| CATEGORII DOCUMENTE |
| Alimentatie nutritie | Asistenta sociala | Cosmetica frumusete | Logopedie | Retete culinare | Sport |
Biometria fetala in trimestrele II si III de sarcina
Indicatii:
urmarirea cresterii fetale normale sau discrepante inca din stadii timpurii (retardul de crestere intrauterina, macrosomia),
detectarea anomaliilor fetale,
aprecierea orientativa a varstei gestationale
estimarea greutatii fetale
Factorii importanti ce influenteaza biometria fetala
varsta gestationala definita in saptamani implinite de la ultima menstruatie
setari ale aparaturii (gain cu setare medie)
definirea planurilor de referinta (evitarea sectiunilor oblice)
definirea punctelor de biometrie (de exemplu,HUGHEY si SABBAGHA au aratat ca masurarea diametrului biparietal - DBP, de la tegument la tegument sau de la exterior la exterior, este cea mai fidela [5]),
definirea curbelor de crestere (extrem de controversate, in prezent cele mai folosite sunt cele polinominale, cu limite ale normalului intre doua derivatii standard 2 SD. Percentilele a 95-a si a 5-a indica locul normalitatii, ceea ce inseamna ca 5% din fetii normali sunt peste nivelul central de 90% , iar 5% din fetii normali sunt sub nivelul respectiv.[7]
Biometria de baza cupinde
Capul - diametrul biparietal (BPD)
- diametrul occipitofrontal (OFD)
- circumferinta craniana (HC)
Abdomenul - diametrul transversal abdominal (ATD)
- diametrul sagital abdominal (ASD)
- circumferinta abdominala ( AC )
3. Membre - lungimea femurului (FL)
- lungimea humerusului (HL)
Capul - planul corect de referinta permite masurarea in aceeasi sectiune a celor trei parametri BPD, OFD, HC
Planul
cuprinde o sectiune occipitofrontala transversala simetrica, ovoidala, cu
prezenta distincta a ecoului de mijloc, cavum septum pellucidi in 1/3
anterioara si nucleii talamici .
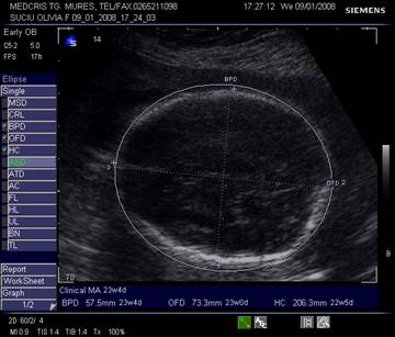
Fig. nr.198. Masurarea diametrului biparietal ( BPD )

Fig. nr.199. Masurarea diametrului occipitofrontal (OFD ) si a circumferintei craniene ( HC)
Abdomenul - Hansmann a definit planul de referinta transversal pe trunchiul fetal, cu ficatul, stomacul si vena ombilicala la trecerea in sinusul portal, mult in spatele peretelui abdominal.[4]
Cei
trei parametrii ATD, ASD si AC se vor masura in acest plan, de la exterior la
exterior. Circumferinta abdominala va fi masurata individual sau calculata
automat dupa masurarea celor doua diametre abdominale.
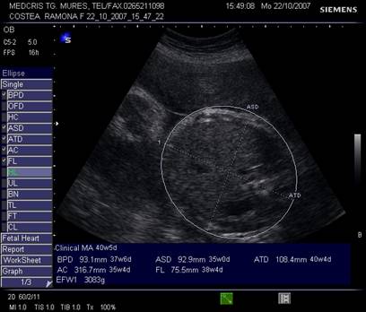
Fig. nr. 200 Masurarea diametrelor transversale abdominale (ATD; ASD) si a circumferintei abdominale ( AC )
Masurarea oaselor lungi
confirma dezvoltarea fetala normala, detecteaza displazia scheletala, ajuta la diagnosticul de microcefalie, retard de crestere intrauterina, suspiciunea unor sindroame genetice.[2,3]
Parametrii constau in masurarea partii osificate a oaselor lungi, ce constau din diafiza si metafiza. Epifiza distala si proximala, ca si curbatura oaselor lungi, sunt ignorate.
Tehnica cuprinde o asezare perpendiculara a sondei pe axul lung al oaselor, cu evidentierea capatului osului, fara a fi superpozabil pe cele din jur.[7]
Fig. nr.201. Masurarea lungimii femurului ( FL)
Biometria organelor fetale
Ventriculii cerebrali - partea centrala a acestora nu depaseste 1,3 cm la fatul normal, deci ajuta la diagnosticul de hidrocefalie aceasta biometrie.
Raportul ventriculi - emisfere scade de la 0,56 la 15 saptamani, la 0,28 la termen.[7]
Cavum septi pellucidi peste 10 mm este asociata cu disfunctii cerebrale si retard.
