| CATEGORII DOCUMENTE |
| Alimentatie nutritie | Asistenta sociala | Cosmetica frumusete | Logopedie | Retete culinare | Sport |
Cardiomiopatiile sunt un grup heterogen de boli caracterizate prin afectarea predominanta si initiala a miocardului, insotite de disfunctie cardiaca.
Definitia are un sens restrictiv, deoarece exclude afectarea miocardului secundara valvulopatiilor, bolilor pericardice, cardiopatiei ischemice, HTA sistemice, hipertensiunii pulmonare si malformatiilor congenitale.
Inainte de 1995, cardiomiopatiile erau definite ca boli ale miocardului de cauza necunoscuta, folosindu-se termenul de " boli specifice ale muschiului cardiac " in situatiile in care etiologia afectarii muschiului cardiac era cunoscuta. Ulterior, acest termen a fost inlocuit prin cel de cardiomiopatie specifica.
Sub raport etiologic, cardiomiopatiile (CMP) pot fi impartite in :
- Idiopatice sau primare
- Secundare sau specifice - de cauza cunoscuta, afectarea miocardului fiind o manifestare in cadrul unor boli sistemice, heredofamiliale, metabolice, neurologice etc.
Cardiomiopatii specifice sunt :
-CMP ischemica
-CMP valvulara
-CMP hipertensiva
-CMP inflamatorii
-CMP metabolice: endocrine, tezaurismoze familiale si boli infiltrative, deficiente, amiloid.
-CMP din boli sistemice: boli ale tesutului conjunctiv, infiltratii si granuloame.
-CMP din distrofii musculare
-CMP din boli neuromusculare
-CMP din reactii de hipersensibilitate si toxice : alcool, catecolamine, antracicline, iradiere.
-CMP peripartum.
Din punct de vedere morfofunctional, cardiomiopatiile pot fi impartite pe baza caracterelor fiziopatologice (hemodinamice) principale in:
-CMP dilatative sau cu dilatatie (congestive) - forma cea mai comuna, caracterizata prin dilatatie ventriculara, disfunctie contractila si deseori simptome de insuficienta cardiaca. Poate fi idiopatica, familiala/genetica, virala si/sau imuna, alcoolica/toxica sau asociata cu boli cardiovasculare cunoscute in care gradul disfunctiei miocardice nu este explicat prin sarcina anormala sau intinderea suferintei ischemice. Aritmiile, tromboembolismul si moartea subita sunt frecvente si pot apare in orice stadiu.
-CMP hipertrofice - recunoscute prin HVS inadecvata , exagerata, adeseori cu interesare asimetrica a SIV, de obicei cu functie contractila pastrata sau crescuta. In mod tipic, volumul VS este normal sau redus. Gradientii sistolici sunt frecvent intalniti. Predomina boala familiala cu transmitere autozomal dominanta. Boala este cauzata de mutatii in genele proteinelor contractile sarcomerice. Sunt comune aritmiile si moartea subita prematura.
-CMP restrictive (infiltrativ-restrictive) - cea mai frecventa forma in tarile vestice, caracterizata prin alterarea umplerii diastolice, cu functie sistolica si grosime a peretilor normala sau aproape normala iar in unele cazuri cu cicatrici (fibroze) ventriculare. Poate fi idiopatica sau asociata cu alte boli (amiloidoza, boala endomiocardica cu sau fara hipereozinofilie).
CARDIOMIOPATIILE DILATATIVE
In CMP dilatative, anomalia principala este diminuarea functiei sistolice, urmata de dilatatie a cavitatilor (uni sau biventriculara) si frecvent de congestie venoasa pulmonara si in final sistemica.
Incidenta cardiomiopatiilor dilatative (CMD) variaza in diverse studii intre 1,8 si 6,95 cazuri la 100.000 locuitori pe an si este probabil mai mare datorita neraportarii formelor clinice usoare sau asimptomatice.
Prevalenta in SUA este de 36,5 la 100.000 locuitori.
Survine de 3 ori mai frecvent la barbati si la rasa neagra.
In studiul multicentric romanesc al CMD, raportul B/F a fost de 9/1.
Prevalenta insuficientei cardiace in comunitate este de cca 1-2% iar incidenta de cca 0,4%. Astfel, CMD este responsabila de 1 din 25 sau 50 de cazuri de insuficienta cardiaca.
Mai mult de 75 de boli specifice ale miocardului pot produce manifestari clinice de CMD.
Clasificarea etiologica a CMD
CMD idiopatice
CMD familiale
CMD toxice:
-alcoolice
-agenti chimioterapici:
- doxorubicina
- bleomicina
- ciclofosfamida
-agenti antivirali:
- zidovudine
- didanosine
- zalcitabine
-fenotiazine
-CO, Pb, Hg, Li
-cocaina
CMD din anomalii metabolice:
-deficiente nutritionale:
-tiamina,
-seleniu,
-carnitina
-boli endocrine:
-hipotiroidie,
-tireotoxicoza,
-acromegalie,
-boala Cushing,
-feocromocitom
-diabet zaharat
-diselectrolitemii:
-hipocalcemie ,
-hipofosfatemie
CMD din boli infectioase:
-virale: virus Coxsackie, virus citomegalic, HIV
-Rickettsiene
-bacteriene
-fungice
-parazitare: toxoplasmoza, trichineloza, boala Chagas
CMD din boli inflamatorii:
-colagenoze: LES, SS, DM
-miocardite prin sensibilizare
-sarcoidoza
CMD peripartum
CMD din boli neuromusculare:
-distofia musculara Duchenne
-distrofia musculara facioscapulohumerala
-distrofia Erb
-distrofia miotonica
-ataxia Friedreich
CMD idiopatica - este o boala miocardica primara, de cauza necunoscuta.
Probabil CMD reprezinta expresia comuna a distrugerii miocardice printr-o varietate de mecanisme citotoxice, metabolice, imunoalergice, familiale si infectioase.
Unele dintre aceste mecanisme produc afectare miocardica progresiva, in timp ce altele produc un singur episod lezional la care ventriculul poate raspunde prin remodelarea sau hipertrofia miocardului restant, situatie in care prognosticul poate fi excelent.
Desi cauza CMD idiopatice este neclara, in majoritatea cazurilor se accepta interventia a 3 mecanisme de baza posibile, raspunzatoare de leziunea miocardica:
1- Miocarditele infectioase(virale)
2- Anomaliile imunologice
3- Factorii familiali si genetici
Este posibil ca boala sa fie un sindrom plurietiologic, si nu o singura afectiune.
I .Miocarditele virale (factorul viral)
Afectarea virala intervine in etiologia CMD la un numar relativ redus de cazuri.
Se apreciaza ca la numai 15% din pacientii cu miocardita aceasta progreseaza spre CMD probabil printr-un mecanism imunologic si doar 10% din pacientii cu CMD prezinta la biopsie elemente de miocardita.
CMD este o posibila sechela tardiva a unei miocardite acute virale subclinice.
Cea mai comuna cauza a miocarditei ce evolueaza spre CMD este infectia cu enterovirusuri - aproximativ 50%. Mai sunt incriminate: citomegalvirusurile - 15%, adenovirusurile - 10%, virusul Epstein- Barr - 5%, virusul gripal - 5% si HIV.
Dintre enterovirusuri, cel mai frecvent intalnite sunt Coxsackie virusurile din grupa B, cu aproximativ 70 serotipuri asociate cu miocardita virala umana.
II. Factorul imunologic
S-au identificat numeroase anomalii ale imunitatii umorale si celulare la pacientii cu CMD, desi rezultatele nu sunt complet reproductibile.
Asocierea cu antigenele HLA clasa II (DR4 si DQW4) sugereaza ca anomaliile imunologice ar putea juca un rol in CMD.
S-au descris anticorpi antimiocardici fata de o varietate de antigene: lanturi grele de miozina, receptori beta-adrenergici, receptori muscarinici, laminina, mitocondrii, canalul calcic din membrana celulara etc.
S-au identificat anomalii ale celulelor T citotoxice, supresoare si NK. Necroza celulara produsa de catre celulele T citolitice poate explica leziunea progresiva.
III. Factorii familiali si genetici
Incidenta familiala a bolii este semnificativa, intalnita la aprox. 20-25% din cazurile de CMD, dar este cu mult inferioara aceleia intalnite in CMH.
Prevalenta reala a afectarii familiale este probabil subestimata datorita absentei markerilor afectarii precoce si a penetrantei (proportia purtatorilor simptomatici) scazute si dependente de varsta.
Boala este genetic heterogena.
Un studiu a examinat 281 rude de 350 pacienti cu CMD si a gasit cateva subtipuri distincte de CMD familiala:
1. AD - forma cea mai comuna (56%), caracterizata prin dilatatie VS usoara si o incidenta mare a autoanticorpilor cardiaci (72%)
2. AR (16%), care este caracterizata prin pacienti cu o varsta semnificativ mai tanara, care au un prognostic mai prost decat cei cu forma AD.
3. CMD familiala X- linkata (10%), cu mutatii diferite ale genei distrofinei.
4. O forma noua de CMD AD asociata cu boala musculara scheletica subclinica si caracterizata printr-un pattern restrictiv de umplere VS (7,7%).
5. CMD familiala asociata cu tulburari de conducere (2,6%) si o disfunctie ventriculara initial doar minora
6. Forme rare, neclasificabile.
Cea mai frecventa forma de CMD familiala se transmite autosomal dominant (AD) si se caracterizeaza prin dilatare ventriculara si disfunctie in a 2-a si a 3-a decada de viata cu insuficienta cardiaca progresiva si aritmii ventriculare.
CMD X-linkata transmisa dominant sau recesiv se manifesta ca insuficienta cardiaca rapid progresiva la adolescentii de sex masculin. Femeile au debut mai tardiv si progresie mai lenta. Anomalia genetica este reprezentata de o deletie in regiunea promotoare a primului exon al genei ce codifica proteina distrofina, o componenta a citoscheletului miocitelor.
La examenul macroscopic se evidentiaza marirea si dilatarea celor 4 cavitati cardiace. Valvele cardiace sunt normale, frecvent intalniti sunt trombii intracavitari (in special la apexul VS). Arterele coronare sunt de obicei normale.
