, cu producerea de transsudat tisular in plaman si in periferie (edeme).

"Insuficienta cardiaca stanga sa cea dreapta" sunt denumiri care se refera la ventriculul care a cedat. Prima forma se caracterizeaza prin congestie venoasa pulmonara si dispnee, a doua prin congestie venoasa periferica si edeme. Trebuie subliniat ca afectarea ventriculului stang antreneaza, in timp, insuficienta hemodinamica si a celui drept.

"Insuficientele cardiace antero- si retrograda" sunt etichete fiziopatologice. In prima forma, perfuzie sanguina renala slaba, datorita unui volum-bataie cardiac mic, iar in a doua zi, staza venoasa si transsudare de lichid.

"Insuficienta cardiaca latenta" este eticheta data acelei forme clinice care apare numai in conditii speciale: la exercitii fizice severe, la stresuri emotionale mari, in starile febrile.

In "insuficienta cardiaca compensata" semnele insuficientei au disparut datorita tratamentului administrat.

"Insuficienta cardiaca ireductibila" este acea forma care, cu tot tratamentul optim aplicat, nu a putut fi compensata.

"Insuficienta cardiaca acuta sau cea cronica" sunt termeni foarte relativi; de obicei o cauza precipitanta creeaza impresia clinica de insuficienta cardiaca acuta.

Incidenta / Prevalenta ICC survine la o etapa anumita in aproape toate cazurile de afectiuni cardiace. Timpul de manifestare, insa, va depinde de etiologia afectiunii. Prevalenta ICC sporeste cu varsta. Formele manifeste se atesta mai frecvent dupa varsta de 60 ani. Pentru populatiile europene prevalenta ICC constituie 0,4 - 2%.

Predominanta de varsta- depinde de cauza etiologica.

Predominanta de sex Barbati > Femei la varste de 40 la 75 ani; Barbati = Femei la varste > 75 ani.

Doua mecanisme principale stau la baza aparitiei insuficientei cardiace:

  • Anomalia functiei de pompa este cunoscuta sub numele de insuficienta cardiaca sistolica, in care se produce o diminuare a contractilitatii miocardice, avand ca rezultat o dilatatie a miocardului. Diminuarea fortei contractile a ventriculului stang (VS) tinde sa reduca volumul de ejectie al VS, crescand rezidul telesistolic (volum telesistolic crescut), obligand ventriculul sa se dilate, pentru a mentine constant volumul telesistolic (fenomenul Franck-Starling). Aceasta dilatatie insoteste o reducere a distensibilitatii in diastola, avand drept consecinta o crestere a presiunii in amonte de ventriculul insuficient, a presiunii atriului stang si a presiunii capilare pulmonare (semne congestive).
  • Anomalia functiei de umplere sau insuficienta cardiaca diastolica este provocata de o diminuare primara a distensibilitatii ventriculare, in care este alterata capacitatea VS de a accepta sange. Ventriculul nu se mai umple corect si nu mai ejecteaza suficient. Aceasta insuficienta cardiaca cu functie sistolica pastrata este frecventa in Occident, unde 50% din pacientii peste 70 ani, spitalizati pentru insuficienta cardiaca, au o functie sistolica relativ normala (fractia de ejectie a VS pest e 40%). Procentajul creste cu varsta si dupa 80 de ani depaseste pe cel al insuficientei cardiace prin disfunctie sistolica. O ancheta Framingham arata ca 50% din pacientii cu insuficienta cardiaca au o functie a VS sistolica pastrata, mortalitatea anuala fiind de 18,9%, cand insuficienta cardiaca se asociaza cu o alterare a functiei sistolice si de 6,2 cand aceasta era pastrata (2% in populatia martor).

Factori de risc

infectiile;

aritmiile;

alimentatia insuficienta;

medicamentele beta-blocante;

blocantii canalelor de calciu;

antiinflamatorii nesteroidieni;

steroizii;

embolia arterei pulmonare;

ischemia acuta a miocardului, infarct de miocard;

tireotoxicoza / hipotireoza;

anemia;

insuficienta renala;

sarcina.

FIZIOPATOLOGIE
Insuficienta cardiaca este consecinta functionala a unor cauze multiple, care, direct sau indirect, scad forta de contractie a miocardului si in special a zonelor anatomice cu ponderea cea mai mare in asigurarea cu sange a organismului (ventriculul stang).

O cauza frecventa este suprasolicitarea ventriculului; uneori acesta are de facut fata unei sarcini foarte mult crescute de presiune pentru a impinge sangele din camera respectiva, asa cum se intampla in hipertensiunea arteriala, coarctatia de aorta, stenoza pulmonara, cordul pulmonar; alteori, ventriculul este suprasolicitat datorita volumului mare de sange pe care il are de pompat (insuficienta mitrala, insuficienta aortica, defect de sept atrial sau interventricular, duct arterial patent, fistule arterio-venoase). In multe cazuri ventriculul nu se mai poate contracta normal, armonios si eficient, datorita prezentei in masa lui musculara a unor zone cicatriceale sau prost irigate si hipotone, care ii reduc eficienta contractiei; acesta este cazul asinergiilor, disinergiilor si anevrismelor ventriculare, consecinte ale infarctului miocardic.

O alta cauza de insuficienta cardiaca este modificarea morfofunctionala a fibrelor cardice. Aceasta modificare poate fi primitiva sau secundara. Forma secundara este cea mai des intalnita si este consecutiva suprasolicitarii ventriculului.alteori, tulburarea miocardica este consecinta miocarditei (de etiologie infectioasa, bacteriana, virala sau generata de protozoare) sau a unor tulburari metabolice grave, induse cel mai des de ischemia cordului (cardiopatia ischemica), sau de scaderea pH-ului sanguin sau a presiunii arteriale a oxigenului, sau de cresterea presiunii arteriale a bioxidului de carbon (intalnite in cordul pulmonar sau de unele droguri sau toxice, de alcool, de unele infectii grave, anemii grave, insuficienta renala, diabet sau starea de soc cronic. Imbatranirea antreneaza scaderea eficientei contractiei miocardice prin modificarea structurii fibrei cardiace. Unele boli sistemice au in cortegiul lor simptomatic si insuficienta cardiaca (bolile de colagen).

In cazuri rare, modificarea fibrelor cardiace este primitiva, fie in cadrul miodistrofiilor, fie evoluand ca o cardiomiopatie idiopatica. Uneori, insuficienta cardiaca este consecinta hipoplaziei miocardice; scaderea masei musculare cardiace este frecvent consecinta infarctului de miocard, dupa cum in cazuri rare este legata de prezenta tumorilor intramiocardice. Iradierile pot induce un proces de miocardita radica, cu fibroza si saracirea in fibre cardiace a miocardului.

O alta cauza de insuficienta cardiaca este restrictia in umplerea diastolica a ventriculului, asa cum se intampla in stenoza mitrala, in pericardita constrictiva si in unele forme de endomiocardita cu restrictie mare la destinderea diastolica a ventriculului.

Tulburarile de ritm cu tahicardie sau bradicardie importanta poate induce insuficienta cardiaca. 

Substrat morfologic

Ineficienta contractiei fibrei miocardice antreneaza doua modificari morfologice foarte evidente in ceea ce priveste cordul: dilatatia cardiaca si hipertrofia cardiaca. 

