| CATEGORII DOCUMENTE |
| Alimentatie nutritie | Asistenta sociala | Cosmetica frumusete | Logopedie | Retete culinare | Sport |
Diagnosticul diferential al tumorilor vezicale uroteliale
Este rareori necesar. Fata de complexitatea metodelor de investigatie care contribuie pentru a obiectiva nu numai existenta tumorii vezicale, dar si natura acesteia, odata cu stadiul de dezvoltare, posibilitatea diagnosticului eronat de tumora vezicala pare destul de improbabila.
De altfel, diagnosticul diferential devine inutil din momentul in care tumora, obiectivata prin uretrocistoscopie, a fost biopsiata sau electrorezecata.
Si totusi, sunt situatii in care diagnosticul de tumora vezicala pune mari probleme!
Pentru etapa pre-endoscopica de investigatie si diagnostic a tumorilor vezicale, amintim:
tuberculoza urinara proliferativa
litiaza vezicala
adenomul prostatic
cistitele hipertrofice
ureterocelul
cheagurile endovezicale etc,
entitati anatomo-clinice care pot induce semiologie clinica sau imagistica superpozabila celei date de neoformatiile vezicale, entitati cu care, cel putin pentru exercitiul clinic, putem face diagnosticul diferential.
Aprecierea critica a experientei acumulate a demonstrat ca erorile de diagnostic sunt comise ori de cate ori protocolul obligatoriu descris nu este corect si integral aplicat
Subliniem obligativitatea efectuarii uretrocistoscopiei la vedere, eventual cu camera video care permite o marire a imaginilor si explorarea amanuntita a peretelui vezical anterior si a colului vezical.
Explorarea endoscopica se face sub anestezie.
Instrumentarul utilizat poate fi cistoscopul flexibil sau cel rigid cu optica de 12 si 70 de grade.

Figura 53. Schema diagnosticului diferential al tumorilor vezicale.
A. Diagnosticul diferential imagistic si endoscopic
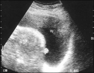
1. Diagnosticul diferential cu litiaza vezicala radiotransparenta


Ecografia vezicii urinare evidentiaza imagine hiperecogena, cu con de umbra posterioara (calcul)
|
Figura 54. Imagine radiotransparenta (2,5/1,8 cm, vizibila pe cistografie) |
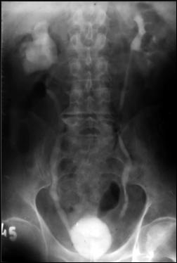
2. Diagnosticul diferential cu ureterocel bilateral
b.
c

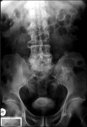
Diagnosticul diferential cu tuberculoza urogenitala


Vezica urinara are contururi greu delimitabile pe cistografie si pacientul are ureterohidronefroza bilaterala.
|
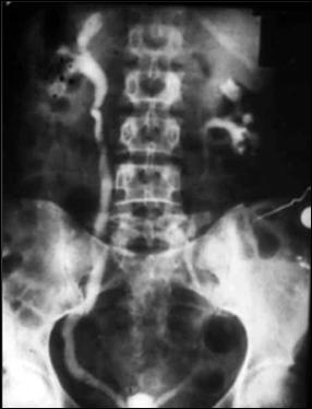
Figura 57. Vezica urinara mica |


Vezica urinara mica, scleroasa, cu rinichi drept unic chirurgical, uretero-hidronefroza gr I
|
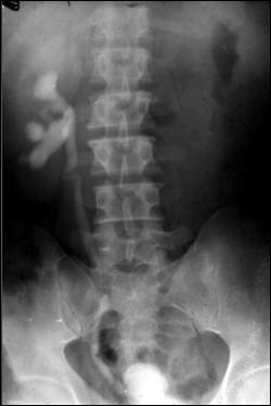
Figura 59. Vezica urinara "crispata", cu ureterohidronefroza bilaterala. |
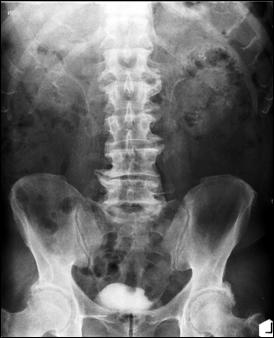
Diagnosticul diferential cu corpii straini intravezicali calcificati
a). Corp strain intravezical
Figura 61. Calcificare pe fir
neresorbabil, patruns in vezica urinara post-isterectomie


b). Fir de nylon intravezical
Figura 62. Nod din fir de nylon.


c) Sterilet migrat intravezical, complicat cu hematurie


a. b.
c.
a) Ecografie vezicala, evidentiind steriletul migrat intravezical; b) RRVS la aceiasi pacienta; c) Steriletul dupa extractie prin cistoscopie.
Diagnosticul diferential cu tumori vezicale secundare
a). Adenocarcinomul de colon sigmoid ce invadeaza vezica urinara


a. b.
Adenocarcinom de colon sigmoid
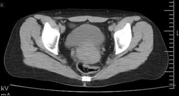
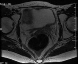
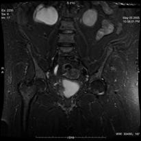
b). Neoplasm de col uterin, invaziv in vezica urinara


a. b.
a) Tumora de col uterin, invaziva in vezica urinara - pacienta s-a prezentat in anurie; b) Tumora de col uterin, operata (histerectomie totala + iradiere), recidivata, invadand vezica urinara si rectul - pacienta s-a prezentat cu hematurie
c). Neoplasm de prostata care sangereaza
Figura 66. Pacient cu neoplasm de prostata, anurie si hematurie.
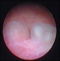
6. Diagnosticul diferential cu leziuni vezicale benigne