Examenul microscopic, histologic evidentiaza arii extinse de fibroza interstitiala si perivasculara, interesand in special regiunea subendocardica a VS. Ocazional exista mici arii de necroza si infiltrat celular. Exista variatii marcate de marime a miocitelor.
Fiziopatologie
Datorita insuficientei contractile, o sarcina hemodinamica normala reprezinta o sarcina excesiva pentru fibra miocardica avand depresie primara a contractilitatii .
Fractia de ejectie si volumul sistolic scad, cordul recurge la mecanismul compensator diastolic, apare dilatatia si secundar va creste forta contractiei prin mecanism Frank - Starling. Dilatatia se realizeaza prin cresterea presiunii de umplere ventriculara care se transmite retrograd.
Dilatatia excesiva devine insa dezavantajoasa. Apare un dezechilibru intre lungimea aparatelor valvulare si diametrul crescut al ventriculilor, urmat de regurgitari atrioventriculare care reduc debitul sistolic. Pe masura ce dilatatia progreseaza, complianta ventriculara diminua. Fibroza interstitiala micsoreaza si ea complianta ventriculara. Dilatatia si staza intracavitara favorizeaza formarea de trombi murali.
In afectarile ventriculului stang (VS) cu timpul apare o hipertensiune pulmonara reactiva iar in evolutie insuficienta cardiaca dreapta.
Simptomatologia se dezvolta gradat la pacientii cu CMD. Unii pacienti sunt asimptomatici desi au dilatatie VS, care poate fi evidentiata printr-o radiografie toracica de rutina.
Simptomatologia predominanta este data de insuficienta ventriculara stanga (IVS) - fatigabilitate si slabiciune date de diminuarea debitului cardiac, intoleranta la efort. Insuficienta cardiaca dreapta este un semn tardiv si de prognostic prost.
Durerea toracica este prezenta la aprox. o treime din pacienti. In prezenta arterelor coronare normale ea poate fi explicata prin scaderea rezervei vasodilatatorii a microvascularizatiei miocardice. In stadiile avansate apar durerea toracica prin embolie pulmonara si hepatomegalia dureroasa.
Examenul fizic releva grade variate de dilatatie cardiaca si semne de insuficienta cardiaca congestiva. TA sistolica poate fi normala sau scazuta, presiunea pulsului este scazuta (scade volumul bataie). Cand IVS este severa apare pulsul alternant. Distensia venelor jugulare apare in insuficienta cardiaca dreapta. Ficatul poate fi marit si pulsatil. Edemele periferice si ascita sunt prezente in insuficienta cardiaca dreapta avansata.
Socul apexian este deplasat lateral datorita dilatatiei VS. Zgomotul II este normal sau dedublat paradoxal in prezenta blocului de ramura stanga sau componenta pulmonara poate fi accentuata in prezenta hipertensiunii arteriale pulmonare.
Galopul presistolic este prezent aproape intotdeauna si precede insuficienta cardiaca congestiva manifesta. Galopul ventricular apare odata cu producerea decompensarii iar galopul de sumatie in prezenta tahicardiei.
Suflul sistolic se datoreaza insuficientei mitrale, mai rar celei tricuspidiene.
- Testele biochimice sunt indicate pentru a exclude o cauza posibila, reversibila de CMD : ureea si creatinina serica (uremie), calciul seric (hipocalcemie), fosforul seric (hipofosfatemie), sideremia (hemocromatoza), functia tiroidiana - hipo sau hipertiroidism, testare HIV.
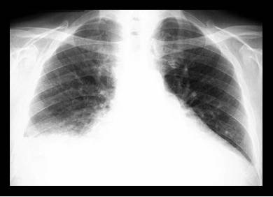
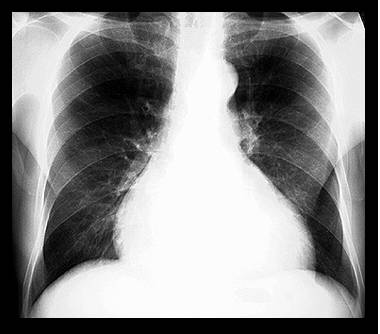
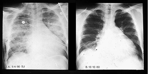
Radiografia pulmonara evidentiaza cardiomegalia ( creste indicele cardiotoracic) si semne de redistributie a circulatiei pulmonare - edemul interstitial si alveolar, hidrotoraxul.
- Electrocardiograma este aproape totdeauna modificata, fara specificitate. Evidentiaza frecvent tahicardia sinusala. Modificarile ST-T, invariabil prezente, sunt nespecifice. Se pot intalni semne de HVS, BRS, unde Q patologice si diverse aritmii.
Ecocardiografia permite evaluarea afectarii functiei contractile, excluderea unor boli valvulare sau pericardice. Se apreciaza forma si functia VS (tipic VS globulos cu functie contractila global alterata), gradul insuficientelor valvulare, prezenta trombozei intracavitare (intraatriala sau intraventriculara). Cresterea dimensiunilor cavitatilor stangi si drepte este progresiva cu cresterea clasei functionale NYHA. Producerea emboliilor se asociaza cu dimensiunea VS si fractia de ejectie (FE).
- Ventriculografia radionucleara (hematii marcate cu Tc 99 m) permite aprecierea dimensiunilor VS, FE si contractilitatii la pacientii cu imagine ecografica suboptimala.
- Scintigrafia de perfuzie miocardica - in repaus si la efort - este utila pentru diferentierea de CMP ischemica.
- Monitorizarea Holter permite aprecierea prezentei si severitatii aritmiilor. La 50 % din pacienti se evidentiaza prezenta aritmiilor ventriculare severe, care se asociaza cu un risc crescut de moarte subita.
- Potentialele ventriculare tardive sunt prezente la 38 % din pacientii investigati sistematic.
Explorari invazive
- Coronarografia permite excluderea cardiopatiei ischemice. Este indicata mai ales la pacientii cu angina, cu unde Q pe ECG, sau cu anomalii segmentare de cinetica parietala.
- Cateterismul cardiac permite aprecierea hipertensiunii pulmonare si a rezistentei in circulatia pulmonara.
- BEM (biopsia endomiocardica) este indicata cand exista o suspiciune clinica de afectare miocardica secundara, caz in care confirmarea diagnosticului pote contribui la modificari majore ale tratamentului.
Diagnosticul pozitiv se bazeaza pe stabilirea existentei dilatatiei cardiace in prezenta unei functii sistolice diminuate si eliminarea altor cauze de dilatatie cardiaca.
Diagnosticul diferential - se face cu : boli congenitale, valvulopatii castigate, cardiopatia hipertensiva cu dilatatie si cardiomiopatia ischemica.
Evolutie si prognostic
Prognosticul este in general rezervat prin evolutia progresiva a insuficientei cardiace.
Complicatiile sunt relativ frecvente si putin influentate de tratament :
-Emboliile sistemice si/sau pulmonare
-Aritmiile sunt frecvente - fibrilatia atriala la 20 % din bolnavi, extrasistole ventriculare complexe, tahicardia ventriculara.
-Moartea subita
Majoritatea bolnavilor decedeaza in 4 ani de la instalarea simptomelor. Supravietuirea la 5 ani este de 25-30 %.
Indicatori de prognostic nefavorabil : FEVS < 30 %, gradul cardiomegaliei, hipokinezia globala, insuficienta cardiaca clasa IV NYHA, varsta tanara < 40 ani, sincope, galop persistent, BAV grad I sau grad II, BRS, hiponatremie, presiunea in capilarul pulmonar (PCP) > 20 mm Hg, aritmii ventriculare.
Tratament
Are drept obiective prevenirea si tratamentul insuficientei cardiace, aritmiilor si trombemboliilor.
CMD idiopatica nu are tratament specific. Ea beneficiaza de tratamentul standard al insuficientei cardiace.
Masurile nefarmacologice: restrangerea activitatii fizice, modificarea dietei, si
farmacologice pot controla simptomele.
Cand disfunctia VS este simptomatica si au aparut semne de insuficienta cardiaca aceasta trebuie tratata in functie de severitatea sa.
Diureticele trebuiesc administrate cu moderatie pentru controlul retentiei hidrosaline si reducerea dispneei.
Terapia vasodilatatoare reprezinta tratamentul initial pentru orice pacient cu CMD
idiopatica simptomatic. Se folosesc inhibitoare ale enzimei de conversie sau antagonisti ai receptorilor angiotensinei II (in caz de intoleranta la IECA).
Folosirea lor trebuie facuta precoce, in doze progresive. Cresc toleranta la efort, debitul
cardiac si fractia de ejectie.
Daca manifestarile de insuficienta cardiaca nu sunt controlate cu IECA si diuretice, se foloseste medicatia inotrop-pozitiva - digitala, administrata mai ales la bolnavii cu fibrilatie atriala. Ea moduleaza activarea neurohormonala excesiva.
Deoarece activarea simpatica are efecte cardiace negative, betablocantele in doza progresiva incepand cu doze foarte mici au imbunatatit simptomatologia, capacitatea de efort, functia VS. Se pot folosi metoprolol, bisoprolol, carvedilol (are si actiune vasodilatatoare prin efectul alfablocant)).
Terapia antiaritmica poate fi utila in tratamentul aritmiilor simptomatice. Are efecte inotrop
negativ si proaritmic. Nu s-a dovedit ca prelungeste viata sau ca previne moartea subita. Numai amiodarona in doze mici (200 mg/zi) pe termen lung si-a dovedit eficienta in reducerea aritmiilor ventriculare. Aritmiile maligne ce nu raspund la tratamentul medicamentos pot beneficia de cardioverter-defibrilator implantabil.
Riscul important de embolism sistemic sau pulmonar a dus la indicatia unei anticoagulari
orale, de lunga durata. Indicatie au mai ales pacientii cu fibrilatie atriala si insuficienta cardiaca mai severa asociata cu tahicardie sinusala, cu FEVS < 30 % si trombi intracavitari, istoric de tromboembolism, in doze care sa prelungeasca INR la 2-3.
CMD idiopatica ramane principala indicatie a transplantului cardiac. Transplantul cardiac
reprezinta o alternativa pentru pacientii care raman in clasa functionala NYHA III si IV in ciuda terapiei medicamentoase maximale.
