Scrigroup - Documente si articole

     

HomeDocumenteUploadResurseAlte limbi doc
Alimentatie nutritieAsistenta socialaCosmetica frumuseteLogopedieRetete culinareSport

Afectarea renala in facomatoze

sanatate



+ Font mai mare | - Font mai mic



Afectarea renala in facomatoze

Facomatozele sunt afectiuni familiale ereditare caracterizate prin anomalii congenitale de dezvoltare a structurilor ectodermice si constituentilor lor vasculari.



Boala Von Hippel-Lindau

Definitie

Este o afectiune autozomal dominanta caracterizata prin prezenta de tumori ce afecteaza cu predilectie sistemul nervos central si retina (hemangioblastom) dar si rinichiul (chisturi sau neoplasme), suprarenala (feocromocitom.

Poate de asemenea afecta si alte organe: pancreas (chisturi, tumori ale celulelor insulare), Testicul (tumora a celulelor germinative), ficat, splina, plaman etc. [19]

Date genetice

Exista studii care au concluzionat ca exista cel putin 2 gene separate implicate in dezvoltarea tumorilor renale: gena VHL (3p25-26) ar fi responsabila de aparitia chisturilor si gena neoplasmului sporadic (3p14) implicata in aparitia tumorilor. [19]

Morfologie

Exista forme de trecere progresiva de la chisturi simple unistratificate pana la neoplasm renal cu celule clare trecand prin toate formele intermediare atipice. Chisturile simple se dezvolta mai ales din tubii contorti distali, in timp ce neoplasmele si chisturile atipice provin din tubii contorti proximali. Majoritatea leziunilor chistice pure raman stabile, in timp ce chistele atipice si leziunile tumorale cresc in dimensiuni. [

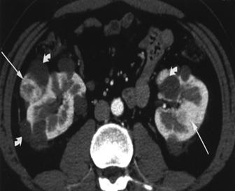
Figura 9.5. Boala von Hippel Lindau- numeroase formatini tumorele solide si chistice. (aspect macroscopic si CT) adaptat dupa Bachir Taouli, Mehdi Ghouadni, Jean-Michel Corras, Pascal Hammel, Anne Couvelard, Stphane Richard and Valrie Vilgrain: Spectrum of Abdominal Imaging Findings in von Hippel-Lindau Disease, American Journal of Roentgenology

Afectarea renala

Frecventa leziunilor renale variaza de la 30-60%. Chisturile renale simple sunt cele mai frecvente. Neoplasmele observate la 35-38% din cazuri sunt adesea bilaterale, multifocale si de talie mica.

Diagnostic

Trebuie realizat avand un plan de investigatii sistematic, care sa includa:

-Examenul clinic obiectiv amanuntit, incluzand masurarea TA si evaluarea statusului

-Oftalmoscopia

-RMN cerebrala si a coloanei vertebrale

-TC abdominala cu substanta de contrast

-Ecografie testiculara

-Dozarea catecolaminelor urinare

-Analiza genetica moleculara. [20]

Tratament

Din punct de vedere renal, tratamentul este chirurgical, variind de la conservator la radical, in functie de numarul leziunilor, caracterul lor uni- sau bilateral, precum si de gradul tumorii. [19]

Tumora Wilms (Nefroflastomul)

Definitie

Neoplasm trifazic embrionar, ce reprezinta cea mai frecventa tumora maligna a aparatului genito-urinar la copil.

Date genetice

Genele tumorii Wilms (WT1) sunt situate pe cromozomul 11p13 sau 11p15. Tumora Wilms se poate asocia cu o serie de alte dezordini, care definesc alte sindroame.

Sindromul Denysh-Drash este intalnit la sexul masculin caracterizandu-se prin: pseudohermafroditism, scleroza mezangiala si tumora Wilms.

Sindromul Beckwith-Wiedemann include: visceromegalie, macroglosie, hipoglicemie hiperinsulinica si predispozitie spre tumora Wilms.