Aspecte cistoscopice de cistita chistica
In cazul in care, la examenul cistoscopic evidentiem o leziune inlocuitoare de spatiu in vezica urinara, trebuie stabilit caracterul primitiv sau secundar al acestuia (invazia dintr-unul din organele vecine: colon sigmoid, rect, col sau corp uterin, ovar sau prostata la pacientul de sex masculin). Nu trebuie omise nici tumorile metastatice la nivelul vezicii urinare.
Numai biopsia tumorii (la rece sau cu ansa rezectoscopului) vor putea preciza diagnosticul in aceste situatii. Pe de alta parte sunt situatii cand precizarea diagnosticului de tumora vezicala poate pune mari probleme.
a) Cis-ul poate fi asimptomatic sau poate sa se manifeste prin simptome de iritatie urinara: urgenta mictionala, polachiurie, dureri suprapubiene. Se poate confunda cu infectiile urinare, cistita interstitiala, prostatismul si vezica neurologica. In plus, poate fi de sine statator (primar) sau asociat cu o tumora superficiala sau infiltrativa.
Cis-ul simptomatic se datoreaza infiltrarii difuze a uroteliului.
Cand este asociat unei tumori (de obicei cu grad mare de anaplazie), este focal si este dispus in jurul acesteia, indicand o rata de recurenta crescuta si progresie spre o forma invaziva.
Biopsiile randomizate si citologia urinara vor permite punerea unui diagnostic corect.
b) Carcinomul tranzitional localizat la nivelul uretrei prostatice (vezi capitolul respectiv)
Prezenta congestiei mucoasei uretrale la nivelul uretrei prostatice, care sangereaza la cea mai mica atingere poate ridica suspiciunea unei leziuni la acest nivel. Se practica recoltarea biopsiilor paracoliculare, carea permit depistarea carcinomului tranzitional in cca 80% din cazuri (Wood) [180].


Figura 68 a,b.
a. b.
c) Prezenta unei tumori vezicale voluminoase in dreptul unuia dintre orificiile ureterale, prezenta asociata sau nu cu ureterohidronefroza sau mutism renal de partea respectiva. Daca nu se poate identifica cistoscopic cu certitudine orificiul ureteral respectiv cu certificarea endoscopica a neinteresarii acestuia de procesul tumoral, trebuie sa avem in minte posibilitatea unei protruzii tumorale prin orificiul ureteral respectiv si sa investigam in continuare aceasta posibilitate.


