| CATEGORII DOCUMENTE |
| Alimentatie nutritie | Asistenta sociala | Cosmetica frumusete | Logopedie | Retete culinare | Sport |
BOLILE INFLAMATORII INTESTINALE (BOALA CROHN SI RCUH)
Definitie
Bolile inflamatorii intestinale (boala Crohn si rectocolita ulcero-hemoragica) sunt afectiuni inflamatorii ale tractului gastro-intestinal de etiologie neprecizata. Diagnosticul lor se face pe baza unor criterii clinico-biologice, endoscopice, histologice.
Boala Crohn reprezinta o afectiune inflamatorie cronica nespecifica de etiologie necunoscuta, caracterizata prin leziuni granulomatoase transmurale, cu distributie discontinua, insotita de manifestari extradigestive si care poate fi localizata la orice nivel al tubului digestiv, dar cu predominanta la nivelul ileonului terminal. Leziunile localizate la nivelul intestinului sunt asimetrice si segmentare, iar tendinta la recurenta dupa interventia chirurugicala este frecventa.
RCUH reprezinta o afectiune inflamatorie cronica nespecifica de etiologie necunoscuta, caracterizata prin inflamatie cu distributie strict la nivelul mucoasei, care apare predominant la nivelul rectului, se poate raspandi mai departe in toate segmentele colonului, fara a afecta alte segmente ale tractului digestiv. Leziunile sunt continue, fara zone de mucoasa indemna intre leziuni. Interventia chirurgicala este rar necesara si este curativa.
Caractere comune:
inflamatie cronica intestinala (la adolescenti si tineri adulti)
evolutie prelungita, fluctuenta, de obicei in pusee acute, fara vindecare spontana
etiologie necunoscuta
Caractere diferite:
aspectul histopatologic
formele clinice
localizarea, evolutia, numarul si severitatea puseelor de boala
O alta entitate patologica este colita nedeterminata (10-15% din cazuri), afectiune care, dupa aplicarea criteriilor clinico-biologice, endoscopice, histologice, nu poate fi incadrata intr-una din cele doua afectiuni.
Epidemiologie
Aceste boli sunt rare, insa incidenta lor e in crestere. Incidenta RCUH este de 2-10 cazuri la 100000 de locuitori, iar a BC de 1-6 cazuri la 100000 de locuitori. In ultimii 10 ani, insa, incidenta bolii Crohn a crescut, iar cea a RCUH a ramas constanta. In prezent incidentele lor sunt aproximativ egale, de 5 cazuri la 100000 de locuitori. Afectiunile sunt mai frecvente la albi si evrei, mai rare la populatia de culoare, mai frecvente in mediul urban decat in cel rural.
Zonele cu incidenta si prevalenta mai mare pentru aceste afectiuni sunt zonele geografice inalt industrializate (NV Europei, America de Nord, Africa de Sud).
Debutul are doua varfuri de incidenta in raport cu varsta: intre 15-30 si respectiv 60-70 de ani.
Este demonstrata agregarea familiala a bolilor inflamatorii intestinale. Aproximativ 30% din pacientii cu boala inflamatorie intestinala au istoric familial pozitiv.
S-a studiat interventia a diversi factori exogeni: fumatul, diverse obiceiuri dietetice (consumul de zahauri rafinate, lipsa de cruditati, vitamine si fibre din alimentatie), anticonceptionalele.
Etiopatogenie
Etiopatogenia e legata de activarea dereglata a sistemului imunitar al mucoasei intestinale. Aceasta dereglare e secundara inflamatiei intestinale a carei declansare e multifactoriala si depinde de factori genetici si de mediu
Factori genetici
Istoricul familial pozitiv la 10-30% din cazurile de boli inflamatorii colonice, incidenta crescuta a afectiunilor la gemenii monozigoti sau heterozigoti (fenomen mai evident in BC decat in RCUH) sugereaza implicarea factorilor genetici in dezvoltarea acestor afectiuni.
S-au studiat diverse gene care par a fi implicate in susceptibilitatea la o boala inflamatorie intestinala: genele complexului major de histocompatibilitate HLA clasa a II-a DR si DQ (pe bratul lung al cromozumului 6), gene reglatoare ale expresiei complementului (pe cromozomii 6, 19 ), gene pentru lanturile usoare sau grele ale imunoglobulinelor, gene care codifica TNF-alfa. O gena asociata cu susceptibilitatea pentru boala Crohn este gena NOD2, care codifica proteine implicate in apoptoza. Pacientii homozigoti pentru o anumita mutatie la nivelul genei NOD2 au risc de a dezvolta BC de 20-40 ori mai mare decat populatia martor.
In boala Crohn s-a detectat cresterea permeabilitatii epiteliului intestinal, avand ca substrat un defect genetic la nivelul epiteliului intestinal. Astfel este facilitata permeatia antigenelor luminale prin epiteliu in corion, urmata de activarea nespecifica a sistemului imun intestinal
Factori de mediu
S-au emis diverse ipoteze asupra factorilor antigenici declansatori (trigger) ai inflamatiei de la nivel intestinal:
- ipoteza raspunsului imun adecvat, dar ineficient si persistent la un patogen specific (Mycobacterium paratuberculosis,virusul rujeolic, Listeria monocytogenes), cu aplicabilitate in boala Crohn mai mult.
- ipoteza raspunsului imun anormal crescut si prelungit la antigene luminale ubicuitare (agenti microbieni nepatogeni, antigene alimentare). Acest raspuns inflamator cronic are la baza dezechilibrul intre factorii pro si antiinflamatori, cu cresterea expresiei mediatorilor proinflamatori sau scaderea factorilor imunosupresori si antiinflamatori.
- ipoteza autoimuna- pacientul dezvolta un raspuns imunologic adecvat impotriva unor antigene luminale, care au insa o structura asemanatoare cu unele proteine epiteliale. Datorita acestei asemanari se declanseaza atacul imun asupra proteinelor self epiteliale, cu distructia celulelor epiteliale intestinale.
Cu toate aceste ipoteze etiopatogenice, natura exacta a triggerului inflamatiei ramane controversata.
Factori imunologici
Inflamatia mucoasei intestinale este rezultatul final al proceselor imunologice complexe declansate la acest nivel de catre antigen (fie el infectios, alimentar sau self). Etapele prin care se trece sunt urmatoarele:
preluarea si prelucrarea antigenului de catre celulele prezentatoare de antigen (APC- macrofage sau enterocite)
eliberarea citokinei-semnal IL-1 de catre macrofagele activate, cu activarea limfocitelor T. (La persoanele sanatoase IL-1 induce la nivelul limfocitelor T toleranta imuna.)
este necesar si un al doilea semnal, un co-semnal, pentru ca limfocitele T sa declanseze raspunsul imun.
limfocitele T pot declansa un raspuns imun mediat celular (limfocitele T helper 1, cu secretie predominant de IL-2 si IFN) sau un raspuns imun mediat umoral (limfocitele T helper 2, cu secretie predominant de IL-4, IL-5, IL-10. Profilul sintezei de citokine imunoreglatoare variaza in cursul evolutiei bolii Crohn, sugerand profilul Th 2 pentru inducerea bolii si Th 1 pentru cronicizare. Granulomul BC este asociat profilului de raspuns Th1. In RCUH inflamatia e reglata de citokine imunoreglatoare avand tipul Th2 atipic caracterizat prin productia de TFG-β si IL-5, dar fara IL-4.
macrofagele activate elibereaza, pe langa IL-1, si alte citokine proiflamatorii (TNF-α, IL-8).
amplificarea raspunsului inflamator prin recrutarea leucocitelor din circulatia sistemica la nivelul mucoasei intestinale (rol important al moleculelor de adeziune de pe suprafata celulelor endoteliale si epiteliale intestinale)
eliberarea de mediatori pro-inflamatori nespecifici catre celulele recrutate din circulatie: tromboxani, prostaglandine, leucotriene, radicali liberi de oxigen, oxid nitric.
exista si o serie de mecanisme care incearca sa contrabalanseze agresiunile inflamatorii asupra mucoasei intestinale. Acesti factori de aparare sunt reprezentati de: integritatea epiteliala, IgA secretorii, defensinele- proteine care lizeaza microorganismele, citokinele anti-inflamatorii Il-4, IL-10, Il-1RA).
markerii imunologici de boala sunt anticorpii anti-citoplasma neutrofilica (ANCA) prezenti la 60-80% din cazurile de RCUH si anticorpii anti-Sacharomyces cervisiae (ASCA) detectati la cca 60% din cazurile de boala Crohn. pANCA sunt prezenti in 88% din cazurile de colangita sclerozanta asociata unei boli inflamatorii colonice (in special RCUH).
Manifestari clinice
Boala Crohn
Manifestarile clinice in boala Crohn sunt intestinale, generale si extraintestinale.
Manifestarile intestinale sunt diareea, durerea abdominala, leziunile perianale.
Diareea apare in cca 75% din cazurile de BC, dar difera in functie de localizarea leziunilor. In cazul leziunilor ileale apar 5-6 scaune semilegate pe zi, fara sange. In cazurile cu afectare severa si extinsa a ileonului terminal sau cu excluderea acestuia din circuitul digestiv apare malabsorbtia acizilor si sarurilor biliare, manifestata prin scaune apoase explozive- diareea cologena. Secundar malabsorbtiei acizilor biliari apare malabsorbtia lipidelor, manifestata prin diaree cu steatoree. In interesarea colonica, rar cu afectare rectala, pot aparea tenesme rectale, scaune numeroase in cantitate mica . In boala Crohn diareea sanguinolenta este mult mai rara decat in RCUH (20% fata de 100%).
Durerea abdominala apare la cca 75% din pacienti, se coreleaza cu localizarea anatomica a afectiunii In caz de atingere ileala apare durere in fosa iliaca dreapta si hipogastru, ce se manifesta de la senzatie de jena pana la durere permenenta; cand devine colicativa sugereaza o complicatie infectioasa sau stenoza.
Localizarea anala poate fi izolata (in 70 % din cazuri) sau insoteste celelalte localizari (30% din cazuri); se manifesta prin fisuri anale, ulceratii profunde, fistule perianale, abcese perianale si anale, stenoze de canal anal. Localizarea anala lipseste in RCUH.
