| CATEGORII DOCUMENTE |
| Alimentatie nutritie | Asistenta sociala | Cosmetica frumusete | Logopedie | Retete culinare | Sport |
Explorarea ecografica a micului bazin
1. ECOGRAFIA ABDOMINALA IN PRACTICA GINECOLOGICA
Anatomia micului bazin trebuie cunoscuta pentru rapoartele dintre organele interne.

Fig. Nr.341. Sectiune longitudinala prin pelvisul feminin

Fig. Nr. 342. Pelvis feminin vazut dispre peretele abdominal
Aplicatiile ecografiei transabdominale in ginecologie
monitorizarea cresterii foliculilor ovarieni
diagnosticul anomaliilor genitale
explorarea durerii abdominale
diagnosticul tumorilor pelvine
evidentierea dispozitivelor intrauterine
aprecierea rezidiuului vezical
cautarea semnelor indirecte tumorale (ascita, metastaze hepatice, obstructii de tract urinar)
urmarirea tratamentelor endometriozei sau a tratamentelor oncologice
urmarirea chistelor functionale
urmarirea postoperatorie (sangerarea postoperatorie, hematoame, limfocel, abces al Douglasului, stenoza urinara, etc)
Conditii tehnice
Vezica urinara trebuie sa fie destinsa, in cazul vezicii urinare goale, uterul si anexele sunt abia evidentiabile sau chiar deloc, obturate de ansele ileale. Pentru crearea unor ferestre acustice multumitoare, pacienta va primi cu peste o ora inainte de examinare circa 1 l de bautura necarbonatata. Ideal vezica nu va depasi fundul uterin, in caz contrar va impinge organele genitale interne spre posterior si pacienta va avea durere la presiunea transductorului. Daca avem nevoie urgent de diagnostic pe cale abdominala ecografica, putem umple vezica urinara prin cateterismul vezicii urinare si introducerea a 250-300 ml ser fiziologic. Vezica urinara va ramane conventional la sectiune sagitala a pelvisului la dreapta imaginii.
Sectiunile obtinute la pacienta in decubit dorsale vor fi cele principale: sagitala, parasagitala si transversale. Sectiunile oblice pot fi folosite , ocazional.

Fig. Nr.343. Planurile de sectiune ecografica abdominala, folosite in ginecologie, vedere dinspre peretele abdominal

Fig. Nr.344. Planurile de sectiune transversala la ecografia abdominala, prin pelvisul feminin, vedere dinspre lateral

Fig. Nr.345. Sonde ecografice destinate explorarii transabdominale ( stanga sonda sectoriala, dreapta sonda mecanica )
Fig. nr.346. Sectiune sagitala prin pelvis la ecografia abdominala, uter premenarcha

Fig. nr.347. Sectiune transversala ecografica transabdominala , cu uter si ovare premenarcha .

Fig. nr .348.Uter postmenarcha ,la ecografia abdominala , sectiunea sagitala
Fig. nr.349. Sectiune transversala prin pelvisul feminin , la ecografia abdominala postmenarcha, se remarca ovarele cu zone anecogene foliculare.

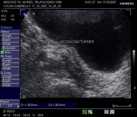
Fig. nr. 350.Uter infantil la o pacienta cu mozaicism Turner ( lungimea colului egala cu cea a corpului uterin ) la ecografia abdominala in sectiune sagitala
Fig. nr.351. Uter si ovar situat retrouterin , la o pacienta normal menstruata , ecografie transabdominala sagitala
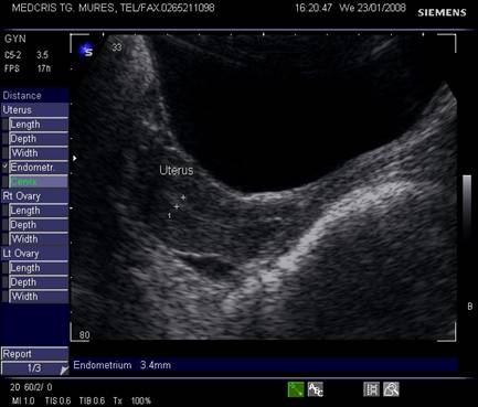
Fig. nr.352. Uter in retroversoflexie , cu hiperplazie de endometru la ecografia abdominala.

