Scrigroup - Documente si articole

     

HomeDocumenteUploadResurseAlte limbi doc
Alimentatie nutritieAsistenta socialaCosmetica frumuseteLogopedieRetete culinareSport

DIAGNOSTICUL PRECOCE AL LEZIUNILOR INCIPIENTE DE SMALT

sanatate



+ Font mai mare | - Font mai mic



DIAGNOSTICUL PRECOCE AL LEZIUNILOR INCIPIENTE DE SMALT

Diagnosticul precoce al leziunilor carioase este fundamental pentru practician, depistarea unei leziuni in stadiul de "white-spot" putand modifica evolutia procesului carios spre vindecare prin modificarea dietei, controlul placii bacteriene si folosirea rationala a F.



Punctul limita de la care nu se mai spera oprirea procesului carios este aparitia cavitatii.

Actul modern al diagnosticarii in stomatologie cuprinde atat metode clinice - inspectie, palpare, preventie - cat si teste efectuate cu aparate, incepand cu testul de vitalitate dentara, mergand pana la examenul radiologic si metode diagnostice moderne ce au drept scop corelarea diagnosticului cu examenul histologic.

DIAGNOSTICUL CLINIC AL LEZIUNILOR INCIPIENTE PRIN INSPECTIE SI PALPARE

Caracteristicile clinice ale leziunilor initiale de smalt sunt:

pierderea transluciditatii normale a smaltului ce capata un aspect cretos, in special atunci cand este uscat cu jet de aer;

existenta unui strat superficial fragil dar inca integru, susceptibil a fi distrus la examinare, mai ales in gropite si fisuri;

prezenta unei porozitati crescute in stratul situat imediat sub suprafata smaltului, cu potential crescut de colorare (pete maronii);

dobandirea unui potential crescut de remineralizare si a unei rezistente crescute la atacurile acide ulterioare.

Diagnosticul clinic se bazeaza pe evaluarea prin inspectie vizuala a suprafetei smaltului si prin palparea cu un instrument explorator.

In conditiile in care se presupune prezenta unei leziuni initiale de smalt, palparea suprafetei de smalt cu sonda ascutita este interzisa, putand sparge suprafata leziunii si produce cavitatie, stadiu ireversibil al procesului carios. Pe de alta parte examenul tactil in astfel de situatii nu imbunatateste diagnosticul, retentia sondei in putandu-se datora nu numai prezentei unui proces carios, dar si anatomiei santurilor.

Din aceaste motive detectia leziunii initiale de smalt prin palpare cu un instrument ascutit a fost eliminata, fiind permisa doar examinarea fara apasare, cu partea boanta a sondei a zonei decolorate de smalt.

Rezultatele cele mai bune in diagnosticul clinic al leziunilor initiale din santuri si fisuri se obtin prin spalarea cu un jet puternic de apa calda a suprafetelor dentare, uscarea lor atenta si examinarea vizuala cu magnificatie.

Diagnosticul clinic al cariei initiale de pe suprafetele proximale este de asemenea dificil de efectuat, de cele mai multe ori leziunea formandu-se sub punctul de contact. Sunt leziuni descoperite de obicei tarziu, cand din punct de vedere histologic este afectata dentina.

Cariile initiale de smalt de pe suprafetele orale si vestibulare pot fi diagnosticate usor dupa indepartarea mecanica a placii bacteriene, localizarea cea mai frecventa fiind aproape de marginea gingivala.

Un plus de informatii in sprijinul diagnosticului clinic al cariilor incipiente de smalt poate fi obtinut prin utilizarea de coloranti cu greutate moleculara mica ce patrund in porii leziunilor initiale, separarea dintilor, injectarea unui material fluid de amprenta in spatiul interdentar sau utilizarea atei dentare pentru depistarea leziunilor proximale.

Colorantii se aplica in coditii de izolare si uscare timp de 10 secunde pe suprafetele dentare susceptibile a fi cariate, apoi zona se clateste cu spray aer-apa si se aspira.

Zonele de smalt cu permeabilitate crescuta - leziunile initiale ale smaltului - raman colorate in verde, datorita absorbtiei colorantului in pori.

