| CATEGORII DOCUMENTE |
| Alimentatie nutritie | Asistenta sociala | Cosmetica frumusete | Logopedie | Retete culinare | Sport |
Ecografia trimestrului I de sarcina
Indicatiile ecografiei: [ 1,3,4,5]
confirmarea sarcinii si a viabilitatii
sangerarea pe cale vaginala in sarcina
estimarea varstei gestationale
suspiciunea unei sarcini extrauterine
suspiciunea de mola hidatiforma
suspiciunea de sarcina multipla
diagnosticul diferential al amenoreei
diagnosticul diferential al fibromului uterin si al altor tumori pelvine
evaluarea necesitatii cerclajului de col
efectuarea ecoghidata a punctiei si biopsiei de vilozitati coriale.
Ce urmarim in sarcina normala?
localizarea sacului gestational (fundic, corporeal, istmic)
coroana trofoblastica
sarcina unica/multipla - chorioamnionicitate, semnul l
marimea sacului gestational (trei diametre)
raportul dintre marimea sacului comparativ cu cea a embrionului
marimea embrionului/fatului (crown rump length = CRL = lungimea craniocaudala, BPD = diametrul biparietal = Biparietal diameter)
Activitatea cardiaca: pana la 5 saptamani si 4 zile 85-90 batai/min si creste la 9 saptamani pana in jur de 160 batai/min (folosirea M-mode).
vezicula vitelina (sacul lui Yolk) - marime, tonus; normal rotunda cu f intre 3,5 si 6 mm.
evaluarea de anomalii grosiere la sfarsitul primului trimestru:
anormalitati de craniu, coloana, abdomen, membre;
osificarea osului nazal (2 mm la 14 sapt.)
pliul nuchal (2 - 2,5 mm maxim, la fetii cu CRL intre 45 si 89 mm)
recunoasterea herniei fiziologice abdominale fetale ce apare la 9 - 10 sapt si dispare la 12 - 13 sapt
evaluarea coroanei trofoblastice gestationale si a corpului galben prin DOPPLER - CFM si DOPPLER PULSAT, eventual a ductului venosus.

Fig. Nr.7. Sac gestational intrauterin ( cu sageata ) la ecografia transvaginala, coroana trofoblastica
Fig nr. 8. Sarcina 5 sapt la ecografia transvaginala :sac ovular cu vezicula vitelina evidenta marcata cu sageata, retrouterin ovar chistic

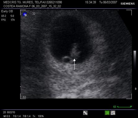
Fig nr.9. Vezicula vitelina, marcata cu sageata, la ecografia transvaginala, sarcina 5 sapt.
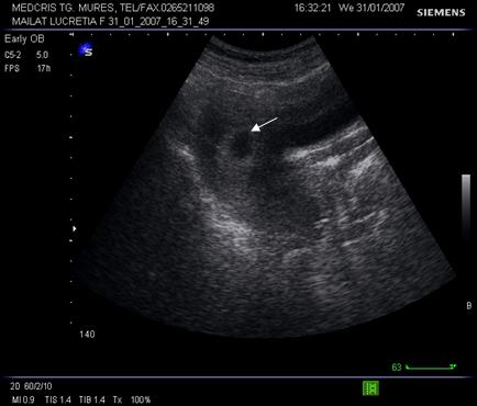
Fig nr.10. Corp galben( cu sageata ) in ovarul drept la o sarcina de 5 sapt, eco transvaginala

Fig. nr.11. Sac ovular intrauterin la o sarcina de 5 sapt., ecografia abdominla ( zona anecogena rotunda marcata cu sageata )
Fig nr. 12. Embrion corespunzator la 6 sapt si 3 zile
( masurat intre cele doua calipere )

Fig nr. 13. Embrion cu activitate cardiaca, examen Doppler pulsat si Color Flow Map, ritm cardiac de 134 batai pe minut

Fig. nr. 14. Sarcina 7 sapt( sageata indica embrionul )

Fig. nr. 15. Sarcina 8 sapt, aparitia veziculei telencefalice anecogene in extremitatea cefalica ( sageata )

Fig nr.17. Aparitia mugurilor de membre superioare si inferioare
la fatul de 8 sapt

Fig. nr. 18. Membre fetale la 9 sapt. ( cu sageti )
Fig. nr.19. Vezicula telencefalica la 9 sapt
( zona anecogena marcata cu linie )

Fig. nr. 20. Sarcina 10 sapt. ecografie transvaginala (se observa aparitia punctelor de osificare ale coloanei vertebrale)
Fig. nr. 21. Aceeasi sarcina de 10 sapt., la ecografia abdominala

Fig. nr. 22. Coloana vertebrala la fatul de 11 sapt.
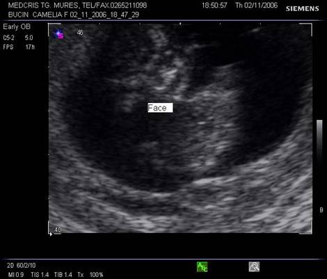
Fig. nr.23. Fata fetala la 11 sapt.

