| CATEGORII DOCUMENTE |
| Alimentatie nutritie | Asistenta sociala | Cosmetica frumusete | Logopedie | Retete culinare | Sport |
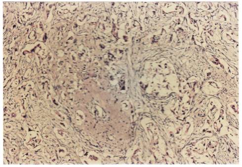
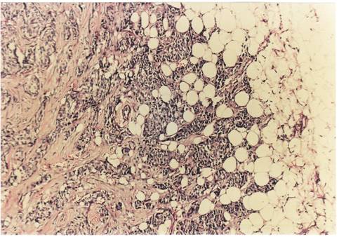
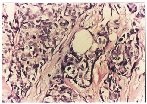
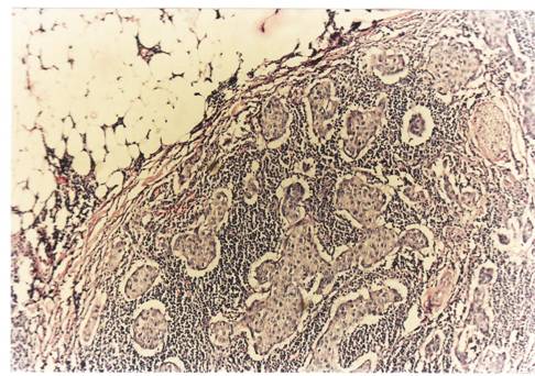
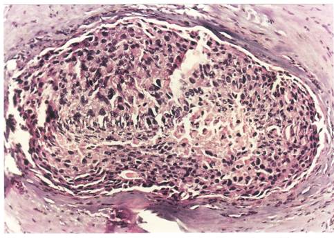
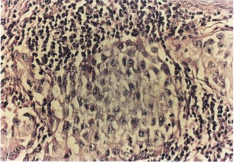
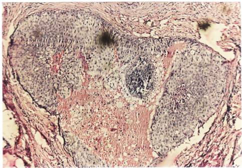
Criterii microscopice de diagnosticare a cancerului mamar
Investigarea citologica a proliferarii maligne se realizeaza prin tehnica citologiei exfoliative sau a citologiei prin punctie aspirativa cu ac fin.
Prima tehnica se foloseste in cazul scurgeriilor mamelonare(seroase, lactescente, sanguinolente) cand epiteliul areolo-mamelonar prezinta escoriatii,(ex)ulceratii si in cazul tumorilor mamare ulcerate, iar pentru tumorile mamare neulcerate se foloseste a doua tehnica. Scurgerile mamelonare seroase sunt asociate frecvent proliferarilor beningne, iar cele hemoragice corespund leziunilr maligne de carcinom papilar. Frotiurile se coloreaza cu May Grunwald Giemsa.
Pentru examenul histopatologic piesele de mamectomie sunt prelucrate prin imparafinare si colorate cu Hematoxilina-Eozina sau, pentru observarea mai buna a tesutului conjunctiv, cu Van Gieson.
Obtinerea preparatelor pentru microscopie optica
Un
preparat histologic prezinta
celule/fragmente de tesuturi inglobate in substanta de montare cuprinsa intre
lama si lamela. Sectiunile inglobate in masa de montare trebuie sa fie fine,
usor de strabatut pentru radiatia luminoasa. Lichidul de montare trebuie sa
aiba indicele de refractie apropiat de cel al sticlei (balsam de
Etapele obtinerii preparatelor :
recoltarea tesuturilor din organismele vii(biopsie) sau de la cadavre (necropsie). Biopsia se face in clinica pentru stabilirea diagnosticului sau pentru cercetare.
Metode de biopsie : operatii chirurgicale
punctie bioptica (efectuata in organe parenchimatoase)
fixarea - pentru stoparea proceselor vitale (moarte celulara).
Fixatorii folositi pot fii
Fizici - caldura (la flacara)
- uscarea la aer(folosita in citologie)
- congelarea la - 190* C in azot lichid (pentru studierea enzimelor din celule)
chimici - fie o substanta (formol, metanol, etanol, acetona, acid acetic, acid picric);
un amestec chimic (universal pentru tesuturi sau specific pentru anumite tipuri celulare, dupa tipul de tesut).