S-a incercat remodelarea chirurgicala a VS - rezectie partiala a peretelui lateral asociata cu anuloplastie.
Cardiomioplastia cu muschiul latissimus dorsi parea sa aiba un beneficiu la pacientii ce nu puteau fi supusi transplantului cardiac.
CARDIOMIOPATIA PERIPARTUM
Este o forma de CMD de cauza necunoscuta ce survine in ultimul trimestru al sarcinii sau in primele 6 luni dupa nastere.
Etiopatogenia - au fost sugerate drept cauze posibile deficiente nutritionale, miocardita, toxemia, anomalii ale vaselor coronariene mici, reactii imunologice ale mamei la antigene fetale si efecte hormonale.
Se intalneste mai frecvent in sarcinile gemelare, la multipare, la mame mai varstnice > 30 ani si rasa neagra. Factori favorizanti sunt preeclampsia si HTA.
Tabloul clinic include fatigabilitate, dispnee progresiva, palpitatii, dureri toracice, tuse, hemoptizii (prin tromboembolism pulmonar). Rapid se dezvolta o insuficienta cardiaca biventriculara. Pot surveni embolii sistemice si pulmonare.
La examenul fizic : cardiomegalie, zgomot de galop, sufluri de regurgitare atrioventriculara, semne de insuficienta biventriculara, puls de amplitudine mica, tahicardie, alte tulburari de ritm.
Diagnostic : trebuie diferentiata de toate dilatatiile cardiace insotite de depresia contractilitatii datorate unor boli cardiace preexistente sau intercurente ( miocardita acuta ), si in primul rand de o CMD idiopatica descoperita in perioada peripartum.
Evolutia este variabila - la jumatate din bolnave modificarile morfologice, dilatatia cardiaca si fenomenele de insuficienta cardiaca dispar in 6-12 luni. La jumatate evolutia este continua si rapida spre exitus sau lenta spre insuficienta cardiaca cronica.
Tratamentul este asemanator CMD idiopatice. Mijloacele de tratament trebuie folosite maximal. Se interzice alaptarea la san in formele relativ severe de insuficienta cardiaca. Persistenta disfunctiei cardiace peste 6 luni necesita masuri anticonceptionale.
Este o forma de CMD provocata de abuzul cronic de alcool etilic. Este cea mai frecventa CMD secundara.
Etiopatogenie : Alcoolul etilic isi exercita efectul toxic asupra miocardului direct sau prin metabolitul sau acetaldehida. El poate produce si deficiente nutritionale - carenta de tiamina in special.
Efectul cel mai important este depresia tranzitorie a contractilitatii. Alcoolul inhiba respiratia mitocondriala, activitatea enzimelor ciclului acizilor tricarboxilici si interfera cu metabolismul intracelular al calciului.
Morfopatologie : Dilatatia cuprinde toate cavitatile si exista un grad de hipertrofie miocardica. Trombii intracavitari sunt frecventi. Pe preparate de miocard obtinute prin BEM se constata cresterea activitatii lacticdehidrogenazei, a activitatii maleat dehidrogenazei, creatinkinazei si α hidroxibutirat dehidrogenazei.
Tabloul clinic : Survine mai ales la barbatii intre 35-55 ani. Examenul fizic poate evidentia stigmate cutanate de alcoolism, polineuropatie, miopatie, eventual hepatomegalie. Debutul clinic poate fi insidios, cu simptome de debit cardiac mic, sau brusc cu manifestari de IVS acuta.
Diagnosticul CMP alcoolice se bazeaza pe demonstrarea unei CMD asociata cu abuz cronic semnificativ de alcool, in absenta altor cauze.
Evolutie si prognostic : abstinenta in stadiile incipiente poate duce la regresia simptomelor si stabilizare.
Tratamentul include in primul rand suprimarea completa si imediata a alcoolului. Este necesar tratamentul insuficientei cardiace si al aritmiilor. Tratamentul anticoagulant cronic este riscant, datorita faptului ca pacientii pot fi necooperanti.
CARDIOMIOPATIA ARITMOGENA A VENTRICULULUI DREPT
Este o afectiune de cauza necunoscuta, care poate evolua sub forma unei CMD, caracterizata prin tahicardii ventriculare si moarte subita.
Survine mai ales la sexul masculin. Exista forme congenitale si dobandite. Cele congenitale sunt probabil inrudite cu boala Uhl (ventricul drept cu pereti subtiri, papiracei).
Morfopatologic ventriculul drept este dilatat, cu pereti subtiri, ventriculul stang nefiind afectat. Microscopic exista miocite degenerate sau necrozate, focare de tesut fibros sau grasos de inlocuire.
Simptomatologia include palpitatii sau sincope sau bolnavii sunt asimptomatici pana la aparitia mortii subite ce poate surveni in timpul unui efort fizic intens. Pot exista semne de insuficienta cardiaca dreapta.
Electrocardiograma - in cursul ritmului sinusal evidentiaza aspect de BRD complet sau incomplet. Poate arata tulburari de ritm cel mai frecvent tahicardie ventriculara cu origine in VD (aspect de BRS), cel mai ades cu ax QRS la dreapta, unde T inversate, adanci in precordialele drepte.
Moartea subita se produce prin fibrilatie ventriculara.
Ecocardiografia si angiografia cu radionuclizi (ARN) evidentiaza dilatatia si hipokinezia sau diskinezia difuza a VD.
Rezonanta magnetica nucleara este caracteristica, evidentiind dilatatia si hipokinezia VD.
Tratamentul include controlul aritmiilor ventriculare. Antiaritmicul eficient este amiodarona. Pentru tahicardiile ventriculare rezistente la tratamentul medicamentos se recomanda ablatia prin cateter-electrod.
Cardiomiopatia hipertrofica (CMH) este o afectiune miocardica de cauza necunoscuta caracterizata prin hipertrofie ventriculara marcata stanga si/sau dreapta, de obicei asimetrica, interesand septul interventricular (SIV), in absenta unei cauze cardiace sau sistemice. Hipertrofia poate fi insotita de obstructie sistolica ventriculara dinamica - denumirea de CMH obstructiva.
Incidenta : 2-20 cazuri / 10.000 locuitori.
Se poate intalni la orice varsta, cu maxim de frecventa intre 30-40 ani. Barbatii sunt mai frecvent afectati.
Cauza principala a bolii ramane necunoscuta.
In 50 % din cazuri CMH este o boala familiala, cu transmitere autozomal dominanta (AD). Unele forme sporadice se pot datora unor mutatii spontane.
CMH familiala este cauzata de mutatii in oricare din cele 10 gene (descoperite pana in prezent), fiecare codificand componente ale proteinelor din sarcomerul cardiac compus din filamente groase sau subtiri cu functii contractile, structurale sau reglatorii. Este posibil sa privim acest spectru clinic divers ca pe o entitate unica si o boala primara a sarcomerului. Au fost descrise mai multe forme ale CMH familiale in functie de gena afectata. 3 din genele mutante domina ca frecventa (probabil peste 50%): lantul greu al beta-miozinei, proteina C care leaga miozina si troponina T cardiaca.
Alte 7 gene sunt implicate in celelalte cazuri: lanturile usoare ale miozinei reglatorii si esentiale, titina, alfa-tropomiozina, alfa-actina, troponina I cardiaca si lantul greu al alfa-miozinei. Aceasta diversitate genetica se compune dintr-o heterogenitate intragenica, cu aproape 200 mutatii identificate pana acum.
Expresia fenotipica a CMH (HVS) este produsul nu numai al mutatiei cauzale ci si al genelor modificante si al factorilor de mediu.
A fost raportat faptul ca mutatiile in gena care codifica subunitatea gamma-2-reglatorie a protein-kinazei AMP-activate (PRKAG2), care regleaza homeostazia energetica celulara, determina HVS familiala asociata cu preexcitatie ventriculara.
Mecanismele celulare ale CMH familiale nu sunt inca bine definite. Unul din cele care
implica lantul greu al beta-miozinei este reducerea contractilitatii miocardice datorita ineficientei cuplarii actina-miozina, ceea ce duce la dezorganizarea miofibrilelor (disarray) si hipertrofie.
Ingrosarea peretelui VS asemanatoare CMH apare la copii (si la unii adulti) cu alte boli : sindromul Noonan, miopatiile mitocondriale, ataxia Friedreich, tulburari metabolice, boala Anderson-Fabry (deficienta legata de cromozomul X a enzimei lizozomale alfa-galactozidaza), noncompactarea VS si amiloidoza cardiaca.
Pentru CMH nonfamiliale s-au cautat alte cauze ale bolii. Stimularea simpatica excesiva a cordului ar produce HV. La fel excesul de calciu intracelular (canale de calciu mai numeroase ?)
Morfopatologie
Macroscopic : Hipertrofia intereseaza VS sau ambii ventriculi. De obicei hipertrofia este simetrica in VD, dar la nivelul VS poate fi simetrica sau asimetrica, interesand septul interventricular (SIV), peretele posterior (PP), peretele lateral (PL) sau apexul.
Anomalii ale valvei mitrale sunt prezente la 60 % din pacienti : elongatia si cresterea ariei valvei mitrale si anomalii ale insertiei muschiului papilar la nivelul valvei mitrale anterioare (VMA). In formele obstructive endocardul septal este ingrosat datorita contactului cu VMA. Muschii papilari pot fi hipertrofiati. Atriile, mai ales atriul stang (AS), sunt dilatate. Coronarele epicardice sunt normale.
Microscopic
Caracterele histologice ale CMH sunt :
- Dezorganizarea fibrelor musculare
- Fibroza intercelulara
- Anomaliile arterelor coronare mici, intramurale.
Fiziopatologie
-Functia diastolica este perturbata datorita cresterii rigiditatii intrinseci a fibrelor miocardice si rigiditatii prin hipertrofie.
Complianta ventriculara este diminuata, relaxarea izovolumica (RIV) este de regula prelungita. Umplerea ventriculara necesita presiuni mai mari si este prelungita. Secundar, atriul stang (AS) se dilata, presiunile de umplere crescute se transmit retrograd spre capilarul pulmonar generand dispnee.
-Functia sistolica este cel mai frecvent exagerata. Fractia de ejectie (F.E.) este crescuta.