  • Dilatatia cardiaca

In cordul normal exista o anumita relatie intre lungimea fibrei cardiace, procentul de lungime cu care se scurteaza in timpul contractiei si lucrul mecanic efectuat. Aceasta inseamna ca in organismul viu, pe un cord normal, dilatatia - de exemplu a ventriculului stang -, datorita unei umpleri diastolice mai bune si care are drept consecinta o alungire mai mare a fibrelor cardiace care formeaza masa musculara a ventriculului, va avea drept urmare o sistola cu calitati hemodinamice ameliorate. O situatia de tipul celei mai de sus este intalnita la sportivii antrenati, care-si adapteaza cordul la cerintele hemodinamice crescute din timpul efortului printr-o umplere mai buna diastolica, cu dilatatia inimii, si consecintele amintite.

In cazul insuficientei cardiace fibrele sunt de calitate inferioara. Contractia lor duce la sistole mai putin eficiente si la instalarea si cresterea progresiva a cantitatii de sange care stagneaza in camera cardiaca respectiva. Cresterea cantitatii de sange stagnant conduce la dilatatia cordului, fenomen care genereaza doua modificari in functionalitatea acelei camere:

  • Alungirea fibrei cardiace, duce la cresterea lucrului mecanic efectuat de fibrele cardiace.
  • Cresterea razei (R) camerelor cardiace afectate. Aceasta crestere se repercuteaza nefavorabil asupra functionalitatii cordului deja insuficient. Dilatatia creeaza o conditie nefavorabila, in sensul ca la nivelul fibrei cardiace este necesar un consum energetic suplimentar.

Hipertrofia cardiaca. Miocardul uman are posibilitatea sa refaca rapid structurile subcelulare care se uzeaza, iar in conditii de stres hemodinamic sa raspunda prin hipertrofie, adica prin inmultirea numarului de structuri subcelulare care formeaza continutul fibrelor. Cresterea masei de miocard are un efect bun asupra insuficientei cardiace, in sensul ca fiind mai multa masa contractila creste si lucrul mecanic global cardiac. Pe unitate de miocard, insa, forta de contractie si scurtarea fibrei sunt deficitare. Hipertrofierea fibrelor duce la un deficit in oxigenarea lor: grosimea crescuta a fibrei face ca oxigenul din capilar sa difuzeze mai putin si la o tensiune mai mica in portiunile centrale ale fibrei.

In formele usoare de insuficienta cardiaca, hipertrofia, alaturi de dilatatia cardiaca, intervine efectiv ca fenomen compensator. Acest fel de compensare se face insa cu consum crescut de energie si cu un randament sub cifrele normale.

  • Modificari in structura si functia unor organe

Cardiovasculare. Scaderea fortei de contractie a fibrei cardiace duce la dilatatia si hipertrofia cardiaca. Volumul de sange din ventricul, apreciat la sfarsitul diastolei si la sfarsitul sistolei, este crescut; aceasta se datoreaza faptului ca fractiunea de sange ejectata in timpul sistolei scade sub normal. Acumularea de sange in ventricul duce la cresterea presiunii intracavitare.

Circulatia periferica este caracterizata prin vasoconstrictie generalizata (arteriala si venoasa). Acest fenomen este cauzat de starea de simpaticotonie ce defineste insuficienta cardiaca si de afectarea structurala, de ordin mecanic, a vaselor. Vasoconstrictia are o serie de efecte favorabile, in sensul ca mentine circulatia arteriala la un nivel acceptabil, cu toata scaderea volumului - bataie si, pe de alta parte, asigura o intoarcere venoasa adecvata unei bune umpleri diastolice ventriculare. Arterioconstrictia insa scade debitul circulator la tesuturi, accentuand hipoxia tisulara. Scaderea volumului - bataie conduce la: o redistribuire a calitatii de sange primite de diversele organe; diminuarea mare a debitului in rinichi si tegumente; o diminuare proportionala cu scaderea volumului - bataie in muschii scheletici, restul viscerelor si creier; debitul arterelor este pastrat in limite normale.

Starea de simpaticotonie. Noradrelina, eliberata in jurul fibrei cardiace, actioneaza in anumite locusuri din membrana celulei cardiace. Pe de o parte, activeaza glicoliza aeroba, cu formarea de ADP necesar contractiei, iar pe de alta parte, activeaza, din formatiile microzomale ale fibrei, o enzima - proteinkinaza -, cu actiune fosforilanta asupra proteinelor din membrana fibrei. Rezultatul excitatiei simpatice la normali este deosebit de important in ceea ce priveste cresterea performantelor hemodinamice ale cordului: pulsul creste ca frecventa, creste volumului - bataie (cu 10-20% in pozitia culcat si cu 100% in picioare), creste fractiunea de sange ejectat in sistola, scade volumul terminal - diastolic, debitul cardiac creste, fara o crestere a consumului de O2. In mod obisnuit, excitatia simpatica este marita de efortul fizic. La indivizii antrenati performantele cordului nu cresc prin excitatie simpatica.

In insuficienta cardiaca exista o crestere a activitatii simpatice. La un bolnav cu insuficienta cardiaca de severitate medie, dupa un exercitiu fizic, concentratia noradrenalinei creste mult in sangele arterial. Cu timpul insa, in insuficientele cardiace cronice cu evolutie grava, se ajunge la un fenomen de uzura. Desi excitatia simpatica ramane, in cord nu se mai formeaza o cantitate adecvata de noradrenalina. 

  • Tulburari in metabolismul apei, electrolitilor si pH-ului

Un fenomen important care apare - si in mare masura caracterizeaza insuficienta cardiaca - este cresterea volumului sanguin si a volumelor de lichid extracelular. Aceasta se datoreaza resorbtiei mult crescute de apa si sare. Marirea volumului circulant, asociata unui tonus vascular crescut, conduce la cresterea presiunii intravasculare si la o intoarcere venoasa cantitativ mai mare. Atunci cand insuficienta cardiaca este mai severa si retentia hidrosalina mai mare, sangele venos venit la cord nu mai poate fi impins anterograd in cantitatile necesare unui echilibru hemodinamic si el stagneaza in sistemul venos, accentuand, pe de o parte, umplerea exagerata cu sange a camerelor cardiace. Aceasta situatie duce la scaderea volumului - bataie si la accentuarea stazei venoase, fenomenul de retentie devenind daunator. Diureticele au o actiune favorabila in acest caz.

Cresterea volumului circulant si a presiunii intravasculare determina in timp acumulari tot mai mari de lichide. In acest fel volumul extracelular sporeste progresiv; bolnavul creste progresiv in greutate si intr-un stadiu mai tardiv apar edeme declive - este aspectul clinic descris sub denumirea de insuficienta cardiaca congestiva.

Hiponatremia cu hiperhidratare este caracteristica insuficientei cardiace.

Atunci cand filtratul glomerular scade sub 50% din normal, datorita scaderii volumului - bataie cardiac, se produce o dereglare in echilibrul dintre filtrarea glomerulara si reabsorbtia in tubul contort proximal (TI), in sensul ca in aceasta portiune tubulara se reabsorb in exces apa si Na+.

Scaderea volumului - bataie si a undei pulsului induce o modificare in excitatia placutei juxtaglomerulare, consecinta constand intr-o secretie crescuta de renina si activarea axului renina-angiotensina-aldosteron, cu producerea unei secretii crescute de aldosteron, care, favorizand in structurile inferioare ale nefronului resorbtia exagerata de Na+ si concomitent schimbul cu K+, face ca urina sa fie foarte saraca in Na+ (sub 10 mEq/l) si sa creasca eliminarea urinara de K+ (mai mult de 50 mEq/l), putand induce la instalarea unui sindrom de hipokaliemie. Deci influenta cardiaca este caracterizata de o forma de hiperaldosteronism, care nu induce hipokaliemie decat in conditii de saliureza exagerata. Uneori, hipopotasemia apare secundar tulburarilor digestive care insotesc insuficienta cardiaca (varsaturi, diaree). In aceste cazuri scade si Cl- sanguin.