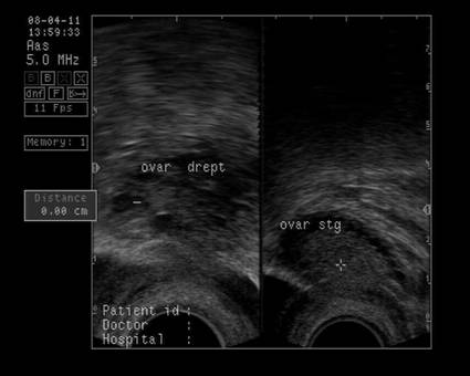
Fig. nr.353. Ovar la ecografia abdominala, cu zoom, in sectiunea parasagitala a pelvisului
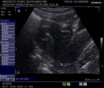
Fig. nr.354. Dispozitiv intrauterin la ecografia abdominala in sectiunea sagitala

Fig. nr.355. La ecografia peretelui abdominal, o formatiune inomogena , prost delimitata in zona fasciei - un granulom de fir dupa o interventie chirurgicala
2.Explorarea ecografica transvaginala
Se realizeaza cu sonde dedicate, acoperite cu un prezervativ. Are aproximativ aceleasi aplicatii ca si ecografia transabdominala a micului bazin, in schimb datorita eliminarii peretelui abdominal dintre sonda si organele genitale interne, ca si posibilitatile utilizarii de frecvente mai mari, detaliile de ecostructura sunt mult mai bune. Nu trebuie uitat ca unele paciente nu pot fi examinate transvaginal (de exemplu virgine, unele anomalii genitale,operatii anterioare, etc) de aceea anamneza si consultul genital ar trebui sa preceada explorarea ecografica.Vezica urinara va fi spre stanga imaginii in sectiunea sagitala a pelvisului, conventional sectorul sondei se va deschide de jos in sus. Exista si scoli de ecografie care pastreaza alte conventii de pozitionare a sondei.Pozitia uterului de anteflexie sau retroversoflexie trebuie identificata , preferabil a fi cunoscuta inainte de inceperea ecografiei transvaginale.
Suplimentar fata de aplicatiile ecografiei transabdominale a micului bazin, ecografia transvaginala are certe merite in:
diagnosticul sindromului de ovar polichistic , a chistelor si a foliculilor ovarieni,
evaluarea endometrului
investigarea anomaliilor genitale
sarcina extrauterina, in special necomplicata,
aspiratie de foliculi ovarieni pentru fertilizare in vitro,
examen Doppler tumoral sau al organelor genitale interne,
investigatia trompelor uterine cu substanta instilata prin colul uterin
eco 3D + urmarirea postoperatorie.

Fig. Nr. 356.Pozitia uterului a. anteflexia normala, b . intermediara, c. retroflexia