Cerebelul masurat in mm intr-un diametru transvers este aproximativ egal cu varsta gestationala intre 12 si 22 saptamani.[1]
Cisterna magna, pliul nuchal, diametrul intraorbital ca si alte masuratori sunt de folos in diagnosticul unor sindroame genetice si au curbe de marime in functie de varsta gestationala, descrise de diferiti autori.[1,2,3,6,7]
Importanta estimarii varstei gestationale
La inceputul sarcinii, anumite date de laborator (de exemplu dublu, triplu, qvadruplul test, rezultate serice sau din lichidul amniotic) nu pot fi interpretate decat in acord cu varsta gestationala.
Cunoasterea varstei gestationale de la inceputul sarcinii permite diagnosticul de retard de crestere intrauterina, in trim. II si inca eventual amniocenteza pentru cariotip. La fel suprapurtarea va putea fi diagnosticata cu un inalt grad de certitudine.
Parametrii utilizati pentru estimarea varstei gestationale:[1,2,3,6,7,]
I.Trim. I
- diametrul mediu al sacului gestational (mai putin utilizat)
- lungimea cranio-caudala (CRL)
- diametrul biparietal (DBP ) la sfarsitul trim I
II. Trim. II si III:
- CRL la inceputul trim II
- BPD, OFD(diametrul occipitofrontal), HC( circumferinta craniana) - craniul fetal
- ATD( diametrul transvers abdominal), ASD ( diametrul sagital abdominal), AC ( circumferinta abdominala) - abdomenul fetal
- femurul LF ( lungimea femurului )
- cerebelul (mai rar, 12 - 22 sapt)
Limitele biometriei fetale in aprecierea varstei gestationale
In prima jumatate a trim III, varsta gestationala va fi estimata cu acuratete de 3 saptamani (2 SD) si e preferabila asocierea masuratorilor multiple.
In
practica, estimarea cea mai apropriata de varsta gestationala reala, se face
printr-o biometrie in primele 10 saptamani gestationale.[1,7,]
Fig. nr.202. Raport obstetrical dupa terminarea biometriei fetale , cu estimarea varstei gestationale si a greutatii fetale
Importanta estimarii greutatii fetale
In obstetrica moderna, greutatea fetala estimata are aplicatii in deciziile legate de prematuritate, retardul de crestere fetala sau macrosomie.
Factorii ce afecteaza cresterea fetala sunt genetici, etnici, climatici si socioeconomici.
Fatul cu greutatea corporeala intre a 10-a si a 90-a percentila este considerat eutrofic. O curba percentila este o linie grafica ce indica procentul de populatie care este aproape de acest nivel.
Fetii sub a 10-a percentila a greutatii corporeale sunt clasificati ca mici pentru varsta gestationala (small for gestational age - SGA), ceilalti, peste 90 percentile sunt hipertrofici.
Fetii nascuti inainte de 37 saptamani sunt prematuri si dupa 42 saptamani sunt postmaturi.
Exista mai multe formule de calcul pentru estimarea greutatii fetale, ce tin seama de unul sau mai multi parametri, de obicei cele mai utilizate asociaza biometria femurului cu cea a abdomenului si eventual a craniului (LF, ATD, AC, BPD). Acuratetea este de 5-10%. [1,2,7 ]

Fig. nr.203. Graficul curbei de crestere fetala normala, in functie de varsta gestationala, cu percentile,iar cu punctul albastru pozitionarea respectivei biometrii fetale in acesta.
Bibliografie
Badea R.I.,Dudea S. M., Mircea P. A.,Stamatian F.,Tratat de Ultrasonografie Clinica, Editura Medicala - Bucuresti 2000, pag 568-674
Callen P.W., Ultrasonography in Obstetrics and Gynecology , Fifth Edition , Saunders Elsevier 2008, pag 297-675
Carera J . M., Kurjak A. , Donald School Atlas of Clinical Application of Ultrasound in Obstetrics & Gynecology, Jaypee Brothers Medical Publishers 2006, pag.165-239.
Hansmann M., Ultraschallbiometrie im II. und III. Trimester der Swangerschaft. Gynkologe 9 , 1976, 133-155.
Hughey M., Sabbagha R.E., Cephalometry by real -time imaging: a critical evaluation. Amer. J. ObstetGynec. 131 , 1978,825-830.
Kurjak A., Chervenak F. A., Donaid School Textbook of Ultrasound in Obstetrics and Gynecology , Jaypee Brothers Medical Publisher, 2004, pag 250 - 319.
Merz E., Ultrasound in Obstetrics and Gynecology, second edition , Georg Thieme Verlag 2005 , vol 1, pag 139
|
Politica de confidentialitate | Termeni si conditii de utilizare |
Vizualizari: 13610
Importanta: ![]()
Termeni si conditii de utilizare | Contact
© SCRIGROUP 2025 . All rights reserved