Manifestarile generale de boala sunt scaderea ponderala, intarzierea in cresterea staturo-ponderala la copii, febra- subfebrilitatea in puseele evolutive, astenia fizica, agravarea starii generale in caz de complicatii sau forme extinse.
Scaderea ponderala apare datorita malabsorbtiei (importanta in afectarea ileala), statusului hipercatabolic din timpul puseelor de acutizare, reducerii aportului alimentar datorita inapetentei sau incercarii bolnavului de a evita durerea si diareea produse de alimentatie.
Manifestarile extraintestinale mai frecvent intalnite sunt artralgii/artrite, uveite/ conjunctivite/ episclerite, eritem nodos. Vezi Complicatii extraintestinale.
Examenul obiectiv in BC nu este caracteristic. Pacientii pot prezenta alterarea starii generale, semne ale malabsorbtiei, ulceratii aftoide bucale, abdomen sensibil in zonele de proiectie a segmentelor intestinale afectate, mase abdominale palpabile (abcese sau aglutinari de anse), fisuri/ fistule perianale, semne extraintestinale- eritem nodos, uveite, artrite.
Evolutia bolii se face in pusee de intensitate variabila de la un puseu la altul si de la un pacient la altul. Exista forme cronice persistente si complicatii sistemice.
Pentru evaluarea severitatii puseelor bolii Crohn se foloseste indicele Best (indicele de activitate a bolii- CDAI). Acesta se calculeaza pe baza datelor stranse de bolnav cu o saptamana inainte de internare: numar de scaune lichide/ moi, dureri abdominale, stare generala, manifestari extradigestive, febra, tratamente antidiareice, prezenta maselor abdominale palpabile, hematocritul, greutatea. Cand indicele Best are valori sub 150 indica o BC in remisiune, intre 150 si 200 activitate usoara a bolii, intre 200 si 450 activitate moderata si peste 450 boala activa severa.
Scorul indicelui de activitate a bolii Crohn (indicele Best- Crohn's Disease Activity Index)
|
Indexul de activitate a BC |
Suma |
X factor |
Subtotal |
|
Numarul total de scaune lichide sau foarte moi din ultimele 7 zile |
X 2 | ||
|
Evaluarea durerilor/ crampelor abdominale (media pe 7 zile): 0= absente, 1= usoara indispozitie, 2= intense, 3= foarte intense, 4= insuportabile |
X 5 | ||
|
Starea generala de sanatate (media pe o saptamana) |
X 7 | ||
|
Numarul total de afectari enumerate pe care pacientul le prezinta in acest moment: A= irita/ artralgii, B= irita/uveita, C= eritem nodos/pyoderma/stomatita aftoasa, D= fisura/ fistula/ abces anal, E= febra peste 38,5 grade in ultimele 7 zile |
X 20 | ||
|
Tratament cu medicamente antidiareice: 0= nu, 1= da |
X 30 | ||
|
Mase abdominale: 0= absente, 2= discutabile, 3= certe |
X 10 | ||
|
Hematocrit: Barbati ( 47 - Ht ) = Femei ( 42 - Ht ) = |
X 6 |
= ( se aduna sau se scade in functie de semn) |
|
|
( GCS - GCA ) x 100/ GCS = GCA=Greutate corporala actuala in kg GCS= Greutate corporala standard in kg |
X 1 | ||
|
TOTAL |
|||
Rectocolita ulcero-hemoragica
Manifestarile intestinale sunt diareea, hemoragia intestinala, durerile abdominale.
Diareea este diurna si nocturna si apare ca simptom initial in 52% din cazuri si in primul an in 85- 100% din cazuri. Apar 5-20 scaune de volum redus pe zi. In proctite, proctosigmoidite apar proctalgii, tenesme rectale, senzatia imperioasa de defecatie, iar diareea poate lipsi (datorita spasmului rectal).
Hemoragia digestiva inferioara apare ca simptom initial in 80% din cazuri si in primul an in 100% din cazuri. In functie de localizarea si severitatea afectiunii pot aparea rectoragii cu sange rosu care inveleste scaunul sau rectoragii pseudo-hemoroidale la sfarsitul defecatiei (in proctite si proctosigmoidite), scaune diareice amestecate cu sange partial digerat in colitele extinse, scaune diareice amestecate cu sange partial digerat si puroi in formele severe.
Durerea abdominala este nespecifica; poate aparea durere in aria de proiectie a colonului stang. Mai apar proctalgii, tenesme rectale in afectarea distala.
Manifestarile generale sunt febra, scaderea ponderala (mai putin manifesta ca in BC), astenia fizica.
Manifestarile extraintestinale mai frecvent intalnite sunt artralgii/artrite, uveite/conjunctivite/episclerite, eritem nodos.Vezi Complicatii extraintestinale
Evolutia - in raport cu severitatea puseelor de activitate si evolutia afectiunii se descriu urmatoarele forme clinico-evolutive de RCUH: forma acuta, forma fulminanta, forma cronica recurenta, forma cronica continua.
Clinic sunt descrise 3 forme: cu activitate usoara, medie si severa .
Clasificarea puseelor de activitate RCUH in raport cu severitatea
(Truelove si Witts)
|
Activitate severa |
Diaree>6 scaune/zi,cu sange Febra>37 C, min. 2zile din 4 Tahicardie sinusala (AV>90/min) Anemie severa (Hb<7,5g/dl) VSH>30mm la 1h |
|
Activitate usoara |
Diaree usoara(<4 scaune/zi),cu sange in cantitate mica sau prezent inconstant Fara febra Fara tahicardie Anemie moderata(Hb>9g/dl) VSH<30mm/1h |
|
Activitate moderata |
Criterii situate intre puseele usoare si moderate |
Diagnostic pozitiv
Diagnosticul pozitiv in boala Crohn si in rectocolita ulcero-hemoragica se face pe baza criteriilor clinico-biologice, endoscopice, radiologice si anatomo-patologice.
Boala Crohn
Diagnostic endoscopic
Ileo-colonoscopia cu prelevare de biopsii este indicata pentru diagnosticul pozitiv histologic, detectia leziunilor incipiente, aprecierea extensiei afectiunii, diagnosticul diferential cu alte colite si cu RCUH, detectia precoce a displaziilor/ malignizarii.
Se efectueaza colonoscopia completa si cu examinarea ileonului terminal si endoscopie, pentru a evalua eventuala implicare a tractului digestiv superior.
Leziunile endoscopice precoce sunt reprezentate de ulceratiile aftoide. In evolutie apar ulceratii de forma si talie diferita (serpiginoase, in harta geografica sau rotunde). In stadiile avansate apare aspectul caracteristic de "piatra de pavaj" datorita ulceratiilor profunde, confluente, care delimiteaza intre ele insule de mucoasa non-ulcerata. La colonoscopie mai pot fi stenoze frecvent ulcerate. Distributia segmentara, discontinua si asimetrica a leziunilor este o caracteristica endoscopica a bolii Crohn.

Ulceratii aftoide Ulcer map-like, cu stenoza Aspect "piatra de pavaj"
Localizarea leziunilor este exclusiv la nivelul intestinului subtire in 25-30% din cazuri, ileo-colica in 40-50% din cazuri si strict colonica in 15-25 % din cazuri, in special la batrani. Localizarea perianala (fisuri, fistule, abcese, supuratii perirectale) apare in peste 50% din cazuri. In 0,5- 4 % din cazuri pot fi afectate segmentele proximale ale tractului digestiv (cavitatea bucala, esofag, stomac, duoden). Foarte rar boala se poate localiza la apendice.
Diagnosticul histologic
Macroscopic- pe piesa de rezectie se observa leziuni segmentare separate intre ele de intervale de mucoasa sanatoasa. Aceste leziuni sunt heterogene: ulcere aftoide, supradenivelari nodulare de mucoasa, ulcere profunde, extinse, rotunde, serpiginoase sau liniare inconjurate de zone de edem. Alternanta de supradenivelari nodulare ale mucoasei cu ulcere determina aspectul caracteristic de "piatra de pavaj". Mai apar ulcere profunde, cu fisuri in peretele intestinal, ce reprezinta punctul de plecare al unor abcese si fistulizari in organele vecine. Peretele intestinal este ingrosat, iar mezenterul e ingrosat si infiltrat, cu adenopatii hipertrofice. Prin aceste ingrosari ale peretelui intestinal se formeaza stenoze cu lumen stramt, neregulat, unice sau multiple, cu segmente suprastenotice dilatate.
Microscopic
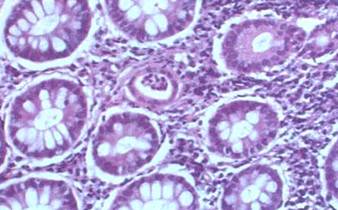
Corespondentul histologic al ulceratiei aftoide este o mica ulceratie la baza criptei glandulare, care se mareste in timp si se extinde la nivelul mucoasei si submucoasei; se poate extinde prin musculara si seroasa, dand nastere fisurilor. Toate straturile peretelui intestinal prezinta infiltrat limfoplasmocitar abundent si o colagenizare marcata.
In straturile profunde ale mucoasei exista o hiperplazie limfoida si celule epiteliale dispuse in grupuri, formand microgranuloame. Markerul de boala este granulomul cu celule gigante- leziune inalt caracteristica pentru boala Crohn. Este prezent in 40-70 % din cazuri. Poate fi gasit si in ganglionii mezenterici si ficat precum si in intestin la distanta de leziunea propriu-zisa. Histopatologia in absenta granulomului poate defini o leziune compatibila cu o boala Crohn.
In concluzie exista o atingere segmentara, discontinua, transmurala, cu prezenta de granuloame, cu infiltrat inflamator si complicatii grave ce duc la stenoze si fistule in organele vecine.
Diagnostic radiologic
Radiografia abdominala pe gol este utila in diagnosticul complicatiilor- perforatie,ocluzie intestinala.
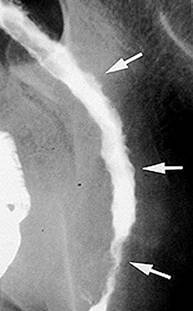
Examenul baritat cu dublu contrast evidentiaza ulceratiile aftoide sub forma unor mici depozite de substanta de contrast inconjurate de un halo transparent. Mai pot fi evidentiate leziuni unice sau multiple despartite de zone sanatoase- aspectul de "pietre de pavaj", stenoze pana la "semnul sforii", fistule. Cand exista suspiciunea de stenoza, examenul baritat este contraindicat.