Figura 69.a,b). Tumora de uroteliu al ureterului pelvin drept cu invazia vezicii urinare.
a. b.
7. Diagnosticul diferential histopatologic
Alte leziuni cu caracter proliferativ pe care trebuie sa le avem in vedere sunt (aceste leziuni sunt descrise la capitolul de anatomie patologica):
1. Hiperplazia epiteliala
2. Hiperplazia atipica
3. Papilomul inversat
4. Cistita chistica
5. Cuiburile von Brunn
6. Cistita glandulara
7. Adenomul nefrogenic
8. Metaplazia scuamoasa.
Diagnosticul diferential imunohistochimic
Pentru diagnosticul de certitudine al tumorilor de uroteliu se folosesc metode imuno-histochimice cum ar fi Citokeratina 7 si 20.
Recomandarile E.A.U. pentru investigarea unui pacient cu tumora vezicala [169]
Examen clinic ce include tactul rectal si al pelvisului
Ecografia renala si vezicala si sau UIV
Cistoscopia cu descrierea dimensiunii, localizarii, aspectului tumorii vezicale - se poate include o diagrama a vezicii urinare
Analize de urina
Citologie urinara
TUR:
- cu biopsierea tesutului subiacent
- biopsierea tuturor zonelor suspecte
- biopsii randomizate in prezenta citologiei pozitive, tumora voluminoasa sau non-papilara
- biopsierea uretrei prostatice in caz de Tis sau suspiciune de Tis.
Daca tumora vezicala este infiltrativa in muschiul vezicii urinare si se impune un tratament radical, trebuie efectuate urmatoarele teste:
Radiografie pulmonara
UIV sau/si CT de pelvis
Ecografie de ficat
Scintigrafie osoasa daca pacientul are dureri osoase sau fosfatazele alcaline crescute.
8. Screening-ul pentru cancerele vezicii urinare
Sunt cunoscute 2 studii:
la Wiscosin (Messing, 1989, 1992, 1995b, 1995c)
la Leeds (Britton, 1989, 1992).
Studiile au fost efectuate pe grupe populationale neselectate, de varsta medie sau avansata, fara simptome de cancer al vezicii urinare. S-a testat prezenta sangelui in urina printr-o tehnica de detectare rapida - Chemical Reagents Strips. Nu se precizeaza numarul pacientilor care au luat parte la studiu. Rata depistarii singelui in urina afost de 1,3% la Wiscosin si 1,2% la Leeds.
Cei din Anglia (21 la numar) au fost urmariti 9 ani; nici unul nu a decedat de cancer vezical.
Pe lotul de pacienti de la Wiscosin s-a aratat ca rata depistarii tumorilor vezicale cu risc mic (grading 1,2) a fost aceiasi cu pacientii simptomatici (52,4% fata de 56,8%). Ceilalti pacienti au avut cancere cu risc mare (24% dintre pacienti au fost gasiti in stadiul invaziv la cei depistati pe baza simptomelor), pe cand cei din lotul de cercetare au fost in stadiul invaziv doar in propotie de 5%.
Screening in populatia cu expunere profesionala la carcinogene s-a facut la Quebec la lucratorii din industria aluminei; studiul a fost efectuat pe baza citologiei urinare. Din datele publicate reiese ca in 1970, 39% dintre pacienti au avut tumori neinvazive in muschiul vezical, iar in 1980, la 63% dintre pacientii depistati cu tumori vezicale au fost neinvazive.
10. Stadierea
Sisteme de stadializare
Doua sisteme de stadializare sunt folosite in acelasi timp, primul fiind o colaborare internationala, International Union Against Cancer (UICC) iar al doilea este realizat de clinicienii americani, American Joint Committee on Cancer (AJCC). Ambele sisteme au inlocuit sistemul conceput de Jewett-Strong (1946) si modificat de Marshall (1956).
In sistemul AJC-UICC (un sistem TNM), tumorile clasificate drept Ta sunt definite de tumorile papilare epiteliale, iar tumorile in situ, Tis, de carcinoamele plane in situ. Tumorile ce invadeaza lamina propria intra in categoria T1.
Tumorile invazive muscular, in functie de profunzimea invadarii (superficial sau profund) corespund claselor T2 a respectiv T2b.
Tumorile ce invadeaza grasimea perivezicala microscopic sunt cotate T3a, iar macroscopic T3b; cele ce invadeaza viscere pelvine cum ar fi stroma prostatica, rectul, uterul, vaginul sunt clasificate ca avand stadiul T4.
In sistemul AJC-UICC ganglionii limfatici regionali din cancerul vezicii urinare sunt considerati a fi doar ganglionii din pelvis situati mai jos de bifurcatia arterelor iliace comune.
Stadiul N1 denota un singur ganglion pozitiv mai mic sau egal cu 2 cm in diametru, N2, un singur ganglion mai mare de 2 cm dar mai mic de 5 cm, iar N3 denota mai multi ganglioni mai mari de 5 cm. Sistemul AJC-UICC nu are un stadiu particular pentru prinderea ganglionilor juxtaregionali. Prezenta metastazelor la distanta e codificata prin M1, iar absenta lor prin M0.
Clasificarea TNM (1997) in cancerul vezical
Tumora
primara (T)
Specimenul TURV trebuie sa contina musculara
Tx Tumora primara nu poate fi evaluata
T0 Nu exista evidente asupra tumorii primare
Tis Carcinom in situ
Ta Carcinom papilar neinvaziv
Tl Tumora invadeaza tesutul conjunctiv subepitelial
T2 Tumora invadeaza musculara
T2a Tumora invadeaza musculara superficiala
(jumatatea interna)
T2b Tumora invadeaza musculara profunda
(jumatatea externa)
T3 Tumora invadeaza tesutul perivezical
T3a Microscopic
T3b Macroscopic (masa extravezicala)
T4 Tumora invadeaza oricare dintre urmatoarele:
Figura 70. Stadializarea
tumorilor vezicale dupa elementul T (UICC-1997).
prostata,
uterul, peretele vaginal, peretele abdominal
T4a Tumora invadeaza prostata, uterul sau
peretele vaginal
T4b Tumora invadeaza peretele pelvin sau
peretele abdominal.
("m" este adaugat categoriei T pentru a arata leziuni multiple;
"is" poate fi adaugat oricarei categorii T pentru a arata carcinomul in situ asociat).
Ganglionii limfatici regionali (N)
(Ganglioni limfatici pelvini sub bifurcatia arterei iliace comune)
Nx Ganglionii limfatici regionali nu pot fi evaluati
N0 Nu exista metastaze in ganglionii limfatici regionali
N1 Metastaza intr-un singur ganglion limfatic cu cea mai mare dimensiune de 2 cm
N2 Metastaza intr-un singur ganglion limfatic cu cea mai mare dimensiune >2 cm
si <5 cm, sau ganglioni limfatici multipli, nici unul mai mare de 5 cm
N3 Metastaza intr-un ganglion limfatic cu cea mai mare dimensiune >5 cm.
Metastaze la distanta (M)
Mx Prezenta metastazelor la distanta nu poate fi evaluata
M0 Fara metastaze la distanta
Ml Metastaze la distanta.
Cerinte pentru clasificarea pTNM
pT Examinarea histologica a piesei de cistectomie partiala sau totala
pN0 Examinarea histologica a peste 8 ganglioni limfatici regionali
pNl Confirmarea microscopica a uneia sau mai multor metastaze
in ganglioni limfatici <2 cm
pN2 Idem, dar >2 cm, sau metastaze microscopice in 2 sau mai multi
ganglioni limfatici
pN3 Metastaze in 2 sau mai multi ganglioni limfatici regionali, idem dar > 5 cm
pMl Dovada histologica sau citologica de metastaza la distanta
Daca o tumora a fost complet rezecata si examenul histopatologic arata invazie musculara superficiala, aceasta reprezinta o leziune T2a; daca arata invazie in musculara profunda, ea reprezinta o leziune T2b. Cand urme microscopice de tumora sunt intalnite in tesutul perivezical, aceasta este o tumora T3a. Cand este descoperita boala macroscopica, de exemplu o masa extravezicala, este o tumora T3b. La bolnavii cu boala infiltranta in musculara este dificil de determinat daca TURV a fost radicala. Se va observa daca intentia a fost de inlaturare in totalitate a tumorii vizibile sau daca tumora viabila a fost lasata pe loc cu siguranta.
Pentru fiecare element din clasificarea TNM, specialistul trebuie sa specifice modul in care a fost evaluat elementul respectiv, pe care il va eticheta cu sufixul "c", astfel:
cl diagnostic clinic
c2 diagnostic cistoscopic-imagistic
c3 diagnostic operator
c4 diagnostic histopatologic (p)
c5 diagnostic necroptic.
Initiala "c" provine de la certitudine (degree of certainety).
Sufixul "m" va fi adaugat oricarui T pentru a indica tumorile multiple.
Deci T1m2c2 inseamna ca bolnavul respectiv are doua tumori vezicale superficiale diagnosticate prin cistoscopie.
Sufixul "is" indica prezenta carcinomului in situ si poate fi adaugat oricarui T pentru a semnala cazurile cu o tumora vezicala vizibila, la care se asociaza focare carcinomatoase microscopice.
Stadierea clinica nu este deloc usoara si rata erorilor intr-un sens sau altul ramane relativ ridicata chiar si pentru cei mai experimentati specialisti. Centrul Oncologic Memorial Sloan-Kettering apreciaza ca intre stadierea clinica si cea anatomopatologica diferentele de stadiere se intalnesc in 50% din cazuri.
Aceleasi constatari rezulta din datele lui Skinner, care pentru Tl gaseste concordanta la 53% din bolnavi. Proportia scade la doar 13% pentru bolnavii stadiati T2 si se amelioreaza pentru T3 cu 50%.