Senzitivitatea examenului clinic in diagnosticul leziunilor initiale de smalt este extrem de redusa (intre 8 si 18% dupa diversi autori), de aceea pentru un diagnostic corect examenul clinic trebuie asociat si comparat cu examenul radiologic si cu alte metode diagnostice moderne.

DIAGNOSTICUL RADIOLOGIC AL LEZIUNILOR INCIPIENTE PRIN RADIOGRAFII BITEWING

Utilizarea radiografiilor bitewing pentru depistarea leziunilor ocluzale de smalt nu este utila, acestea devenind vizibile pe radiografii dupa ce au depasit stadiul initial.

Radiografiile bitewing sunt insa esentiale pentru diagnosticul leziunilor aproximale daca sunt realizate corect, in conditiile in care punctele de contact nu se suprapun si nu exista inghesuire posterioara.

- pozitia retro-dento-gingivala a filmului (f), pozitia in planul ocluzal (muscata) a aripioarei (a) si orientarea fascicului de radiatii (x) in vederea executarii unei radiografii corecte "bitewing" (dupa S.Login).

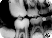
Leziunea posterioara apare ca o arie triunghiulara intunecata in smalt. Se poate afla pe suprafata externa a smaltului sau in profunzimea acestuia.

- leziune initiala de smalt situata pe fata distala a dintelui 4.5, vizibila ca arie triunghiulara intunecata in externa a smaltului pe radiografia bitewing.

Avantajul radiografiilor bitewing este ca pe acelasi film pot fi examinate mai multe suprafete aproximale, cu numai 4 filme intraorale realizandu-se un "status radiologic".

In functie de gradul demineralizarii, leziunile vizibile pe radiografiile bitewing sunt codificate astfel:

0 - smalt sanatos, fara modificari vizibile radiologic;

1 - radiotransparenta limitata in smalt;

2 - radiotransparenta ce ajunge pana la jonctiunea smalt-dentina;

3 - radiotransparenta in smalt si externa a dentinei;

4 - radiotransparenta in smalt si interna a dentinei.

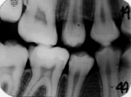
-46, suprafata meziala - radiotransparenta limitata in smalt - scor radiologic 1

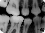
- 45, suprafata distala - radiotransparenta in smalt pana la jonctiunea smalt-dentina, scor radiologic 2

Dupa compararea modificarilor radiologice cu cele clinice:

pentru Rx 1,2,3 - modificari clinice progresive ale smaltului, fara aparitia cavitatii;

pentru Rx 4 - modificari in dentina cu cavitatie progresiva in smalt,

se aleg metode invazive sau non-invazive de terapie.

In cazul leziunilor cu scoruri radiologice 1 si 2 se recomanda un program de remineralizare care incepe cu informarea pacientului despre leziunea existenta si despre posibilele ei cauze. Este instituit un program de interventii periodice profesionale de igienizare a cavitatii bucale si de fluorizare locala concomitent cu modificarea alimentatiei spre una necariogena. In cazul unui diagnostic exclusiv radiologic, trebuiesc scazute intervalele dintre controale.

In cazul cariei cu un scor radiologic 3 se realizeaza obligatoriu tratament restaurator.

Pentru leziunile aflate la limita dintre scorurile 2 si 3 se repeta controlul radiologic dupa maximum o perioada de 1 an.

Monitorizarea leziunii de demineralizare se realizeaza prin examene radiologice repetate la intervale de 3 luni, 6 luni sau 1 an, in functie de riscul carios al pacientilor.

Senzitivitatea examenului radiologic bitewing este cuprinsa intre 27 si 32% dupa diversi autori, prin examen clinic si radiologic fiind depistate doar aproximativ 50% dintre leziunile initiale.

DIAGNOSTICUL RADIOLOGIC AL LEZIUNILOR INCIPIENTE PRIN RADIOGRAFII DIGITALE

Analiza radiologica asistata de calculator - radioviziografia - consta in analiza computerizata imediata a imaginilor radiologice de tip bitewing obtinute printr-un sistem intra-oral de captare a imaginilor dupa iradierea dintilor cu un fascicul de raze X.