Aproximativ 50 % din pacientii cu functie sistolica hiperdinamica au in repaus obstructie sistolica si gradienti de presiune intraventriculara (intre portiunea retrostenotica si cea poststenotica subaortica). Obstructia este dinamica : atinge maximul in mezo si telesistola.
Mecanismul : cel mai probabil se datoreaza miscarii anterioare a valvei septale mitrale (VMA) tractionata de contractia muschiului papilar anterior hipertrofiat si antrenata de curentul sanguin rapid in camera de expulzie a ventriculului stang (VS) - efect Venturi. Obstructia se produce in treimea mijlocie a perioadei de ejectie cand fluxul sanguin transaortic diminua. Cand obstructia este severa, durata expulziei se prelungeste iar inchiderea sigmoidelor aortice se produce dupa inchiderea sigmoidelor pulmonare, aparand dedublarea paradoxala a zgomotului II. Obstructia este labila.
Insuficienta mitrala este frecventa, aproape constanta in formele obstructive, fiind provocata de miscarea anterioara a VMA in sistola, cand nu se mai poate produce etanseizarea orificiului mitral.
Ischemia miocardica este aproape constanta, fiind plurifactoriala. Cauzele sunt ingustarea lumenului arterelor coronare intramiocardice si scaderea rezervei dilatatorii, RIV incompleta, cresterea masei miocardice fara cresterea patului capilar, cresterea necesarului de oxigen.
Manifestari clinice
Majoritatea pacientilor cu CMH sunt asimptomatici sau moderat simptomatici. Frecvent boala este descoperita la adult intre 30-40 ani.
De obicei severitatea simptomelor este corelata cu importanta hipertrofiei, aceasta relatie nefiind absoluta.
Variabilitatea simptomatologiei de la pacient la pacient se explica prin interactiunea intre HVS, gradientul subaortic, disfunctia diastolica si ischemia miocardica.
Simptomul cel mai frecvent este dispneea : apare la 90 % din pacientii simptomatici fiind consecinta disfunctiei diastolice cu cresterea presiunii telediastolice din VS. Angina pectorala este prezenta la 75 % din pacienti, iar presincopa sau sincopa sunt frecvent intalnite. La producerea anginei pectorale cu coronare permeabile pot contribui : reducerea rezervei coronariene, artere coronare intramiocardice modificate (boala vaselor mici), compresiunea perforantelor septale, spasmul coronarian, cresterea necesarului de O2 miocardic (cresterea stressului parietal).
Totusi CMH poate coexista cu ateroscleroza coronariana.
Sincopa este rezultatul unui debit cardiac inadecvat la efort sau a unor tulburari de ritm cardiac. Uneori, prima manifestare clinica este moartea subita. La adulti tahicardia ventriculara nesustinuta la examenul Holter ECG are valoare predictiva pentru moartea subita.
Examenul fizic
Semnele fizice depind de prezenta gradientilor intraventriculari.
In absenta gradientilor se intalnesc :
-Impulsul atrial stang palpabil sau vizibil precordial prin dilatatia AS
-Puls venos jugular amplu, cu unda a proeminenta
-Soc apexian puternic, deplasat lateral
-Prezenta galopului atrial si/sau ventricular
-Puls periferic abrupt, amplu, de durata scurta
-Suflu sistolic apical sau mezocardial.
In prezenta gradientilor :
-Suflul sistolic - are caracter de ejectie crescendo-descrescendo (suflu mezotelesistolic pe marginea stanga a sternului si endoapexian datorat stenozei functionale subaortice si insuficientei mitrale).
Situatiile care accentueaza obstructia : scaderea presarcinii, cresterea inotropismului si scaderea postsarcinii maresc intensitatea suflului.
1.Diminuarea presarcinii : ortostatismul, venodilatatoarele, tahicardia, hipovolemia.
2.Cresterea inotropismului: efortul fizic, postextrasistolic, digitala.
3.Diminuarea postsarcinii: arteriodilatatoare, hipotensiunea arteriala.
-Pulsul arterial (carotidian) - abrupt, amplu si bifid
-Impulsul apexului : este puternic si in peste 50 % din cazuri bifid.
Investigatii paraclinice
Electrocardiograma: este normala la 5 % din pacientii simptomatici si la 25 % din cei asimptomatici, mai ales tineri.
In momentul diagnosticului, 10 % din pacienti prezinta fibrilatie atriala, 20 % deviatie axiala stanga si 5 % BRD. Aprox. 20 % din pacienti prezinta unde Q patologice in derivatiile infero-laterale. Alte modificari posibile sunt : HVS, unde T ample, negative, in derivatiile anterioare, caracteristice pentru forma apicala.
Ocazional apar interval PR scurt, asociat cu prezenta undei Δ caracteristice sindromului WPW.
La adulti apar frecvent aritmii in timpul monitorizarii ECG Holter : prezenta TV nesustinute la 25-30 % din pacienti. Prezenta acestora creste riscul mortii subite. Fibrilatia atriala persistenta sau permanenta este intalnita la 10-15 % din pacienti. Fibrilatia atriala paroxistica sau TSV se intalnesc la 30-35 % din pacienti. Aritmiile supraventriculare sustinute nu sunt bine tolerate.
Modificarile ECG - undele T negative si undele Q pot preceda aparitia hipertrofiei ecocardiografice.
Ecocardiografia
Confirma diagnosticul de CMH, cuantifica elementele morfologice - distributia hipertrofiei, functionale - hipercontractilitatea VS si hemodinamice - gradientul intraventricular.
Caracterele ecocardiografice sunt :
Maron si colaboratorii descriu 4 tipuri de hipertrofie in CMH :
tipul I - hipertrofie localizata in portiunea anterioara a SIV
tipul II - hipertrofia intereseaza tot SIV, peretele liber este normal
tipul III - hipertrofia cuprinde SIV si peretele anterior, peretele inferior este normal
tipul IV - hipertrofie localizata in alte parti ale peretelui liber, nu cuprinde portiunea anterioara a SIV dar poate afecta alte zone (peretele anterior, peretele lateral, portiunea posterioara a SIV, peretele posterior sau apexul VS in forma apicala).
Cea mai frecventa este CMH tip I (in 90 % din cazuri), dar se poate intalni si hipertrofia simetrica de perete.
Examenul Doppler evidentiaza prezenta gradientului, a insuficientei mitrale si anomaliile functiei diastolice.
Examenul radiologic - este putin sensibil - poate arata o bombare a VS. AS este dilatat la bolnavii cu insuficienta mitrala.
Examenul radioizotopic
-Scintigrafia de perfuzie - ofera date privind hipertrofia si defectele de captare datorate cicatricelor.
-Ventriculografia radioizotopica - apreciaza cinetica ventriculara si valvulara si obstructia.
Cateterismul cardiac - presiunea de umplere a VS si cea medie din AS sunt de regula crescute. In 50 % din cazuri exista in repaus un gradient de presiune in interiorul camerei de expulzie a VS. Postextrasistolic gradientul creste.
-Angiocardiografia si cineangiografia sunt indispensabile daca se are in vedere o interventie chirurgicala.
-Coronarografia este importanta la bolnavii cu CMH si angina in varsta de peste 40 ani.
-Biopsia endomiocardica (BEM) se foloseste de exceptie.
Diagnosticul pozitiv - se demonstreaza hipertrofia cardiaca, cel mai simplu ecocardiografic.
Diagnosticul diferential : - al suflului sistolic - cu suflul din stenozele aortice, defectul septal interventricular, insuficienta mitrala valvulara, prolapsul de valva mitrala, insuficienta tricuspidiana, stenoza pulmonara, care variaza in intensitate functie de numerosi factori.
Cand bolnavul cu CMH are insuficienta cardiaca si dilatatie trebuie excluse CMD si cardiomiopatia ischemica, un rol important avand anamneza familiala.
Evolutie. Complicatii
Evolutia este variata. Multi pacienti sunt asimptomatici sau prezinta simptomatologie de intensitate moderata.
Mortalitatea anuala este de 3 % la adulti. Riscul de moarte subita este mai mare la copii : 6% / an.
Deteriorarea clinica in CMH este lenta, procentul pacientilor simptomatici crescand cu varsta. Aparitia fibrilatiei atriale duce la agravarea simptomatologiei.
Progresia CMH catre dilatatia VS cu disfunctie sistolica apare la 15 % din pacienti.
In CMH modificarile ECG pot preceda modificarile ecocardiografice.
In majoritatea cazurilor moartea este subita si se datoreaza probabil fibrilatiei ventriculare.
Endocardita bacteriana pe valva mitrala, aortica sau endocardul septal este posibila datorita leziunilor de jet care se constituie.
Tratament
Scopul tratamentul este ameliorarea simptomatologiei si prevenirea complicatiilor, mai ales a mortii subite.
In principal, 2 grupe de medicamente sunt utilizate pentru tratamentul simptomatic al CMH : betablocantele (neselective - propranolol : 240-400 mg/zi) si antagonistii canalelor de calciu (verapamil : 240-360 mg/zi) care au efect inotrop negativ, reducand hipercontractilitatea VS si gradientul subaortic.
Ambele amelioreaza functia diastolica - verapamilul influenteaza relaxarea iar propranololul creste complianta VS.
Diltiazemul este o alternativa la verapamil.
Disopiramida in doza de 600 mg/zi care are efect inotrop negativ poate fi luata in consideratie in special la pacientii cu fibrilatie atriala paroxistica.
Cu toate acestea, betablocantele, antagonistii canalelor de calciu si disopiramida nu suprima aritmiile ventriculare maligne si nu reduc frecventa aritmiilor supraventriculare.
Amiodarona pare a fi eficienta in tratamentul tahiaritmiilor supraventriculare si ventriculare din CMH, cu ameliorarea simptomelor si a capacitatii de efort, dar influenta ei asupra functiei diastolice este discutabila.
Experienta cu sotalol in CMH este mai limitata, dar favorabila prin efectele antiaritmice asupra aritmiilor supraventriculare si ventriculare si prin efectele betablocante. F.A. trebuie convertita electric sau farmacologic.
La pacientii cu simptomatologie rezistenta la betablocante sau verapamil si cu gradient subaortic de repaus sau provocat > 50 mm Hg se va lua in considerare cardiostimularea bicamerala, tratamentul chirurgical sau alcoolizarea primei ramuri perforante septale.