Boala Crohn- ulceratii extensive Semnul
sforii in boala Crohn
ale peretelui colonului, inflamatia mucoasei ileala
Metodele imagistice noi folosite in evaluarea bolilor inflamatorii intestinale sau a complicatiilor acestora sunt: ecografia cu sonda de inalta frecventa, tomografia computerizata, RMN.
Ecografia cu sonda de inalta frecventa intre 5 si 7,5 MHz, cu o specificitate si sensibilitate mai mare decat ecografia normala, poate vedea ingrosarea ileala, fistule transmurale, ulceratii, remanierea canalului anal cu fistulele respective.
Tomografia computerizata este examinarea de referinta pentru structurile intestinale: atesta toate traiectele fistuloase, ulcerele penetrante, colectiile abcedate.
Rezonanta magnetica nucleara da informatii exacte despre localizarea segmentelor afectate si circumferinta leziunilor. Atesta prezenta fistulelor, stenozelor, a leziunilor perianale si perirectale.
Examenele biologice - in puseele de activitate apare cresterea valorilor markerilor nespecifici de inflamatie: PCR, α2-globuline, fibrinogen, VSH, trombocitoza, leucocitoza. Se monitorizeaza proteina C reactiva ca marker biologic de activitate a bolii (PCR se normalizeaza rapid odata cu remisiunea inflamatiei). Se mai urmaresc in evolutia bolii hemoglobina, hematocritul, sideremia, feritina, albumina, factorul XIII din cascada coagularii. In complicatiile toxice (megacolon toxic, perforatie, abces) apare leucocitoza cu deviere la stanga a formulei leucocitare, acidoza metabolica, cresterea lactatului, scaderea fibrinogenului si aparitia produsilor de degradare a fibrinei uneori (atentie la coagularea intravasculara diseminata).
RCUH
Diagnostic endoscopic
Sigmoidoscopia/colonoscopia sunt indicate pentru detectia leziunilor incipiente, evaluarea extensiei si activitatii bolii, diagnosticul diferential cu alte afectiuni (BC), aprecierea raspunsului terapeutic, urmarirea displaziei si malignizarii. Reprezinta contraindicatie pentru colonoscopie formele severe, cu risc de perforatie. In aceste forme se poate tenta sigmoidoscopia, care are un risc mai mic de perforatie.
In RCUH apare o distributie tipica a leziunilor: strict colonic, incepand de la nivelul rectului si extinzandu-se proximal, fara a depasi valva ileo-cecala, cu o demarcatie neta intre mucoasa afectata si cea normala.
Leziunile precoce sunt granularitatea mucoasei, cu stergerea luciului si hiperemie. Apar ulterior ulceratii mici, superficiale, care cresc progresiv in dimensiuni. In fazele active pot fi acoperite de exudat muco-purulent sau hemoragic. In zonele de confluenta a ulceratiilor apar si denivelari - pseudopolipi inflamatori -zone de regenerare a mucoasei,cu tesut de granulatie, ce nu se malignizeaza.
RCUH - stadializare endoscopica
|
STADIUL 0 (remisiune) |
Mucoasa palida, vase tortuoase (scurte, fara ramificatii de ordinul 2,3) |
|
STADIUL 1 (activitate usoara) |
Mucoasa granulara, hiperemica, fara luciu, cu vase partial vizibile; poate sangera usor la atingerea cu endoscopul |
|
STADIUL 2 (activitate moderata) |
Mucoasa hiperemica, edematiata, retea vasculara absenta, uneori mici ulceratii; sangereaza spontan sau la atingerea cu endoscopul |
|
STADIUL 3 (activitate severa ) |
Mucoasa hiperemica, edematiata, cu ulceratii multiple de dimensiuni variabile (2-4 mm), superficiale, neregulate, care sangereaza difuz la atingerea cu endoscopul, acoperite pe alocuri de exudate mucopurulente si hemoragice |
Stadiul 1 Stadiul 2 Stadiul 3
In faza de remisiune se repara epiteliul, cu formarea unei mucoase atrofice cu vascularizatie vizibila. Mai pot aparea pseudopolipi, dar nu exista sangerare si ulceratii. Exista forme cronice continue, cu fenomene de reparatie concomitente cu cele de distructie, ce duc la atrofia mucoasei rectale, cu aspect granular, hemoragii si ulcere. In formele tardive apar scurtari de colon si rect, ingustari de lumen colic si rectal, stergerea haustratiei colonice si o retractie sclerolipomatoasa. Toate acestea duc la microcolie si microrectie.
Remisiune-vase tortuoase, Remisiune- cicatrice liniare Pseudopolipi de regenerare
fara ramificatii
Localizarea leziunilor este exclusiv la nivelul rectului si colonului. In raport cu extensia bolii avem proctite, proctosigmoidite, colite stangi, colite stangi extinse, pancolite. Ileonul nu e niciodata prins de procesul inflamator, insa inflamatia cecului din pancolite duce la refluarea in ileon a continutului cecal cu o ileita de reflux (backwash ileitis).
Diagnosticul diferential endoscopic intre RCUH si BC (Sands B-2002)
|
Caracteristica |
RCUH |
BC |
|
Localizare |
strict colonica |
orice segment al tubului digestiv |
|
Interesare rectala |
obligatorie |
50% |
|
Leziuni proximale>distale |
nu |
frecvent |
|
Leziuni continue |
caracteristice |
rareori |
|
Leziuni discontinue |
nu |
caracteristice |
|
Leziuni simetrice |
frecvente |
rareori |
|
Ulceratii aftoide |
rareori |
caracteristice |
|
Ulceratii liniare |
nu |
caracteristice |
|
Fisuri |
nu |
caracteristice |
|
Ulceratii neregulate |
caracteristice |
rare |
|
Aspect de piatra de pavaj |
nu |
caracteristic |
|
Mucoasa normala intre leziuni |
nu |
caracteristic |
|
Ingrosare perete |
nu |
frecvent |
|
Stenoze |
rare; scurte si largi |
caracteristice; multiple |
|
Fistule |
nu |
caracteristic |
Diagnostic histologic in RCUH
Macroscopic- mucoasa apare friabila, cu aspect granular, edem, hiperemie, ulceratii superficiale neregulate, variabile ca marime. Leziunile pornesc de la nivelul rectului si se extind proximal, dar nu depasesc valva ileo-cecala. In formele severe apar pseudopolipi (polipi inflamatori), avand la baza tesutul de granulatie.
Microscopic- leziunile inflamatorii sunt limitate la nivelul mucoasei si submucoasei.
In perioada de activitate apar: infiltrat inflamator cu predominanta neutrofilelor in mucoasa si submucoasa, neutrofile diseminate intre celulele glandulare (criptite), neutrofile in lumenul glandular (abces criptic), reducerea numarului de celule producatoare de mucus.
In perioada de remisiune apar: infiltrat inflamator cronic limfoplasmocitar, anomalii arhitecturale epiteliale (reducerea numarului de cripte glandulare, atrofia sau scurtare criptelor).

Diagnostic radiologic
Radiografia abdominala simpla pune diagnosticul complicatiilor: megacolon toxic, perforatie, ocluzie.
Examenul radiologic cu dublu contrast apreciaza distensibilitatea colonului. Initial se evidentiaza aspectul neregulat, fin granular al mucoasei, scaderea distensibilitatii colonului si dehaustrarea. Ulterior apar ulceratiile ce dau pe imaginea de profil aspectul de spiculi marginali si imagini de aditie, iar pe cea de fata pete opace suspendate. In stadiile avansate apar ulceratiile "in buton de camasa". Examenul radiologic cu substana de contrast este contraindicat in RCUH severa/fulminanta, avand risc de precipitare a megacolonului toxic.

Colita ulcerativa -puseu de activitate- Colita ulcerativa cronica-dehaustrarea
ulceratii si inflamatia extensiva sigmoidului
a mucoasei
Alte metode imagistice:
Scintigrafia cu leucocite marcate cu Tc evidentiaza acumularea de neutrofile in tesutul inflamat, permite aprecierea localizarii, extinderii si activitatii procesului inflamator.
CT si RMN sunt eficiente in evaluare activitatii si complicatiilor bolii, in diagnosticul diferential RCUH/ BC, in evaluarea perineului.
Ecografia pune in evidenta ingrosarea moderata, de 7-8 mm, a peretelui colonic, cu hiperecogenitatea submucoasei si pastrarea diferentierii straturilor pentru o perioada indelungata.
Diagnostic diferential
Se impune diagnosticul diferential cu bolile intestinale de diverse etiologii (infectioasa, vasculara, maligna, medicamentoasa, altele) si diagnosticul diferential intre boala Crohn si rectocolita ulcero-hemoragica.
a) Colitele infectioase
La debutul bolii se face diagnosticul diferential cu colitele infectioase. Frecvent acestea au manifestari clinice similare cu bolile inflamatorii intestinale, mai ales cu RCUH (diaree sanguinolenta, dureri abdominale). Aspectul endoscopic din unele colite infectioase este foarte asemanator cu cel din RCUH. De retinut ca este posibil ca o infectie acuta sa declanseze un prim puseu al unei boli inflamatorii intestinale preexistente/latente.
Mai frecvent intalnite sunt urmatoarele afectiuni:
Colitele bacteriene determinate de Salmonella, Shigella, Campylobacter, Escherichia coli
Colitele parazitare determinate de Entamoeba histolytica, Giardia lamblia, Balantidium coli
Colitele determinate de germeni cu transmitere sexuala, mai frecvente fiind proctitele determinate de Neisseria gonorrhoeae, Chlamydia trachomatis, Herpes simplex (HSV), Treponema pallidum - asemanatoare ca manifesti cu proctita ulcero-hemoragica
Colitele determinate de germeni oportunisti (Cytomegalovirus, Histoplasma, Mycobacterium avium) la pacientii imunodeprimati
Tuberculoza intestinala -frecvent apare afectarea ileonului terminal si uneori a ceco-ascendentului; Tuberculoza intestinala este o boala stenozanta, fistulizanta si malabsorbtiva, cu manifestari similare cu boala Crohn. Diagnosticul de certitudine este histopatologic.
