| CATEGORII DOCUMENTE |
| Alimentatie nutritie | Asistenta sociala | Cosmetica frumusete | Logopedie | Retete culinare | Sport |
Explorari paraclinice - apendicita
1 Analize de laborator
Leucocitoza moderata, intre 10.000 - 18.000 / mmc , este de obicei prezenta la pacientii cu apendicite acute, necomplicate si deseori asociata cu o crestere moderata a polimorfonuclearelor. In prezenta unui nivel normal de leucocite , diagnosticul de apendicita acuta trebuie reconsiderat. Insa in 20 - 30 % din apendicitele acute, numarul de leucocite este in limite normale sau usor crescut. Este neobisnuita o crestere a leucocitelor peste 18.000 / mmc in apendicitele necomplicate. Un nivel atat de crescut al leucocitelor pledeaza pentru posibilitatea unei perforatii apendiculare cu sau fara abces. Leucocitoza nu trebuie sa influenteze negativ decizia de interventie chirurgicala la cei cu tablou clinic clar de apendicita.
Sumarul de urina este util pentru excluderea unei infectii urinare deoarece in apendicita acuta este normal. Totusi, un apendice inflamat si situat in contact cu ureterul sau cu vezica urinara poate determina un sediment urinar patologic cu hematii, leucocite si puroi. Prezenta excesiva a hematiilor si piuria masiva este de obicei determinata de o afectiune urologica.
2 Explorari imagistice
Compresia gradata sonografica este sugestiva pentru stabilirea cu acuratete a diagnsticului de apendicita. Apendicele apare ca o terminatie oarba, un fragment intestinal neperistaltic, cu originea la nivelul cecului. Printr-o compresiune maximala, se masoara diametrul antero-posterior al apendicelui. Testul este considerat pozitiv daca diametrul antero - posterior al apendicelui necomprimat este de 6 mm sau mai mult. Prezenta unui apendicolit stabileste diagnosticul. Imaginea ecografica a unui apendice normal, care este o structura tubulalara inchisa la un capat, usor compresibila, cu un diametru de 5 mm sau mai putin, exclude diagnosticul de apendicita acuta. Studiul este considerat negativ daca apendicele nu se vizualizeaza si nu exista o masa tumorala sau fluid pericecal. Cand se exclude ecografic diagnosticul de apendicita acuta, o scurta evaluare a restului cavitatii abdominale ar fi de preferat pentru stabilirea unui alt diagnostic. La femeile active sexual, organele pelvine genitale ar trebui vizualizate atat transabdominal, cat si transvaginal, pentru a exclude o patologie ginecologica care ar putea cauza durerea abdominala acuta.
Diagnosticul ecografic al apendicitei acute are o sensibilitate de 78 - 96 % si o specificitate de 85 - 98 %. Ecografia poate fi realizata in scop diagnostic la copii si femeile insarcinate, desi aplicabilitatea ei este oarecum limitata in ultimele luni de sarcina.
Ecografia are o serie de limite nete si rezultatele sunt dependente de experienta celui care o efectueaza. O imagine fals pozitiva poate sa apara in prezenta unui proces inflamator periapendicular determinat de inflamatia tesuturilor limitrofe; o dilatare a trompelor uterine poate fi confundata cu o inflamatie apendiculara, resturi de fecale neevacuate pot mima un apendicolit, iar la pacientii obezi, apendicele poate fi incompresibil atat datorita procesului inflamator acut, dar si datorita stratului de tesut adipos. Ecografii fals negative pot sa apara in conditiile unei limitari a procesului inflamator la varful apendicelui, in apendici cu localizare retrocecala, atunci cand este marit si poate fi confundat cu intestinul subtire sau in caz de perforatie apendiculara cand este comprimat.

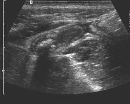
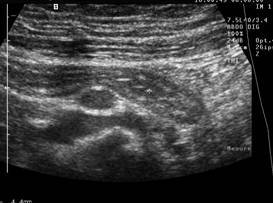
Fig . 9 Apendicita acuta cu prezenta unui stercolit in lumenul apendicular

Fig. 10 Apendicita acuta cu adenopatie inflamatorie

Fig. 11 Apendicita acuta cu hiperemie parietala

Fig. 12 Apendicita acuta ( diametru transvers >6mm
|
Politica de confidentialitate | Termeni si conditii de utilizare |
Vizualizari: 3055
Importanta: ![]()
Termeni si conditii de utilizare | Contact
© SCRIGROUP 2025 . All rights reserved