- Cardiostimularea electrica permanenta de tip DDD cu timp de conducere AV scurt (60-100 msec) reduce gradientul din tractul de ejectie al VS. Preexcitarea VD determina miscarea paradoxala a SIV, cu cresterea dimensiunii tractului de ejectie al VS. Asocierea cardiostimularii DDD cu verapamil 160-720 mg/zi a dus la imbunatatirea parametrilor functiei diastolice.
-Tratamentul chirurgical este rezervat pacientilor cu CMHO, cu simptomatologie severa, refractara la tratamentul medical sau electrostimularea DDD, cu gradient subaortic de minim 50 mm Hg.
Interventia chirurgicala de electie este miotomia-miectomia septala - operatia Morrow, asociata cu protezare valvulara mitrala in caz de insuficienta mitrala semnificativa sau cu plicaturarea cu sutura a valvei mitrale.
-O alternativa a tratamentului chirurgical este alcoolizarea (cu alcool 96 %) primei ramuri septale din artera descendenta anterioara - procedeul Sigwart - la bolnavi simptomatici, refractari la tratamentul medical, cu gradient de minim 50 mm Hg. Se creeaza un infarct miocardic localizat, terapeutic (TASH), astfel reducandu-se gradientul subaortic.
La pacientii asimptomatici, utilizarea betablocantelor reduce riscul mortii subite.
CARDIOMIOPATII RESTRICTIVE SI INFILTRATIVE
Din cele 3 categorii functionale majore ale CMP (dilatative, hipertrofice si restrictive), cele restrictive sunt cel mai putin frecvente.
Trasatura dominanta a cardiomiopatiilor restrictive (CMR) este functia diastolica anormala, cu volum diastolic normal sau scazut al unuia sau ambilor ventriculi.. Peretii ventriculari sunt excesiv de rigizi, impiedicand umplerea ventriculara. Deseori, functia contractila nu este afectata chiar in situatii de infiltratie extensiva a miocardului. Astfel, CMR are asemanari functionale cu pericardita constrictiva caracterizata deasemenea prin functie sistolica normala sau aproape normala si umplere ventriculara anormala, dar care este vindecata adeseori chirurgical.
Clasificarea etiologica a CMR :
Miocardice
a. Noninfiltrative
idiopatica
familiala
sclerodermie
pseudoxanthoma elasticum
cardiomiopatia diabetica
b. Infiltrative
amiloidoza
sarcoidoza
boala Gaucher
boala Hurler
c. Tezaurismoze
hemocromatoza
boala Fabry
tulburari de depozitare a glicogenului
Endomiocardice
fibroza endomiocardica
sindromul hipereozinofilic
carcinoidul cardiac
metastaze
radiatii
toxicitatea antraciclinelor
medicamente care determina endocardita fibroasa : serotonina, metisergid, ergotamina, agenti mercuriali, busulfan.
Hemodinamica
Trasaturile clinice si hemodinamice ale CMR simuleaza pe cele ale pericarditei constrictive cronice.
Biopsia endomiocardica (BEM), tomografia computerizata (CT), rezonanta magnetica nucleara (RMN) si angiografia cu radionuclizi (ARN) pot fi utile pentru diferentierea celor 2 boli, demonstrand cicatrici miocardice sau infiltrare (BEM) sau ingrosarea pericardului (CT si RMN). Folosind aceste metode, rareori este necesara toracotomia exploratorie.
Trasatura hemodinamica caracteristica (la cateterismul cardiac) este o scadere precoce, abrupta si rapida a presiunii ventriculare la debutul diastolei, cu o crestere rapida la un platou in protodiastola - aspect numit dip-platou sau semnul radacinii patrate si se manifesta (in presiunea atriala) ca un y descendent proeminent urmat de o crestere rapida si platou.
Unda x descendenta poate fi deasemenea rapida, combinatia acestora determinand aspectul de M sau W. Unda a este proeminenta si uneori de aceeasi amplitudine ca unda v.
-Atat presiunile sistemice cat si cele pulmonare sunt crescute, pacientii cu CMR avand tipic presiunea de umplere VS mai mare cu cel putin 5 mm Hg fata de presiunea de umplere VD. Pacientii cu pericardita constrictiva au presiuni diastolice similare in cei 2 ventriculi, de obicei cu diferenta sub 5 mm Hg.
-Presiunea sistolica in artera pulmonara este adesea > 50 mm Hg la pacientii cu CMR si mai mica la cei cu pericardita constrictiva.
-Platoul presiunii diastolice VD este de obicei la cel putin 1/3 din presiunea sistolica VD la pacientii cu pericardita constrictiva si sub 1/3 din presiunea sistolica in CMR.
Manifestari clinice
Intoleranta la efort este frecventa datorita incapacitatii pacientilor de a-si creste debitul cardiac prin tahicardie fara a compromite umplerea ventriculara. Sunt frecvent intalnite fatigabilitatea si dispneea. Durerea toracica de efort poate reprezenta simptomul dominant la unii pacienti, dar de obicei este absenta.
In mod particular, in cazuri avansate, presiunea venoasa centrala (PVC) este crescuta, pacientii prezentand edeme periferice, hepatomegalie, ascita si anasarca.
Examenul fizic poate evidentia distensie venoasa jugulara, zgomot III sau zgomot IV sau ambele zgomote. Poate fi intalnita o crestere inspiratorie in presiunea venoasa (semnul Kussmaul). Totusi, spre deosebire de pericardita constrictiva (P.C.), impulsul apexului este de obicei palpabil in CMR.
Variate teste de laborator, biopsia endomiocardica (BEM), computer-tomografia (CT), rezonanta magnetica nucleara (RMN) pot fi utile pentru distinctia PC-CMR.
Desi calcificarea pericardica nu este nici absolut sensibila si nici specifica pentru P.C., prezenta sa indica totusi P.C.
Ecocardiografia poate demonstra ingrosarea peretelui VS si o crestere a masei VS la pacientii cu boala infiltrativa care determina CMR.
Patternul de umplere VS difera, fapt demonstrat prin ecocardiografie Doppler transtoracica si transesofagiana si angiografie cu radionuclizi (ARN). La pacientii cu P.C. variatiile respiratorii in timpul de relaxare izovolumica (TRIV) al VS si velocitatea de varf la valva mitrala in protodiastola sunt marcate, acestea fiind absente la pacientii cu CMR.
Prognosticul este foarte variabil. De obicei progresia simptomatologiei este continua iar mortalitatea prin aceasta boala este ridicata.
Nu exista terapie specifica (ci doar simptomatica) exceptand CMR secundara incarcarii cu fier in care indepartarea fierului poate fi benefica. Exista unele speculatii privind utilitatea antagonistilor de calciu.
AMILOIDOZA
Este o boala complexa, ce rezulta din depozitarea unor fibrile formate din variate proteine, care se produce prin cateva mecanisme patogenice diferite. Amiloidul poate fi gasit in orice organ, dar manifestarile clinice nu apar decat atunci cand infiltrarea este extensiva.
Amiloidoza primara este cauzata de producerea unei proteine compuse din portiuni de imunoglobuline cu lant usor, denumita AL, de catre o populatie monoclonala de celule plasmatice.
Amiloidoza secundara se datoreaza producerii unei proteine nonimunoglobulinice numita AA.
Amiloidoza familiala, afectiune mostenita autosomal dominant, rezulta din producerea unei proteine prealbuminice numita transtiretina. Apare de obicei intr-una din cele 3 manifestari clinice : neuropatie progresiva, cardiomiopatie sau nefropatie.
Amioloidoza senila sistemica se datoreaza producerii fie a unei proteine FAN-like (factor antinuclear-like), fie transtiretinei.
Amiloidoza cardiaca
-Interesarea cordului este obisnuita si este cea mai frecventa cauza de moarte in amiloidoza din discrazia imunocitelor.
-In amiloidoza secundara afectarea cardiaca semnificativa clinic este neobisnuita.
-Amiloidoza familiala se asociaza cu afectare cardiaca la un sfert din pacienti, de obicei tardiv.
-Interesarea cordului in amiloidoza senila variaza de la mici depozite atriale la interesare extinsa ventriculara insotita de insuficienta cardiaca.
Amiloidoza cardiaca survine mai frecvent la barbati decat la femei, si este rara inainte de 30 ani.
Morfopatologie
Se evidentiaza dilatare atriala usoara, de obicei fara dilatare ventriculara semnificativa. Peretii ambilor ventriculi sunt fermi, noncomplianti si ingrosati. Amiloidul este prezent intre fibrele miocardice, cu depozite extensive in muschii papilari. Coronarele intramurale si venele contin frecvent depozite de amiloid.
Manifestari clinice
Interesarea sistemului cardiovascular prin amiloidoza imbraca 4 forme generale :
1.Cea mai frecventa prezentare este de CMR. Afectarea cordului drept domina, cu edeme periferice marcate ; dispneea paroxistica nocturna si ortopneea sunt absente. Infiltrarea miocardului cu amiloid determina cresterea rigiditatii acestuia.
2.Insuficienta cardiaca congestiva datorata disfunctiei sistolice.
3.Hipotensiunea ortostatica apare in 10 % din cazuri si se datoreaza infiltrarii cu amiloid a sistemului nervos (SN) autonom sau a vaselor sanguine, depozitarii de amiloid in cord sau suprarenale (SR).
Hipovolemia secundara sindromului nefrotic (secundar amiloidozei renale) poate agrava hipotensiunea posturala.
4.Tulburari in formarea si conducerea impulsului - poate determina tulburari de ritm (T. R.) si tulburari de conducere (T. C.). Moartea subita este relativ frecvent intalnita.
Examenul fizic
Releva insuficienta cardiaca congestiva. Poate fi prezent un suflu sistolic datorat regurgitarilor valvulare atrio-ventriculare. Pot fi intalnite distensia venoasa jugulara, galopul protodiastolic, hepatomegalia, edemele periferice. Pacientii sunt tipic normotensivi sau hipotensivi.
Explorari noninvazive
-Radiografia cord-pumon evidentiaza cardiomegalia la pacientii cu CMR cu disfunctie sistolica sau cord de dimensiuni normale. Congestia pumonara poate fi marcata la pacientii care prezinta insuficienta cardiaca congestiva.