Figura 71. Stadializarea elementului N (UICC-1997).
11. Evaluarea extensiei loco-regionale a tumorilor vezicale superficiale [
I. Reevaluarea lamelor histopatologice de catre un alt anatomo-patolog
II. Biopsii din zone de mucoasa aparent sanatoasa la examenul cistoscopic
III. Detectarea tumorilor vezicale prin fluorescenta
IV. Sa se tina seama de invazia muscularis mucosae in stadierea tumorilor pT1
V. Efectuarea unei re-rezectii in zonei rezecate
VI. Prezenta invaziei prostatice
VII. Prezenta unei localizari in aparatul urinar superior
Examenul anatomo-patologic a tumorilor superficiale ale vezicii urinare, obtinute prin rezectie endoscopica nu poate intotdeauna sa precizeze extensia locala exacta a tumorii.
Aceste dubii pot avea doua cauze principale:
prelevarea endoscopica ofera material insuficient
citirea lamelor poate avea interpretari diferite.
I. Reevaluarea lamelor histopatologice de catre un alt anatomo-patolog
Van den Meijden a efectuat un studiu EORTC pe 1400 de bolnavi cu tumori vezicale superficiale primitive sau recidivate [95-Van den Meijden].
Stadiul si grading-ul tumorii a fost determinat de anatomo-patologul fiecarui centru apoi s-a efectuat o a doua citire a lamelor de un expert uro-patolog. Analiza rezultatelor a evidentiat o mare variabilitate in interpretarea stadiului si gradului tumoral.
O concordanta intre citiri s-a putut face in 57% din tumorile pTaG1 si 50% pentru pT1G3. A doua citire a lamelor a permis reclasificarea a 53% din pacientii estimati la prima citire pT1, si un stadiu pTa. Dintre tumorile pT1, 10% au fost reclasificate pT2.
II. Biopsii din zone de mucoasa aparent sanatoasa la examenul cistoscopic
Tehnica prelevarii
Biopsiile, in numar de 4, sunt prelevate la rece de pe peretii laterali drept si stang, trigon si dom, din mucoasa vezicala cu aspect normal cistoscopic.
Biopsiile randomizate vor permite:
evidentierea pacientilor cu displazie sau CIS in zonele optic sanatoase
usureaza citirea si interpretarea biopsiilor de catre anatomo-patolog
relatia intre displazia descoperita si riscul de recidiva si progresie
stabileste incidenta reala a acestei displazii asupra prognosticului
modifica schema terapeutica prin descoperirea unor leziuni asociate tumorii macroscopic vizibile.
Rezultate din literatura
Kiemeney [68] pe 1745 de cazuri (Olanda) cu pTa si pT1 la primul diagnostic; pacientii au fost impartiti in doua grupe: cu si fara biopsii randomizate. Tumorile au fost in 27% din cazuri pTaG1 unifocal, in 12% din cazuri pT1G3 uni sau multifocal in celelalte 61% din cazuri tumorile au fost de alte grade.
Rezultatele au aratat ca 22% din pacienti cu biopsii randomizate au avut in 14% din cazuri displazie si in 8% CIS. CIS a fost asociat in 49 % din cazuri la tumorile pT1G3.
Pacientii au fost urmariti in medie 3,5 ani. Riscul de recidiva la pacientii fara biopsii randomizate a fost de 54% fata 52% cat a fost la pacientii cu biopsii randomizate. Diferenta nu are semnificatie statistica si nu justifica cele 27% procente de instilatii administrate acestor pacienti comparativ cu procentul de 12% instilatii administrate pacientilor fara biopsii randomizate.
Nu s-au constatat diferente de progresie intre aceste grupuri (progresia la 3 ani a fost de 11%).
III. Detectarea tumorilor vezicale prin fluorescenta
Tehnica fluorescentei permite permite punerea in evidenta a zonelor de displazie si biopsierea lor. De asemenea, face posibila distructia electiva a acestor zone cu fascicule laser.
1. Substantele folosite pentru obtinerea unei fluorescente vezicale sunt:
a) Substante introduse prin administrare intravenoasa sunt derivati de hematoporfirina:
Photofrin. Poate da leziuni cutanate,
b). Instilare vezicala directa de acid 5-aminolevulinic (5-ALA).
2. Autofluorescenta indusa cu raze laser.
Nu necesita injectare parenterala sau administrare intravenoasa. Permite detectarea carcinomului in situ; diferentiaza leziunile eritematoase inflamatorii de cele displazice sau carcinomul in situ.
Autofluorescenta este produsa de molecule endogene numite fluorofore constituite din triptofan, colagen, dinucleotid adenin nicotinamide, riboflavine oxidate si porfirine endogene.
IV. Sa se tina seama de invazia muscularis mucosae in stadierea tumorilor pT1
Riscul recidivei si progresiei tumorilor pT1 pare sa varieze in functie de invazia sau nu a muscularis mucosae.
1. Numerosi anatomo-patologi clasifica tumorile pT1 in doua stadii, dupa cum muscularis mucosae NU este (pT1A) sau este invadata (pT1B). Sunt autori care descriu un stadiu T1c, dar riscul evolutiv este foarte apropriat de T1b. Aceasta clasificare este posibila doar in 75% din cazuri, muscularis mucosae nefiind vizibil in toate cazurile.
2. Analiza datelor din literatura de specialitate arata un prognostic diferit pentru cele doua substadii tumorale. Hasui [52] a studiat 164 de pacienti cu tumori vezicale superficiale, tumorile pT1 au fost restadiate in pT1a (60) si pT1b (28 pacienti ) cu o urmarire medie de 78 de luni.
Riscul recidivei apare dependent de noua stadiere: 25% pentru tumorile pTa, 37,5% pentru pT1a si 64,2% pentru pT1b.
Referitor la progresie:
6,6% pentru pTa
6,7% pentru pT1a
53,5% pentru pT1b
Recidivele si progresia au fost studiate tinand cont de grading, numarul si talia tumorilor; tumorile clasificate pT1b prezinta un risc semnificativ superior celor pTa dar factorii de risc devin majori pentru tumorilr pTa cu grading 3, multifocale cu talie de peste 1 cm.
Prezenta sau nu a invaziei muscularis mucosae la tumorile pT1 pare a fi un factor important de risc pentru recidiva si progresie. Invazia muscularis mucosae, de la inceput sau rapid in caz de esec a tratamentului conservator local permite propunerea unui tratament agresiv inainte de invazia stratului muscular sau metastazelor.
V. Efectuarea unei re-rezectii in zonei rezecate
Rezectia endoscopica a tumorii vezicale permite stdierea tumorii in raport cu diferitele straturi ale peretelui vezical.
1. Rezectia endoscopica poate fi incompleta in profunzimea peretelui vezical. Acest aspect va duce la aparitia unui numar deloc neglijabil de substadieri cu tumori reziduale care vor fi considerate recidive sau progresii tumorale, aceste greseli sunt frecvente la cazurile ce nu contin pe piesa de biopsie muschi.
2. Numeroase studii permit evaluarea cu precizie a riscului substadierii si a importantei in modificarea strategiei terapeutice initiale.