Bolnavii cu insuficienta cardiaca supusi unui regim sarac in natriu face usor intoxicatii cu potasiu.

Bolnavii cu insuficienta cardiaca au o tulburare majora in metabolismul apei. Eliminarea de apa la nivelul rinichiului este conditionata, in mare masura, de hormonul antidiuretic (ADH). O secretie exagerata de hormon induce o retentie exagerata de apa neresorbita osmotic la nivelul rinichiului. Acest mecanism este reglat de un reflex plecat din atriul stang. Dilatatia acestuia induce diureza, suprimand secretia de ADH. In insuficienta cardiaca acest reflex reglator diuretic nu se mai produce, asa ca hormonul ADH se secreta continuu. Hiposodemia este accentuata si de prezenta hipopotasemiei, care duce la migrarea Na+ intracelular.

In unele cazuri, retentia de apa este cu mult crescuta fata de cea de Na+, aceasta ducand la edem cerebral prin trecerea apei din spatiul extracelular in celule.

Scaderea pH-ului sanguin este discreta in insuficienta cardiaca; atunci cand se complica cu insuficienta renala sau respiratorie sau cu diabet zaharat, scaderile pH-ului pot deveni importante. 

  • Modificari ale functiei pulmonare

Ventilatia aerului este modificata in special prin scaderea capacitatii vitale si mai putin a capacitatii ventilatorii maxime pe secunda. Cauzele sunt multiple: staza sanguina duce la cresterea cantitatii de sange din plaman, iar transsudatul care se produce din vasele capilare (edemul pulmonar) determina acumulare de lichid in interstitiul plamanului, perivascular, in alveole, in peretii bronhiilor, carora le reduce calibrul si induce uneori si spasm bronsic. Acest lichid de edem este drenat de limfaticele pulmonare in sistemul venos. Uneori se acumuleaza, producand hidrotorax. Sangele acumulat in exces, edemul si hidrotoraxul reduc din aerul care se ventileaza in plaman, scazand capacitatea vitala (CV). Uneori, diminuarea de lumen bronsic scade volumul expirator maxim pe secunda (VEMS). Plamanul edematos si cu staza sanguina crescuta devine rigid si astfel complianta scade. Scaderea cantitatii de surfactant, secundara edemului alveolar, contribuie la scaderea compliantei. Pentru a corecta rigiditatea acestui plaman este nevoie de o munca exagerata a muschilor respiratori. Cresterea travaliului muschilor respiratori duce la cresterea cerintelor de O2. Acesta este insa insuficient furnizat de un plaman cu o ventilatie defectuoasa si se ajunge la o oxigenare subnormala a sangelui. Mai mult, muschii respiratori primesc o cantitate insuficienta de sange datorita debitului - bataie scazut si repartitiei anormale a sangelui in periferie. Aceasta se exteriorizeaza clinic prin dureri in muschii respectivi. Rigiditatea plamanului induce tahipnee. La deficitul de ventilatie se adauga si o insuficienta difuziune a gazelor din alveole in capilare (fenomenul de suntare).

Conditiile enumerate fac ca respiratia sa devina grea, sa devina un act muncit, constient si penibil - aceasta este dispneea. Cand plamanul este afectat grav, se produce acidoza respiratorie sau metabolica. In cazurile cu hiperventilatie excesiva apare alcaloza gazoasa.

ETIOLOGIE-CAUZE
Cele mai frecvente etiologii ale insuficientei cardiace diastolice sunt boli, care produc remodelari concentrice ale VS:

cardiomiopatii hipertrofice primitive, cu sau fara obstructie.

hipertrofiile concentrice miocardice, secundare unei supraincarcari de presiune (HTA, stenoza aortica).

insuficienta cardiaca la varstnici, cand exista modificari ale geometriei VS sub forma de remodelari concentrice.

Cardiopatiile ischemice produc tulburari ale distensibilitatii miocardice a VS, deoarece exista in miocard zone sanatoase si zone ischemice sau fibroze, care altereaza distensibilitatea intrinseca si extrinseca a VS, produce o intarziere si o neomogenizare a relaxarii, fenomene care sunt marite la efort.

Cardiopatiile restrictive se caracterizeaza prin defect de expansiune diastolica, care jeneaza umplerea ventriculara. Se produce o infiltratie parietala cu diferite substante (substante glicate, in diabet; hemocromatoza; amiloidoza cardiaca).

compresiunile extrinseci ale VS (tamponada cardiaca si cordul pulmonar cronic din BPOC), in care curbura septala este modificata in sistol a si diastola, prin cresterea volumului in cavitatile drepte, ducand la o crestere a rigiditatii VS.

infarctului miocardic, cand se constata zone ventriculare akinetice sau diskinetice, in cazuri de crestere a presiunii aortice sistolice.

Factori declansatori, care provoaca o crestere a presiunii telediastolice a VS sunt:

puseul ischemic acut, care scade contractilitatea, prelungeste relaxarea si reduce distensibilitatea VS;

un puseul hipertensiv, care prelungeste relaxarea, dar poate altera si contractilitatea prin ischemia zonelor subendocardice si cresterea post-sarcinii;

tahicardia, care reduce durata umplerii, poate produce o ischemie subendocardica;

fibrilatia atriala, prin pierderea contributiei atriale la umplere.

Principalele cauze ale aparitiei insuficientei cardiace diastolice (dupa A. Cohen si colab.):

  1. Incetinirea relaxarii : ischemie, hipertrofie ventriculara, zona akinetica, bloc de ramura);
  2. Reducerea distensibilitatii:
    • muschiului (ischemie, infiltratie, fibroza);
    • camerei ventriculare (remodelare concentrica-cresterea raportului grosime/raza, cu sau fara hipe rtrofie - HTA, stenoza aortica, cardiomiopatie hipertrofica primitiva, varsta inaintata);
    • compresie extrinseca (tamponada pericardica, cord pulmonar cronic).
  3. Reducerea improprie a duratei diastolei prin tulburari de ritm.

CLASIFICARE
Himbert descrie 2 tipuri de insuficienta cardiaca diastolica: (1) insuficiente cardiace care nu sunt insuficiente ventriculare si (2) insuficiente cardiace cu functie de ejectie a VS normala.

  1. Insuficientele cardiace care nu sunt insuficiente ventriculare:
    • obstacole la scurgerea intracardiaca a sangelui : stenoza mitrala, tromboza si mixom atrial, disfunctie si tromboza de proteza;
    • adiastolii pericardice : tamponada pericardica si pericardita constrictiva;
    • supraincarcari de volum - VS necompensat de o hipertrofie-dilatatie : insuficienta mitrala la un cord cu atriu mic , putin compliant, indeosebi in insuficienta mitrala prin ruptura de cordaj .
  2. Insuficiente ventriculare cu functie sistolica de ejectie a VS normala. Factori determinanti: o incetinire a relaxarii sau o diminuare a distensibilitatii diastolice pasive a camerei VS. Se descri u 3 tipuri etiologice:
    • cardiomiopatii restrictive:  HVS concentrice (primitive sau secundare);
    • hipertrofii ventriculare stangi-   forme acute, in timpul eforturilor sau emotiilor
    • HVS date de cardiomiopatie ischemica sau sechele de infarct miocardic.