-Electrocardiograma este adeseori modificata. Cea mai caracteristica trasatura este microvoltajul difuz. Este adesea simulat infarctul miocardic. Aritmiile, in special fibrilatia atriala sunt frecvente. Aritmiile ventriculare complexe se intalnesc frecvent. Tulburarile de conducere atrio-ventriculare se intalnesc deasemenea frecvent. Afectarea nodului sinusal (NS) este comuna : boala nodului sinusal.
-Ecocardiografia, in cazurile avansate, evidentiaza grosimea crescuta a peretilor ventriculari, cavitati ventriculare mici, atrii dilatate, ingrosarea SIA (septului interatrial), mai ales in forma familiala.
Ecocardiografia 2D demonstreaza o textura granulara. Ingrosarea peretilor VS ecocardiografic si voltajul redus pe ECG diferentiaza amiloidoza cardiaca de boala pericardica si HVS.


-Scintigrafia cu TC 99 m pirofosfat este adesea intens pozitiva.
Diagnostic
Pentru diagnosticul pozitiv se folosesc tehnici bioptice.
Cea mai utila procedura este aspirarea din tesutul adipos abdominal, dar se pot face si biopsii rectale, gingivale, din maduva osoasa, rinichi, ficat. Biopsia endomiocardica (BEM) poate fi utila cand aspiratul din tesutul adipos abdominal este negativ.
Tratamentul : este nesatisfacator si ineficient.
Glicozizii digitalici trebuie folositi cu prudenta datorita sensibilitatii particulare a pacientilor la digitala. La fel, nifedipina are afinitate pentru fibrele de amiloid. Folosirea antagonistilor calcici poate duce la exacerbarea fenomenelor de insuficienta cardiaca congestiva.
Insertia unui pace-maker permanent poate fi benefica pe termen scurt la pacientii cu tulburari de conducere simptomatice.
Folosirea cu prudenta a dozelor mici de diuretice si vasodilatatoare poate determina diminuarea simptomelor dar cresterea riscului hipotensiunii.
La pacientii cu paralizie atriala poate fi utila anticoagularea.
Pacientii cu transplant cardiac au prognostic prost pe termen lung datorita progresiunii amiloidozei in alte organe. Din acest motiv transplantul cardiac nu este recomandabil.
Pentru forma senila nu exista nici o terapie.
Tulburari infiltrative mostenite
BOALA FABRY
Este o tulburare recesiva legata de cromozomul X a metabolismului glicosfingolipidelor datorata unei deficiente a enzimei lizozomale α galactozidaza A.
Boala se caracterizeaza printr-o acumulare intracelulara a unui glicolipid neutru cu interesarea pielii, rinichiului si cordului.
Histologic : interesarea miocardului, endoteliului vascular, tesutului conjunctiv si valvelor, mai ales valva mitrala. Manifestarile clinice majore rezulta din acumularea substantei in celulele endoteliale cu ocluzia arteriolelor mici.
Manifestarile cardiace includ angina si infarctul miocardic cu coronare normale angiografic (datorita acumularii lipidelor in celulele endoteliale ale arterelor coronare), grosime crescuta a peretilor VS simuland CMH (datorita acumularii in miocite), disfunctie VS si insuficienta VS si regurgitare mitrala datorita depozitarii in fibroblastii valvulari.
Interesarea cardiovasculara simptomatica survine la barbati (sunt cei mai afectati), in timp ce femeile purtatoare sunt asimptomatice sau cu simptome minime.
HTA sistemica, prolapsul de valva mitrala si insuficienta cardiaca congestiva sunt manifestari clinice frecvente.
Anomaliile ECG includ blocul atrio-ventricular (BAV) sau interval PR scurt, anomalii ale segmentului ST sau undei T.
Ecocardiografia releva grosime crescuta a peretilor VS care poate simula CMH.
BEM poate pune diagnosticul definitiv.
BOALA GAUCHER
Este o tulburare rara, mostenita, a metabolismului glicosilceramidelor Este secundara deficientei enzimei β glucozidaza care determina acumularea cerebrosidelor in splina, ficat, maduva osoasa, ganglionii limfatici, creier si miocard.
Apare infiltrarea difuza interstitiala a VS care determina reducerea compliantei VS si debitului cardiac.
Interesarea cardiaca (rara) se caracterizeaza prin disfunctie VS, lichid pericardic hemoragic, cresterea masei VS si ingrosarea valvelor cordului stang.
HEMOCROMATOZA
Se caracterizeaza prin depozitarea excesiva de fier intr-o varietate de tesuturi parenchimatoase - cord, ficat, gonade, pancreas.
Poate apare :
Ca o tulburare familiala (autozomal recesiva-AR) sau idiopatica
Asociata cu un defect in sinteza hemoglobinei rezultand eritropoieza ineficienta
In boli hepatice cronice
Prin aport excesiv oral sau parenteral de fier (sau transfuzii sanguine) timp de mai multi ani.
Afectarea cardiaca duce la o forma mixta dilatativa / restrictiva de cardiomiopatie cu disfunctie atat sistolica cat si diastolica, adeseori asociata cu aritmii.
Alterarea miocardica se crede a fi datorata toxicitatii directe a fierului, mai degraba decat infiltrarii tisulare.
Morfopatologic consta in cord dilatat cu pereti ventriculari ingrosati.
Depozitele miocardice de fier se gasesc in reticulul sarcoplasmic si sunt mai frecvente in regiunea subepicardica. Sunt mai intinse in miocardul ventricular decat in cel atrial. Severitatea disfunctiei miocardice este proportionala cu cantitatea de fier prezenta in miocard.
Manifestarile clinice variaza. Unii pacienti sunt asimptomatici desi demonstreaza ecografic interesarea miocardului exprimata initial ca ingrosarea peretilor VS si mai tarziu ca dilatatie cardiaca si disfunctie contractila. Simptomatologia se asociaza cu anomalii ECG : modificarea segmentului ST si undei T, ca si aritmii supraventriculare.
BEM poate confirma diagnosticul.
Diagnosticul este ajutat de evidentierea unor nivele plasmatice ridicate de fier, CTLF normala sau scazuta, valori mult crescute ale feritinei serice, fierului urinar, fierului hepatic si mai ales a saturatiei transferinei.
Flebotomiile repetate si folosirea agentilor chelatori - desferioxamina - pot fi benefice.
SARCOIDOZA
Este o boala granulomatoasa de cauza necunoscuta caracterizata prin afectare multisistemica. Infiltaraea plamanilor, sistemului reticulo-endotelial si tegumentului domina tabloul clinic.
Cea mai importanta manifestare este secundara afectarii pulmonare. Aceasta duce frecvent la fibroza difuza care poate duce la insuficienta cardiaca dreapta.
Afectarea cardiaca primara deseori nu este recunoscuta clinic. Manifestarile clinice cardiace sunt prezente la sub 5 % din pacienti, putand fi blocuri, insuficienta cardiaca congestiva, aritmii ventriculare si moarte subita.
Sarcoidoza miocardica poate avea trasaturi restrictive sau congestive deoarece infiltrarea cardiaca prin granuloame sarcoide determina nu doar cresterea rigiditatii peretilor ventriculari dar si diminuarea functiei sistolice contractile.
Sarcoidoza miocardica afecteaza tineri sau adulti de varsta medie de ambele sexe.
Morfopatologie
Trasatura caracteristica este prezenta granulomului cu absenta cazeificarii in diverse organe. Acesta infiltreaza miocardul putand evolua spre cicatrici fibroase. Poate interesa orice structura cardiaca, peretele liber VS si SIV fiind cel mai frecvent afectate. Granulomul extins si cicatricele in portiunea superioara a SIV sunt constant gasite la pacientii cu tulburari de conducere.
BEM poate fi pozitiva la doar 50 % din pacienti.
Manifestari clinice
Moartea subita este una din cele mai frecventa manifestari.
Tulburarile de conducere si insuficienta cardiaca congestiva sunt deasemenea manifestari comune dar multi pacienti pot fi asimptomatici desi au afectare cardiaca extensiva. Sincopa este frecventa (se poate datora aritmiilor paroxistice sau tulburarilor de conducere).
Aritmii atriale si ventriculare, in special tahicardii ventriculare, sunt observate frecvent.
Cordul pulmonar ca o consecinta a sarcoidozei pulmonare este responsabil de o parte din simptomele insuficientei cardiace. Unii pacienti fac forme restrictive si/sau dilatative de cardiomiopatie.
Adeseori disfunctia cardiaca este severa si progresiva. Ocazional pacientii dezvolta anevrism de VS.
Revarsatul pericardic poate fi intalnit de asemenea.
Examenul fizic poate evidentia afectarea extracardiaca sau poate fi normal. Un suflu sistolic de regurgitare mitrala se intalneste frecvent.
Electrocardiograma este frecvent modificata, cel mai frecvent aparand anomalii ale undei T.
Sarcoidoza are o afinitate pentru jonctiunea atrio-ventriculara si fasciculul His, putand determina variate grade de bloc intraventricular sau atrio-ventricular.
Pot apare unde Q patologice care simuleaza infarctul miocardic.
Ecocardiografic - trasaturile caracteristice sunt dilatatia si disfunctia VS, uneori cu tulburari regionale de motilitate.
Lichidul pericardic in cantitate mica-moderata se intalneste la 20 % din cazuri.
Diagnosticul - este suspicionat la pacientii cu limfadenopatie hilara bilaterala pe radiografia cord-pulmon la care exista modificari clinice si ECG de afectare miocardica. BEM poate fi utila desi o biopsie negativa nu exclude diagnosticul.
Scintigrama miocardica cu Thallium 201 evidentiaza defecte segmentare de perfuzie rezultand din infiltrarea sarcoidica a miocardului. Poate evidentia HVD la pacientii cu fibroza pulmonara si hipertensiune pulmonara.
Tratamentul este dificil.
Aritmiile sunt frecvent refractare la tratamentul antiaritmic.
Pacingul permanent poate fi util la pacientii cu tulburari de conducere.
Corticoizii pot fi utili in tratamentul tulburarilor de conducere, aritmiilor si disfunctiei miocardice.