Prin fixare se realizeaza conservarea structurii celulei si pastrarea componentelor ei, creste indicele de refractie al celulei si consistenta tesutuului respectiv, pentru a rezista la urmatoarele etape. Un fixator bun intra repede in tesut, nu este toxic, iritant, inflamabil, nu produce structuri care nu exista in celula. Mecanismul de fixare trebuie sa conserve proteinele, lipidele si glucidele, facandu-le insolubile.
spalarea - pentru indepartarea fixatorului din tesut. Se face cu apa de robinet in cazul folosirii alcoolului sau formolului ca fixator si cu alcool in cazul folosirii acizilor sau sublimatului coroziv.
Includerea in masa de incluziune a sectiunilor histologice - pentru cresterea consistentei tesutului si obtinerea sectiunilor foarte fine.
Intre spalare si includere exista etape intermediare , deoarece masa de incluziune (rasini) nu e miscibila cu apa si inaintea includerii preparatul trebuie deshidradat cu solutii de etanol, de concentratie crescanda ( 50%, 70%, 80%, 90%, si 100% alcool) pentru scoaterea apei din tesut.
Clarificarea - utilizata pentru introducerea in celula a unei substante miscibile cu masa de incluziune (xilina sau toluol), ce da claritate tesutului.
Impregnarea fragmentelor de tesut cu masa de incluziune - fragmentul trebuie cuprins cu si in masa de incluziune (foarte frecvent parafina). Impregnarea se face topind parafina si punand-o in termostat la 1-2 grade C peste temperatura ei de topire, apoi se introduc in ea fragmentele de tesuturisi se tin 6-12 ore la termostat pentru ca parafina sa patrunda in aceasta.
Includerea - cu pensa incalzita se scot fragmentele de tesut si se pun in alta baie cu parafina topita la temperatura camerei, unde se lasa pana la solificarea parafinei.
Parafina solificata prezinta cristale mici, care nu distrug tesuturile.
sectionarea - pentru obtinerea sectiunilor fine se taie bloculete din blocul de parafina si se modeleaza cu bisturiul in forma de trunchi de piramida. Sectionarea se face cu apararte speciale (microtom). Blocul obtinut se lipeste pe portobiectiv care se prinde la aparatul prevazut cu cutit fin. Prin taiere se obtin benzi cu tesut in mijloc, care se lipesc pe lama cu o picatura de apa, iar lama se incalzeste pana ce parafina se topeste, putandu-se intinde sectiunea.
Colorarea - sectiunile trebuie deparafinate (cu xilol, benzen). Se face hidratrea etapa intermediara, deoarece colorantii sunt solutii apoase, nemiscibile cu parafina. De aceea hidratarea se face cu solutii de alcool concentrat 96%, treptat, pana la concentratie mica(apa). Dupa colorare excesul de colorant este indepartat prin spalare. Clarificarea se face cu xilen, pentru scoaterea apei din celule si cresterea claritatii.
Montarea - pentru preparate permanente in
rasini sintetice (balsam de
Etichetarea - notarea organului de provenienta, data executarii si colorantul folosit.
Colorarea se realizeaza pentru observarea difertiata a structurilor celulare (colorantul adera selectiv la structurile celulare, colorandu-le diferit). Hematoxilin-eozina contine hematoxilina si eozina (colorant acid anionic). Colorantul se oxideaza la aer in timp indelungat sau chimic, cu iodura de sodiu. Colorantul determina culoarea roz a citoplasmei celulare, nucleul bazofil (albastru-violet), heterocromatina se coloreaza intens, dar nu si invelisul nuclear, nucleolii apar foarte colorati si in citoplasma se observa granule albastru- violacee, ce sunt ribozomii, care contin ARN.
Pe preparate colorate, la microscopul optic se observa urmatoarele imagini :








|
Politica de confidentialitate | Termeni si conditii de utilizare |
Vizualizari: 2288
Importanta: ![]()
Termeni si conditii de utilizare | Contact
© SCRIGROUP 2025 . All rights reserved