TIPURILE DE ICC:

- insuficienta sistolica - insuficienta functiei contractile a ventriculului stang ce rezulta in diminuarea fractiei de ejectie.

- insuficienta diastolica - insuficienta functiei de relaxare a ventriculului stang ce rezulta in majorarea presiunii de umplere a ventriculului, reducand volumul de ejectie.

- insuficienta ventriculara stanga - cauzata de ejectia scazuta a ventriculului stang.

- insuficienta ventriculara dreapta - cauzata de disfunctia ventriculului drept definita de afectiuni pulmonare sau de insuficienta ventriculului stang.

Sistemele afectate: cardiovascular, pulmonar.

Cauze

- comune

cardiopatia ischemica,

hipertensiunea arteriala,

cardita reumatismala,

valvulopatiile,

cardiomiopatiile.

- rar intalnite:

agenti infectiosi: virusi, bacterii, fungi.

boli infiltrative: amiloidoza, hemocromatoza, sarcoidoza.

substante toxice: cocaina, heroina, alcoolul, amfetaminele, doxorubicina, ciclofosfamid, sulfonamidele, plumbul, arsenul, cobaltul, fosforul, ethilenglicolul.

deficite nutritionale: proteica, tiaminica, selenica.

electrolitice: hipocalcemia, hipophosphatemia, hiponatremia, hipokalemia.

- boli de sistem: lupusul eritematos, artrita reumatoida roza sistemica, poliarteriita nodoasa, vasculita alergica, arteriita Takayasu, polimiozita, sindromul Reiter.

- bolile endocrine si metabolice: diabetul, hipertiroidismul, hipotiroidismul, hipoparatiroidismul cu hipocalcemie, feocromocitomul, acromegalia.

- tahiaritmiile: tahiaritmia supraventriculara necontrolata, fibrilatia atriala tahisistolica.

 SEMNE SI SIMPTOME

  • Clinica insuficientei cardiace

Insuficienta cardiaca se manifesta clinic printr-un numar se semne si simptome care pot fi grupate astfel:

  • semne si simptome datorate disfunctiei unor organe care sufera mai mult in urma tulburarilor hemodinamice ce caracterizeaza insuficienta cardiaca (plaman, rinichi, ficat, vase)
  • semne cardiace, care apar primele, iar prezenta lor poate trada insuficienta cardiaca intr-un stadiu precoce.

Diagnosticul de insuficienta cardiaca trebuie completat cu diagnosticul bolii - cardiace sau extracardiace - care a produs insuficienta cordului, cu stabilirea eventualelor cauze precipitante sau agravante ale starii de insuficienta cardiaca.

In ceea ce priveste diagnosticul bolii cardiace declansatoare a insuficientei cardiace:

  • In cardiopatia ischemica aceasta este cauza cea mai frecventa de insuficienta cardiaca.
  • Hipertensiunea arteriala.
  • Afectarea cronica severa pulmonara duce la instalarea insuficientei cardiace (cordul pulmonar cronic). La unii bolnavi mai in varsta cordul pulmonar este insotit de semnele cardiopatiei ischemice; in aceste cazuri cauza insuficientei cardiace este mixta, predominand de obicei unul dintre aspecte.
  • Valvulopatiile cronice, cardita reumatismala, cardiopatiile congenitale.
  • Pericardita poate duce la insuficienta cardiaca hipodiastolica.
  • Bolile de miocard (cardiomiopatiile primitive si secundare).

Factorii precipitanti sau agravanti ai insuficientei cardiace: infectia acuta pulmonara sau embolia pulmonara, infarctul de miocard asimptomatic, aritmiile ectopice, hipertensiunea arteriala severa, puseu de cardita reumatismala, prezenta endocarditei bacteriene, tireotoxicoza, anemia severa, adenomul de prostata cu retentie de urina, sarcina, administrarea excesiva de estrogeni sau de cortizon, aportul exagerat de natriu, eforturile fizice exagerate, emboliile pulmonare, perfuziile intravenoase cu cantitati mari de lichide.

  • Simptome
  • Dispneea este simptomul cel mai des intalnit.

De obicei cauza dispneei este congestia sanguina pulmonara, care insoteste boli foarte diverse. Cand exista stenoza pulmonara stransa, nu se intalneste congestia sanguina pulmonara, dispneea fiind cauzata de scaderea drastica a debitului sanguin la muschii respiratori.

Dispneea imbraca diverse forme clinice. Forma cea mai obisnuita si cea mai precoce este cea de efort, determinata de cresterea stazei pulmonare in timpul efortului. Dispneea de efort cardiaca poate fi confundata cu cea pe care o prezinta obezii sau persoanele neantrenate fizic cea care insoteste uneori starile de anxietate; acidoza diabetica sau renala, sarcina si anemia severa, dispneea din bolile cronice pulmonare.

O forma mai severa ca prognostic - in sensul ca este cauzata de o congestie mare pulmonara si de fenomene accentuate de transsudare si edem pulmonar - este ortopneea. Aceasta forma este caracterizata prin faptul ca bolnavul respira mai bine cand jumatatea superioara a corpului este in pozitia verticala. Din aceasta cauza el nu poate dormi culcat, ci asezat in fotoliu, cu picioarele atarnand in jos, sau intins in pat, insa cu mai multe perne sub cap.

Pozitia amintita, permite scaderea intoarcerii venoase si, implicit, a dilatatiei excesive cardiace. Pozitia sezanda permite o mai buna ventilatie pulmonara, diafragmul putand actiona mai eficient.

Astmul cardiac este o forma paroxistica de dispnee. De fapt, este o criza de astm bronsic care apare la un cardiac. Cauza o constituie staza pulmonara si edemul interstitial localizat in special in peretii bronhiilor, care-si modifica reactivitatea.in somn tonusul simpatic scade, ducand consecutiv la scaderea inotropismului cardiac si, implicit, la cresterea stazei retrograde in plaman. In timpul somnului, centrul respirator este deprimat si, tot datorita somnului, individul nu realizeaza imediat - pentru a se ridica din pat - ca respiratia lui devine dispneica. Clinic, se manifesta ca astmul bronsic (raluri sibilante, expiratie prelungita); bolnavul este tahipneic - nu bradipneic ca in criza de astm bronsic -, de multe ori cu raluri subcrepitante la baza plamanului, care uneori prezinta submatitate la percutie. Uneori, bolnavul are numai respiratie suieratoare. Diagnosticul diferential trebuie facut cu astmul bronsic si cu boala cronica obstructiva pulmonara.

Dispneea paroxistica nocturna se caracterizeaza prin aceea ca, dupa cateva ore de somn, bolnavul este trezit brusc de lipsa de aer. Este nevoit sa se ridice din pat, de obicei se plimba putin prin camera, deschide fereastra si respira adanc, bea putina apa si-si mai potoleste anxietatea si, treptat, dispneea dispare, totul reintra in ordine si se culca din nou. Uneori, dupa 2-3 ore de somn, criza se poate repeta. Daca bolnavului i se face o radiografie pulmonara, se observa edem interstitial.

Tusea uscata, insotita sau nu de dispnee de multe ori chinuie bolnavul noaptea. In multe cazuri bronsita coexista cu insuficienta cardiaca. In unele cazuri, dispneea nocturna este precedata de o stare de neliniste si de insomnie.