Implantarea unui cardiodefibrilator poate fi luata in consideratie la pacientii cu risc mare de moarte subita.
Transplantul de cord sau cord-pulmon poate fi indicat.
BOALA ENDOMIOCARDICA
Definitie si patogenie
Boala endomiocardica este o forma comuna de cardiomiopatie restrictiva secundara in Africa ecuatoriala si mai putin intalnita in America de Sud, Asia si SUA.
Se caracterizeaza prin ingrosare fibroasa endocardica a apexului si regiunii subvalvulare a unuia sau ambilor ventriculi determinand obstructia fluxului sanguin in ventriculi, producand astfel restrictie.
Pentru mult timp s-a crezut ca exista 2 variante ale bolii - una survenind in principal in tari tropicale - fibroza endomiocardica sau boala Davies, cealalta in tari temperate - endocardita parietala fibroplastica Loffler sau sindromul hipereozinofilic.
Modificarile histopatologice in cazurile avansate sunt identice. Exista insa diferente clinice.
-Endocardita Loffler este o boala mai agresiva si rapid progresiva, afectand in principal barbatii, asociata cu hipereozinofilie, fenomene tromboembolice, arterite generalizate.
-Fibroza endomiocardica nu are predilectie pentru un anumit sex, survine la pacientii mai tineri si nu se asociaza cu eozinofilie intensa.
S-a postulat deasemenea ca endocardita Loffler si fibroza endomiocardica sunt faze diferite ale aceleiasi boli care rezulta din efectul toxic al eozinofilelor asupra cordului.
ENDOCARDITA LOFFLER - SINDROMUL HIPEREOZINOFILIC
Tipic, pacientii sunt barbati in decada a 4-a de viata locuind in tari temperate si care au sindrom hipereozinofilic - eozinofilie persistenta cu > 1500 eozinofile / mm3 cel putin 6 luni, cu afectare organica.
Afectarea cardiaca este regula, survenind la peste trei sferturi din pacienti.
Hipereozinofilia si afectarea cardiaca se intalnesc deasemenea in sindromul Churg-Strauss care prezinta astm sau rinita alergica si vasculita necrotizanta.
Cauza eozinofiliei este necunoscuta - rezultat al leucemiei sau reactiva - secundara parazitozelor, tulburarilor alergice, granulomatoase, prin hipersensibilitate sau neoplazice.
Morfopatologic - sunt afectati si plamanii, maduva osoasa, creierul.
Afectarea cardiaca este biventriculara, cu ingrosarea endocardului.
Histologic exista grade variate de miocardita acuta eozinofilica interesand si endocardul, tromboza si modificari fibrinoide afectand coronarele intramurale si tromboza murala.
Manifestari clinice
Se intalnesc scadere ponderala, febra, tuse, rash cutanat, insuficienta cardiaca congestiva. Cardiomegalia cu sau fara simptome de insuficienta cardiaca congestiva poate fi prezenta. Suflul sistolic de regurgitare mitrala este frecvent intalnit. Embolismul sistemic este frecvent ducand la tulburari neurologice sau renale.
Moartea se datoreaza insuficientei cardiace congestive.
Explorari paraclinice
-Radiografia cord-pulmon evidentiaza cardiomegalie sau congestie pulmonara sau mai rar infiltrate pulmonare.
-Electrocardiograma evidentiaza anomalii nespecifice ale segmentului ST si undei T, aritmii, fibrilatie atriala in special si tulburari de conducere mai ales BRD.
-Ecocardiografia evidentiaza ingrosare localizata a peretelui VS postero-bazal cu miscare absenta sau mult limitata a valvei mitrale posterioare. Poate exista obliterarea apexului printr-un trombus. Se pot intalni dilatarea atriilor precum si regurgitari valvulare atrio-ventriculare. Functia sistolica nu este alterata. Consecintele hemodinamice sunt ale unei CMR cu functie diastolica anormala datorita cresterii rigiditatii ventriculare si reducerii cavitatii ventriculare prin trombi organizati. Regurgitarile atrio-ventriculare valvulare apar prin interesarea valvei mitrale sau tricuspide.
-Cateterismul cardiac - arata presiuni de umplere ventriculara mult crescute, regurgitare mitrala sau tricuspidiana.
-Angiocardiografic - functie sistolica pastrata cu obliterarea apexului ventricular.
-Biopsia endomiocardica (BEM) - confirma diagnosticul.
Tratament
Corticosteroizii par a avea efect in miocardita acuta in asociere cu citotoxice - hidroxiureea. Un numar limitat de pacienti care nu raspund la terapia standard pot raspunde la tratamentul cu interferon.
Terapia cu digitalice, diuretice, de reducere a postsarcinii, anticoagulantele pot fi utile.
Terapia chirurgicala se indica in stadiul fibrotic.
FIBROZA ENDOMIOCARDICA
Survine mai frecvent in Africa tropicala si subtropicala.
In aceasta regiune reprezinta o cauza frecventa de insuficienta cardiaca si moarte.
Morfopatologic
Revarsatul pericardic poate fi prezent.
Cordul este de dimensiuni normale sau usor marit. AD este deseori dilatat. Afectarea VS si VD survine la jumatate din cazuri, afectarea VS la 40 % iar afectarea VD la 10 % din cazuri.
Apare ingrosarea fibroasa, extensiva a camerei de primire si apexului cu interesarea muschilor papilari si cordajelor tendinoase.
Manifestari clinice
Afectarea VS determina simptome de congestie pulmonara, afectarea VD are trasaturi de CMR si simuleaza pericardita constrictiva. Sunt intalnite frecvent regurgitari atrio-ventriculare.
Debutul bolii este de obicei insidios.
In evolutie pot apare insuficienta cardiaca progresiva, infarctul miocardic, moartea subita probabil aritmica.
1.Fibroza endomiocardica cu afectarea VD prezinta presiune venoasa jugulara crescuta, galop protodiastolic (disfunctie de VD), ficat mare, pulsatil, ascita, splenomegalie, edeme periferice.
Revarsatul pericardic poate fi prezent.
Explorari paraclinice
Electrocardiograma - voltaj QRS diminuat (lichid pericardic), modificari ale segmentului ST si undei T, dilatatia AD, qR in V1.
Radiografia cord-pulmon evidentiaza cardiomegalie, prin AD mare.
Ecocardiografic - se evidentiaza ingrosarea VD, obliterarea apexului, dilatatia AD, endocard gros.
Angiografic - apexul VD nu este vizualizabil datorita obliterarii, apare regurgitarea tricuspidiana, dilatatia AD.
2.Fibroza endomiocardica cu afectarea VS prezinta suflu de insuficienta mitrala - suflu telesistolic sau pansistolic, semne de hipertensiune pulmonara, galop protodiastolic.
Explorari paraclinice
Electrocardiografic - anomalii ale undei T, voltaj scazut QRS in prezenta lichidului pericardic, desi pot apare semne de HVS, dilatatie de AS, fibrilatia atriala fiind deseori prezenta.
Ecocardiografic - ingrosarea si reducerea miscarii peretelui postero-bazal si valvei mitrale posterioare, cresterea ecoreflectivitatii endocardului, miscare sistolica pastrata in prezenta obliterarii apexului, atriu dilatat, regurgitare mitrala la examenul Doppler.
Cateterismul cardiac evidentiaza hipertensiune pulmonara, presiuni de umplere VS crescute, reducerea indexului cardiac. Ventriculograma stanga arata regurgitare mitrala, defect de umplere datorita trombusului intracavitar.
3.Forma biventriculara - survine cel mai frecvent. Pacientii au simptome de afectare VD cu un suflu de regurgitare mitrala sugerand afectarea VS.
Emboliile sistemice pot surveni la 15 % din pacienti.
La BEM exista riscul dislocarii de trombusi cu embolizare.
Tratament
Are prognostic prost. La pacientii cu boala avansata mortalitatea este de 35-50 % la 2 ani.
Digitalicele sunt utile pentru controlul AV la pacientii cu fibrilatiei atriale. Diureticele nu sunt foarte eficiente in controlul ascitei.
In stadiul de fibroza se poate incerca excizia endocardului fibros si inlocuirea valvei mitrale si/sau tricuspide sau plastia valvei mitrale.
Mortalitatea operatorie este ridicata : 15-25 %, mai scazuta daca se evita inlocuirea valvulara.
MIOCARDITELE
Miocarditele sunt boli inflamatorii ale miocardului, frecvent de cauza infectioasa.
Inflamatia intereseaza miocitele, interstitiul, elementele vasculare si/sau pericardul.
Etiopatogenie
I. Miocarditele infectioase - sunt produse de o varietate de agenti virali, rickettsieni, bacterieni, protozoare si metazoare. Virtual, orice agent infectios poate produce inflamatie cardiaca.
Agentii etiologici infectiosi
Agentii infectiosi actioneaza prin 3 mecanisme de baza:
1). Invazia miocardului
2). Producerea de toxine miocardice - difteria
3). Alterari mediate prin mecanism imun.
In miocarditele virale principalul mecanism de producere a bolii este o reactie imuna mediata celular si mai putin alterarea celulara prin replicare virala. Argumente - demonstrarea unei cresteri marcate in expresia antigenelor complexului major de histocompatibilitate in biopsiile obtinute de la pacientii cu miocardita.
Pot avea deasemenea un rol anticorpii orientati impotriva componentelor intracelulare. Pacientii cu miocardita au miocite care exprima molecule de adeziune intercelulara - ICAM-1, persistenta expresiei acesteia putand contribui la inflamatia miocardica continua.
II. Miocarditele neinfectioase
Miocarditele mai pot fi cauzate de reactii alergice si agenti farmacologici sau apar in cursul evolutiei unor boli sistemice ca vasculitele.
Miocarditele pot fi procese acute sau cronice.
In America de Nord, virusurile (enterovirusurile) sunt cei mai frecventi agenti etiologici care produc miocardita in timp ce in America de Sud boala Chagas este cel mai des intalnita (Trypanosoma cruzi).
Afectarea miocardica poate fi focala sau difuza.
O singura leziune mica poate avea consecinte importante daca este localizata in sistemul de conducere.