Pentru diagnosticul acestor afectiuni examenele folosite sunt coproculturile bacteriene sau virale, examenele coproparazitare, testele serologice (Chlamydia, HSV, CMV), examenul histologic al biopsiilor de mucoasa (HSV, CMV). Pentru Entamoeba se face examen microscopic pe lama al exudatului care acopera ulceratiile amoebiene, cu vizualizarea directa a germenului.
b) Afectiunile vasculare
Colita ischemica apare la persoanele varstnice cu afectiuni cardiace si se manifesta prin scaune diareice sanghinolente, dureri abdominale. Uneori diagnosticul cu boala Crohn este dificil, chiar pe criterii endoscopice si histologice. Diferentierea se face pe evolutia in timp, care este spontana catre vindecare in saptamani in colita ischemica.
In boala Behet apar ulceratii aftoide ileo-cecale, orale si genitale si manifestari extraintestinale asemanatoare cu cele din boala Crohn.
Exista vasculite cu afectare intestinala, care pot avea ca simptome diareea sanghinolenta.
c) Colitele microscopice
Colitele microscopice (colagena si limfocitara) se caracterizeaza prin depunerea unui strat de colagen si/sau a unui infiltrat limfocitar sub membrana bazala epiteliala colonica. Apare la femeile de varsta medie si se manifesta prin diaree apoasa. Diagnosticul este exclusiv histopatologic, deoarece endoscopic nu exista modificari la nivelul mucoasei colonice.
d) Afectiunile maligne
Limfomul intestinal poate avea manifestari clinice similare bolii Crohn. Diagnosticul diferential se face pe baza localizarii leziunilor, aspectului endoscopic, radiologic si examenului histopatologic
e) Afectiunile induse de medicamente
In acest caz avem anamneza pozitiva pentru consumul de antibiotice (colita pseudo-membranoasa), AINS (enterita AINS-indusa), anticonceptionale (colita contraceptiv-indusa). In cazul colitei pseudo-membranoase examenul pozitiv pentru Clostridium difficile certifica diagnosticul.
f) Afectiunile anale
Proctitele ulcero-hemoragice pot avea ca singura manifestare rectoragiile in cantitate mica la sfarsitul defecatiei, putand fi confundate cu rectoragiile determinate de hemoroizi sau de fisuri anale.
Fistulele in regiunea anala, in special cele recurente, trebuie intotdeauna sa ridice suspicinea de boala Crohn.
g) Alte afectiuni
Sindromul de intestin iritabil se manifesta cu scaune diareice explozive (dar fara sange sau puroi, uneori cu mucus), dureri abdominale, dar fara scadere ponderala. De retinut insa ca diagnosticul de intestin iritabil este intotdeauna un diagnostic de excludere.
Diverticuloza complicata cu diverticulita se poate manifesta cu dureri abdominale, febra, scaune sanghinolente.
Colita radica poate aparea la cativa ani dupa radioterapia la nivelul bazinului si poate determina rectoragii repetate. .
Uneori boala Crohn la debut poate avea manifestari asemanatoare cu apendicita.
Enteropatia glutenica are ca manifestari diareea cronica, scaderea ponderala datorita intolerantei la gluten. Diagnosticul este serologic- anticorpii anti-endomisium, anti-transglutaminaza si examenul histologic din biopsiile de duoden I.
h) Diagnosticul diferential clinico-patologic BC-RCUH
|
Boala Crohn |
RCUH |
|||
|
Dureri abdominale |
95% in fosa iliaca dreapta |
85% din cazuri in stanga |
||
|
Rectoragii/ scaune cu sange |
Rare |
Constante |
||
|
Febra |
Frecvent in infectii, abcese, fistule |
Rar |
||
|
Leziuni anale |
Foarte frecvente, 50-75% din cazuri |
Rare < 10% |
||
|
Fistule |
| |||
|
Afectare esogastrica si duodenala |
Posibila |
Nu |
||
|
Afectare |
ileala |
Nu (ileita de reflux) |
||
|
ileocolica | ||||
|
Topografie |
Predominent proximala |
Distala |
||
|
Segmentara |
Da |
Nu |
||
|
Heterogena |
Da |
Nu |
||
|
Stenoze segmentare |
Frecvente |
Rare (inflamatorii, variabile) |
||
|
Ulceratii aftoide |
Da |
Nu |
||
|
Afectare rectala |
Inconstanta |
Obligatorie |
||
|
Continuitate lezionala |
Nu |
Da |
||
|
Histologic |
inflamatie |
Transmurala |
Mucoasa, submucoasa |
|
|
granulom epitelioid |
Inconstant |
Absent |
||
|
Degenerescenta maligna |
Posibila |
3-5 % din cazuri |
||
7. Complicatii
7.1 Complicatiile intestinale in BC
Complicatiile intestinale in BC sunt abcesele si fistulele, manifestarile perianale, stenozele, cancerul colo-rectal sau de intestin subtire.
Abcesele apar la 15-20% din pacientii cu BC; se pot dezvolta in cavitatea peritoneala, retroperitoneal sau perianal. Diagnosticul este clinic (febra, durere localizata, uneori mase palpabile in abdomen), biologic (leucocitoza, markeri de inflamatie crescuti), imagistic (CT - evalueaza cel mai bine extensia, ecografie). Tratamentul este chirurgical asociat cu antibioterapie cu spectru larg.
Fistulele apar la 20- 40% din pacientii cu BC. Cele mai frecvente sunt fistulele entero-enterale, entero-cutanate. Mai apar fistule entero-vezicale, entero-vaginale. Din punct de vedere simptomatic fistulele se pot manifesta cu febra, dureri abdominale, diaree, fecalurie, pneumaturie. Se incearca intr-o prima etapa inchiderea fistulelor entero-enterale prin mijloace non-chirurgicale: nutritie parenterala totala, Metronidazol, imunosupresoare (Azatioprina/Metotrexat/ Ciclosporina), anticorpi monoclonali (Infliximab, Adalimumab). In caz de nereusita se rezeca chirurgical traiectele fistuloase.
Manifestarile perianale sunt des intalnite in BC. Pot aparea hemoroizi, fisuri anale laterale sau, mai grav, fistule si abcese perianale/ perirectale. In cazul fistulelor se tenteaza tratamentul cu Metronidazol. In absenta raspunsului se recomanda rezectia chirurgicala a traiectului fistulos. Abcesele se dreneaza chirurgical.
Stenozele apar frecvent in evolutia bolii Crohn, atat la nivel ileal, cat si colonic. Spre deosebire de RCUH, unde stenozele sunt inflamatorii si tranzitorii, in BC apar stenoze fibroase (lungi, stranse, nedistensibile). Clinic se manifesta ca sindrom subocluziv sau ocluziv. Se recomanda evaluarea extensiva a stenozelor (examene radiologice, endoscopie cu prelevare de biopsii multiple din zonele de stenoza), deoarece frecvent la nivelul lor apare degenerarea maligna. Stenozele pot aparea la nivelul zonelor de anastomoza dupa o interventie chirurgicala.
Riscul de dezvoltare a cancerului colorectal in boala Crohn este semnificativ mai mic decat in pancolita ulcero-hemoragica. Factori de risc sunt prezenta stenozelor sau a segmentelor digestive scoase din circuit (by-passate prin fistule sau prin derivatii chirurgicale), evolutia de peste 10 ani, debutul la varsta tanara. Recomandarile pentru supravegherea colonoscopica in cazul BC ? ? ? ? ??????????
In BC cu afectarea intestinului subtire pot aparea adenocarcinoame la acest nivel. Riscul e foarte mare in segmentele stenozate sau by-passate chirurgical.
7.2 Complicatiile intestinale in RCUH
Complicatiile intestinale in RCUH sunt megacolonul toxic, perforatia, hemoragia digestiva inferioara severa , stenozele, cancerul colo-rectal.
Megacolonul toxic este o complicatie rara, care apare in formele severe, cu afectare extinsa (pancolite la debut). Se manifesta prin dilatatia acuta a colonului cu oprirea tranzitului pentru gaze si materii fecale, cu stare toxico-septica grava ( febra >38 C, tahicardie sinusala > 120 batai/min, leucocitoza 18-20000/mmc, deshidratare, hipotensiune arteriala, diselectrolitemie). Diagnosticul se pune prin examinarea radiologica abdominala simpla, cu evidentierea dilatarii colonului, mai ales a transversului, pana la 8-10 cm. Terapia consta in repaus digestiv, aspiratie nazogastrica, corectie hidro-electrolitica, antibiotice cu spectru larg, corticoterapie parenterala. Daca in 48 de ore nu apare raspuns la tratamentul medical, se intervine chirurgical (colectomie) pentru profilaxia perforatiei colonice.
Perforatia colonica poate aparea datorita ulceratiilor intinse care devin penetrante, mai ales in cazul megacolonului toxic sau la debutul RCUH intr-o forma fulminanta. Diagnosticul se face radiologic- prezenta pneumoperitoneului la radiografia abdominala simpla. Chiar in conditiile tratamentului maximal ( reechilibrare hidro-electrolitica, antibioterapie cu spectru larg, interventie chirurgicala de urgenta) mortalitatea este de circa 50%.
Hemoragia digestiva inferioara este rar intalnita (2-5%), apare in formele severe de boala. Terapia este suportiva (transfuzii de sange); foarte rar este necesara colectomie de urgenta pentru oprirea sangerarii.
Stenozele apar mult mai rar decat in BC si sunt de cele mai multe ori inflamatorii si reversibile. Totusi, se recomanda prelevarea de biopsii multiple din zonele de stenoza, deoarece acestea pot fi asociate cancerului colonic.
Cancerul colorectal este mai frecvent la bolnavii cu RCUH decat in populatia generala. In RCUH apare risc crescut de cancer colo-rectal in urmatoarele situatii: pancolita, debutul bolii in copilarie/ adolescenta, dupa 8 ani de la debutul afectiunii. Dupa primii 8 ani, cu fiecare decada riscul creste cu 10%, iar dupa 30 de ani de evolutie ajunge la 30%.
De aceea, dupa 8 ani de la debutul afectiunii, se recomanda supraveghere colonoscopica la maximum 2 ani, cu prelevarea de biopsii circumferentiale din 10 in 10 cm, pentru detectarea precoce a displaziei. De asemenea, se preleveaza biopsii din masele lezionale si din stenoze. In displaziile usoare se recomanda intensificarea urmaririi colonoscopice la 3 luni, iar in displazia severa colectomia profilactica.