Avantajele metodei includ reducerea dozei de iradiere, reducerea timpului de lucru si posibilitatea de obtinere a unor imagini marite, net superioare imaginilor conventionale. Este posibila monitorizarea tuturor modificarilor din cariile incipiente, precum si din osul alveolar si parodontiul apical.

TRANSILUMINAREA CU FIBRE OPTICE

Metoda are un rol important mai ales in recunoasterea uzuala a cariei initiale proximale frontale (pana la fata distala a caninului). Lumina se aplica pe dintii uscati, iar leziunea carioasa, avand un indice mai scazut de transmisie a luminii, apare ca o umbra intunecata.

Tehnica are avantaje particulare la pacientii cu inghesuire posterioara unde pe examenul radiologic bitewing se produce suprapunerea imaginilor.

Senzitivitatea metodei este aproximativ egala cu cea a examenului radiologic, dar mult mai mare decat a examenului vizual.

FOLOSIREA SURSELOR LUMINOASE SI A IMAGINILOR DIGITALE

Deoarece diagnosticul leziunilor initiale de smalt prin metoda F.O.T.I. are o eficienta redusa, s-a incercat obtinerea unor metode optice noi capabile sa ofere imagini bi-sau tri-dimensionale ale tesuturilor dentare, si sa permita cuantificarea severitatii leziunii.

Sistemul DIFOTI (Digital Imaging Fiber Optic Trans Ilumination) foloseste lumina alba pentru iluminarea dintilor.

O singura fibra optica introdusa intr-o piesa de mana mobila elibereaza lumina pe o anumita suprafata a dintelui. Lumina ce traverseaza smaltul si dentina este apoi directionata cu ajutorul unei oglinzi si captata de o minivideocamera electronica intra-orala ce o transmite unui calculator.

Imaginea obtinuta este stocata si apoi prelucrata printr-un program computerizat. Se pot obtine astfel rapid imagini ale leziunilor de smalt ce apar mult mai intunecate in comparatie cu smaltul sanatos, sistemul DIFOTI marind contrastul imaginii leziunii carioase fata de restul tesutului dentar.

Sistemul DIFOTI poate identifica prezenta cariei incipiente inaintea oricarui sistem radiologic si este extrem de util pentru monitorizarea progresiei sau regresiei leziunilor carioase.

Printre avantajele sistemului DIFOTI se numara:

vizualizarea intreagii cavitati bucale;

confirmarea diagnosticului de leziune incipienta si monitorizarea regresiei acesteia prin aplicarea unui tratament non-invaziv;

utilizarea luminii albe si nu a unei radiatii ionizante;

obtinerea rapida a unor imagini reproductibile.

Rezultatele obtinute prin sistemul DIFOTI au o valoare diagnostica mai mare decat cele obtinute prin examene radiologice conventionale.

Senzitivitatea si specificitatea sistemului DIFOTI sunt de 2, 4 si respectiv de 10 ori mai mari pentru suprafetele aproximale, ocluzale si respectiv netede, decat in cazul utilizarii radiografiilor conventionale.

Rezultatele superioare se datoreaza atat sistemului intra-oral de captare a imaginilor obtinute prin iluminarea tesuturilor dentare cat si post-procesarii si interpretarii computerizate a acestor imagini.

CARIODETECTIA ELECTRONICA

Diferitele metode de detectie se bazeaza pe o teorie simpla - curentul electric ce trece printr-un dinte sanatos are o rezistenta electrica diferita de cea a unui dinte cariat, demineralizat. Rezistenta electrica dintre dinte si un electrod extern cutanat depinde de starea de sanatate a tesutului dentar, scazand odata cu cresterea gradului de demineralizare.

In practica se folosesc diferite dispozitive de tipul "Vanguard Electronic Caries Detector", "Caries - Meter L" sau "Electronic Caries Monitor".

Utilizarea ECMs (Electrical Conductance Measurements) ca mijloc de diagnostic precoce al leziunilor initiale de smalt s-a dovedit a fi net superioara altor metode de diagnostic, in special la nivelul santurilor.

Corelarea metodei de diagnostic cu modificarile histologice din caria initiala este cuprinsa intre 83% si 96%.  

