| CATEGORII DOCUMENTE |
| Animale | Arta cultura | Divertisment | Film | Jurnalism | Muzica | Pescuit |
| Pictura | Versuri |
| Chirurgie veterinara |
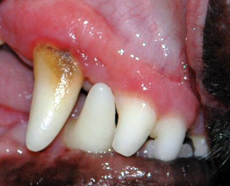
Tartrul dentar si boala periodontala la carnasiere (caine, pisica)
1.Placa bacteriana este un film aderent de bacterii, proteine salivare, celule si resturi alimementare care se ataseaza de structura dintelui, ce produc in timp inflamatia si distrugerea tesuturilor invecinate dintelui afectat.
2.Tartrul dentar este reprezentat de placa bacteriana mineralizata, obisnuit de culoare galben-maronie.
3. Placa bacteriana si tartrul dentar sunt factorii cheie in aparitia gingivitei.
Gingivita este o inflamatie a gingiei, caracterizata de o reactie de hiperemie(aflux local de sange), gingie care poate sangera cu usurinta. In aceste conditii, marginile gingivale se ingroasa si se detaseaza de pe coletul dintelui.
4.Periodontita reprezinta inflamatia zonei periodontale si o agravare a gingivitei, cea mai comuna cauza a pierderii dintilor la caine si pisica.
Aceasta se caracterizeaza prin
-inflamatia zonei gingivale,
-pierderea atasamentului gingiei de dinte cu formarea unui spatiu intre cele doua structuri,
-exudat purulent,
-suprainfectii bacteriene locale(de obicei bacterii gram negative anaerobe si spirochete)
-subtierea osului alveolar
-mobilitate crescuta a dintelui
-si in final pierderea dintelui
Alte semne clinice ale periodontitei sunt: halitoza(miros respingator al gurii), durere la nivel oral, anorexie,
La pisica unle viroze( imunodeficienta felina(FIV) sau caliciviroza)pot produce boala periodontala.
Tratament.
Curatarea periodica a placii si tartrului dentar.Placa bacteriana poate fi curatata prin periere cu o periuta de dinti folosind solutii sau pasta de dinti special creata pentru caini, insa tartrul necesita o curatare profesionala in cadrul unui cabinet veterinary cu instrumente speciale sau folosind ultrasunetele, animalul necesitand a fi anesteziat in prealabil.
Antibioterapia Amoxicilina, Metronidazol, Clindamicin sau Clavamox)timp de 7-14 zile
Dieta alimentara
Aparitia tartrului dentar poate fi intarziat prin consumarea de alimente tari si mestecarea de alimente elastice(cum ar fi oasele din piele special create pentru curatarea dintilor la carnasiere)
Hrana uscata dieta special creata pentru profilaxia tartrului dentar(ex Hill's diet canine t/d) conceputa din fibre speciale care curata mecanic suprafata dintelui si reduce astfel placa bacteriana si tartrul.
Mancarea semisolida si alte manacruri de consistenta moale stimuleaza formarea placii bacteriene dentare.
Ingrijirea cavitatii bucale acasa
Spalarea dintilor cainelui, minim de 3 ori pe saptamana. Pentru spalarea dintilor cainelui e necesar folosirea unei periute de dinti, a unei paste de dinti create special pentru catei(netoxica in cazul ingerarii) sau clorhexidinei diluate. Clorhexidina diluata se poate aplica sub forma de spary, pe o bucata de tifon sau sub forma de pasta gel.

|
Politica de confidentialitate | Termeni si conditii de utilizare |
Vizualizari: 2819
Importanta: ![]()
Termeni si conditii de utilizare | Contact
© SCRIGROUP 2025 . All rights reserved