Studiile au indicat scaderea riscului de cancer colo-rectal la pacientii care au fost tratati cu derivati de 5-ASA pentru mentinerea remisiunii (Mesalazina 1-1,5g/zi). Aceasta se explica prin stimularea apoptozei celulelor maligne de catre Mesalazina.
7.3 Complicatiile extraintestinale in BC si RCUH
Avem de-a face cu complicatii extraintestinale propriu-zise si cu manifestari extraintestinale ale BC si RCUH.
Simptomele extraintestinale asociate sunt articulare, cutanate, oculare, hepato-biliare, reno-urinare, vasculare. Unele din aceste manifestari evolueaza odata cu inflamatia intestinala si raspund la tratamentul specific, altele evolueaza independent de boala de fond, pot continua si dupa ablatia chirurgicala a segmentului bolnav sau dupa remisiunea bolii.
Manifestari articulare: poliartrite, monoartrita, spondilita.
Poliartrita articulatiilor mari sau monoartrita evolueaza odata cu puseul de boala digestiva si sunt controlate de tratamentul specific bolii.
Sacrolieita si pelvispondilita se asociaza frecvent cu haplotipul HLA B27 si evolueaza independent de boala intestinala. Sacroileita izolata, frecvent asimptomatica, se asociaza cu RCUH. Spondilita ankilozanta precede in unele cazuri manifestarile bolii Crohn.
Manifestari cutanate: eritem nodos, pioderma gangrenosum.
Eritemul nodos apare in 2-4% din cazurile de BC, evolueaza in functie de inflamatia digestiva si raspune la terapia specifica.
Pioderma gangrenosum este o dermatita neutrofilica; reprezinta o dilacerare a partilor moi si a dermului cu necroza aseptica. Apare in cazurile de RCUH severe si extinse si raspunde la tratamentul specific bolii. In cazuri rare complicatia poate fi controlata numai prin tratament imunosupresor sau colectomie totala.
Manifestarile oculare (uveite, episclerite, conjunctivite) raspund la terapia corticoida locala.
Manifestari hepato-biliare: pericolangita, colangita sclerozanta primitiva , colangiocarcinomul.
Pericolangita este suspectata in cazul valorilor crescute ale fosfatazei alcaline. Diagnosticul este histologic.
Colangita sclerozanta primitiva (CSP) este o afectiune care apare la 1-4% din cazurile de RCUH si mai rar in BC si evolueaza independent de boala de baza. Circa 80% din cazurile de CSP apar in asociere cu o boala inflamatorie intestinala, cunoscuta sau nu. De aceea, diagnosticul de colangita sclerozanta la un pacient impune examinarea colonoscopica, chiar si la pacientii fara simptome de tip intestinal. In colangita sclerozanta apare distructia progresiva a ductelor biliare intra si extrahepatice. Biologic apare colestaza precoce, icter. Diagnosticul pozitiv se face prin colangiografie endoscopica retrograda. Evolutia CSP in timp este catre ciroza hepatica. Colangiocarcinomul poate complica in timp CSP. Prezenta CSP mareste riscul de dezvoltare a unui cancer colo-rectal la un pacient cu boala inflamatorie intestinala.
Manifestari reno-urinare
In BC pot aparea amiloidoza renala, fistulele entero-urinare manifeste ca infectii urinare trenante, extensia retroperitoneala a inflamatiei intestinale cu ureterohidronefroza.
Amiloidoza renala este o complicatie grava, care evolueaza independent de boala de baza si duce la insuficienta renala.
Manifestari vasculare: vasculite, anemie hemolitica autoimuna, tromboze venoase si trombembolii datorate trombocitozei cu hipercoagulabilitate din puseul acut de boala.
Complicatiile extraintestinale propriu-zise se datoreaza malabsorbtiei sau pierderii diverselor substante pricipii nutritive la nivelul segmentelor intestinale afectate. Pot aparea si datorita excluderii din circuitul intestinal a unor segmente, prin fistule entero-enterale sau excluderea chirurgicala, pana la sindromul de intestin scurt care apare dupa rezectii repetate in boala Crohn. La nivelul ileonului terminal sunt absorbite o serie de substante importante pentru homeostazia organismului (vitamina B12, acizii biliari ). In cazul afectarii inflamatorii a acestui segment digestiv apare malabsorbtia B12, cu anemie secundara. Sunt cazuri in care e necesara substitutia cu B12 injectabil la 3 luni. Consecutiv scaderii absorbtiei acizilor biliari, scade si absorbtia vitaminelor liposolubile (A,D,E,K), avand drept urmare nictalopie, osteomalacie, deficite senzoriale- de auz, de gust, hiperkeratoza, anemie. Deficitul de acizi biliari duce si la formarea de calculi colecistici.
Malabsorbtia microelementelor (fier, calciu, magneziu, zinc) are ca manifestari anemia, osteomalacia, intarzierea in crestere, oligospermia, deficitele imune. De retinut ca in tratamentul cu corticosteroizi absorbtia calciului este redusa, iar in tratamentul cu sulfasalazina e redusa absorbtia acidului folic.
Exudatia proteinelor in lumenul intestinal,cu scaderea secundara a capitalului proteic al organismului, explica aparitia edemelor, deficitului proteinelor de transport.
Pierderile mari de apa prin diaree si scaderea absorbtiei acidului oxalic favorizeaza aparitiai litiazei renale oxalice.
Pentru a detecta din timp diversele carente se recomana determinari anuale ale nivelului seric de fier, feritina, calciu, magneziu, zinc, B12, acid folic, vitaminele A, D, E, K.
8. Tratament
Tratamentul bolilor inflamatorii intestinale urmareste controlul manifestarilor clinice, reducerea ratei complicatiilor, ameliorarea calitatii vietii si ameliorarea prognosticului pe termen lung.
Conceptele terapiei constau in nutritie, tratament medicamentos, tratament chirurgical, tratamentul simptomatic.
. Nutritia
In perioadele de remisiune clinica se recomanda in general o dieta echilibrata, pentru a evita deficitele nutritive. Este foarte importanta mentinerea unei greutati corporale cat mai aproape de cea ideala (mentinerea IMC intre 18 si 25). Sunt numeroase studii care arata ca o dieta hipercalorica hiperproteica, bogata in fibre si saraca in carbohidrati duce la crestere in greutate. Exceptie: la pacientii cu stenoze cunoscute se evita alimentele care contin fibre, datorita riscului mare de ocluzie intestinala.
In boala Crohn se folosesc in terapie nutritia enterala sau parenterala, cu efecte atat pe starea nutritionala a pacientului cat si pe activitatea inflamatorie. Nutritia enterala este recomandata in cazurile de malnutritie severa sau de retard al cresterii la copii, atat in faza activa cat si in cea inactiva a bolii.
In episoadele de acutizare este foarte important ca segmentele intestinale si colonice afectate sa fie puse in repaus. De aceea se alege alimentatia enterala cu preparate speciale (diete lichide cu greutate moleculara mare sau mica), care se administreaza frecvent pe sonda nazo-gastrica sau intestinala si care se absorb complet in segmentele proximale ale tractului digestiv, punand in repaus segmentele distale. Aceste preparate sunt echilibrate, acopera dozele zilnice recomandate de nutrienti si nu contin fibre sau lactoza. In episoadele de acutizare apare frecvent intoleranta la lactoza - de aceea in episodul acut si o perioada dupa acesta se evita preparatele care contin lactoza. Nu e tolerat laptele dulce, in timp de iaurtul si branzeturile sunt destul de bine tolerate. In timp unii pacienti isi recapata toleranta la lactoza, altii nu.
Nutritia parenterala implica administrarea printr-un cateter venos central a solutiilor de nutrienti si ingrediente active (proteine, hidrati de carbon, lipide, vitamine si oligoelemente). Astfel este pus in repaus intregul tract digestiv. Este indicata in formele foarte severe de boala Crohn, cu indice de activitate peste 450, in afectarea segmentelor superioare ale intestinului subtire, in cazurile care nu au raspuns la alimentatia enterala pe sonda, sau atunci cand exista semne de obstructie intestinala (ileus, subileus), stenoze stranse, fistule. Nutritia parenterala se administreaza pe o perioada de maximum 3 saptamani, cu atentie la posibilele complicatii-infectia de cateter si steatoza hepatica. Se continua cu nutritie enterala cu preparate standard administrate pe o sonda plasata in intestinul subtire.
Revenirea la alimentatia normala dupa un episod acut se face prin introducerea treptata a diverselor alimente: se incepe cu ceai slab, pesmeti/paine uscaaa/biscuiti; apoi se trece la fructe si legume preparate termic, cartofi, orez, paste, branzeturi degresate, carne slaba. In final, se adauga grasimi sub forma de unt, margarina, ulei, carne, branzeturi nedegresate.
In episoadele de acutizare din colita ulcerativa apare frecvent intoleranta la proteina din lapte. O mare parte din acesti pacienti au anticorpi anti-proteine din lapte; odata acestia identificati, pacientii respectivi trebuie sa evite laptele si lactatele, atat in episoadele de acutizare cat si in perioadele de remisiune.
8.2. Tratamentul medicamentos
Principalele clase de medicamente folosite sunt preparatele de acid 5-aminosalicilic (5- ASA), corticosteroizii topici si/sau sistemici, antibioticele, agentii imunospresori, agentii modificatori ai raspunsului biologic. Alegerea unuia sau mai multora dintre aceste medicamente depinde de afectiunea de baza (BC sau RCUH), de localizare, de severitatea afectarii, forma clinico-evolutiva si prezenta complicatiilor. Tratamentul de inducere a remisiunii in episodul acut este diferit de cel de mentinere a remisiunii - fie difera preparatele, fie dozele.
Preparatele de acid 5-aminosalicilic (5- ASA)
Preparatele de acid 5-aminosalicilic (5- ASA) sunt de 2 feluri - preparate sulfatate (Salazopirina) si preparate nesulfatate (Mesalazina, Olsalazina, Balsalazina).