CARIODETECTIA PRIN LASER

Dupa majoritatea autorilor, cariodetectia prin laser este un procedeu de diagnostic al cariilor ocluzale mai conservator si mai exact decat celelalte metode.

Pentru diagnosticul leziunilor incipiente de smalt s-au utilizat succesiv laserul cu CO2 , apoi cel cu Nd: YAG.

Folosirea laserului pentru a pune in evidenta modificarea fluorescentei smaltului ca metoda diagnostica pentru detectia cariei in stadiul initial a fost introdusa in 1982.

Pentru ca in smaltul demineralizat absorbtia luminii scade, iar fluorescenta este rezultatul absorbtiei luminii, intensitatea fluorescentei va scadea in regiunile demineralizate ale smaltului. Radiatia fluorescenta la nivelul leziunii este masurata in functie de radiatia smaltului sanatos inconjurator, considerata 100%. Diferenta dintre cele doua valori reprezinta pierderea de fluorescenta din leziune.

Masurarea fluorescentei laser-induse a smaltului (QLF - Quantitative Laser Fluorescence) permite atat aprecierea cantitativa a modificarilor componentei anorganice a smaltului din leziunea initiala, cat si calcularea adancimii leziunii in functie de gradul pierderii fluorescentei. Pot fi de asemenea evaluate modificarile succesive ale procesului de remineralizare a leziunilor initiale.

Un progres al metodelor de diagnostic precoce al leziunilor carioase este reprezentat de laserul DiagnoDent.

Sistemul DiagnoDent face posibila recunoasterea leziunilor initiale din santuri si fisuri, de pe suprafetele netede, precum si a leziunilor arestate.

Aparatul Diagno-Dent capteaza fluorescenta emisa sub efectul substantei stimulante si o cuantifica in valori unitare ce apar afisate pe ecranul aparatului.

Diagno-Dent poate identifica leziuni de adancimi incepand de la 300m de la suprafata smaltului.

Fluorescenta emisa de smalt prin stimularea cu lumina laser este captata si cuantificata in valori unitare, ce apar afisate pe ecranul aparatului

Valorile Diagno-Dent sunt:

0 - 5: smalt sanatos;

5 - 20: leziuni initiale de smalt ce necesita tratament expectativ - igienizarea cavitatii bucale, monitorizarea leziunilor - si tratament preventiv - fluorizare profilactica;

20-30: leziuni active non-cavitare, posibil reversibile prin tratament non-invaziv - controlul formarii placii bacteriene, imbunatatirea igienei orale, tratament de remineralizare cu fluor;

> 30 : leziuni active cavitare; este necesar un tratament chirurgical adecvat, minimal invaziv.

Inainte de utilizarea aparatului, suprafetele dentare ce vor fi examinate sunt spalate si curatate prin periaj mecanic profesional.

Aparatul este prevazut cu doua tipuri de sonde: pentru fisuri si suprafete aproximale - in forma de con, si pentru suprafetele netede - mai lata.

Posibilitatile de cuantificare si de monitorizare a demineralizarilor din leziunea incipienta fac din DiagnoDent o metoda moderna deosebit de eficienta in diagnosticul cariologic, senzitivitatea fiind mai mare de 90%.

Concluzii

Nici una dintre aceste metode diagnostice nu este totusi infaibila si, in acelasi timp, nici una dintre ele nu justifica un tratament chirurgical invaziv imediat.

Fiecare tehnica are un anumit rol in diagnosticul precoce al leziunilor carioase dar, luandu-se in considerare progresia relativ lenta a unei leziuni carioase clasice, atitudinea terapeutica in cazul unei leziuni initiale trebuie evaluata cu atentie.

Interventia chirurgicala este justificata numai in vederea eliminarii unei cavitati deja prezente deoarece, in aceste conditii, controlul formarii placii bacteriene nu este posibil.



Politica de confidentialitate | Termeni si conditii de utilizare



DISTRIBUIE DOCUMENTUL

Comentarii


Vizualizari: 3106
Importanta: rank

Comenteaza documentul:

Te rugam sa te autentifici sau sa iti faci cont pentru a putea comenta

Creaza cont nou

Termeni si conditii de utilizare | Contact
© SCRIGROUP 2025 . All rights reserved