Fig. nr. 24. Profil fetal la aceeasi sarcina de 11 sapt., se remarca pliul nuchal , situat deasupra si separat de amniosul marcat cu sageata

Fig nr.25. Masurarea pliului nuchal la 11 sapt

Fig. nr..26. Membre inferioare la fatul de 11 sapt
Fig. nr. 27. Hernie fiziologica la fatul de 11 sapt., sectiune transversala abdominala, la ecografia transvaginala

Fig. nr. 28.
Sectiune transversala prin craniul fetal, la 12 sapt se remarca simetria
plexurilor choroide, viitoare emisfere cerebrale
Fig. nr.29. Sarcina 12 sapt. : masurarea pliului nuchal si aparitia osului nazal ( cu sageata )

Fig. nr. 30. Placentatia la 13 sapt , pe peretele anterior
uterin
(cu sageata)
Fig. nr. 31. Sectiune transversala craniana la 13 sapt., cu linia mediana a structurilor cerebrale simetrice

Fig. nr.32. Stomac ( zona anecogena marcata cu sageata) alaturi de coloana fetala la 13 sapt

Fig. nr. 33. Col uterin la o sarcina de 13 sapt., ecografie abdominala (sageata indica orificiul cervical intern )

Fig. nr. 34. Mana fetala la 13 sapt.( se pot numara degetele )
Aparitia parametrilor ce pot fi evaluati
in trim. I. [1,3,8]
sacul gestational la cca 4 ½ sapt pe cale transvaginala si 5 ½ sapt pe cale transabdominala;
sacul lui Yolk (semn indirect de prezenta a embrionului) 5 sapt pe cale vaginala; 6 sapt pe cale abdominala;
embrionul: 5 ½ sapt pe cale vaginala, 6 - 6 ½ sapt. pe cale abdominala
activitatea cardiaca - la embrionul de aprox 1,5 - 2 mm - la cca 5 ½ sapt pe cale vaginala
DIAGNOSTICUL DE SARCINA INTRAUTERINA IN EVOLUTIE NECESITA EVIDENTIEREA EMBRIONULUI INTRAUTERIN CU ACTIVITATE CARDIACA .
Tabelul nr. I. Dezvoltarea embrionului in primul trimestru de sarcina
|
Semne ecografice |
Vizualizare timpurie (varsta menstruala) |
Vizualizare definitiva |
|
Cavitate corionica |
Ziua 30 |
Ziua 32 |
|
Sacul Yolk (vezicula vitelina) |
Ziua 32 |
Ziua 34 |
|
Buton embrionar |
Ziua 35 |
Ziua 37 |
|
Activitate cardiaca |
Ziua 37 |
Ziua 40 |
|
Membre |
Ziua 47 |
Ziua 53 |
|
Telencefal |
Ziua 50 |
Ziua 54 |
|
Miscari |
Ziua 50 |
Ziua 56 |
|
Stomac |
Sapt 10 |
Sapt 11 |
|
Vezica urinara |
Sapt 11 |
Sapt 12 |
|
Organe genitale |
Sapt12 |
Sapt 14 |
Sarcina intrauterina anormala - semne ecografice [4,5]
embrion fara activitate cardiaca si CRL > 5 mm - sarcina "oprita" in evolutie;
ou clar" - sac gestational peste 8 mm, fara vezicula vitelina
sarcina anembrionara - sac gestational peste 16 mm fara embrion ;
sac ovular "fara tonus" - neregulat, prea mare sau prea mic - sarcina oprita in evolutie
Semne ecografice ce preced oprirea in evolutie a unei sarcini in trim. I [1,2,3]
bradicardie embrionara
sac oligoamniotic (diametrul mediu al sacului minus CRL sub 5 mm)
cresterea inceata a sacului gestational
sacul lui Yolk peste 6 mm
disparitia corpului galben.
BIBLIOGRAFIE
Callen P.W., Ultrasonography in Obstetrics and Gynecology , Fifth Edition , Saunders Elsevier 2008, pag 13- 14, 181- 224 .
Carera J . M., Kurjak A. , Donald School Atlas of Clinical Application of Ultrasound in Obstetrics & Gynecology, Jaypee Brothers Medical Publishers 2006, pag.3-50.
Kuldeep Singh, Narenda Malhotra , Step by step ultrasound in obstetrics, Jaypee Brothers Medical Publisher 2004, pag 14- 22
Kurjak A., Bajo Arenas J., Donald School Textbook of Transvaginal Sonography, Jaypee Brothers Medical Publisher 2005, pag. 37- 62.
Kurjak A., Chervenak F. A., Donaid School Textbook of Ultrasound in Obstetrics and Gynecology , Jaypee Brothers Medical Publisher, 2004, pag 114 - 135.
Mcgahan J.P., Goldberg B .B., Diagnostic Ultrasound , a logical approach , CD editat de Lippincott Raven Publishers, 1997
Merz E., Ultrasound in Obstetrics and Gynecology, Second Edition , Georg Thieme Verlag 2005 , vol 1 pag 9-19
Stamatian F., Embryo- Fetal Ultrasound 2D, 3D, and Doppler, CD editat in colaborare cu UMF Cluj Napoca, 2002,
|
Politica de confidentialitate | Termeni si conditii de utilizare |
Vizualizari: 21402
Importanta: ![]()
Termeni si conditii de utilizare | Contact
© SCRIGROUP 2025 . All rights reserved