Salicilazosulfapiridina (Salazopirina) este compusa dintr-o molecula de Sulfapiridina si o molecula de acid 5-aminosalicilic (Mesalazina) legate printr-o punte diazo. In colon cca 75% din Salazopirina este scindaaa sub influenta azoreductazelor bacteriene in cele doua componente ale sale: Mesalazina, care este componenta activa, si Sulfapiridina, care este lipsita de efect terapeutic si are numai rolul de transportor pentru Mesalazina, impiedicand absorbtia prematura a acesteia in intestinul subtire. Sulfapiridina este responsabila si de efectele adverse ale Salazopirinei (cefalee, greata, varsaturi, malabsorbtia acidului folic; mai rar rash, hemoliza, granulocitopenie, oligospermie, pancreatita, fibroza pulmonara). O parte din acestea sunt doza-dependente si se coreleaza cu rata acetilarii hepatice a Sulfapiridinei. De aceea efectele adverse apar mult mai frecvent la acetilatorii lenti.
Componenta activa a Salazopirinei este acidul 5-aminosalicilic (5- ASA), care se absoarbe din colon in proportie de doar 20% , se intoarce in ficat unde e acetilat si se elimina prin urina. Restul de 80% ramane in colon si isi exercita efectul terapeutic, apoi se elimina prin fecale.
Exista mai multe mecanisme prin care 5-ASA intervine in procesele inflamatorii de la nivelul colonului: scade productia de acid arahidonic si tromboxan A2, prin inhibarea lipooxigenazei; scade productia de prostaglandine prin inhibarea cicloxigenazei; inhiba eliberarea leucotrienei B4; inhiba sinteza factorului activator plachetar- PAF; indeparteaza radicalii liberi de oxigen; inhiba sinteza IL-1 si IL-6 si a receptorilor IL-2 in mucoasa intestinala; inhiba factorul nuclear NF-kB- responsabil de reglarea activitatii genetice si a sintezei de citokine proinflamatorii ( IL-1, IL-6, IL-8, TNF-alfa); in concentratii mari poate inhiba migrarea si degranularea neutrofilelor.
Preparatele non-sulfatate au ca avantaje buna toleranta orala, efecte adverse reduse (prin disparitia din componenta lor a Sulfapiridinei). Ele exista sub mai multe forme de prezentare si mai multe doze: tablete cu eliberare enterala a substantei active (la pH>6), granule, supozitoare, microclisme, spume-foam. Exemple de medicamente care contin doar Mesalazina, fara a mai contine Sulfapiridina: Pentasa (Mesalamina) = 5-ASA + Etilceluloza; Asacol ( Mesalamina) = 5-ASA+ Eudragit S; Salofalk ( Mesalamina)= 5-ASA + Eudragit L; Dipentium ( Olsalazina) = dimer de Mesalamina; Salazina = 2 molecule de 5-ASA legate printr-o legatura diazo.
Doza de atac este de 3- 4 g/zi (1g x 3- 4/zi) in administrarea per os sau 1,5g/zi (0,5g x 3/zi) in administrarea topica (supozitoare, clisme). Doza de atac se mentine pana la remisiunea coprologica, apoi se scade la 1,5 - 2g/zi- doza de intretinere pentru prevenirea recidivelor. Medicamentele administrate p.o. sunt eficiente la nivelul colonului si ileonului terminal. Singurul medicament eficient in localizarile pur intestinale este Pentasa 4g/zi. Supozitoarele actioneaza in proctite; clismele - in colitele cu afectare pana la flexura splenica.
Corticosteroizii
Corticosteroizii reprezinta unul din agentii terapeutici de baza folositi in bolile inflamatorii intestinale, intervenind atat in inflamatia intestinala cat si in raspunsul imunologic, prin mecanisme multiple: inhiba proliferarea si diferentierea celulelor precursoare din maduva hematoformatoare catre celule inflamatorii, inhiba migrarea celulelor inflamatorii din fluxul sanguin catre tractul intestinal, inhiba activarea acestor celule inflamatorii la nivelul tractului intestinal sau al altor zone - de exemplu articulatii. Interfera cu metabolismul acidului arahidonic, ducand la scaderea sintezei de leucotriene si prostaglandine. Corticosteroizii au un efect direct asupra tuturor tipurilor de celule inflamatorii, inhiband eliberarea de mediatori ai inflamatiei de la nivelul acestor celule, scazand astfel productia de citokine proinflamatorii (IL-1, IL-6).
Corticosteroizii sistemici (prednison, prednisolon, metil-prednisolon) sunt eficienti in tratamentul puseelor de activitate moderat-severe sau fulminante de boala Crohn sau colita ulcerativa. Ei se pot administra per os, incepand cu o doza de 0,5-1mg/kc/zi de prednison,cu scaderea treptata a dozelor odata cu rezolutia simptomelor, initial scazand cu 10 mg/saptamana, pana la 30mg/zi, apoi cu 5mg/ saptamana, pana la intreruperea tratamentului. In formele fulminante se indica corticoterapia pe cale parenterala (prednisolon 40-60mg/zi iv).
Efectele adverse numeroase si importante ale corticosteroizilor limiteaza folosirea acestora la episoadele acute si pe o perioada scurta. Nu se indica folosirea acestora in mentinerea remisiunii sau in profilaxia recidivelor postoperatorii. Pentru aceasta sunt foarte eficiente preparatele pe baza de 5-ASA (Mesalazina). Exista cazuri in care pacientul devine cortico-dependent, adica la intreruperea/ scaderea dozelor de corticosteroizi simptomatologia revine. In aceste cazuri se recomanda reducerea in trepte a dozei de corticosteroid, pana la oprire, cu instituirea simultana a terapiei imunosupresoare (azatioprina, 6-mercaptopurina), care se va mentine minimum 3-4 ani. Tratamentul corticoid se intrerupe gradual, pentru a da timp corticalei suprarenale a carei secretie de cortizol a fost inhibata sa isi recapete capacitatea de sinteza.
Efectele secundare ale corticosteroizilor sunt serioase si limiteaza folosirea lor pe termen lung. Cateva dintre aceste efecte sunt enumerate mai jos: crestere in greutate, facies cushingoid, vergeturi, petesii, acnee, atrofia corticalei suprarenale, hipertensiunea arteriala, scaderea tolerantei la glucoza (se poate ajunge pana la diabet corticoid), osteoporoza, cu posibilitatea aparitiei de fracturi spontane (uneori e necesara administrarea de calciu si vitamina D profilactic), necroza osoasa aseptica, dezechilibre electrolitice, cataracta, glaucom, insomnie, psihoza, neuropatii, miozite, atrofie musculara, susceptibilitate crescuta la infectii (tuberculoza, micoze), afectarea cresterii la copii. De aceea, inainte de a incepe tratamentul cu corticosteroizi trebuie exclusa o boala infectioasa (mare atentie la tuberculoza) sau prezenta de abcese (atentie la abcesele care pot aparea in boala Crohn!)
Un preparat corticoid folosit cu rezultate bune in boala Crohn este Budesonide. Acesta este un corticosteroid topic, care este metabolizat in ficat la prima trecere in proportie de 90%, doar 10% intrand in circulatia sistemica. Din acesta, 90% este legat de albumina, fiind astfel inactivat. Rezulta o biodisponibilitate sistemica foarte mica a Budesonidului, ceea ce face ca efectele secundare sistemice care apar la celelalte preparate cortizonice sa fie mult diminuate, iar raspunsul axului cortico-hipotalamo-hipofizar sa fie mentinut. Budesonide are acitvitate antiinflamatorie similara cu a glucocorticoizilor clasici, exprimata insa numai la nivelul ileonului terminal si colonului drept. Invelisul entero-solubil al capsulei de Budesonide permite eliberarea substantei active la un pH > 6,4 , aceasta valoare a pH-ului fiind atinsa in ileonul terminal.
Budesonide- capsula de 3mg este utilizat in doza de 3mg x 3/zi in puseele de acutizare usoare si medii din boala Crohn cu afectare a ileonului terminal si/ sau a colonului ascendent. Rata de remisiune este similara cu a coricoizilor sistemici, dar rata efectelor adverse este mult mai mica . Preparatele de Budesonide nu sunt eficace oral in RCUH deoarece nu se elibereaza substanta activa in segmentele distale ale colonului, care sunt cel mai frecvent afectate.
In caz de initiere a terapiei unui episod de acutizare cu corticoizi sistemici, se poate face trecerea in timp la Budesonide. Trecerea se face treptat, prin scaderea dozei de corticoid sistemic cu 10 mg/saptamana, cu adaugarea Budesonide in doza standard de 3mg x 3/zi. Apoi doza de corticod sistemic este redusa in continuare gradual, pana la oprire, cu mentinerea dozei standard de Budesonide.
Exista si preparate de Budesonide sub forma de microclisme de retentie, care sunt eficiente in formele distale de RCUH si boala Crohn.
Antibioticele
Antibioticele cu spectru larg sunt folosite in cazul suprainfectiilor, in formele grave de boala, cu febra si leucocitoza marcata; de asemenea se folosesc in tratamentul complicatiilor bolii Crohn - abcese, fistule, sindrom de poluare bacteriana aparuta in contextul unei stenoze sau al unei derivatii chirurgicale. Antibioticele folosite frecvent sunt Ciprofloxacina si/sau Metronidazolul. Ciprofloxacina 500mg x 2/zi se administreaza singura sau in combinatie cu Metronidazolul in tratamentul fistulelor. Metronidazolul este eficient in afectarea ano-rectala, in complicatiile perianale, profilaxia recidivelor post-operatorii. Doza recomandata este de 10-20 mg/kgc/zi, cu monitorizare neurologica si hematologica. Daca apare neuropatie periferica se intrerupe tratamentul cu Metronidazol.
Agentii imunosupresori
Agentii imunosupresori blocheaza proliferarea, activarea si mecanismele efectorii ale limfocitelor.
Cel mai frecvent folositi sunt Azatioprina si 6-Mercaptopurina; mai rar se utilizeaza Metotrexatul, Ciclosporina.
Azatioprina este un antimetabolit care intervine in sinteza purinelor. Dupa absorbtie este convertita in proportie de circa 88% la 6-Mercaptopurina (6-MP),care este forma activa. 6-MP este metabolizata intracelular la metabolitii activi - 6-Thioguanina. Atingerea unei concentratii stabile de 6-Thioguanina poate dura saptamani-luni, explicand astfel actiunea intarziata a Azatioprinei, cu efectele clinice care se observa dupa 2-3, pana la 6 luni de la instaurarea terapiei. Exista bolnavi la care doze mici de thiopurine dau mielosupresie; acestia au un deficit in activitatea enzimelor ce metileaza thiopurinele in derivati netoxici; de aceea se prefera dozarea TMTP inainte de inceperea tratamentului.