Sindromul Perlman este caracterizat prin gigantism, anomalii faciale, retard mental anomalii genito-urinare, inclusiv tumora Wilms. [21]

Morfopatologie

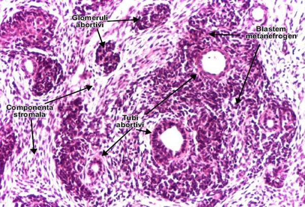
Nefroblastomul este constituit din trei componente, dezvoltandu-se din blastemul metanefrogen si

derivatele sale stromale si epiteliale.

Componenta epiteliala, majoritara, este reprezentata de tubi si glomeruli abortivi, nefunctionali. Rar, mai pot exista si alte tipuri de epitelii: scuamos sau mucinos. Componenta stromala (mezenchimala) are aspect sarcomatos, fiind constituita din celule cu caracter fibrocitar, mixoid, de muschi neted/striat, tesut adipos, osteoid, condroid, neurogenic. Blastemul este format din plaje de celule mici, hipercromatice, cu tablou difuz. Tumora este bogat vascularizata si comprima parenchimul renal normal invecinat.[21]

Figura 9.6. Nefroblastomul (tumora Wilms). Cele trei componente ale tumorii : blastemul metanefrogen, componenta mezenchimala si cea epiteliala. (Hematoxilina-eozina, ob. x20). Adaptat dupa M. Danciu, M-S Mihailovici, Atlas de morfopatologie, 2004, www.pathologyaltas.ro

Clinic

Cele mai frecvente manifestari ale tumorii sunt:

-formatiune tumorala abdominala decelabila la palpare

- febra

-durere

La acestea se mai pot adauga hematurie, HTA, ascita, manifestari clinice determinate de prezenta metastazelor.

Paraclinic

Hemograma releva prezenta anemiei.

Biochimic pot exista cresteri ale ureei si creatininei.

Dozarea acidului vanilmandelic, pentru a exclude neuroblastomul.

Ecografia abdominala releva intinderea tumorii si aspectul rinichiului contralateral.

UIV arata functionalitatea rinichiului.

Radiografia pulmonara si TC ajuta in evaluarea metastazelor.

Stadiile evolutive ale tumorii Wilms (dupa North American National Wilms Tumour)

Stadiul I. Tumora limitata la rinichi si complet excizabila. Suprafata capsulei renale este complet intacta; nu este ruptura de tumora, nu exista tumora reziduala aparenta, dincolo de marginile de excizie.

Stadiul II. Tumora extinsa dincolo de rinichi, dar complet excizabila, extensie regionala a tumorii, infiltrarea vaselor, biopsia tumorii sau extinderea locala a tumorii limitata la flanc. Nu exista tumora reziduala aparenta, la/sau dincolo de marginile de excizie.

Stadiul III. Tumora reziduala non-hematogena limitata la abdomen. Prezenta de ganglioni in hil, lanturi periaortice, contaminare difuza peritoneala la extinderea tumorii, metastaze peritoneale. Tumora se extinde dincolo de marginile rezecate microscopic sau macroscopic, tumora nu este complet eliminata datorita infiltrarii locale in organele vitale.

Stadiul IV. Metastaze dincolo de stadiul III, in plaman, ficat, oase, creier.

Stadiul V. Implicare renala bilaterala.

Tratament

In tratamentul chirurgical trebuie respectate:

-chimioterapia preoperatorie

- incizia larga, pentru a eximina intreaga cavitate abdominala

-examenul rinichiului contralateral, intraoperator

-disecarea cu atentie a vaselor si ureterului si eliberarea lor

-excizia tumorii fara a produce ruptura si contaminarea cavitatii abdominale.

Contraindicatii chirurgicale majore:

-tumora bilaterala

-tumora mare fixata

-invazie hepatica [21]

Prognostic

Datorita progreselor terapeutice, aproape toti pacientii beneficiaza de tratament, cu supravietuire la 6 ani de 64%.21



Politica de confidentialitate | Termeni si conditii de utilizare



DISTRIBUIE DOCUMENTUL

Comentarii


Vizualizari: 3022
Importanta: rank

Comenteaza documentul:

Te rugam sa te autentifici sau sa iti faci cont pentru a putea comenta

Creaza cont nou

Termeni si conditii de utilizare | Contact
© SCRIGROUP 2025 . All rights reserved