Fig. Nr. 357.Sonde ecografice destinate explorarii transvaginale
Vaginul este o structura relativ hipoecogena, tubulara, daca sonda transvaginala este introdusa doar 2 - 3 cm, cu perete de 2 - 3 mm.
Uterul - situat intre vezica si rect, pozitia lui poate fi variabila, influentata si de umplerea vezici. De obicei, corpul uterin si colul au o relativa omogenitate interna ecografica. Cateodata imagini anecogene in peretele cervical reprezinta chiste Naboth.
Vasele uterine apar in 1/3 externa a miometrului, cu contur neregulat, anecogene si usor de recunoscut la Doppler.
Endometrul situat in centrul uterului are contrast bine delimitat fata de corpul uterin, ecogenitatea endometrului este mai mare decat a miometrului. Vasele de la nivelul miometrului - endometrului dau o zona de contrast relativ anecogena fata de miometru - endometru.
Dimensiunile uterului la o pacienta nulipara matura, masurate transvaginal sunt de 7,3 cm x 4,0 cm x 3,2 cm. In general dimensiunile cresc cu paritatea si scad dupa menopauza.
Raportul intre corp si col este aproximativ de 1,6 in ceea ce priveste lungimea.[5,6]
Endometrul - grosimea sa este apreciata in sectiune longitudinala. Masurarea se va face de la interfata miometru - endometru la interfata identica, opusa, de pe peretele celalat uterin. Maxim acceptat normal este de 1,5 cm in perioada de premenopauza.[5] Postmenopauza in mod normal nu depaseste 5 mm, de obicei este atrofic si apare ca o imagine ecogena lineara. Daca apare o colectie anecogena postmenopauzala intrauterina, prin atrofie cervicala, aceasta colectie nu trebuie sa fie masurata la calculul grosimii endometriale.[2,6]
Ovarele. Sectiunea longitudinala directa, spre peretele lateral pelvin, la ecografia transvaginala, pune in evidenta ovarele cu forma elipsoidala. Acestea au structura ecografica relativ slab ecogena, in apropierea si sub vasele iliace.[5]
La pacientele care nu consuma contraceptive hormonale orale se pot identifica usor foliculii selectati preovulator sau corpul galben.
In postmenopauza, disparitia ecostructurii specifice cu foliculi anecogeni si atrofia ovarelor duce la identificarea ovarelor in proportie mult mai mica (de la 96% in premenopauza , scade identificarea ovarelor la 64%, prin ecografie transvaginala [6]).
Marimea ovarelor: inainte de menopauza aproximativ 3,5 x 2,5 x 1,5 cm si aproximativ 2,0 x 1,5 x 1 cm dupa menopauza. Nu se poate aprecia volumul ovarian decat masurand cele trei diametre in planuri sagitale, oblice si coronale ale pelvisului.[1,2,9]
Trompele uterine normale nu pot fi identificate decat la emergenta, intr-o sectiune coronala la nivelul fundului uterin, ca o structura liniara hipoecogena.[6] Daca exista lichid liber in fundul de sac Douglas, partea pavilionara tubara poate fi evidentiata flotand. Trompele normale, cu lumen normal pot fi evidentiate cu agent de contrast instilat endocervical (de exemplu Echovist). Trompele cu continut patogen pot fi evaluate ecografic cel mai bine transvaginal.

Fig. Nr.358. Uter in sectiune longitudinala, in anteversoflexie
Fig. Nr.359. Sectiune transversala la ecografia transvaginala, la nivelul corpului uterin

Fig. Nr. 360.Ovar sub vasele iliace , in ziua a XXI a de ciclu menstrual
3.Modificari uterine si ovariene in timpul ciclului menstrual normal
Dupa Deichert si Michaels[4] se disting 4 structuri endometriale diferite, la ecografia transvaginala:
Tipul proliferativ - hipoecogen, apare cu aceeasi ecogenitate ca si miometrul. Apare dupa menstruatie si in faza medie proliferativa. Are un ecou central liniar .
Tipul periovulator - are limita ecogenica distincta cu miometrul adiacent si un ecou liniar central (imagine de inel cu linie pe mijloc).
Tipul secretor I - la inceput de faza luteala e caracterizat de cresterea ecogenitatii cu pierdere treptata a ecoului central. Cresterea ecogenitatii este centripeta, in centrul cavitatii uterine persista o marcata arie ecogenica.
Tipul secretor II - tipul S1 persista in unele cicluri in timpul fazei luteale medii, cu disparitia ocazionala a ecoului central. In continuare schimbarea ecogenitatii endometriale devine completa in toata cavitatea uterina.
Grosimea endometrului este de circa 1-2 mm la inceput de faza proliferativa, de cca 5 mm in ziua 10 -11, cu 1 zi preovulator cca 10 - 12 mm,apoi stagneaza, toate acestea la un ciclu menstrual de 28 zile.[2,6]

Fig. nr.361. Endometru in faza de secretie incipienta
Fig nr.362. Endometru in faza de secretie tardiva ( Ziua a XI a de ciclu menstrual ). Se remarca linia continua dintre cele doua ecostructuri endometriale de pe peretii uterini opusi .