Respiratia Cheyne-Stokes este caracterizata prin perioada de timp in care fazele respiratiei cresc treptat cu amplitudine si frecventa, pentru a diminua apoi progresiv si a fi urmate de perioade de apnee care pot dura variabil (pana la un minut si peste un minut). Acest tip de respiratie se instaleaza imediat ce bolnavii adorm; in perioadele de polipnee ei se trezesc, pentru a recadea in somn in faza de apnee. De multe ori survine la bolnavii cu arterioscleroza cerebrala. Este accentuata prin administrarea de opiacee sau alte sedative.

Edemul pulmonar acut este o stare clinica ce se instaleaza cu bruschete, ziua sau noaptea, in cursul unei activitati obisnuite sau in urma unor excese fizice sau stresuri emotionale. Aparitia lui poate fi precipitata de prezenta infectiei, a unei aritmii, a infarctului pulmonar sau de miocard. Se intalneste in afectarea inimii stangi.

Retentia de lichide se instaleaza treptat. Bolnavul devine oliguric, emite urini de densitate crescuta si incepe sa urineze mai mult noaptea (nicturie). Daca exista adenom de prostata, semnele de prostatism cronic se accentueaza mult si se creeaza un cerc vicios, in sensul ca insuficienta cardiaca agraveaza prostatismul, care, la randul lui influenteaza advers insuficienta cardiaca. Bolnavul incepe sa creasca in greutate si - dupa ce a acumulat 5-6 kg - retentia de lichide devine vizibila sub forma de edeme, la glezna si laba piciorului la inceput albe, moi, lasand urma la apasarea cu degetul - sunt pasagere, in sensul ca dispar peste noapte. Cu timpul, edemele devin insa permanente , se extind si la alte parti ale corpului si incep sa capete, cand dureaza de mult timp, un aspect cianotic, devenind dure la palpare. Localizarea edemelor tine de presiunea hidrostatica. Ele sunt bilaterale, simetrice; la indivizii care umbla, apar la membrele inferioare, iar la cei care stau timp indelungat in pat, in regiunea sacrata. Lichidul se acumuleaza uneori sub forma de ascita. Ascita survine mai des in insuficientele cardiace la copii, ca si in pericardita constrictiva care evolueaza cu insuficienta cardiaca. O alta zona de acumulare de lichid este marea cavitate pleurala dreapta (hidrotorax drept). Edemele trebuie deosebite de cele cauzate de alte boli: varicele si flebita (in aceste cazuri de obicei edemul este asimetric), glomerulonefrita, ciroza hepatica, obezitatea. Cauze rare de edem sunt: prezenta unei tumori retroperitoneale sau a unei adenopatii tumorale, care tulbura scurgerea limfei din membrele inferioare - stare care poarta denumirea de limfedem cronic -, edemul ciclic. Tratamentul indelungat cu cortizon, cat si statul timp indelungat in picioare pot duce la aparitia de edeme. Uneori este dificil diagnosticul diferential cu o boala renala care evolueaza cu edeme, oligurie si nicturie.

  • Oboseala musculara si senzatia de slabiciune sunt uneori simptomele principale ale insuficientei cardiace; ele apar datorita unui flux sanguin inadecvat muschilor in activitate. La simptomele clinice amintite contribuie in oarecare masura si depletia de potasiu indusa de unele diuretice.
  • Simptomele digestive

Congestia ficatului datorita stazei venoase. Ficatul se mareste de volum, devine sensibil sau chiar dureros, spontan sau la palpare. Aparitia icterului este observata uneori in cazuri de infarct pulmonar sau de necroza hepatica centrolobulara secundara stazei venoase hepatice. Staza venoasa in splanhne, ca si debitul arterial scazut in acest teritoriu produc o serie de tulburari digestive:

  • congestie venoasa a peretelui gastrointestinal, care se manifesta clinic prin simptome ca: anorexie, greata, vomismente, flatulenta, dureri abdominale, constipatie;
  • enteropatie exsudativa, care conduce treptat la spolierea de proteine a organismului;
  • disfunctie hepatopancreatica, ce determina o insuficienta metabolizare a grasimilor si glucidelor (sindrom de malabsorbtie pentru grasimi si glucide);
  • vasospasm accentuat si prelungit in segmentul intestinal, putand duce uneori la gangrena de intestin prin infarct intestinal sau la hemoragii digestive.
  • Tulburarile cerebrale

Uneori sunt manifestari de tip psihonevrotic secundare bolii cardiace grave si problemelor psiho-economice si sociale pe care aceasta le pune bolnavului. Alteori, scaderea debitului circulator cerebral - determinata de insuficienta cardiaca si, la persoanele mai in varsta, de scleroza, si eventual tromboza arterelor cerebrale - conduce la: scaderea puterii de concentratie si a memoriei, confuzie, ameteli, somnolenta. Uneori se produc pasager stari de stupoare, afazie, hemipareza.

  • Cianoza poate insoti formele mai severe de insuficienta cardiaca si este determinata de saturarea insuficienta a sangelui in plamani si de o desaturare excesiva in periferie.
  • Hipersudoratia
  • Cresterea temperaturii corporale cu 1-2 grade
  • Casexia cardiaca intovaraseste formele grave, stadiile finale.

Este evidenta in special in jumatatea superioara a corpului, unde nu sunt edeme. Cauzele sunt multiple: hipoxia tesuturilor, virarea metabolismului glucidic spre forma anaeroba producatoare de energie in cantitate mai mica, reducerea voita, sau determinata de boala a hranei, hipermetabolismul organismului respectiv, determinat de functionarea exagerata a muschilor respiratori, de functionarea neeconomicoasa a miocardului, de hiperactivitateasimpatica si a tesutului hematopoietic. La acestea se adauga o serie de cauze accesorii: tulburarile digestive, prezenta febrei, a infectiei, intoxicatiei medicamentoase sau de prezenta concomitenta a unui sindrom nefrotic. Malnutritia are un efect nefavorabil asupra functie cordului.

  • Semne fizice

In afara faptului ca sunt importante pentru diagnostic, ele evidentiaza de multe ori si boala de baza, generatoare a insuficientei cardiae.

Semne extracardiace. Staza pulmonara se exteriorizeaza clinic prin prezenta ralurilor subcrepitante in zonele bazale ale plamanilor. Uneori, ralurile sunt auzite mai bine pe partea de torace pe care sta culcat mai mult timp bolnavul. Unii bolnavi au respiratia suierata. Atunci cand exista transsudat suficient la baza dreapta apar semnele fizice de lichid (matitate lemnoasa, vibratii abolite, liniste ausculatorie, dilatatia spatiilor intercostale); daca lichidul este in cantitate mai mare la baza stanga, aceasta indica de obicei o cauza locala favorizanta de acumulare, asa cum se intampla in infarctul pulmonar sau infectia pulmonara. Edemele dependente sunt un semn fizic tardiv ca si prezenta ascitei; hepatomegalia dureroasa - in special zona lobului stang - este un semn care apare in caz de staza prelungita. Consistenta ficatului este crescuta; este insa elastic iar marginea lui inferioara este rotunjita; atunci cand se produce ciroza cardiaca, ficatul devine dur, nedureros, cu marginea ascutita si nu mai are tendinta sa revina la volumul normal asa cum se intampla cu ficatul de staza. Cand insuficienta cardiaca se complica prin instalarea insuficientei tricuspidiene, ficatul de staza devine pulsatil; palpat cu toata palma, se simte o expansiune sistolica. Aceasta senzatie palpatorie trebuie deosebita de cea epigastrica, produsa de contractia unui ventricul drept hipertrofiat. Splenomegalia moderata insoteste, intr-un procent mic de cazuri, ficatul de staza sau ciroza cardiaca; este o splenita congestiva - rezultat al stazei venoase. Uneori se adauga si prezenta ascitei. Lipsa hepatomegaliei sau un ficat cu diametrele subnormale, la un bolnav cu insuficienta cardiaca si staza venoasa evidenta, sunt cauzate de prezenta cirozei atrofice hepatice, posthepatitice, care nu mai permite acumularea de sange in ficat. Prezenta splenomegaliei la un bolnav cu insuficienta cardiaca este mai degrabaindicele cirozei posthepatitice.

