| CATEGORII DOCUMENTE |
| Alimentatie nutritie | Asistenta sociala | Cosmetica frumusete | Logopedie | Retete culinare | Sport |
Elastomerii de sinteza
Clasa elastomerilor de sinteza cuprinde trei tipuri de materiale :polisulfidele,siliconii si polieterii.
Elastomeri polisulfurici
Elastomerii polisulfurici ,cunoscuti si sub numele de thiokoli sau mercaptani sunt primii elastomeri de sinteza aparuti pe piata.Acestia se prezinta sub forma a doua paste in tuburi-baza si accelerator.De regula, pasta baza este alba iar acceleratorul ,datorita prezentei peroxidului de plumb cu rol in activarea vulcanizarii,este maro sau gri brun.
In functie de firma producatoare compozitia procentuala ,precum si ingredientele pot varia.
Dupa Craig,pastele au urmatoarea compozitie:
Baza
-polimer polisulfidic 85-89%
-bioxid de titan,sulfat de zinc,carbonat de cupru sau oxid de siliciu 16-18%.
Acceleratorul
-bioxid de plumb 60-68%
-dibutil sau dioctilftalat 30-35%
- sulf 3%
-stearat de magneziu si deodorante 2%.
J.N.Nally si Landez propun urmatoarea compozitie:
Baza
polisulfura de cauciuc 80%
-oxid de zinc 5%
-sulfat de calciu 15%.
Acceleratorul
-peroxid de plumb 77%
-sulf 4%
-ulei de ricin 15%
-alte substante 3%.
Avantaje
insolubili in apa sau solventi clasici
-vascozitate satisfacatoare
-nu sunt toxice
-elasticitate buna
-slaba variatie dimensionala
-timp de lucru suficient pentru practician.
Dezavantaje:
-timp prelungit de priza
-spatulare dificila
-colorarea materialelor de protectie
-miros sulfuros,neplacut pentru pacient.
Indicatii de utilizare
-amprentarea finala in edentatia totala si partiala
-amprente pe campuri protetice retentive.
Siliconii
Polimerii siliconici,denumiti ,in general,polimeri elementorganici,datorita caracterului lor organic-anorganic,se caracterizeaza printr-o serie de proprietati fizice,chimice si mecanice ,care-i recomanda pentru folosirea cu succes in stomatologie.
In functie de tipul polimerizarii,elastomerii siliconici folositi in amprentare ,se impart in doua categorii:de condensare si de aditie
Avantaje
nu au gust si miros neplacut
-rezistenta mecanica satisfacatoare
-priza rapida
-nu prezinta modificari dimensionale datorate sinerezei sau imbibitiei
-prin marirea frecventei spatularii se reduce viscozitatea
-insolubili in apa si solventi organici.
Dezavantaje:
-imbatranirea si devalorizarea catalizatorului
-schimbare volumetrica importanta dupa priza materialului
-pret de cost ridicat in special siliconii de aditie.
Indicatii de utilizare
-amprentarea final a campurilor protetice
-siliconii de aditie se folosesc la amprentarea pentru inlay si punti adezive
-orice tip de amprentare pentru obtinerea de microproteze conjuncte.
Silicon
condensare cu viscozitate ridicata
Polieterii
Polieterii sau cauciucurile polieterice sunt prezentati ca baza si accelerator in doua tuburi si se comercializeaza in trei consistente.Baza este compusa dintr- un polieter cu grupuri terminale etilen-iminice sub forma de inele ,un material de umpluntura si plastifianti.Acceleratorul este reprezentat de un ester al acidului sulfuric care,la amestecarea cu baza provoaca deschiderea inelelor iminice si formarea unei retele intermoleculare.Aceasta reactie conduce la cresterea vascozitatii materialului de amprenta.
Avantaje:
-duritate crescuta dupa reactia de priza
-stabilitate dimensionala buna in lipsa umiditatii
-fidelitate crescuta.
Dezavantaje
-necesita o omogenizare atenta ,datorita efectului iritant al catalizatorului
-reactie de priza usor exoterma
-timp de lucru scazut.
Materiale de amprenta fotopolimerizabile
Lansate in anul 1988,aceste materiale sunt rasini de polieter-eretan dimetacrilat fotopolimerizabile sub actiunea luminii vizibile cu lungimea de unda de 480nm.Produsele comerciale pot avea consistenta chitoasa sau fluida.
Avantaje:
-proprietati mecanice optime;
-manipulare simpla;
-timp de lucru indelungat;
-priza rapida(aproximativ 3 minute).