Fig. nr.363. Endometru la inceput de secretie ( ziua a XV a de ciclu menstrual , postovulator). Se remarca pierderea discreta a interliniei endometriale in regiunea periferica, in timp ce regiunea cavitatii uterine centrale pastreaza linia ecogena
Fig. Nr.364.Endometru de faza secretorie medie, cu pierderea interliniei caracteristica fazei de proliferare

Fig. nr.365. Endometru premenstrual, se remarca ecogenitatea caracteristica
Fig. nr.366. Cavitatea uterina fara continut postabortum, se remarca reactia deciduala , intre cavitatea anecogena si miometru

Fig. nr.367. Uter in climax, linia cavitatii uterine discret neregulata si aparent fara endometru, datorita atrofiei
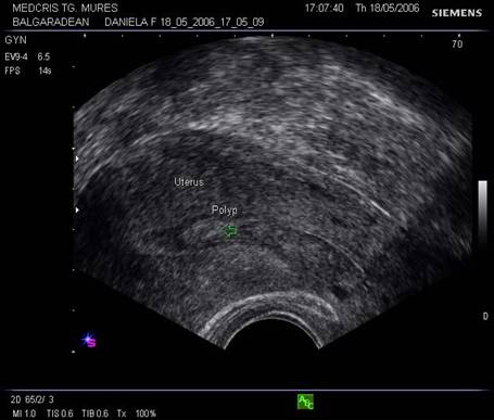
Fig. nr.368. Polip endometrial. Se remarca zona cu ecogenitate crescuta fata de restul endometrului, bine delimitata si marcata cu sageata.

Fig. nr.369. Polip endocavitar uterin in statu nascendi, la examenul clinic
Fig. nr.370. Polipul din figura precedenta la examenul ecografic vaginal, cu vascularizatia de origine endocavitara uterina la examenul Doppler, determinand dilatatia canalului cervical
Cresterea foliculara si foliculometria
Dupa ziua a 5-7, un folicul ovarian devine dominant , fata de ceilalti ce devin atretici. In ziua 10 -a - 11-a foliculul depaseste 12 mm diametru. Cresterea foliculara de 2 - 3 mm/zi ne duce la un folicul preovulator de cca 21 mm diametru (24 - 26 mm). Doi foliculi dominanti au fost identificati in 10% din ciclurile spontane [8].
Deoarece foliculii sunt ovoidali, diametrul mediu conteaza pentru foliculometria, dupa masurarea a 3 diametre si impartirea la 3.[6]
Semnele ecografice ale ovulatiei iminente [6,9]:
Ovarul:
diametrul folicular peste 20 mm,
detectarea cumulus oophorus in folicul
semnal Doppler la periferia foliculului
Uterul
endometrul cu linie de mijloc
dilatatie marcata a canalului cervical
Semnele ecografice postovulatorii [2,6,9]
Ovarul
foliculul nu se mai observa in tensiune
foliculul colabat
aparitia corpului luteal
vascularizatie crescuta periferica la ecoDoppler
Uter
endometru cu intreruperea liniei de mijloc
Douglas
cu lama de lichid
Fig. nr.371. Folicul selectat ziua a XI a de ciclu menstrual, la ecografia transvaginala

Fig. nr.372. Folicul preovulator , in care se remarca
cumulus oophorus ( sageata, eco transv.)

Fig. Nr.373. Corp galben recent, ziua a XV a de ciclu menstrual , prima zi postovulator. Se remarca aspectul ratatinat, anecogenitatea interna asociata cu fine puncte avand ecogenitate medie .( ecografie transvaginala )
Fig. nr.374. Ovar in cadrul unui sindrom de ovar polichistic , cu multiplii foliculi (peste 7- 10 pentru fiecare sectiune ) dispersati in intreaga masa ovariana, de talie mica sub 5- 6 mm diametrul folicular