Azatioprina si 6-Mercaptopurina (in doza de 2 -3mg/kgc/zi) au indicatie in boala Crohn si colita hemoragica la pacientii care nu pot tolera corticoizii sau care nu raspund bine la corticoizi (corticorezistenta). Se face suprapunerea cu corticoizi pentru cateva luni, avand in vedere instalarea lenta a actiunii imunosupresorului. O alta indicatie este la pacientii corticodependenti. Utilizand imunosupresoarele in locul corticoizilor pentru mentinerea remisiunii se urmareste eliminarea efectelor secundare importante care apar in tratamentul prelungit cu corticoizi. Doza de azatioprina indicata este de 1-1,5mg/kg/zi, pe o perioada de minim 2-4 ani. Azatioprina este eficienta si in tratamentul fistulelor din boala Crohn.
In RCUH Azatioprina are indicatie in inducerea remisiunii la formele rezistente, asociata cu corticoizii, in mentinerea remisiunii in formele cronic-active, la corticodependenti.
Principalele reactii adverse sunt neutropenia si mielosupresia. De aceea in primele 2 luni de tratament se monitorizeaza hemoleucograma la 2 saptamani, cu intreruperea tratamentului la leucopenie <3000/mmc, trombocitopenie <70000/mmc sau scaderea cu mai mult de 20% a valorii hemoglobinei. Dupa normalizarea valorilor se poate face o a doua incercare cu Azatioprina, folosind o doza redusa la jumatate. In caz de reaparitie a efectelor adverse se renunta la terapia cu Azatioprina. Alte efecte adverse importante sunt hepatita, pancreatita, reactiile alergice. In caz de pancreatita, nu se mai incearca a doua oara folosirea Azatioprinei!
Metotrexatul in doza de 15-25 mg/saptamana, in administrare p.o. sau injectabila, se foloseste la pacientii cu BC refractari la alte tratamente. Induce remisiuni in 40/% din cazuri; efectul se instaleaza mai rapid decat la Azatioprina.
Ciclosporina poate fi folosita in RCUH si BC severe, rezistente la alte terapii. Raspunsul se instaleaza rapid (2 saptamani), de aceea poate fi folosita in preambulul terapiei de lunga durata cu Azatioprina.
Modificatorii raspunsului biologic (anticorpii monoclonali anti- TNF-α )
Anticorpii monoclonali anti- TNF-α sunt reprezentati de Infliximab (Remicade) si Adalimumab (Humira). Infliximab este un anticorp monoclonal de tip IgG care se leaga specific de factorul de necroza tumorala, blocand interactiunea acestuia cu receptorii sai.
Factorul de necroza tumorala (TNF-α) este o citokina proinflamatorie eliberata de macrofagele prezentatoare de antigen si are un rol foarte important in inflamatia intestinala din boala Crohn:
determina activarea autocrina a macrofagelor
legarea TNF-α la limfocitele T reprezinta co-semnalul necesar pentru ca limfocitele T activate sa declanseze raspunsul imun
induce expresia moleculelor de adeziune la nivel endotelial
are efect procoagulant la nivel endotelial
stimuleaza eliberarea de oxid nitric, factor activator plachetar si prostacicline la nivel endotelial
activeaza diapedeza leucocitara si degranularea granulocitelor
stimuleaza productia de metaloproteaze implicate in producere leziunilor intestinale
Infliximab are indicatie de utilizare in boala Crohn, in formele moderat -severe, care nu raspund la terapia conventionala, sau in prezenta formelor active fistulizante. Se administreaza in perfuzie unica, in doza de 5mg/kgc, cu repetarea administrarii la 2 si 6 saptamani. Efectul este rapid, cu scaderea indicelui de activitate a bolii Crohn cu 70 de puncte in prima saptamana.
Reactiile adverse sunt reprezentate de infectii, care pot aparea la cIRca 20% din pacientii tratati; uneori avem de-a face cu infectii grave (tuberculoza pneumonie, celulita). Mai pot aparea, mai ales dupa a doua administrare, febra, frison, eruptii urticariene, hipotensiune sau hipertensiune arteriala, dureri precordiale, dispnee.
Deoarece nu exista inca date suficiente in privinta administrarii in siguranta la gravide sau a efectelor pe termen lung ale medicamentului, se recomanda folosirea metodelor contraceptive in perioada tratamentului si cel putin 3 luni dupa intreruperea sa, atat la femei, catsi la barbati.
Probioticele
Probioticele sunt bacterii (frecvent lactobacili sau E.coli specia Nissle) care supravietuiesc pasajului gastric si intestinal si ajung in colon. Aici se ataseaza la peretele intestinal si il protejeaza de atacul microorganismelor patogene. Pentru aceasta este necesar ca zilnic sa fie administrate alimente imbogatite cu cantitati suficiente de probiotice. Mai nou, probioticele au devenit un agent farmaceutic si se administreaza sub forma de solutii concentrate de anumite bacterii, in special E.coli Nissle. Sunt folosite in tratamentul de intretinere la pacientii cu RCUH care nu tolereaza derivatii de 5-ASA. Studiile au demonstrat ca probioticele scad necesarul de corticoizi la majoritatea pacientilor.
8.3 Tratament chirugical
La pacientii cu boala Crohn iterventia chirurgicala este necesara in 80% din cazuri la un moment dat in evolutia bolii. Indicatiile de interventie imediata sunt rare: megacolonul toxic, perforatia, peritonita, ileusul, hemoragia masiva. Interventia chirurgicala este de asemenea indicata in caz de abcese (intra in discutie drenajul percutan al abcesului), perforatii acoperite, fistula in vezica urinara, compresia ureterului cu hidronefroza, subileus cronic cu stenoze fibroase. Indicatii relative de interventie chirurgicala sunt fistulele entero-cutanate, entero-vaginale, entero-enterice, fistulele anale. Initial se tenteaza inchiderea fistulelor cu tratament medicamentos (antibiotic - Ciprofloxacin si/sau Metronidazol, imunosupresor, anticorp monoclonal). O alta indicatie sunt formele refractare la tratamentul medicamentos. Recidiva post-operatorie este foarte frecventa in boala Crohn si de aceea se opereaza numai cand interventia nu poate fi evitata si se incearca excizia unui segment cat mai restrans de intestin, avand in vedere posibilele interventti chirurgicale viitoare.
In colita ulcerativa necesitatea interventiei chirurgicale apare in megacolonul toxic, perforatie. Operatia este colectomia totala. O indicatie discutata a colectomiei totale este colita ulcerativa cronica refractara la steroizi sau steriod-dependenta. De asemena este indicata cand apare displazia epiteliala - risc de cancer colo-rectal. Procedura este proctocolectomia totala cu formarea unui pouch (rezervor). Daca se mentine un segment din colon, recidiva bolii la nivelul colonului restant este foarte probabila.
8.4 Tratament simptomatic
Se face tratament simptomatic pentru ameliorarea durerii (antialgice, antispastice), pentru diaree. Sunt interzise opioidele datorita riscului de perforatie si/sau megacolon toxic; este acceptata loperamida- cate 2 mg dupa fiecare scaun diareic. In cazul deshidratarii/ dezechilibrelor hidro-electrolitice severe se face reechilibrarea hidro-electrolitica. In caz de anemie severa (Hgb<7g/dl) sunt necesare transfuzii de sange.
8.5 Tratamentul individualizat in boala Crohn
Intai trebuie stabilit clar sensul unor termeni frecvent intalniti
Boala activa
Puseu usor - CDAI = 150-220
Puseu moderat - CDAI = 220-450
Puseu sever - CDAI > 450
Remisiune: CDAI <150
Raspuns la tratament : scaderea CDAI cu minimum 100 puncte (se foloseste in studiile clinice; trebuie facuta diferenta intre raspunsul la un tratament si remisiune.
Recadere: reaparitia simptomelor la un pacient in remisiune
Recidiva: reaparitia simptomelor dupa rezectia chirurgicala- in cazul bolii Crohn
Cortico-rezistenta: persistenta simptomelor in ciuda corticoterapiei in doza >0,75mg/kg/zi
Cortico-dependenta
- incapacitatea de a reduce corticoizii sistemici la o doza < 10mg/zi (pentru Budesonide la 3mg/zi)
- recadere la mai putin de 3 luni dupa oprirea corticoterapiei
Tratamentul bolii Crohn active
|
BC ileo-cecala -puseu usor |
Budesonide 9mg/zi |
Mesalazina- beneficii limitate Nu sunt recomandate antibioticele |
|
BC ileo-cecala -puseu moderat |
Budesonide 9mg/zi Corticoizi sistemici 1mg/kgc/zi |
Antibiotice numai in suspiciunea de complicatii septice asociate |
|
BC ileo-cecala -puseu sever |
Corticoizi sistemici (administrare orala sau intravenoasa) |
Antibiotice numai in suspiciunea de complicatii septice asociate |
|
BC ileo-cecala - puseu sever- recadere |
Corticoizi sistemici in asociatie cu azatioprina/mercaptopurina/metotrexat |
|
|
BC ileo-cecala - rezistenta/intoleranta la corticoizi sau imunomodulatoare |
Infliximab/Adalimumab Interventie chirurgicala |
|
|
BC colonica- puseu usor |
5-ASA Corticoizi sistemici |
Budesonide daca e implicat doar colonul proximal |
|
BC colonica- puseu moderat sau sever |
Corticoizi sistemici |
Metronidazolul induce un raspuns, dar nu remisiune; |
|
BC colonica- recadere |
Corticoizi sistemici in asociatie cu azatioprina/mercaptopurina/metotrexat | |
|
BC colonica - rezistenta/intoleranta la corticoizi sau imunomodulatoare |
Infliximab/Adalimumab Interventie chirurgicala | |
|
BC cu afectare extensiva a intestinului subtire (>100cm de intestin subtire afectat) |
Corticoizi sistemici asociati cu (azatioprina/mercaptopurina/metotrexat) |
Interventia chirurgicala (stricturoplastia) - in cazul stenozelor lungi, fibroase. Risc crescut de sindrom de intestin scurt in cazul rezectiilor intestinale repetate |
|
Se adauga suport nutritional datorita malabsorbtiei importante asociate |
||
|
BC intestin subtire - rezistenta/intoleranta la corticoizi sau imunomodulatoare |
Infliximab | |
|
BC esofagiana/ gastro-dudeonala |
Inhibitor de pompa de protoni asociat,la nevoie, cu corticoizi sistemici si imunomodulatoare |
Infliximab incazurile refractare Dilatari sau interventie chirurgicala pentru stenoze |
Tratamentul recaderilor
Pentru inducerea remisiunii se foloseste de obicei acelasi tratament care a indus remisiunea anterioara.