Semne cardiace si vasculare Cardiomegalia este aproape intotdeauna prezenta, fara marirea de volum a inimii, nu poate fi vorba de insuficienta cardiaca. Face exceptie pericardita constrictiva.

La ausculatia cordului se poate auzi zgomotul al III - lea (S3) si capata semnificatie patologica atunci cand apare dupa varsta de 35 de ani. S3 este numit si galop protodiastolic. Acest zgomot a fost denumit si galop ventricular; el poate fi stang, atunci cand se aude mai bine spre stern. Aparitia lui este unul dintre primele semne ale insuficientei cardiace si inseamna ca trebuie sa se intervina cu tratament cardiotonic. El poate aparea uneori, in sarcina, tireotoxicoza sau anemii grave. Zgomotul al IV - lea (S4) apare in presistola si este cauzat de contractia atriala; de aceea poarta numele de galop presistolic sau atrial. Pulsul este mic si tahicardic; in insuficientele predominant ventriculare stangi se poate evidentia pulsul alternant. Venele gatului sunt destinse. Aprecierea acestei destinderi trebuie facuta cand bolnavul se afla ridicat la 45o (in pozitie culcata ele pot fi destinse fiziologic). Daca se apasa pe ficat, care prezinta staza venoasa se produce un plus de distensie a venelor jugulare, atat timp cat se exercita aceasta apasare (reflux hepatojugular).

Alte semne de laborator:

  • presiunea venoasa poate fi apreciata foarte bine clinic prin inspectia jugularelor;
  • timpul de circulatie este numai in parte determinat de viteza de ejectie a sangelui din cord si de viteza intoarcerii sangelui venos la inima. Timpul de circulatie este crescut in insuficientele cardiace severe;
  • capacitatea vitala scade progresiv cu aparitia si agravarea insuficientei cardiace;
  • volumul sanguin este normal sau crescut;
  • electrocardiodiagrama nu este folositoare in diagnosticul de insuficienta cardiaca; ea poate fi utila insa pentru stabilirea bolii de baza;
  • lichidele de ascita sau hidrotorax au reactia Rivalta negativa;
  • semnele de disfunctie renala si cerebrala in urina poate aparea proteinurie moderata; densitatea urinara este crescuta in perioadele oligurice, scazand in perioadele de diureza.

 EXAMENE COMPLEMENTARE

Investigatii de laborator
hemograma,
- Na+, K* seric,
- creatinina,
- ureea,
- proteinemie si albumina serica (la pacientii cu edeme).
- lipidele (daca nu au fost determinate ultimii 5 ani),
- T4 si TTH* la pacientii cu fibrilatie atriala, cu semne de afectiune a glandei tiroide si la pacientii in varsta > 65 ani.
- Ca2* si Mg2+ seric la pacientii ce primesc diuretice,

Investigatii instrumentale

ECG : schimbari ischemice de ST-T, dereglari de ritm, semne de pericardita

Radiografia toracica

Semnele radiologice. Cordul este marit de volum: diametrul bazal cardiac este mai mare decat jumatatea diametrului transvers bazal pulmonar. Venele pulmonare sunt dilatate. Artera pulmonara principala dreapta este dilatata si ea, la fel si ramura stanga a arterei.

Campurile pulmonare sunt incetosate datorita edemului pulmonar; aceasta tine de mai multe cauze:

  • cresterea densitatii interstitiului din zonele centrale pulmonare;
  • cresterea densitatii septurilor interlobare, interlobulare si subpleurale (prin aceste zone se face drenajul lichidului transsudat). Acumularea de lichid in spatiile interlobulare produce doua aspecte deosebite, care pot coexista: aspect de linii A. Kerley si de linii B. Kerley, orientate orizontal in zona bazelor; de asemena se constata prezenta de lichid subpleural, de obicei in unghiul costofrenic si bazal, simuland radiologic diafragme ridicate; prezenta de lichid liber in cavitatile mari pleurale (in dreapta in special);
  • edemul pulmonar alveolar. Aspectul este "in pete" cu contururi rotunjite; cand conflueaza mai mult zone cu edem, aspectul simuleaza pneumonia, bronhopneumonia, tumoarea sau infarctul pulmonar. O forma mai severa ca prognostic este cea "in fluture";
  • mediastinul este rigid;
  • venele cava superioara si azygos sunt dilatate.

Explorarea hemodinamica :

Cateterismul drept este necesar si pune in evi denta cresterea presiunii capilare pulmonare.

Cateterismul stang permite evaluarea functiei diastolice pasive a VS, prin calcularea rigiditatii camerei VS

ECO-cardiografia :evidentiaza substratul anatomic al disfunctiei diastolice:

remodelarea concentrica a VS,

stenoza aortica,

tulburari de kinetica segmentara,

HVS,

compresia VS de cavitatile drepte ale inimii.

anomalii specifice din cardiopatiile hipertrofice

pericarditele cronice fibroase constrictive si

anomalii nespecifice : tulburarile de umplere

Ventriculografia izotopica : determina indici de umplere ventriculara rapida si este mai practica decat Dopplerul cardiac ; datele furnizate sunt mai usor de utilizat.

Clasamentul NYHA

Clasa I - activitatea fizica nu este limitata. Activitatea fizica obisnuita nu suscita aparitia simptomelor.

Clasa II - limitarea moderata a activitatii fizice. Activitatea fizica obisnuita provoaca aparitia simptomelor de fatigabilitate, palpitatii, dispnee sau dureri anginoase.

Clasa III - limitarea marcata a activitatii fizice. Pacientul se simte confortabil in repaus, activitatea fizica moderata suscita aparitia simptoamelor mentionate anterior.

Clasa IV - nici un efort fizic nu se produce tara disconfort. Simptomele pot fi prezente in repaus.

Diagnostic diferential

Sindromul nefrotic: se exclude prin absenta afectiunilor renale, edemelor asimptomatice, proteinuriei in anamneza.

Ciroza hepatica: se exclude prin lipsa anamnezei de afectiune hepatica, stigmelor hepatice, excluderea factorilor de risc ale afectiunilor hepatice.

Tratament - scopul general al tratamentului ICC este de a reduce clasa functionala existenta si a mentine starea de compensare, afectand cat mai putin calitatea vietii pacientului.

ASISTENTA MEDICALA ADECVATA

In majoritatea cazurilor se asigura la domiciliu.

Indicatii pentru monitorizare si evaluare peiodica intr-un serviciu de cardiologie :

- clasa III sau a IV NYHA refractara la tratament.

- progresarea rapida a simptomelor in pofida tratamentului medicamentos cu doze mari.

- pacientii cu sincope din cauze necunoscute sau cei carora li s-a aplicat cardioversia.

- pacientii ce nu pot, din oarecare motive, tolera medicatia cu vasodilatatoare.

- necesitatea administrarii intravenoase a remediilor inotrope.

- pacientii tineri cu ICC de clasa I - II asociata cu disfunctia severa a VS, cu dilatatia severa a VS sau regurgitatia valvulara marcata.