Fig. nr.375. Sindrom de ovar polichistic sub tratament cu methformin, se remarca la nivelul ovarului stang multiplii foliculi de talie mica dispusi periferic.
Fig. nr.376. Ovar cu dimensiuni mari , dupa stimulare si recoltare de ovocite.
4.Tumori pelvine mai frecvente apartinand organelor genitale, evidentiate ecografic
Fibromul uterin - cea mai frecvent intalnita tumora genitala, cu frecventa de 20 - 50% din femei [3].
Aproximativ 90% din fibroame (leiomioame) apar la nivelul corpului uterin. Se descriu, faza miomatozei difuze, fibroame intramurale, subseroase, submucoase, intraligamentare.Mioamele prezinta margini bine delimitate fata de miometru la ecografie, continand arii de mai mare sau mai mica ecogenitate in functie de modificarile degenerative.[1,6]

Fig. Nr.377. Diferite localizari ale fibromului uterin (adaptat dupa Netter
Fig. Nr.378. Pacienta
cu fibromatoza uterina difuza la ecografia transvaginala , dupa miomectomie . (
se remarca ecostructura uterina cu travee multiple cu ecogenitate crescuta, in
special in peretele anterior uterin)
Fig. nr.379. Nodul fibromatos cu degenerescenta calcara, in climax ( se remarca punctele hiperecogene din structura fibromului , ecografie transvaginala )

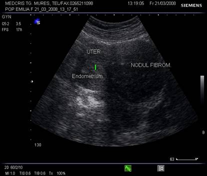
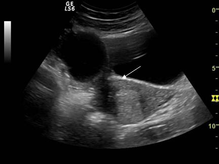
Fig, nr.380. Nodul fibromatos intramural si subseros al peretelui anterior uterin, in sectiunea sagitala a ecografiei abdominale

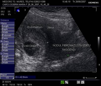
Fig. nr. 381.Nodul fibromatos ce prolabeaza prin canalul cervical, la ecografia abdominala

Fig. nr. 382. Formatiune multiloculara partial anecogena , partial inomogena, retrouterina. Se remarca delimitarea relativa cu peretele posterior uterin, ca si ecostructura modificata uterina si colectia anecogena intracavitara (adenocarcinom de endometru cu metastazare in anexe, dg. intraoperator si anatomopatologic) .

Fig. nr.383. Fibrom uterin pediculat submucos , in cavitatea uterina determina hematometra anecogena , ecografie transvaginala

Fig. Nr.384. Nodul fibromatos pediculat submucos, piesa operatorie, dupa ecografia din figura precedenta
Fig. nr.385. Nodul submucos ce deformeaza cavitatea uterina, ecografie transvaginala

Fig. nr.386. Nodul fibromatos subseros , la ecografia transvaginala
Tumorile ovariene
Ecografia abdominala si transvaginala trebuie sa raspunda suspiciunilor legate de malignitate sau benignitate. In functie de tipul de ecogenitate interna, tumorile ovariene se pot clasifica in [2,5,6] :
tumori ovariene pur chistice
tumori ovariene pur solide
tumori mixte ovariene
Criteriile de evaluare sonografica a acestora sunt:
Tumori ovariene chistice
compartimente (uniloculare - multiloculare)
grosimea peretilor si a septurilor
ecogenitatea interioara generala
prezenta de ecogenitati interne organizate, distributia acestora, etc
Tumori ovariene solide
omogene sau inomogene
uniforme sau neuniforme ca ecogenitate
Suspiciunea de benignitate sau malignitate poate fi ridicata ecografic, pe baza a catorva criterii
|
Benigne |
Maligne |
|
margini bine delimitate |
margini prost delimitate |
|
perete si septuri subtiri |
perete si septuri groase |
|
omogene |
inomogene |
|
ecogenitate uniforma |
ecogenitate neuniforma |
|
indice de rezistenta arteriala in perete de peste 0,4 |
indice de rezistenta arteriala in perete sub 0,4 |
Tabel nr. XVIII Criterii ecografice de suspiciune pentru malignitate sau benignitate.(adaptat dupa Merz[6])
Diagnosticul diferential al tumorilor din micul bazin, chistice sau solide, descoperite ecografic, se va face cu:
fibromul uterin pediculat
chistul ovarian functional
carcinomul sau sarcomul ovarian
corp galben hemoragic
tumori inflamatorii ovariene
abcese ale micului bazin
endometrioze
chistul dermoid
hidrosalpinx sau tumori ale trompei uterine
ansele ileale destinse
tumori de sigma sau colon
tumori vezicale
tumori retroperitoneale
sindroame aderentiale cu lichid cloazonat