In caz de recadere precoce (<3 luni) este indicata asocierea unui imunomodulator pentru a preveni alte recaderi. Nu este de obicei necesara reevaluarea distributiei bolii.
Boala Crohn corticodependenta- se recomanda asocierea imunomodulatoarelor. In caz de esec- se poate asocia Infliximab.
Boala Crohn- puseu usor -moderat
Se recomanda tratament cu 5-ASA ( 3,2- 4,8g/zi) sau Salazopirina (3-6g/zi) in administrare orala, pana la obtinerea remisiunii. In afectarea ileo-cecala este foarte eficient Budesonide 3gx3/zi.
Boala Crohn - puseu moderat-sever
Complicatiile infectioase (abcese, fistule) se trateaza chirurgical.
Daca se exclud complicatiile infectioase, se instaureaza tratament cu corticosteroizi sistemici (oral sau injectabil), pana la obtinerea remisiunii (1-4saptamani).
Formele refractare la corticoizi beneficiaza de tratament cu anticorpi monoclonali (Infliximab) in administrare unica.
BoalaCrohn- forma severa / fulminanta
Starea acestor pacienti este grava . Se recomanda reechilibrarea hidro-electrolitica, corticoterapie parenterala, antibioterapie cu spectru larg, repaus digestiv si nutritie parenterala totala. Se impune consult chirurgical in prezenta manifestarilor de ocluzie intestinala, mase abdominale palapbile, abcese, iritatie peritoneala.
Boala Crohn perianala
Se recomanda tratament cu Metronidazol si Ciprofloxacin. In formele cu fistule care nu raspund la tratamentul antibiotic se incearca imunosupresoare (cicolsporina) sau Infliximab (formele fistulizante active). Se recomanda rezectia chirurgicala a traiectelor fistuloase sau a abceselor perianale.
Boala Crohn - tratamentul de intretinere
In cazurile in care remisiunea s-a obtinut prin tratament cu 5-ASA sau coticosteroizi nu este necesara terapia de intretinere. Daca apar recaderi frecvente, atunci se recomanda imunosupresoarele (Azatioprina, Metotrexat) ca tratament de intretinere. .
In cazurile in care remisiunea s-a obtinut in urma unei interventii chirurgicale, se recomanda tratament de intretinere cu Mesalazina. Aceasta s-a dovedit eficienta in profilaxia recidivelor post-operatorii. In caz de recurente sub Mesalazina se recomanda folosirea imunosupresoarelor (Azatioprina, Metotrexat) in tratament de intretinere.
8.6 Tratamentul individualizat in rectocolita ulcero-hemoragica
RCUH distala (proctita si proctosigmoidita)
In puseele de activitate usoara-moderata de prima linie se folosesc preparate topice pe baza de 5-ASA (supozitoare, microclisme de retentie) sau corticosteroizi topici (spume intrarectale sau microclisme de retentie). De retinut ca supozitoarele si spumele sunt eficiente in formele extinse pana la 20 cm de OA, iar microclismele in formele pana la 60 cm de OA.
O alternativa este tratamentul oral cu 5-ASA sau Salazopirina in doza de atac (Mesalazina 2,4- 4,8g/zi, Salazopirina 3-4g/zi)
Daca nu apare remisiunea se introduc in tratament corticosteroizii sistemici, in adminstrare orala (Prednison p.o. 30- 40 mg/zi). Dupa obtinerea remisiunii clinice se scad treptat dozele de corticosteroizi, pana la 0 si se introduce tratamentul de intretinere cu derivati de 5-ASA p.o. sau topici
In cazul puseelor de activitate severa de proctita/ proctosigmoidita se folosesc de la inceput corticoizi sistemici si 5-ASA topici-microclisme.
In formele refractare se adauga la corticosteroizi tratament imunosupresor - Ciclosporina sau Tacrolimus. In aceste cazuri tratamentul de intretinere se va face tot cu imunosupresoare (Azatioprina, 6-Mercaptopurina).
RCUH extinsa - pusee usoare- moderate de activitate
Tratamentul de prima linie sunt 5-ASA sau Salazopirina oral,in doze de atac timp de 3-4 saptamani.
In caz de raspuns favorabil se trece la terapia de intretinere cu aceleasi medicamente, dar in doze mai mici.
In absenta raspunsului dupa 4 saptamani se introduc steroizii sistemici in administrare orala (Prednison 30-40 mg/zi). Dupa obtinerea remisiunii clinice se scad treptat dozele de corticosteroizi, pana la 0 si se introduce tratamentul de intretinere cu derivati de 5-ASA sau Salazopirina oral .
RCUH- puseu sever de activitate/ RCUH fulminanta
Starea acestor pacienti este grava si riscul de complicatii severe - megacolon toxic, perforatie , este mare. Se recomanda reechilibrarea hidro-electrolitica, corticoterapie parenterala, antibioterapie cu spectru larg, repaus digestiv si nutritie parenterala totala la nevoie. Urmatorul pas este administrarea de imunosupresoare (Ciclosporina) 10 zile, iar in caz de esec se pune problema colectomiei pentru controlul manifestarilor bolii.
RCUH- formele corticodependente sau corticorefractare
In cazul puseelor de acutizare care nu raspund la administrarea de corticozi iv (forme corticorefractare) se indica folosirea imunospresoarelor atat pentru inductia remisiunii (Ciclosporina, Tacrolimus), cat si in terapia de intretinere (Azatioprina, 6-Mercaptopurina). La non-responsivi se recomnda colectomia ca alternativa terapeutica.
Exista cazuri in care remisiunea este indusa de catre corticoizii sistemici, dar apare reactivarea bolii atunci cand se incearca scaderea dozelor de corticoizi sub o anumita valaore. Necesitatea administrarii unei doze de Prednison mai mare de15 mg/zi pe o perioada mai lunga de 6 luni defineste corticodepedenta. In aceste cazuri este contraindicata continuarea terapiei cu steroizi, Datorita riscului mare de efecte adverse pe care acesia ilau in administrarea prelungita. Se recomanda terapia imuno-supresoare cu Azatioprina sau 6-Mercaptopurina, pe o perioada de 1-3 ani.
RCUH- tratamentul de intretinere/ mentinere a remisiunii
Dupa obtinerea remisiunii se recomanda tratament de intretinere pe viata pentru a impiedica aparitia recidivelor. Medicamentele folosite in tratamentul de intretinere sunt derivatii de 5-ASA sau Salazopirina in administrare orala ( Mesalazina 1-2g/zi , Balsalazina 2,5g/zi, Sulfasalazina 2-4g/zi- de ales la cei cu artropatii reactive, Olsalazina 1,5-3g/zi la cei cu colita stanga sau intoleranta la alti 5-ASA).in cazurile de proctita/proctosigmoidita se poate folosi Mesalazina topic 1g/zi, cu sau fara Mesalazina inadministrare orala. Totusi, avantajele si dezavantajele continuarii tratamentului cu aminosalicilati sunt de discutat la pacientul aflat in remisiune de peste 2 ani.
Steroizii nu se utilizeaza pentru mentinerea remisiunii, Datorita eefectelor adverse severe in administrarea pe termen lung.
Azatioprina 1,5-2,5mg/kg/zi sau Mercaptopurina 0,75-1,5mg/kg/zi sunt rezervate ca tratament de intretinere pentru cazurile cortico-refractare sau cortico-dependente si in cazurile de recurente frecvente sub tratament cu 5-ASA (formele de boala cronic-active ).
In caz de intoleranta la produsii 5-ASA o alternativa este tratamentul de intretinere cu Escherichia coli Nissle.
9. Sarcina si bolile inflamatorii intestinale
Este recomandat ca sarcina sa survina in perioada de remisune a unei boli inflamatorii. In acest caz probabilitatea de a da nastere unui copil sanatos este la fel de mare ca si la femeile sanatoase. O activitate inflamatorie crescuta a bolii la momentul conceptiei poate afecta nefavorabil sarcina si este asociata cu o rata mai mare a complicatiilor (nastere prematura, greutate mica la nastere).
In cazurile in care conceptia se face in perioada de remisiune, rata recaderilor in cursul sarcinii este aceeasi ca la femeile neinsarcinate. In cazul conceptiei in perioada de activitate a bolii, 2/3 din paciente vor ramane in faza activa, iar 2/3 din acestea vor avea o agravare a bolii.
Cel mai mare risc pentru mama si fat este boala activa, nu medicatia folosita.
Studiile nu au produs dovezi ca embrionul sau fatul ar fi afectat de tratamentul cu cortizon sau derivati de 5-ASA. Daca sarcina apare in timpul tratamentului cu unul dintre aceste preparate, medicatia nu trebuie suprimata, deoarece o crestere a activitatii bolii reprezinta un risc mult mai mare pentru fat. Daca in timpul sarcinii apare un episod de acutizare, acesta trebuie tratat cu medicamente (derivati de 5-ASA,corticoizi sistemici) in dozele adecvate pentru a induce remisiunea cat mai repede.
Pentru budesonide nu exista inca experienta clinica suficienta.
In ceea ce priveste utilizarea anticorpilor monoclonali, datele nu sunt suficiente, asa ca se recomanda ca in timpul utilizarii cel putin 3 luni dupa intreruperea lor femeile si barbatii trebuie sa foloseasca metode contraceptive, datorita riscului acestor medicamente de a produce complicatii ale sarcinii.
Este permisa alaptarea la san la mamele care sunt pe tratament cu derivati 5-ASA sau corticoizi sistemici in doza mica, deoarece doar cantitati neglijabile din aceste medicamente trec in lapte. Se recomanda totusi reducerea cat mai rapida a dozei de cortizon. Este interzisa alaptarea la san daca mamele sunt in tratament cu azatioprina, 6-mercaptopurina, metotrexat, ciclosporina, tacrolimus, infliximab.
|
Politica de confidentialitate | Termeni si conditii de utilizare |
Vizualizari: 9427
Importanta: ![]()
Termeni si conditii de utilizare | Contact
© SCRIGROUP 2025 . All rights reserved