a). Brauers [17] studiaza un lot de 42 pacienti cu tumori vezicale pT1 G2 sau G3 asociate sau nu cu CIS la prima rezectie endoscopica. O a doua rezectie a fost efectuata la 2-6 saptamani dupa prima, pacientii fiind urmariti in medie 60 de luni. Rezultatele au fost urmatoarele:
fara tumora reziduala in 36% din cazuri
24% din cazuri tumora reziduala in acelasi stadiu
16% din cazuri tesut tumoral rezidual pTa
24% din cazuri pT2 sau CIS.
b). Herr [57] a efectuat o rezectie secundara la 2-4 saptamani de la cea initiala pe un lot de 150 de pacienti, dintre care 64% aveau tumori vezicale superficiale si 36% tumori infiltrand stratul muscular.
Tabel nr.14. Modificarea stadiului tumoral dupa doua rezectii endoscopice a aceleiasi tumori dupa Herr [76].
|
Stadiere la prima rezectie |
Stadiere la a doua rezectie |
|
pTa (n = 49) |
Fara tesut tumoral rezidual 27/49 (55 %) Stadiu nemodificat 15/49 (31 %) Substadiere 7/ 49 (14 %) pTis n = 1 |
|
pT1 (n = 45) |
Fara tesut tumoral rezidual 19/45 (42 %) Suprastadiere 8/45 (18 %) Nemodificat 7/45 (16 %) Sub stadiere 11/45 (24 %) pTis n = 7 |
|
pTis (n = 8) |
Fara tesut tumoral rezidual 2/8 (25 %) Nemodificat 6/8 (75 %) |
Tumorile clasificate initial CIS au fost reclasificate in pT1 in 20% din cazuri, si pT2 in 10% din cazuri, cu 40% tumori reziduale in stadiu identic cu cel al primei leziuni.
Tumorile initial clasificate pTa au fost reclasificate pT1 in 28% din pacienti, avand 26% tumori reziduale in stadiu inferior fata de prima rezectie.
Prezenta tesutului muscular pe piesa de biopsie initiala este un element de diagnostic permitand diagnosticare la a doua rezectie in 49% din cazuri pT2 (cand elementul muscular a lipsit de pe piesa de rezectie la prima rezectie) si doar 14% in caz contrar.
VI. Prezenta invaziei prostatei
Invazia prostatei apare la circa 12-40% din cazuri. Aspectele sunt prezentate in detaliu la capitolul respectiv.
VII. Prezenta unei alte tumori de uroteliu la nivelul aparatului urinar superior
Aparitia unei alte localizari la nivelul aparatului urinar superior agraveaza prognosticul tumorii vezicale. Interesarea aparatului urinar superior este cu atat mai frecventa cu cat evolutia tumorii vezicale este mai lunga.
1. Incidenta interesarii aparatului urinar superior depinde direct de stadiul si grading-ul tumorii vezicale
Incidenta la tumorile vezicale superficiale cu risc mic este de 2-3% [76].
Pe un lot de 450 de cistectomii pentru tumori cu stadii si grading-uri diferite, Kenworthy [105] arata o incidenta de 10% a carcinomatozei asimptomatice la nivelul ureterului inferior, pe cand Vogeli [256] gaseste aceasta incidenta la 36% din cazuri.
2. Multifocalitatea tumorii vezicale este un factor de risc important - 2,6% dupa Millan-Rodriguez [155] pe 1529 de cazuri.
3. Un alt factor de risc este durata evolutiei tumorii vezicale. Herr [61] pe un lot de 307 bolnavi cu tumori vezicale cu risc mare gaseste o incidenta a interesarii aparatului urinar superior de 24%. Riscul este de 13,5% la 5 ani, de 28% intre 5 si 10 ani si 38% dupa 15 ani de urmarire.
4. Prezenta unei tumori uroteliale in aparatul urinar superior agraveaza prognosticul: 60% din tumorile uroteliale ureterale si pielo-caliceale sunt infiltrative si pot antrena deces prin metastazare, in 37% din cazuri [71]. Efectuarea cistectomiei diminua riscul aparitiei unei tumori de uroteliu inalt, fiind de 8% comparativ cu cei cu vezica conservata, unde este de 34% [80].
5. Doua probleme particulare sunt de luat in seama:
a). Refluxul vezico-renal secundar rezectiei orificiului ureteral, celulele neoplazice grefandu-se in calea urinara prin reflux. Dupa Mazeman [147], pe un lot de 107 bolnavi acest procent de grefare este de 25% in prezenta refluxului vezico-renal iatrogen comparativ cu 4% in cazurile cand refluxul este absent.
b). O tumora uroteliala primitiva din aparatul urinar inalt poate determina o tumora vezicala secundara prin grefare de celule tumorale pe mucoasa vezicala. Hisataky [85] pe un lot de 69 de pacienti cu tumori primitive de bazinet sau de ureter gaseste o localizare vezicala de 35% in decurs de 5 ani.
O tumora vezicala poate preceda, coexista sau succeda unei tumori de urateliu inalt. Aceste constatari sunt in favoare teoriei multifocale a tumorilor de uroteliu.
6. Se subliniaza necesitatea de-a supraveghea in timp aparatul urinar superior, in special la cazurile cu tumori cu risc mare. Examinarea de referinta o constituie urografia. Pentru pacientii cu tumori vezicale cu risc mic, urografia se va efectua doar in caz de simptome sugerand o anomalie a aparatului urinar superior sau in caz de progresie a tumorii vezicale (Holmang, [89]).
In caz de tumori vezicale cu risc mare urografia se va efectua anual in primii 2 ani, apoi la 2 ani. Urografia se va face, de asemenea la cazurile cu simptome ce orienteaza spre aparatul urinar superior, in cursul urmaririi unui pacient cu tumora vezicala operata: hematurie sau citologie urinara pozitiva cu cistoscopie normala.
12. Evolutia naturala si modalitatile terapeutice in tumorile vezicale
I. Tumorile vezicale superficiale fara tratament sau cu TURV
II. Displazia izolata a uroteliului vezical
III. Tumorile vezicale superficiale pTa tratate
IV. Tumorile vezicale superficiale pT1
V. Riscul progresiei tumorilor vezicale superficiale la infiltratia stratului muscular
superficial (pT2)
VI. Tumorile vezicale superficiale pTis sau CIS (carcinom in situ)
VII. Localizarile tumorale pe aparatul urinar extravezical
VIII. Meta-analiza unor serii mari de bolnavi.
Tumorile vezicale superficiale sunt cele care respecta muschiul vezical, bariera dupa care devin infiltrante (pT2) punand probleme de prognostic si tratament complet diferite.
Sunt reprezentate de carcinomul in situ (pTis sau Cis) precum si de tumori papilare care respecta membrana bazala (pTa) sau infiltreaza corionul sau lamina proprie (pT1). Reprezinta 70-80% din totalitatea tumorilor vezicale la diagnosticul initial. Tumorile in stadiul pTa reprezinta 40% din cazuri, pT1 30 %, iar pTis 1,5% (Rischman, [194]).
Evolutia naturala a tumorilor vezicale este definita de doi factori distincti, aflati insa intr-o stransa interdependenta: recidiva tumorala si progresiunea spre infiltratie si/sau metastazare. Progresiunea neoplazica, incluzand metastazarea, reprezinta riscul evolutiv cu gravitatea cea mai mare (cca 15% din toate tumorile vezicale).