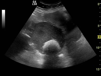
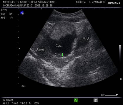
Fig. nr.387. Formatiune anecogena uniloculara cu perete subtire ( sageata ), fara lichid in Douglas ( chist functional , la o pacienta de 15 ani , la ecografia abdominala

Fig. nr.388. Chist ovarian anecogen , unilocular , cu perete subtire la ecografia transvaginala
Fig. nr.389. Formatiune chistica anteuterina ,aparent partial solida ( inomogena superior ) si partial lichida ( anecogena inferior ) interpusa intre vezica urinara si uter .

Fig. nr.390. Aceeasi formatiune ovariana ca in figura precedenta, la ecografia transvaginala

Fig. nr.391.
Endometriom ovarian vechi ,recidivat postoperator,
situat retrouterin
( sageata ). Se remarca ecogenitatea crescuta si asemanatoare ecostructurii endometriale uterine.

Fig. nr.392. Chist ovarian multilocular predominant anecogen , la ecografia transvaginala.
Fig. nr.393. Chist ovarian inomogen, cu hemoragie intrachistica , la ecografia transvaginala. ( la o luna remis spontan )

Fig. nr.394. Chist paraovarian , anecogen la ecografia transvaginala. Se remarca demarcatia cu ovarul ( sageata )

Fig. nr.395.Plex venos dilatat , parametral ( diagnostic diferential cu un chist ovarian, dificil uneori , la ecografia transvaginala )

Fig. nr.396. La ecografia tranvaginala asociata cu Doppler , plexul venos dilatat se diferentiaza facil de un chist ovarian
Fig. nr.397. Neoplasm ovarian cu carcinomatoza peritoneala, sectiunea sagitala a ecografiei abdominale prin pelvis. Se remarca uterul mic , atrofic, postmenopauza si zona anecogena lichidiana din Douglas, ce inconjura anexa . Anexa este inomogena , prost delimitata , cu mici hiperecogenitati, dar contine si o zona chistica anecogena

Fig. nr.398. Tumora ovariana inomogena cu mici zone hiperecogene , aparent solida , la ecografia transvaginala ( la examenul anatomopatologic tumora Brenner )
Fig. nr. 399.Chist ovarian anecogen unilocular , situat deasupra vezicii urinare si corpului uterin, la ecografia abdominala

Fig. nr. 400.Formatiune retrouterina in principal cu ecogenitate medie, cu zone de hiperecogenitate situate decliv, caracteristice pentru chistul ovarian dermoid

Fig. nr.401. Formatiunea tumorala ovariana descrisa in ecografia din figura precedenta, aspect intraoperator

Fig. nr.402. Postoperator cu aspectul clasic cu fire de par, la deschiderea chistului ovarian dermoid
Fig. nr.403. Uter cu sac gestational, anterior vezica urinara in pozitia conventionala. Se remarca o zona anecogena in regiunea intervezicouterina ( colectie lichidiana postoperatie cezariana)
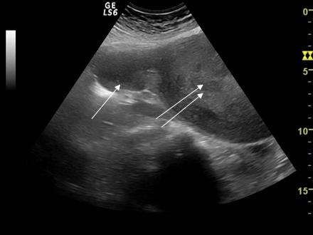
Fig. nr. 404. Colectie anecogena in lumenul trompei .Hidrosalpinx ce inconjura ovarul omonim, se remarca peretele cudat al trompei cu continut lichidian.

Fig. nr.405.Formatiune tumorala laterouterina,la ecografia transvaginala, inomogena,imprecis delimitata, in climax. ( cu o sageata, uterul, cu o doua sageti tumora, ce s-a dovedit intraoperator ca apartinand trompei )

Fig. nr.406. Formatiune anecogena paraovariana, la cca 2 ani post histerectomie totala cu pastrarea anexelor, posibil prin sindrom aderential colectie lichidiana.