A. Miocarditele aparute prin mecanism imun
-Alergeni - acetazolamida, cefaclor, colchicina, furosemid, izoniazida, lidocaina, metildopa, penicilina, fenilbutazona, fenitoina, rezerpina, streptomicina, tetraciclina, tiazidele
-Alloantigeni - rejectia cordului transplantat
-Autoantigeni - boala Chagas, Chlamidia pneumoniae, sindromul Churg-Strauss, boli intestinale inflamatorii, miocardita cu celule gigante, DZ insulinodependent, boala Kawasaki, myastenia gravis, polimiozita, sarcoidoza, sclerodermia, LES, tirotoxicoza, granulomatoza Wegener.
B. Miocardite toxice
-Medicamente : amfetamine, antracicline, catecolamine, cocaina, ciclofosfamida, etanol, fluorouracil, interleukina-2 (IL-2), litium.
-Metale grele : cupru, fier, plumb
-Agenti fizici : soc electric, hiperpirexie, radiatii.
-Diverse : arseniu, muscaturi de albina, CO, fosfor, muscaturi de scorpion, muscaturi de sarpe si paianjen.
Manifestari clinice
Expresia clinica variaza de la forme asimptomatice secundare inflamatiei focale la insuficienta cardiaca congestiva fulminanta, fatala, data de o miocardita difuza.
Evolutia miocarditei virale este foarte variabila, depinzand probabil de susceptibilitatea genetica individuala. La cei mai multi pacienti este autolimitata si deseori nerecunoscuta.
La unii pacienti poate apare insuficienta cardiaca congestiva acuta. La altii o miocardita nediagnosticata poate fi cauza aritmiilor aparute pe un cord normal structural. Unii pacienti cu durere toracica si coronare normale angiografic pot avea miocardita subclinica in antecedente.
Exista si posibilitatea ca miocarditele virale sa evolueze spre CMD ca o consecinta a alterarilor cardiace imunologice mediate viral.
Deoarece afectarea miocardica este subclinica in majoritatea bolilor acute infectioase, majoritatea pacientilor nu au simptome specifice afectarii aparatului cardiovascular. Prezenta miocarditei este suspectata prin prezenta modificarilor segmentului ST si undei T pe ECG.
Afectarea miocardului se asociaza cu simptome nespecifice - fatigabilitate, dispnee, palpitatii, disconfort precordial. Durerea toracica reflecta de obicei pericardita asociata. In unele cazuri, manifestarile clinice si paraclinice - durerea toracica, electrocardiografice, nivelele enzimatice crescute, tulburarile de cinetica regionale - pot simula un infarct miocardic acut.
Examenul fizic
Tahicardia este obisnuita, fiind disproportionata cu gradul febrei. Zgomotul I este asurzit, uneori este prezent galopul protodiastolic. Poate apare un suflu sistolic apical tranzitoriu. In cazurile severe apare insuficienta cardiaca congestiva. Cordul este de dimensiuni normale in cazurile silentioase, dar poate fi dilatat la pacientii cu insuficienta cardiaca. Pot apare embolii pulmonare sau sistemice.
Explorari paraclinice
-Anomaliile electrocardiografice sunt de obicei tranzitorii si survin frecvent - cele mai frecvente sunt anomaliile segmentului ST si undei T. Pot apare si aritmii atriale si ventriculare, tulburari de conducere atrioventriculare si intraventriculare si rar unde Q. Blocul AV complet este de obicei tranzitoriu, iar ocazional poate determina moarte subita. Tulburarile de conducere intraventriculare sunt asociate cu alterari miocardice severe si prognostic mai prost.
-Radiografia cord-pulmon - cordul poate fi normal sau mult dilatat, congestia pulmonara fiind prezenta la cazurile fulminante.
-Ecocardiografia demonstreaza un grad de disfunctie VS - adesea regionala, sau kinetica poate fi normala. Se pot intalni pereti ingrosati, trombi VS, functie diastolica (umplere diastolica) anormala.
-Scintigrama miocardica cu Gallium 67, anticorpi antimiozina, Indium 111, Tc 99m PP poate evidentia modificari inflamatorii si necrotice.
Diagnostic
Diagnosticul miocarditei virale este sugerat de identificarea virusului in scaun, exsudat faringian, sange, miocard sau lichid pericardic, sau de o crestere (de minimum 4 ori) in titrul anticorpilor neutralizanti, prin RFC sau HAI. Culturile de obicei sunt negative iar testele serologice normale.
Biopsia edomiocardica (BEM) este utila pentru confirmarea diagnosticului.
Morfopatologic
In cazurile acute miocardul este flasc, cu hemoragii focale. In cazurile cronice cordul este marit si hipertrofiat.
Marca histologica a miocarditei este un infiltrat inflamator miocardic asociat cu alterari miocitare. Infiltratul inflamator este compus din polimorfonucleare, limfocite, macrofage, celule plasmatice, eozinofile si/sau celule gigante.
In miocarditele bacteriene predomina polimorfonuclearele.
In miocarditele virale predomina limfocitele.
In miocarditele prin hipersensibilizare predomina eozinofilele.
Tratamentul este adeseori suportiv.
Repausul la pat (sau cel putin restrangerea activitatii) sunt necesare mai ales in perioda de viremie.
La pacientii cu simptome de insuficienta cardica, terapia trebuie sa includa diuretice pentru scaderea presiunii de umplere ventriculara, un inhibitor de enzima de conversie pentru a scadea rezistenta vasculara periferica si un betablocant dupa aparitia stabilizarii clinice.
La unii pacienti, ameliorarea efectiva a presiunii de umplere crescute poate necesita administrarea intravenoasa a unor vasodilatatoare puternice incluzand nitroglicerina.
Digoxinul trebuie utilizat cu prudenta si doar in doze mici.
La pacientii cu simptome severe, terapia suportiva poate include folosirea intravenoasa a agentilor inotrop- pozitivi.
Prezenta aritmiilor atriale si ventriculare necesita terapie antiaritmica sau implantarea unui defibrilator.
Deorece consecintele pe termen lung ale miocarditelor par a fi legate de activarea autoimunitatii umorale si celulare, multi clinicieni au crezut ca imunosupresia ar fi benefica.
Rezultatele unor studii recente nu au demonstrat efecte benefice ale imunosupresiei, astfel incat imunosupresia nu trebuie utilizata in tratamentul de rutina al pacientilor cu miocardita.
Desi terapia imunosupresiva nu este recomandata la pacientii cu miocardita infectioasa, imunosupresia poate avea un rol important in tratamentul pacientilor cu disfunctie cardiaca datorita unei boli sistemice autoimune - sclerodermie, LES, polimiozita, sarcoidoza. La fel pacientii cu miocardita cu celule gigante.
S-au raportat recent cazuri de tratament cu succes al miocarditelor cu agenti antivirali. Agentii antivirali pot reduce numarul celulelor infectate si virusul identificat in fibroblastii miocardici.
Miocarditele virale
Coxsackie virusurile A si B - reprezinta cea mai frecventa cauza de miocardita virala, peste jumatate din cazuri. Infectia cu virus Coxsackie B este mai frecventa.
Exista o afinitate particulara a receptorilor membranari miocardici pentru particulele virale.
Majoritatea infectiilor sunt benigne, autolimitate si subclinice, dar miocardita cu Coxsackie virus este deosebit de virulenta la nou-nasut si copil. La adult celelalte manifestari ale afectarii virale predomina: pleurodinia, mialgia, simptomele de tract respirator superior si artralgiile. Cazurile severe se caracterizeaza prin afectare miopericardica cu durere toracica pleuretica sau pericardica, palpitatii si febra. Multi pacienti cu afectare miocardica extensiva dezvolta insuficienta cardiaca congestiva, cu cardiomegalie si edem pulmonar.
Electrocardiograma este modificata, aparand modificari de segment ST si unda T si aritmii, adeseori ventriculare. Tulburarile de conducere atrioventriculare sunt frecvente. Nivelurile serice de enzime miocardice (creatinfosfokinaza : CPK, transaminaze) sunt crescute sau normale, reflectand prezenta necrozei miocardice.
Ecocardiografia evidentiaza anomalii difuze sau regionale ale kineticii peretilor VS.
Tratamentul este simptomatic. Repausul la pat este indicat in timpul miocarditei acute. Insuficienta cardiaca si aritmiile se trateaza in mod obisnuit.
Miocardita din SIDA
Afectarea cardiaca din SIDA poate consta in metastaze ale sarcomului Kaposi, o mare varietate de miocardite infectioase si nespecifice, pericardita cu sau fara lichid, endocardita (in special trombotica nonbacteriana) si CMD.
Survine la 25-50% din pacienti, dar este aparenta clinic la doar 10% din acestia.
Cand este manifesta clinic, insuficienta cardiaca congestiva este cel mai frecvent intalnita, datorita dilatatiei si disfunctiei VS, simuland o CMD.
Se mai pot intalni : lichidul pericardic (de obicei fara tamponada), aritmii ventriculare, modificari de repolarizare pe electrocardiograma, endocardita marantica, dilatatie si hipertrofie de VD.
Cauza afectarii miocardice in infectia cu HIV este probabil multifactoriala : asocierea infectiilor oportuniste, alterari date de HIV sau prin activarea sistemului imun, folosirea agentilor pentru tratamentul SIDA - AZT (zidovudina).
Miocarditele prin hipersensibilizare
Hipersensibilitatea la o mare varietate de antigene poate determina reactii alergice care afecteaza miocardul.
O varietate de medicamente : sulfamide, peniciline, metildopa pot duce la o miocardita alergica caracterizata prin eozinofilie si infiltrat miocardic perivascular cu eozinofile, limfocite si histiocite.
Este rar recunoscuta clinic si este descoperita deseori postmortem sau ocazional la BEM.
Simptomele sunt cele ale unei miocardite sau miopericardite acute, cu evolutie regresiva dupa suprimarea cauzei si tratament cu corticosteroizi. Pot apare hipotensiunea arteriala, aritmii, sincopa, moartea subita, insuficienta cardiaca.
Tratamentul include oprirea contactului cu agentul incriminat si administrarea de corticosteroizi si/sau imunosupresoare in cazurile severe.
|
Politica de confidentialitate | Termeni si conditii de utilizare |
Vizualizari: 4315
Importanta: ![]()
Termeni si conditii de utilizare | Contact
© SCRIGROUP 2025 . All rights reserved