Indicatii pentru spitalizare:

- ICC rezistenta la tratament ambulator;

- prezenta semnelor clinice sau electrocardiografice de ischemie acuta a miocardului;

- edem pulmonar sau insuficienta respiratorie acuta;

- patologic asociata grava;

- anasarca;

- hipotensiune arteriala marcata sau sincope;

- complicatii tromboembolice;

- aritmii clinic semnificative;

- suport social inadecvat pentru conduita sigura in conditii de ambulator.

Controlul insuficientei cardiace

Reducerea muncii inimii. Asistentul medical trebuie sa dea dovada de multa abilitate. Discret, dar ferm, trebuie sa-l linisteasca pe bolnav, sa-l impace cu conditia lui fizica precara. Este cunoscut cat de mult influenteaza starea sufleteasca, performantele cordului.

Dupa eficienta cardiaca, bolnavii de cord pot fi grupati astfel: grupa I (fara simptome sau semne de insuficienta cardiaca);

grupa a II-a (cu simptome la activitatea obisnuita);

grupa a III-a ( cu simptome ce apar la eforturi inferioare celor necesare activitatii zilnice obisnuite);

grupa a IV-a (cu simptome care apar si in repaus).

In grupa I intra pacientii care nu prezinta insuficienta cardiaca si acele cazuri care au un grad foarte discret de insuficienta cardiaca.

La bolnavii din grupa a II-a se va proceda la mici modificari in modul lor de viata, constand fie in rearanjarea orelor de lucru, cu repaus si mese mici la pranz sau program redus, fie in reajustarea felului de activitate.

3. La bolnavii din grupa a III-a trebuie redus drastic efortul fizic, pana la compensarea cordului. Aceasta se poate obtine fie acasa, fie in spital. Pacientul va sta in pat sau intr-un fotoliu. Durata repausului variaza intre 1 si 3 saptamani; in acest timp se recomanda exercitii fizice pasive pentru extremitati, miscari active ale membrelor, ciorapi elastici si anticoagulante, pentru a impiedica aparitia flebitei.

4. La bolnavii din grupa a IV-a se recomanda spitalizarea timp de 3 saptamani pentru compensarea cordului.

Intotdeauna cand se prescrie repaus, trebuie sa se aiba in vedere faptul ca, in afara efectului favorabil, acesta, poate genera aspecte nedorite:

scade tonusul muscular,

scade reactivitatea cardiovasculara,

creste staza venoasa,

se accentueaza starea de deprimare.

Integrarea in activitate, imediat ce este posibil, din punct de vedere medical, are un efect bun in combaterea tulburarilor psihice generate de invaliditate.

Cresterea puterii de contractie a miocardului si a volumului - bataie se obtine cu Digitala. Acestea sunt extrase si purificate din frunzele de Digitalis purpurea si respectiv, Digitalis lanata. In frunzele de Digitalis lanata se gaseste genina numita digoxina.

Preparate purificate obtinute din aceste frunze sunt Digoxinul, Lanatosidul C si Deslanosidul D. Preparatele de mai sus se administreaza pe cai diverse (per os, intravenos sau intramuscular). Este nevoie de o cantitate optima fixata de fibra miocardica pentru a obtine o toniefiere maxima. Aceasta se obtine dand initial o doza "de atac" denumita si "doza totala de incarcare".

Excretia se face pe doua cai: prin urina, in special digoxina (Digoxin), ceea ce face ca aceasta substanta sa se administreze in doze mai mici in insuficienta renala, situatie cand se prefera digitoxina, care se excreta in special prin bila. In insuficienta hepatica este preferata administrarea de digoxina (Digoxin). Cantitatea care se pierde zilnic trebuie inlocuita cu o doza zilnica, numita "doza de intretinere", necesara mentinerii unei incarcari optime cu digitala a fibrelor cardiace

Eficienta Digitalei in corectarea insuficientei cardiace tine, in mare masura, de etiologia acesteia:

  • efectele sunt foarte bune sau excelente in tratamentul insuficientei cardiace consecutive hipertensiunii arteriale, valvulopatiilor cronice ale aortei, insuficientei mitrale reumatismale, cardiopatiei ischemice, bolilor congenitale cardiace cu sunt stanga - dreapta;
  • efectele sunt putin satisfacatoare in cordul pulmonar cronic, miocardite, pericardita constrictiva, hipertensiunea arteriala pulmonara primitiva, tireotoxicoza, beri - beri, insuficienta cardiaca din anemiile grave sau din glomerulonefrita acuta;
  • in stenoza mitrala cu ritm sunizal si fara cresterea presiunii in vasele pulmonare, efectul Digitalei este nul. In formele cu fibrilatie atriala, scaderea ritmului ventricular asigura un volum - bataie mai mare, fara ca Digitala sa aiba un efect inotrop pozitiv evident.

contraindicatie absoluta a administrarii Digitalei :

este aparitia intoxicatiei.

stenoza subaortica hipertrofica.

insuficienta cardiaca discreta consecutiva unui infarct de miocard recent, este de preferat observarea cu atentie a evolutiei ulterioare a bolnavului si numai daca semnele de insuficienta cardiaca nu se sterg sau se accentueaza se va administra Digitala.

blocurile de grad mai mare (de gradul II sau totale) sau blocurile instabile constituie o contraindicatie pentru tratamentul digitalic.

Principii generate de tratament cu preparate digitalice:

  1. Efectul ionotrop pozitiv creste paralel cu doza administrata.
  2. Doza de incarcare in cardiopatia ischemica este mai mica decat cea folosita in formele de insuficienta cardiaca.
  3. Calea de administrare per os sau intravenoasa depinde de gravitatea cazului: fibrilatia atriala cu ritm rapid si semne de insuficienta cardiaca necesita urgenta, in timp ce o insuficienta cardiaca instalata lent poate fi tratata cu Digitala per os; in cazurile grave doza totala de incarcare va fi administrata rapid (intravenos, intr-o zi); in formele de insuficienta cardiaca cu evolutie mai putin severa, administrarea se face per os in decurs de 3-4 zile.
  4. Tratamentul digitalic este in majoritatea cazurilor cronic. Din timp in timp el trebuie reajustat.
  5. Semnele de intoxicatie digitalica constau uneori in tulburari severe de ritm, care pot aparea brusc, neprecedate de tulburari extracardiace.

Intoxicatia digitalica cauze:

introducerea de preparate digitalice purificate si de diuretice puternice. ( Reserpina si Guanetidina cresc sansa aparitiei intoxicatiei digitalice.)

Cresterea valorilor calciului seric poate induce la bolnavii digitalizati, aritmii grave ventriculare.

Varsta avansata a bolnavului,

prezenta cardiopatiei ischemice

infarctului de miocard,

prezenta unor boli cerebrovasculare,

hipotiroidita,

insuficienta renala,

cordul pulmonar

Semnele intoxicatiei digitalice sunt extracardiace si cardiace

Semne extracardiace :

a.                Tulburarile digestive (anorexie, greturi, varsaturi, diaree, dureri abdominale).

b.               tulburari de vedere (vedere albastruie sau galbena, scotoame),

c.                ginecomastie,

d.               nevralgie trigeminala sau

e.                psihoze toxice, mergand pana la stari de delir.

Semnele cardiace o parte pot fi evidentiate la examenul fizic al aparatului cardiovascular; altele sunt evidentiate numai de electrocardiograma.

Examen fizic :

a.       extrasistolele, aparitia bigeminismului sau

b.      perioade Wenckebach,

c.       cresterea progresiva a ritmului cardiac de la o zi la alta sub administrare de digitala,

d.      cu sau fara prezenta blocului atrio-ventricular.