Figura 72. Tumorile vezicale - mod de prezentare si incidenta
(Comitetul de Oncologie a Asociatiei Franceze de Urologie, Rischman [194]).
Frecventa recidivei si progresiei depinde de multi factori dar include intotdeauna grading-ul si stadiul tumorii initiale (elementul T). Tumorile vezicale superficiale sunt impartite in 3 clase de risc evolutiv: 7,1% cu risc mic, 17,4% cu risc mijlociu si 41,6% cu risc crescut.
Tabelul nr.15. Riscul de progresiei in functie de gradul si stadiul tumorilor vezicale superficiale
(Comit de Cancrologie de l'Association Franaise d'Urologie)(Rischman, [194]).
|
Risc evolutiv |
Tumori vezicale superficiale |
Risc de progresie la 5 ani |
Risc de deces la 10 ani |
|
Grupa 1 Risc mic |
pTa G1 unic pTa G1-G2 non-recidivant la 3 luni | ||
|
Grupa 2 Risc intermediar |
pTa G2 multifocal pTa multi recidivant pTa G3, pT1 G2 unic | ||
|
Grupa 3 Risc mare |
pT1 G3 pTis difuz pT1 multifocal pT1 recidivant sub 6 luni |
Sunt cel putin 4 factori care influenteaza riscul evolutiv al tumorilor vezicale superficiale:
I. Tumorile vezicale superficiale fara tratament sau cu TURV
In 1955, Prout GR si Marshall VF prezinta o serie de 59 de pacienti netratati intre 1926-1952. In acest lot 15 pacienti aveau tumori vezicale superficiale. Rata de supravietuire a fost de 48,4% la 1 an si de 6,7 % la 2 ani de la aparitia simptomelor si de 13% respectiv 0% la 1 si 2 ani de la diagnostic.
Iata schema reprezentand istoria naturala a tumorilor vezicale superficiale netratate sau dupa TURV, prezentata dupa Droller (Lee, [125]).
Figura 73. Istoria naturala a tumorilor vezicale superficiale netratate sau dupa TURV
(dupa Droller) [125].
II. Istoria naturala a displaziei uroteliale localizate fara tumora vezicala asociata
Frecventa reala a acestei leziuni este putin cunoscuta. Shirai [213] gaseste 6,8% la barbati si 5,7% femei pe 313 autopsii sistematice. Cheng [17] gaseste 36 de cazuri pe 5400 biopsii vezicale.
Citologia urinara a fost normala la 26 de pacienti; doar in 2 cazuri citologia a fost evocatoare pentru leziune.
Leziunea macroscopica vizibila endoscopic a fost in jumatate de cazuri o zona eritematoasa. Urmaririrea medie a fost de 8,2 ani. Nici un pacient nu a urmat tratament.
Progresia de la displazie s-a facut la pTis in 19 % din cazuri, un pacient decedand de tumora vezicala. Progresia a aparut intre 6 luni si 8 ani(medie 2,5 ani).
III. Evolutia tumorilor vezicale superficiale pTa tratate
1. Grading-ul tumoral