Fig. nr.407. Formatiune tumorala
inomogena, retrouterina , in lumenul sigmei,
( sageata) ulterior neo de sigma la colonoscopie.

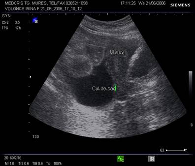
Fig. nr.408.Zona anecogena in sacul Douglas , la ecografia abdominala, asociata ascitei
![]()
Fig. nr.409. Formatiune anecogena intracervicala ( sageata ) -chist Naboth la ecografia transvaginala

Fig. nr.410. Hematometra, hematocolpos prin himen imperforat. Cu o sageata , uterul cu un continut inomogen , cu doua sageti vaginul destins cu continut inomogen.
Fig. nr.411.Aceeasi pacienta ca in figura precedenta, dupa incizia himenului. Se remarca pozitia normala a uterului fara continut.
Bibliografie
Badea R.I.,Dudea S. M., Mircea P. A.,Stamatian F.,Tratat de Ultrasonografie Clinica, Editura Medicala - Bucuresti 2000, pag 675-711.
Callen P.W., Ultrasonography in Obstetrics and Gynecology , Fifth Edition , Saunders Elsevier 2008, pag 887-985.
Clarke-Pearson D.I., Dawood M.Y.: Green's gynecology : essentials of clinical practice, Litle Brown, 1990 , pag 243-267.
Deichert U., Michaels W.: Funktionelle Sonographie in Gynkologie und Reproduktions-medizin. Berlin : Springer. 1993 , pag. 43-69.
Kurjak A., Bajo Arenas J., Donald School Textbook of Transvaginal Sonography, Jaypee Brothers Medical Publisher 2005, pag. 217- 231,245-259,311-321,330-342.
Merz E., Ultrasound in Obstetrics and Gynecology, second edition , Georg Thieme Verlag 2007 , vol 2, pag 5-2
Netter F.H.: Farbatlasen der Medizin , 2nd ed., vol 3 : Genitalorgane . Stuttgart : Thieme , 1987, in Merz E., Ultrasound in Obstetrics and Gynecology, second edition , Georg Thieme Verlag 2007 , vol 2, pag 5-2
Picker R.H., Smith D.H., Tucker M.H., Saunders D.M.: Ultrasonic signs of imminent ovulation. J Clin Ultrasound 11, 1983 , pag 1-2.
Rumack C. M. , Wilson S.R., Charboneau W., Johnson J.A.M.,Diagnostic Ultrasound, third edition , Elsevier Mosby vol 1 pag 527 - 588.
CAPITOLUL XXI
Formularea diagnosticului ecografic ginecologic
Descrierea unei ecografii ginecologice cuprinde :
Ecostructura uterina, normala sau anormala, cu descrierea ecostructurii modificate , dimensiunile uterului : diametrele anteroposterior, transvers si lungimea.
Endometrul liniar sau cu margini anfractuoase si regulat sau neregulat, cu descrierea ecogenitatii acestuia si eventual a incadrarii intr-o faza a ciclului menstrual, grosimea acestuia.
Ovarele : dimensiuni si ecogenitate ; foliculi cu numarul, diametrul si dispunerea acestora in diferite sectiuni in masa ovariana. Modificarile ecostructurii ovariene vor fi descrise separat.
Colul uterin , daca prezinta formatiuni patologice evidente ecografic , acestea vor fi descrise.
Sacul lui Douglas: se va descrie continutul acestuia, lama de lichid cu grosime,eventuale formatiuni situate retrouterin si caracterele de ecostructura si dimensiune ale acestora.
Prezenta unor tumori pelvine va fi descrisa cu date despre dimensiuni , pozitie si ecostructura, raporturi topografice cu organele genitale; deasemenea va duce la explorarea hepatica, renala si a cavitatii abdominale cu descrierea eventuala a modificarilor de ecostructura a acestora.
Vizualizari: 22022
Importanta: ![]()
Termeni si conditii de utilizare | Contact
© SCRIGROUP 2025 . All rights reserved