ECG: :

a.       extrasistole ventriculare, adeseori cuplate sau multifocale,

b.      disocieri de ritm cu interferenta,

c.       tahicardie atriala cu bloc atrio-ventricular,

d.      tahicardie nodala,

e.       blocuri atrio-ventriculara de diverse grade,

f.        fibrilatie sau flutter atrial,

g.       aritmiisinusale,

h.       bloc sino-atrial,

i.         oprirea sinusului cu un centru migrator,

j.        tahicardii ventriculare,

k.      fibrilatie ventriculara.

  • Tratamentul intoxicatiei digitalice

In toate cazurile se opreste administrarea medicamentului. Concomitent cu oprirea digitalicelor se procedeaza la inventarierea medicatiei si administrarea antidotului

Masuri generale

- initierea imediata a tratamentului pentru intoxicatia digitalica

- evidentierea si tratamentul cauzelor corectabile;

- eliminarea factorilor precipitanti

REGIM

in stari avansate repaus la pat in pozitie semisezanda,

utilizarea strampilor antiembolici,

majorarea activitatii graduala (pe masura ameliorarii manifestarilor ICC).

exercitii fizice dozate pot ameliora statutul functional in anumite

situatii clinice (cu exceptia miocarditei acute si stadiului acut alIM).

Dieta

limitarea lichidelor (nu toti necesita aceasta indicatie), in prezenta edemelor - restrictia lichidelor pana la 2000 ml/zi (include lichidele din produsele alimentare solide).

- limitarea sodiului ( NaCl) pana la 2g/zi.

Educatia pacientului / familiei

- se explica natura insuficientei circulatorii si cauzele aparitiei simptomelor.

- cauzele insuficientei circulatorii.

- cum pot fi recunoscute simptomele.

- limitarea consumului sarii de bucatarie pana la 2000 mg /zi si nu mai mult de 700 mg la o alimentatie.

- monitorizarea zilnica a masei corporale (consultatia in caz de acumulare a 800-900g greutate corporala pe zi sau 2,5 kg /saptamana).

- argumentele pentru a urma tratamentul.

- importanta urmarii indicatiilor de tratament medicamentos si nemedicamentos.

- efectele medicamentelor prescrise, doza si timpul de administrare, efectele adverse, semnele de supradozare / intoxicatie, actiunile pacientului in caz de omitere a unei doze.

- nivelul activitatii fizice, activitatea sexuala.

- evitarea consumului de alcool.

- abtinerea de la fumat.

- membrii familiei vor fi informati cum sa procedeze in caz de moarte subita.

Supraveghere - monitorizarea pacientului variaza in functie de circumstantele clinice. Initial la fiecare doua saptamani dupa stabilizarea pacientului. Control riguros al semnelor clinice, electrolitilor, ureei si creatininei serice. 

Complicatii posibile

- intoxicatia cu digitale.

- dereglari severe electrolitice.

- aritmii atriale si ventriculare.

- insuficienta circulatiei mezenteriale.

- enteropatia proteica.

Pronostic si evolutie

Rezultatele tratamentului, de regula, sunt bune.

Pronosticul de lunga durata:
Clasa II - mortalitatea anuala - 5-10%
Clasa III - 10-20%
Clasa IV - 20-50%.

PREZENTARE DE CAZ

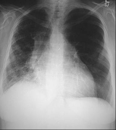
Pacient in varsta de 69 de ani, cunoscut de peste 5 ani cu hipertensiune arteriala esentiala si dislipidemie, se prezinta pentru dispnee inspiratorie de efort (de doua luni dispneea apare la eforturi de intensitate medie), palpitatii, fatigabilitate, ameteli si anorexie, simptome aparute afirmativ in ultimele 4 luni.

Examenul obiectiv evidenteaza: facies buhait, rinofima, conjuctive injectate; aparat respirator: raluri crepitante bazal drept; aparat CV - TA 150/90 mmHg, puls 160/min, soc apexian in spatiul VI intercosal stang, aria matitatii cardiace global marita, zgomote cardiace aritmice, zgomotul III prezent, suflu holosistolic de grad II la apex.

Examenul radiologic toracic si electrocardiograma pacientului sunt evidentiate

astfel:.

Care sunt problemele de baza ale pacientului a pacientului?

Denumiti diagnosticele de nursing pentru fiecare problema a pacientului si descrieti obiectivele de ingrijire aferente fiecarui diagnostic de nursing , precum si interventiile necesare realizarii obiectivelor formulate

Descrieti aspectul EKG. Carei afectiuni ii corespunde acest aspect?
4. Care este si cum explicati afectarea / nevoia pulmonara?

Raspuns:



1. Cardiomiopatia dilatativa alcoolica

2. Insuficienta mitrala. Dilatarea ventriculului stang a determinat tractionarea cordajelor valvulare→deficit de cloazonare valvulara.

3. Ritm neregulat, absenta undei P → Fibrilatie atriala.

4. Staza pulmonara (raluri crepitante, diminuarea transparentei bazelor pulmonare, preponderent in dreapta pe radigrafia toracica - edem alveolar) secundara insuficientei ventricului stang (zgomot III prezent).

Informatie suplimentara

Cardiomiopatia dilatativa este o afectiune caracterizata prin dilatarea globala a inimii (a tuturor cavitatilor sale) secundar unor afectiuni care determina cel mai adesea insuficienta ventriculara stanga. Spre deosebire de cardiomiopatia hipertrofica, peretii cavitatilor cardiace au dimensiuni normale dar cavitatile ventriculare si atriale sunt mult marite ceea de determina aparitia insuficinetei cardiace globale (dreapta si stanga). Diltarea progresiva determina aparitia insuficientelor valvulare mitrale si tricuspidiene→volum sanguin restant suplimentar→dilatare marcata atrioventriculara→suferinta miocardica.

Principalele cauze care determina dilatarea cordului sunt: diabetul zaharat, consumul cronic de alcool sau droguri, HTA de duarta, infectii virale (HIV, Coxsackievirus, adenovirus, rujeola, rubeola, virusul Ebstein-Barr), parazitare (boala Lyme).., hipohipertiroidismul, acromegalia, boli de colagen (LES, poliartrita reumatoida, polimiozita), hemocromatoza, amiloidoza, boli neuromusculare, tumori intracardiace, postsarcina, posttransplant, etc.

Manifestarile clinice initiale sunt dependente de afectiunea de baza care a dus la suferinta cardiaca, pentru ca ulterior manifestarile de insuficienta cardiaca sa fie pe primul plan: dispnee, ortopnee, oboseala, dureri precordiale, ameteli, anorexie, palpitatii sincope - secundare tulburarilor de ritm (tahiaritmii, fibrilatie atriala). Examenul clinic evidenteaza semne ale bolii de baza, marirea globala a cordului, diminuarea zgomotelor cardiace, aparitia semnelor de decompensare cardiaca stg - galop ventricular, suflu de IM, raluri crepitante de staza - si dreapta - galop atrial, suflu de IT, edeme periferice, hepatomegalie, turgescenta venelor jugulare, ascita.



Politica de confidentialitate | Termeni si conditii de utilizare



DISTRIBUIE DOCUMENTUL

Comentarii


Vizualizari: 3881
Importanta: rank

Comenteaza documentul:

Te rugam sa te autentifici sau sa iti faci cont pentru a putea comenta

Creaza cont nou

Termeni si conditii de utilizare | Contact
© SCRIGROUP 2025 . All rights reserved