Figura 74. Recidiva si progresia tumorilor vezicale superficiale pTa
(dupa Botswick)[13].
Tabelul nr.16. Recidiva si progresia tumorilor vezicale pTa G3,
dupa rezectie endoscopica si instilatii de BCG (dupa Lebret) [124].
|
Seria de tumori pTa G3 |
Numar de pacienti |
Recidive/Progresie (%) |
Urmarire (luni) |
|
Holmang [89] | |||
|
Chen [22] | |||
|
Norming [33] | |||
|
Heney [74] | |||
|
Lebret [124] |
|
2. Numarul si marimea tumorilor
Prout [187] analizeaza influenta multiplicitatii si marimii tumorale asupra riscului de recidiva. 178 de pacienti cu pTa G1 au fost urmariti cu o durata medie de 5 ani. Pacientii cu o singura tumora au avut recidive in 51 % din cazuri cu o amanare medie de 35 de luni spre deosebire de cei cu tumori multiple care au avut 91% recidive intr-un rastimp mediu de 17 luni. Pacientii cu tumori sub 2 cm au avut o probabilitate de recidiva de 46 % comparativ cu 61% la cei cu tumori peste 2 cm.
3. Durata de timp pana la recidiva
Fitzpatrick [41,42] studiaza 414 pacienti cu pTa G1 sau G2 avand o perioada de urmarire de 10 ani. 84% au avut tumora unica, iar 16% tumora multipla. Pacientii care n-au avut recidiva in primele 3 luni au avut un potential de recidivare de 20%. Cei cu recidiva in primele 3 luni de la rezectia endoscopica au avut o rata de recidivare de 70%.
Tabelul nr.17. Riscul recidivelor ulterioare in functie de aparitia primei recidive
dupa TURV - 519 pacienti (Kurth)[104].
|
Recidiva la 3 luni |
Numar si procent de viitoare recidive |
Total |
||
|
|
2 |
|||
|
NU |
6 (1%) | |||
|
DA |
6 (8%) | |||
Tabelul nr.18. Tumorile vezicale superficiale tratate prin rezectie endoscopica,
recidivate si cu progresie (dupa Herr)[77,79].
|
Stadiul / Gradul tumorii |
Nr. pacienti |
Numarul pacientilor (%) |
|||
|
Fara recidiva |
Recidiva superficiala |
Progresie tumorala |
Deces datorat tumorii |
||
|
Ta G1 |
|
59% |
|
|
|
|
T1 G2 si G3 |
31% |
55% |
|
|
|
|
T1 G2 |
|
49% |
32% |
|
|
|
T1 G3 |
|
48% |
45% |
36% |
|
|
Total |
20% |
52% |
28% |
22% |
|
IV. Tumorile vezicale superficiale pT1
Tumorile vezicale in stadiul pT1 invadeaza corionul peretelui vezical, dar fac parte din tumorile vezicale superficiale. Riscul principal al acestor tumori este progresia spre invazie a peretelui muscular. Supravietuirea la 5 ani este de 72 % in timp ce la pTa este de 95% (Herr).
1. Tumorile vezicale pT1 initial
Reprezinta 30% (15-57%) din tumorile vezicale superficiale pentru toate grading-urile. Pacientii cu pT1G3 reprezinta 10 % (2-23%) din tumorile vezicale superficiale.
Tabelul nr.19. Tumori vezicale superficiale, incidenta tumorilor T1 (dupa Herr).
|
Serii |
Toate stadiile confundate |
Nr. pacienti pT1 (%) |
Nr. pacienti pT1 G3 (%) |
|
England | |||
|
Lutzeyer | |||
|
Heney [75] | |||
|
Smith | |||
|
Jakse | |||
|
Algaba [4] | |||
|
Malmstrom | |||
|
Torti [248] | |||
|
Pagano [175] | |||
|
Abel [1] | |||
|
Pauwels | |||
|
MRC [19] | |||
|
Herr [79] | |||
|
Total |
Se pun urmatoarele probleme:
daca recidiva se afla pe acelasi loc cu tumora primitiva sau intr-o zona cu mucoasa normala la prima cistoscopie?
in caz de recidiva intr-o zona cu mucoasa anterior macroscopic normala, prezinta mucoasa vreo anomalie microscopica?
in caz de recidiva in acelasi loc, a fost rezectia anterioara completa?
O re-rezectie la 6 saptamani va permite o evaluare corecta.
2. P rogresia tumorilor vezicale pT1 cu tratament
Sunt 3 modalitati de progresie a tumorilor vezicale pT1:
progresia stadiului de la pT1 la pT2
progresia grading-ului de la G1 sau G2 la G3
aparitia metastazelor ganglionare sau la distanta.
Riscul si modalitatea progresiei este analizata in functie de tratamentul utilizat:
a). Rezectia endoscopica: singura modalitate de tratament
Riscul progresiei este de 29 % pentru toate gradele de diferentiere si de 40% pentru tumorile pT1G3.
Tabelul nr.20. Progresia tumorilor vezicale pT1 G3,
tratate numai prin rezectie endoscopica (dupa Herr).
|