Dezavantaje
-necesitǎ portamprente speciale,transparente;
-dificultatea polimerizǎrii in zonele inaccesibile fasciculului luminos.
Pastele ZOE(oxid de zinc-eugenol)
Pasta ZOE este unul dintre cele mai utilizate materiale stomatologice si se livreaza in tuburi care contin, unul, oxid de zinc,uleiuri minerale inerte si aditivi,iar celalalt eugenol,accelerator si aditivi.
Compozitie(dupǎCraig
Baza
-oxid de zinc 80% ;
-uleiuri inerte 15%.
Acceleratorul
eugenol sau ulei de garoafe 15%;
-colofoniu si alte uleiuri 65%;
-masǎ de umpluturǎ 16%;
-clorurǎ de magneziu accelerator 4%.
Avantaje
nu sunt iritante sau toxice
-stabilitate dimensionala buna
-gust si miros placute
-dezinsertie facila de pe model
-adera la suprafetele uscate
-nu necesita tehnici de amprentare si manualitate deosebite
-timp de lucru de 2-4,5 minute si timp de priza de 2,5-6min.
Indicatii de utilizare
-amprente analitice ale zonelor edentate in protezarea partiala
-amprenta finala in edentatiile totale
-amprente mucostatice sau analitice anatomo-functionale la edentatul total
-amprente pentru rebazari indirecte in edentatia totala.
-stabilizarea bazelor sabloanelor de ocluzie.
Gipsul
Se incadreaza in categoria materialelor de amprenta rigide si este un sulfat de calciu anhidru.Actualmente este folosit in special pentru amprentarea finala a campurilor protetice moi la edentatul total si in amprentarea preliminara.
Avantaje
-permite obtinerea unei amprente fidele a campului protetic
-timp de priza de 3-5 minute influentat invers proportional de viteza si timpul de spatulare
-este un material ieftin
-prezinta stabilitate dimensionala si volumetrica
-nu irita tesuturile moi.
Dezavantaje
-gust si miros dezagreabile
-necesita manualitate deosebita.
Materiale termoplastice
Sunt materiale rigide reversibile,care,la 50-70C sufera fenomenul de plastifiere fara a-si modifica structura chimica.
Ca si in cazul materialelor prezentate anterior ,compozitia maselor termoplastice difera in functie de producator.
Compozitie(dupǎ Craig):
-rasini(colofoniu),
-rasini de Copal,
-ceara de Carnauba,
-acid stearic,
-talc,
-coloranti.
Avantaje
-posibilitatea refacerii amprentei
-pret de cost redus,
-buna stabilitate dimensionala.
Dezavantaje
-trecerea amprentei de la temperatura cavitatii orale la temperatura camerei provoaca contractia materialului de amprenta,
-nu permit amprentarea exacta a suprafetei mucoasei orale.
Indicatii de utilizare:
-sub forma de portamprenta sau supraamprenta la proteza fixa,
-material de amprentare in portamprenta sub forma de inel,pentru realizarea de microproteze,
-corectii marginale ale portamprentei individuale ale protezei totale.
Produsele comerciale se prezinta sub forma de placute,batoane,care pot fii rosii,verzi sau gri si cilindri.

Material de amprenta termoplastic sub forma de placi Stents)
Materiale bucoplastice
Sunt materiale semirigide care la introducerea in cavitatea orala se plastifiaza si sunt compuse din:
parafina si rasina
-ceresina,
-spermaceti,
-coloranti,
-umpluturi.
Aceste produse sunt comercializate in vase metalice cu maner,care se pot incalzi la flacara ,ceea ce permite plastificarea materialului si introducerea lui in portamprenta.
Avantaje
-permit amprentarea exacta a detaliilor campului protetic,fara deformarea mucoasei,
-posibilitatea refacerii amprentei,prin reintroducerea ei in cavitatea orala si corectarea prin pensulare,
-nu sufera modificari dimensionale.
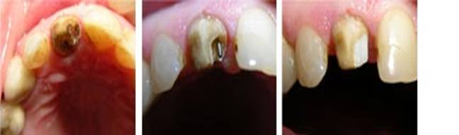
Determinarea culorii 2.Amprenta preliminara

3.Carie dentara. 4.Obturatie radiculara(con de titan) 5.Obturatie coronara.
6.Amprenta finala.
|
Politica de confidentialitate | Termeni si conditii de utilizare |
Vizualizari: 4715
Importanta: ![]()
Termeni si conditii de utilizare | Contact
© SCRIGROUP 2025 . All rights reserved