Serii de bolnavi |
Nr. pacienti pT1 |
Progresie |
Recadere in luni |
|
Hellsten | |||
|
Lutzeyer | |||
|
Finan 1982 [43] | |||
|
Heney 1983 [73] | |||
|
Smith 1983 [216] | |||
|
Jakse 1987 [93] | |||
|
Malmstrom | |||
|
Torti 1987 [248] | |||
|
Kakizoe | |||
|
Pagano 1987 [175] | |||
|
Pauwels | |||
|
Abel 1988 [1] |
|
||
|
Kim and Lee | |||
|
Herr 1988 [77] | |||
|
Boccon-Gibod 1989 [9] | |||
|
Lundbeck 1989 [134] | |||
|
Total |
b). Rezectia endoscopica asociata unui tratament adjuvant intravezical
Tabelul nr.21. Efectul instilatiilor intravezicale asupra riscului de recidiva si progresie la
tumorile vezicale pT1G3. Meta-analiza a 7249 pacienti randomizati (Lamm)[115].
|
Istilatii |
% diminuare a recidivelor in raport cu un grup martor |
% diminuarea raportului fata de grupul martor |
|
Thiotepa (11 studii) | ||
|
Doxorubicine (8 studii) |
Instilatii intravezicale: 8.5% |
|
|
Mitomycine (6 studii) |
Group: 8.3% |
|
|
Epirubicine (6 studii) | ||
|
BCG ( 6 studii) |
c). Cistectomia [7]
Tabel nr.22. Supravietuirea la 5 si 10 ani dupa cistectomie pentru tumori vezicale superficiale,
(dupa Cookson) [29].
|
Cistectomie |
Stadiul tumorii vezicale |
Nr. de pacienti |
Supravietuire 5 ani 10 ani |
|
|
Amling |
pTa | |||
|
pTis | ||||
|
pT1 | ||||
|
Pagano |
pTis | |||
|
pT1 | ||||
|
pT0/Ta | ||||
|
Malkowicz |
pTis | |||
|
pT1 | ||||
|
pT1/Tis | ||||
|
Siref and Zincke |
pT1 | |||
V. Riscul progresiei tumorilor vezicale superficiale
la infiltratia stratului muscular superficial (pT2
30% din tumorile vezicale superficiale cu grad 3 de anaplazie progreseaza spre tumora vezicala infiltrativa pT2, in timp ce 18 % din tumorile pT1 evolueaza spre infiltratie.
VI. Tumorile vezicale superficiale pTis sau CIS
sunt discutate pe larg la capitolul respectiv.
VII. Localizarea tumorii in aparatul urinar extra- vezical
1. Localizarea prostatica este prezentata la capitolul respectiv
2. Localizarea la nivelul aparatului urinar superior.
Pentru pacientii cu pTa grad jos de anaplazie riscul este de 2-3 % [ Pentru tumori vezicale de grad inalt riscul interesarii aparatului urinar superior este de 10-36
VIII. Meta-analizarea unor grupuri de bolnavi
Tabelul nr.23. Studiu comparativ al eficientei diferitelor forme de tratament
asupra recidivelor tumorale superficiale (diferente statistice semnificative) (Smith) [216].
|
Tratamente |
Diferenta medie % |
95 % Interval de confidenta % Minimum % Maximum |
|
|
TURV + Thiotepa vs. TURV | |||
|
TURV + BCG vs. TURV | |||
|
TURV + Mitomycine C vs. TURV | |||
|
TURV + Doxorubicin vs. TURV | |||
|
TURV + BCG vs. TURV +Doxorubicin | |||
|
TURV + BCG vs. TURV+ Thiotepa | |||
|
Tratament |
Diferenta medie % |
95 % Interval de confidenta % Minimum % Maximum |
|
|
TURV + Thiotepa vs. TURV + Doxorubicine | |||
|
TURV + Mitomycine C vs. TURV + BCG | |||
|
TURV + Thiotepa vs. TURV + Mitomycine C | |||
|
TURV + Doxorubicine vs TURV + Mitomycine C | |||
|
Tratament |
Diferenta medie % |
95 % Interval de confidenta % Minimum % Maximum |
||
|
TURV vs. TURV + Thiotepa | ||||
|
TURV + BCG vs. TURV | ||||
|
TURV + Mitomycine C vs. TURV | ||||
|
TURV vs. TURV + Doxorubicine | ||||
|
TURV + BCG vs. TURV + Thiotepa | ||||
|
TURV + Thiotepa vs. TURV + Mitomycine | ||||
|
TURV + Thiotepa vs. TURV + Doxorubicine | ||||
|
TURV + BCG vs. TURV + Mitomycine | ||||
|
TURV + BCG vs. TURV + Doxorubicine | ||||
|
TURV + Doxorubicin vs. TURV + Mitomycine | ||||
Aceasta prezentare relativ incarcata a evolutiei naturale a tumorilor vezicale, cu referire atenta la cele superficiale, are drept scop obiectivarea frecventei recidivelor locale si a potentialului infiltrativ, factori ce impun aplicarea unui protocol terapeutic adecvat stadiului si grading-ului tumoral in momentul diagnosticului.
|
Politica de confidentialitate | Termeni si conditii de utilizare |
Vizualizari: 10030
Importanta: ![]()
Termeni si conditii de utilizare | Contact
© SCRIGROUP 2025 . All rights reserved